Tran alveolar or open
ext.Surgical extraction
Surgical extraction
Surgical extraction is the method by which a tooth is removed from its socket, after creating a flap and removing part of the bone that surrounds the tooth.Indications of Surgical tooth removal
1- Teeth of the maxilla or mandible that present unusualroot morphology
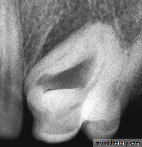
2- Teeth with hypercementosis of root and root tip,
presenting large bulbous roots3- Teeth with dilaceration of root tips
4- Teeth with ankylosed roots or withabnormalities,e.g., dens in dente
5- Impacted and semi-impacted teeth
6- Teeth fused with an adjacent tooth (a) or teeth fused with an adjacent tooth in the apical area (b).A B
7- Broken root tips that have remained in the alveolar bone
8- Maxillary posterior teeth, whose roots are included in the maxillary sinus9- Roots of teeth found below the gum line, when their removal is impossible any other way
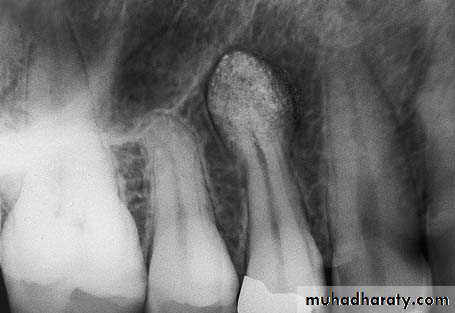
10- Roots with periapical lesions, whose entire removal
through the tooth socket would not be possible with curettage alone
Contraindications
Asymptomatic fractured root tips, whose pulp was vital, located deep in the socket.– There is a risk of serious local complications, such as the dislodging of a root tip into the maxillary sinus or injury of the inferior alveolar nerve, mental nerve, or lingual nerve.
– A large part of the alveolar process needs to be removed.
– There are serious health problems present.Case evaluation
Before performing surgical procedure, every case should be evaluated appropriately by good oral and radiographic examination. oral surgeons have to chose the most appropriate radiographic technique among many, so that the information they gather will help them significantly in diagnosis and therapy.Radiographic techniques used in assess the and confirm diagnosis are
1- periapical2- occlusal
3- panoramic
Steps of Surgical Extraction
1- Anaesthesia
2- Creation of a flap and flap reflection.
3. Removal of bone and exposure of an adequate part of the root.4. Extraction of the tooth or root with elevators or forceps.
5. Postoperative care of wound and suturing.Requirements of flap design
1- Its base should be wider than its apex2- it should has its own bl. Supply
3- Adequate size to get good access to underlying tissue
4- inter dental papilla included or excluded
5- Full thickness flap
6- easily replaced & maintained by suture
7- it should be performed with One sharp incision
8- in case of Envelope flap:2 teeth ant. & 1 tooth post./ Relaxing incision : 1 tooth ant. & post.
Flap reflection
If the tooth is accessible after flap reflection we can do one of the following :
1/ Reset the forceps under direct vision2/ Using straight elevator a
Bone removal
Requirements of bone removal :1- M-D dimension same of m-d of the tooth (width)
2- Length 2\3 of the tooth length or below bifurcation in multi- rooted teethSurgical Extraction of complete teeth
1- Surgical Extraction of Teeth with Intact CrownWhen the extraction involves a multi-rooted maxillary tooth, an envelope flap is created and the buccal plate is removed using a round bur, as far as the root bifurcation. The two buccal roots are sectioned and the crown together with the palatal root is then removed The two other roots are then removed separately, using a straight elevator or root tip forceps.
2- Extraction of an Intact Tooth with Hypercementosis of the Root Tip
A/ single rooted toothAn L-shaped incision is made and the flap is reflected. The buccal plate covering the surface of the root is removed, and the tooth is extracted using forceps
B/ multi- rooted teeth
1- a mandibular molar with hypercementosis at the distal root tip.
