Development of Occlusion
IndexIntroduction
Periods of occlusal development
Neo-natal period.
Primary dentition period.
Mixed dentition period.
Permanent dentition period
References
Introduction
• Term occlusion is derived from the Latin word, “occlusio”; defined as the relationship between all the components of the masticatory system in normal function, dysfunction and parafunction.• An ideal occlusion is the perfect interdigitation of the upper and lower teeth, which is a result of developmental process consisting of the three main events, jaw growth, tooth formation and eruption
Periods of Occlusal Development
Occlusal development can be divided into the following development periods:Neo-natal period.
Primary dentition period.
Mixed dentition period.
Permanent dentition period.
Neonatal Period(lasts up to 6 months after birth)
Gum Pads
Alveolar processes at the time of birth- gum pads.Pink in colour, firm and are covered by a dense layer of fibrous periosteum.
Gum Pads
The gum pad soon gets segmented by a groove called transverse groove, & each segment is a developing tooth site.The pads get divided into ‘labio-buccal’ & ‘lingual portion’, by a dental groove.
The groove between the canine and the 1st molar region is called the lateral sulcus, useful for judging the inter arch relationship at a very early stage.
Relationship of Gum Pads
Anterior open bite is seen at rest with contact only at the molar region.
Complete overjet.
• Class II pattern with maxillary gum pad being more prominent.Mandible is distal to the maxilla.
Lateral View of Gum Pad
Neonatal Jaw RelationshipA ‘precise bite’ or jaw relationship is not yet seen. Therefore, neonatal jaw relationship cannot be used as a diagnostic criterion for reliable prediction of subsequent occlusion in the primary dentition.
Status of Dentition at Birth
Precociously Erupted Primary Teeth
Natal tooth
Neonatal teethPre-erupted teeth are teeth that erupt during the 2nd or 3rd month.
Natal/Neonatal Teeth
• Natal Teeth are defined as teeth observed in the oral cavity at birth.• Neonatal Teeth are those that erupt in the first 30 days of life.
Diagnosis and Treatment
If the erupted tooth is diagnosed as a tooth of the normal dentition -- maintenance of these teeth in the mouth is the first treatment option, unless there is dislocation and consequent aspiration, traumatic injury to the baby’s tongue and/or to the maternal breast.If a decision to be stayed so smoothing of the incisal margin to prevent wounding of the maternal breast during breast feeding.
• If the treatment option is extraction, certain precautions should be taken :
• Avoiding extraction up to the 10th day of life to prevent hemorrhage.• Avoiding unnecessary injury to the gingiva
• Being alert to the risk of aspiration during removal.
Primary Dentition Period
(From around the 6th month to 6 years)
Sequence of Eruption
a
b
c
d
e
a
b
c
d
e
Primary
(upper)symbol
First evidence of calcification
(Weeks in utero)
Crown completed
(months)
Eruption
(months)
Root completed
(years)
Central
a
14 (13-16)
11/2
10
• 11/2
Lateral
b
16
21/2
11
2
Canine
c
17
9
19
• 31/4
1st molar
d• 151/2
6
16
• 21/2
2nd molar
e
19
11
29
3
• Chronology of Upper Primary Dentition
Primary
(Lowersymbol
First evidence of calcification
(Weeks in utero)
Crown completed
(months)Eruption
(months)Root completed
(years)• Central
a
14 (13-16)
21/2
8(6-10)
11/2
• Lateral
b
16
3
13( 10-16)
11/2
• Canine
c
17
9
20(17-23)
• 31/4
• 1st molar
d
• 151/2
• 51/2
16( 14-18)• 21/4
• 2nd molar
e18
10
27
3
• Chronology of Lower Primary Dentition
At around 5 – 6 Years
There are 48 teeth/parts of teeth present in the jaw. It is at this time that there are more teeth in the jaws than at any other time.
Features Of Primary Dentition
FIRST: Spacing:2 types of dentition are seen:
A) Spaced dentition – of
1. generalized space: which usually seen in the deciduous dentition to accommodate the larger permanent teeth in the jaws.
More prominent in the anterior region, and are called ‘physiological spacing’ or ‘developmental spacing’.
Absence of spaces in the primary dentition is an indication that crowding of teeth may occur when the larger permanent teeth erupt.
Features Of Primary Dentition
Space present mesial to upper canine and distal to lower canine which are important for interdigitation of the opposing canines. This space is used for early mesial shift.2. Primate Spaces Or Anthropoid Spaces.
Features Of Primary DentitionB) Non- spaced dentition
Teeth are present without any spaces in between the teeth
Due to narrow dental arches or if teeth are wider than usual
Usually indicates in developing permanent dentition but it is not always the case
Features Of Primary Dentition
SECOND: Shallow overjet & overbite: Initially a deep bite may occur due to the fact that the deciduous incisors are more upright than their successors. This deep bite is later reduced by:• Eruption of deciduous molars.
