مواضيع المحاضرة: Urinary tract infection
قراءة
عرض

Urinary tract infectioncont,

Perinephric abscess
Infection and pus collection in the perinephric space within Gerota’s fascia
Urinary system

Source of infection

Hematogenous,
lymphatic
infected peri renal hematoma or urinoma,
extension from a nearby infected focus like appendicitis
untreated pyonephrosis or renal abscess.
Rarely mycobacterial perinephric abscess may occur.

Clinical pictures

High swinging pyrexia, tenderness and fullness in the loin.
The symptoms are marked if the infection started at lower pole because the upper pole is hidden by thoracic cage.


Investigations
GUE: normal unless the abscess is extended from renal pathology.
WBC: neutrophil leukocytosis.
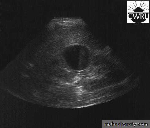
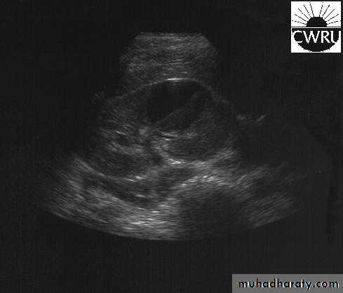
U/S: pus collection around the kidney with or without hydronephrosis.
KUB: obscured psoas shadow, spine scoliosis,.
CT scan & MRI: diagnostic.

Treatment

Drainage is the principle treatment of pus collection anywhere in the body.
Under antibiotic cover lumber incision is made, all loculi destructed, pus drained and wound closed over a tube drain.

Drinage of perinephric abscess

Urinary system

Renal carbuncle(renal cortical abscess)

It arises as a result of blood born micro-organism especially staphylococcus aureus from a skin lesion in debilitated or immune compromised patient like diabetics. Rarely the abscess arises from infected cortical hematoma or cyst.

Clinical pictures

Ill defined tender renal mass, persistent pyrexia and leukocytosis.


Investigations
GUE: normal or pyuria.
U/S: cystic cortical lesion with internal echoes.
IVU: space occupying lesion, which may be confused with renal tumor.
CT scan & MRI: diagnostic.


Urinary system


Urinary system

U/S cystic lesion with internal echoes (renal abscess)

Urinary system




Urinary system

Retrograde pyelography:

Left renal abscess



Urinary system

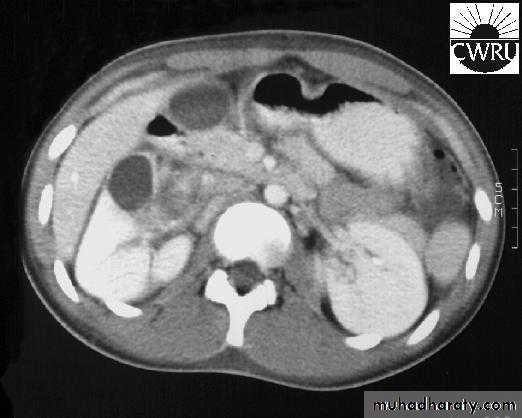
CT scan: right renal abscess

Urinary system

CT scan: Left renal abscess

Treatment
Drainage is the principle treatment of pus collection anywhere in the body.
If pus is too thick to be drained by percutaneous needle aspiraion
Under antibiotic cover lumber incision is made, all loculi destructed, pus drained and wound closed over a tube drain.

Specific infection of the kidney

Renal Tuberculosis
Bacteria: Mycobacterium TB
Pathogenesis: Hematogenic
Start unilateral , late bilateral affection.
The 1st lesion starts usually in the pyramids
Chronic: Asymptomatic until late stage


TB granuloma, caseation, open to the calyces.
Renal destruction, calcification.
The ureteric upper & lower 1/3rd is affected
Ureteral & bladder involvement is commonly secondary

RENAL TB

Urinary system

Clinical picture

Always suspect if:
Endemic area
Age : 20----30 year
Chronic symptoms
Non responsive UTI to adequate therapy.
Unexplained hematuria.
Night sweating, Wt loss
Chronic renal sinuses.
TB is the most common opportunistic infection in AIDS patients


Investigations
GUE : RBC , Sterile acid pyurea.
-ve urine C&S
Three successive morning urine samples for AFB.
24 hours urine collection for AFB.
TB culture & sensitivity.
ESR increased
WBC total & differential.
KUB: Renal calcification
IVU
CXR
Cystoscopy: for lower tract involvement.

Treatment

Medical:
Surgical:
If complicated
No clinical control

Correct obstruction

Nephrectomy.


Bilharziasis
Trematode: schistosoma haematobium
Male: female 3:1
Endemic in Nile valley, Iraq, & middle east in general.
Marshes & slow running fresh water is the habitat of the fresh water snail ( bulinus truncatus ) which is the intermediate host.

Clinical features

Urticaria ( swimming itch )
Fever , sweating
Hematuria: intermittent, terminal
Lymphadenopathy & splenomegaly

Investigations

GUE : early morning samples for several consecutive days – ovae with terminal spines
Leukocytosis – eosinophilia
Cystoscopy
Bilharzial pseudotubercles , nodules, sandy patches, ulceration, fibrosis, granulomas, papillomas, carcinoma (SCC).

Urinary system




Imaging study
KUB
U/S
Urinary system


Urinary system



IVU
Urinary system


Urinary system

Treatment

Antimony e.g. praziquantel & metriphonate
Papilloma : endoscopic removal
Carcinoma : radical cystectomy


Urinary system



Thank you



رفعت المحاضرة من قبل: Abdalmalik Abdullateef
المشاهدات: لقد قام 7 أعضاء و 217 زائراً بقراءة هذه المحاضرة








تسجيل دخول

أو
عبر الحساب الاعتيادي
الرجاء كتابة البريد الالكتروني بشكل صحيح
الرجاء كتابة كلمة المرور
لست عضواً في موقع محاضراتي؟
اضغط هنا للتسجيل