SCOPE OFENDODONTICS
Ass. Prof. Dr.Talal H. Al-Salman
2015-2016
Definition:
Endodontics as a speciality of dentistry concerned with the diagnosis and treatment of disease and injuries of the pulp and periapical tissues.Definition:
American association of endodontic define (endodontics)as:Branch of dentistry concerned with the morphology, physiology, and pathology of human dental pulp and periradicular tissues.
Scope of endodontics include the followings:
Deferential diagnosis and treatment of oral pains of pulp and / or periapical origion.Vital pulp therapy such as pulp capping and pulptomy.
Root canal therapy such as pulpectomy, non surgical treatment of root canal system with or without periapical pathosis of pulpal origin and the obturation of these root canal systems
Scope of endodontics include the followings:
Selective surgical removal of pathological tissues resulting from pulpal pathosis.
Intentional replantation, and replantation of avulsed tooth.
Surgical removal of tooth structure as in hemisection, and root amputation.
Endodontic implants
Scope of endodontics include the followings:
Bleaching of discolored teeth.Retreatment of teeth previously treated endodontically.
Treatment procedure related to coronal restoration by means of post and core involving root canal space.
Basic phases of endodontic therapy:
Diagnosis phase: in which the cause of disease is identified end the treatment plan is pepared.Preparatory phase: in which, by cleaning and shaping of the canal space, the root canal contents are removed and the canal is shaped to receive root filling.
Obturation phase: in which the root canal is filled three dimensionally to ensure tight seal.
Indications of endodontic therapy:
(All teeth can be treated endodontically successfully)(In theory there are no contraindication of endodontic therapy)
Especially if the tooth is periodontally sound or can be cured.And the apical foramen or foramenae can be sealed.
Contraindications of endodontic therapy:
An advanced and untreatable periodontal diseases is an absolute contraindication of endodontic therapy.And there are some contraindication that can be distinguish as true or false.
True contraindication of endodontic therapy:
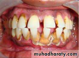
- Insufficient periodontal support:
Periodontal or periapical disease → alveolar bone loss →lack of periodontal support.
Inadequate crown - root ratio.
Caries of root and caries of bifurcation
Internal resorption with perforation.
Vertical root fracture.
False contraindication of endodontic therapy:
The following clinico-pathological situations can be considered as indication for the endodontic surgery, and contraindication for the conservative endodontic.Really, before surgery is performed, the dentist should try with conservative non surgical endodontic therapy.
In case of failure, the change to the surgical treatment become mandetory and (the contraindication of non surgical endodontic become indication of surgical treatment )
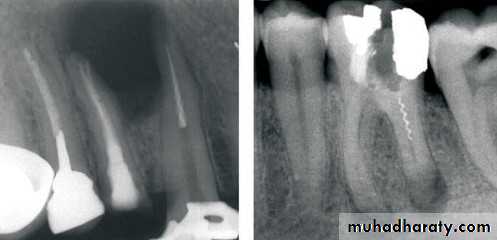
False contraindication of endodontic therapy:- Presence of broken instrument
False contraindication of endodontic therapy:- presence of calcification
- Anatomical difficulties
- Difficulty of retreatment:
Presence of silver cone within the canal.Presence of ceramic crown covering the crown
(to overcome these problems surgical intervension is indicated or removal of the old root canal filling)
- Size of the lesion:
Pulp pathosis→periapical lesion(abcess →granuloma →cyst)
(The smaller the radiographic emage, the more likely the diagnosis is granuloma is correct)
According to Lalonde:
0-1cm →70% granuloma-30% cyst.
1-2cm →40% granuloma-60% cyst.
↑2cm →100% cyst.
Tay etal demonstrated that the success of conservative endodontic therapy deminished with the increased size of the periapical lesion
Some factors that may affect on indications of endodontic therapy:
Age.General health status of the patient.
Prgnency.





























