Lec:1 طفيليات عملي د.اكرام
Genus LeishmaniaFinal host: human
Intermediate host (vector): female of sand fly
Infective stage: Promastigote stage
Diagnostic stage: amastigotes stage
Disease:
Leishmania donovani: kala-azar : (visceral leishmaniasis,black fever).Leishmania tropica & Leishmania Mexicana : cutaneous leishmaniasis
Leishmania braziliensis: mucocutaneous leishmaniasis
Diagnosis:
Microscopic detection of amastigotes (LD bodies:Leishman-Donovan) in Giemsa stained smear of bone marrow, spleen and lymph node or liver.Cultivation of aspirates in NNN medium (Novy-MacNeal-Nicolle) medium → promastigotes seen.
Serological method :IFAT, ELISA
PCR
Leishmanin skin test(+ve in cutaneous leishmaniasis)
Promastigote stage(culture) Amastigote stage(Smear)
Genus Trypanosoma
Final host: humanIntermediate host (vector): Trypanosoma cruzi: reduviid bug (kissing bug)
Trypanosoma brucie: Tsetse fly
Infective stage: metacyclic trypomastigotes ( from vector)
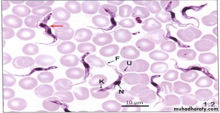
Diagnostic stage: trypomastigotes stage (in peripheral blood)Disease:
Trypanosoma cruzi: American trypanosomiasis, Chagas’ diseaseTrypanosoma brucie: African Trypanosomiasis, Sleeping sickness
Diagnosis:
1.Microscopic detection of trypomastigotes in peripheral blood:
C or U shaped in Trypanosoma cruzi.
2- Culture on NNN medium.
3- Xenodiagnosis:
4- Biopsy examination: amastigotes is seen.
5- Serological diagnosis: IFAT , RIA (radioimmunoassay) , ELISA.
6- PCR (polymerase chain reaction).
C – shape trypomastigotes
(Trypanosoma cruzi) Amastigote stage trypomastigotes(biopsy of cardiac muscle)
(Trypanosoma brucie)