• Attrition of incisors.
• Forward movement of the mandible due to growth.
Features Of Primary Dentition
• THIRD: Almost vertical inclination of anteriors.Features Of Primary Dentition
FOURTH: Ovoid arch form.FIFTH: Molar Relationship
The molar relationship in the primary dentition can be classified into3 types:
• Straight/flush terminal plane.
• Mesial step.
• Distal step.
Features Of Primary Dentition
a
b
c
Flush Terminal Plane
If the distal surface of maxillary and mandibular deciduous second molars are in the same vertical plane; then it is called a flush terminal planeNormal molar relationship in the primary dentition, because the mesiodistal width of the mandibular molar is greater than the mesiodistal width of the maxillary molar.
Mesial Step
Distal surface of mandibular deciduous second molar is mesial to the distal surface of maxillary deciduous second molar.Distal Step
Distal surface of mandibular second deciduous molar is more distal to the distal surface of the maxillary second deciduous molarMixed Dentition Period
Mixed Dentition Period(Around 6 years- 12 years)
The mixed dentition period can be divided into three phases:First transitional period.
Inter-transitional period.
Second transitional period.
First Transitional Period
Eruption of 1st Permanent Molar
The location & relation of the 1st permanent molar depends much upon the distal surface of the upper & lower 2nd deciduous molar.Transition to Class I Molar Relation
The shift in lower molar from a flush terminal plane to a class I relation can occur in two ways:Early shift.
Late shift.
Early Shift
Early shift occurs during the early mixed dentition period.• Since this occurs early in the mixed dentition, it is called early shift utilizing primate space.
Late Shift
This occurs in the late mixed dentition period and is thus called late shift utilizing both leeway space and growth influence.Leeway Space
Its the residual space which resulted from the difference between the mesiodistal width of exfoliated wider primary molars and erupting narrower permanent premolars (especially second premolars) where:Maxilla: 0.9 mm/segment = 1.8 mm. Mandible: 1.7 mm/segment = 3.4mm.
These spaces are utilized to achieve Cl.I molar relation ship via mesial shift of mand. molars greater than maxillary one.
If Distal Step present
When the deciduous second molars are in a distal step, the permanent first molar will erupt into a class II relation. This molar configuration is not self correcting and will cause a class II malocclusion despite Leeway space and differential growth.If Mesial Step present
Primary second molars in mesial step relationship lead to a class I molar relation in mixed dentition. This may remain or progress to a half or full cusp class III with continued mandibular growth.Influence of terminal plane on the position of 1st permanent molar
Exchange of Incisors
In this period the deciduous incisors are replaced by the permanent incisors. The mandibular central incisors are usually the first to erupt. The permanent incisors are considerably larger than the deciduous teeth they replace. This difference between the amount of space needed for the accommodation of the incisors are achieved via :• Interdental physiological spacing in the primary incisor region.
• Increase in inter-canine arch width due to growth
• Increase in anterior length of the dental arches: as Permanent incisors erupt labial to the primary incisors to obtain an added space of around 2-3 mm.
• Change in inclination of permanent incisors: Primary teeth are upright but permanent teeth incline to the labial surface, thus decreasing the inter-incisal angle and this increases the arch parameter.
1
2
3
4
Inter-Transitional Period
This is a stable phase where little changes take place in the dentition. The teeth present are the permanent incisors and first molar along with the deciduous canines and molars. This phase prepares for the second transitional phase.
Inter-Transitional Period
Root formation of emerged incisors, and molars continues, along with concomitant increase in alveolar process height.Inter-Transitional Period
Resorption of roots of deciduous canines and molars.Second Transitional Period Features
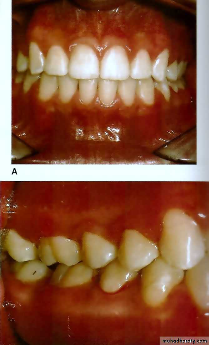
First: The second transitional period is characterized by the replacement of the deciduous molars and canines by the premolars and permanent canines respectively, at around 10 years of age.Second: Ugly Duckling Stage
Around the age of 8 - 9 years, a midline diastema is commonly seen in the upper arch, which is usually misinterpreted by the parents as a malocclusion.Its typical features are:
Flaring of the lateral incisors.
Maxillary midline diastema.
Second Transitional Period Features
Ugly Duckling Stage
Cause: Crowns of canines on young jaws impinge on developing lateral incisor roots, thus driving the roots medially and causing the crowns to flare laterally.Ugly Duckling Stage
The roots of the central incisors are also forced together, thus causing a maxillary midline diastema.Ugly Duckling Stage
With the eruption of the canines, the impingement from the roots shift incisally thus driving the incisor crowns medially, resulting in closure of the diastema as well as the correction of the flared lateral incisors.Ugly Duckling Stage
Hence this unaesthetic metamorphosis, eventually leads to an aesthetic result.Self correcting anomalies
Third: Sequence of Eruption
The canines in the upper arch erupt only after the premolars have replaced the deciduous molars, whereas the canine erupt before the premolars in the lower arch.fourth: Second Transitional Period
Eruption of Permanent Second MolarsBefore emergence- second molars, oriented in a mesial & lingual direction
The Permanent Dentition Period
The Permanent Dentition
This period is marked by the eruption of the four permanent second molars.The Permanent Dentition
Calcification begins at birth with the calcification of the cusps of the first permanent molar and extends as late as the 25th year of life. Complete calcification of incisor crowns take place by 4 – 5 years and of the other permanent teeth by 6 – 8 years except for third molars.Permanent
(Upper)First evidence of calcification
( weeks in utero)
Crown completed
(months)
Eruption
( months)
Root completed
(years)
Central
3-4 mo
4-5 yr
7-8 yr
10
Lateral
10-12 mo
4-5 yr
8-9 yr
11
Canine
4-5 mo
6-7 yr
11-12 yr
13-15
1st premolar
• 11/2-13/4 yr
5-6 yr
10-11 yr
12-13
2nd premolar
• 2-21/4 yr
6-7 yr
10-12 yr12-14
1st molar
At birth
• 21/3-3 yr
6-7 yr
9-102nd molar
• 21/3-3 yr
7-8 yr
12-13 yr14-16
3rd molar
7-9 yr
12-16 yr
17-21 yr
18-25
• Chronology of Permanent Dentition
Wheelers…
Permanent
(Lower)
First evidence of calcification ( weeks in utero)
Crown completed
(months)Eruption
( months)Root completed
( years)Central
3-4 mo
4-5 yr
6-7 yr
9
Lateral
3-4 mo
4-5 yr
7-8 yr
10
Canine
4- 5 mo
6-7 yr
9-10 yr
12-14
1st premolar
• 13/4-2yr
5-6 yr
10-12 yr
12-13
2nd premolar
• 21/4-21/2 yr
6-7 yr
11-12 yr13-14
1st molar
At birth
• 21/2-3yr
6-7 yr
9-102nd molar
• 21/2-3yr
7-8 yr
11-13 yr14-15
3rd molar
8-10 yr
12-16 yr
17-21 yr
18-25
The Permanent Dentition
The permanent incisors develop lingual to the deciduous incisors and move labially as they erupt.
The Permanent Dentition
The premolars develop below the diverging roots of the deciduous molars.The Permanent Dentition
At approximately 13 years of age all permanent teeth except third molars are fully erupted.Features of Permanent Dentition
First: Coinciding midline.Second: Class I molar
relationship.Features of Permanent Dentition
Third:• Vertical overbite of about one third the clinical crown height of the mandibular central incisors.
• Overjet and over bite decreases throughout the second decade of life due to greater forward growth of the mandible.
Andrews keys to normal occlusion
Key I – Molar relationshipMB cusp of the max 1st molar falls into the mesiobuccal groove of the mand 1st molar and that the distal surface of the DB cusp of the upper first permanent molar should make contact and occlude with mesial surface of the MB cusp of the lower second molar.
Andrews keys to normal occlusion
Key II Crown angulation (Tip)The gingival portion of the long axis of the all crowns must be distal than the incisal portion.
Key III Crown inclination
In upper incisors, the gingival portion of the crown’s labial surface is lingual to the incisal portion.
In all other crowns, including lower incisors, the gingival portion of the labial or buccal surface is labial or buccal to the incisal or occlusal portion.
Andrews keys to normal occlusion
Key IV – Rotationscontact points should be tight (no spaces).
Key V – Tight contacts
contact points should be tight (no spaces).
Andrews keys to normal occlusion
Key VI – Occlusal plane or curve of spee
it displayed in sagital plane by
the cusp & incisal edge of mand. teeth, the convex aspect of curve pointed inferiorly.
References
Contemporary orthodontics –ProffitOrthodontics the art & science: S. I. Bhalajhi.
Textbook of Orthodontics: M.S. Rani.
• Dental Anatomy, Physiology & Occlusion: Wheeler.
Textbook of Orthodontics: Samir E. Bishara.
• Orthodontics principles and practice: T. M. Graber.





