2- Envelope flap is reflected, part of the buccal plate is removed, and the tooth is sectioned buccolingually at the crown as far as the intraradicular bone3- Extraction of the normal part of the root then widening of the alveolus with a round bur, so that removal of the root is possible without fracturing the bulbous root tip. Extraction of the distal portion of the tooth using forceps after creating a pathway for removal
3- Extraction of Deciduous Molar that Embraces Crown of Permanent Tooth
Deciduous molar, whose roots embrace the crown of the succedaneous premolar
Envelope flap created and bone removed as far as the root bifurcationRoots of the molar sectioned with a perpendicular groove on the crown, which extends as far as the bifurcation
Removal of the distal portion of the tooth, which includes the crown and root, using forceps
Removal of the mesial portion of the tooth, which includes the crown and root
Suturing of the flap with interrupted sutures
4- Extraction of Ankylosed Toothtrapezoidal flap is created, which extends from the lateral incisor as far as the distal aspect of the maxillaryfirst premolar
Removal of the tooth, together with the ankylosed portion of the labial plate
Operation site after placement of sutures
Tooth after removal, with a portion of bone on the labial surface
Removal of small root fragment 3-4 mm
We have to keep the following points in our mind :1/ Provide good vision with proper lighting irrigation & suction
2/ If it is fix & deeply embedded --- open ext.
3/ If it is mobile --- close ext.
Surgical extraction of roots
1- Root Extraction After Removal of Part of the Buccal BoneWhen the tooth is single-rooted and the level of the root is below the margin of alveolar bone, an L-shaped incision is made the flap is reflected
a large part of the buccal bone is removed using a round bur until the root is exposed .The root is then luxated using a straight elevator. The root is mobilized easily, using rotational movements with the elevator and applying a small amount of pressure outwards.
After smoothing the bone margins, the surgical field is irrigated with saline solution and, after repositioning the flap, the wound is sutured
When the tooth has two roots and the roots are below the level of the margin of the alveolar process without being separated the extraction is performed as follows. First an envelope flap is created. Then part of the buccal bone is removed using a round bur, until the root bifurcation is exposed.
The roots are sectioned using a fissure bur and are removed with a straight elevator. The socket is then cared for accordingly and sutures are placed.
2- Extraction of Root after a Window is Created on Buccal Bone
This technique is indicated for the removal of roots immediately after their fracture so that the buccal bone remains intact.
After making an L-shaped incision, the flap is reflected and a small window is created, using a round bur, with constant irrigation using saline solution, on the buccal bone, corresponding to the tip of the fractured root .
The window is then enlarged, and enough of the root is exposed to allow its displacement from the socket using a narrow-angled elevator . After removal of the root, the socket is cared for and interrupted sutures are placed
The root may also be removed though the window itself that was created on the buccal bone. A semilunar flap is created and complete or partial exposure of the root follows. The root is then removed from the bone deficit without difficulty, preferably using a narrow- angled elevator . This technique is usually used in cases of fractured small roots, which were not removed during the extraction procedure but remained in the socket for a long time and were eventually totally covered by bone.
3- Creation of Groove on Surface of Root
This technique is used for roots beneath the margin of the alveolar process. After an envelope flap is reflected, a small amount of buccal bone is removed, until part of the root is exposed.A groove is then created on its surface, which serves as a purchase point for positioning of the blade of elevator, to luxate the root outwards with appropriate movements. This technique is used primarily in the mandible, where the buccal bone, which in this case serves as a fulcrum, is dense and able to withstand applied pressure, as opposed to the maxilla.
4- Creation of a Groove Between Root and Bone
This technique is used for the roots of posterior mandibular teeth, where the buccal bone is dense and hard. After reflecting an envelope flap in these cases, a groove is created using a round bur between the buccal bone and the root, which makes enough room to allow for the positioning of the elevator.The blade of the T-shaped elevator is then seated in the groove, which luxates the root upwards, using the external oblique ridge as a fulcrum
Close methods for Ext. of roots
1/ Irrigation & suction rarely success2/ By apexo elevator under direct vision
Method cont.
3/ By endodontic fileMethod cont.
4/ Small round bur using friction between drill & rootMethod cont.
5/ By straight elevator using wedge tech.Policy for leaving root fragment
When the close method is unsuccessful and open method is extremely traumatic then we have to leave the root in situ
We have to balance between the benefit of removal & the risk of leaving the root
Conditions to leave root1/ small root not more than 4-5 mm
2/ deeply embedded root
3/ no infection
4/ no radiolucency apically
But if we leave the root we have to :
1/ record & inform the pt.
2/ follow up with radiograph
3/ if any problem contact the dentist
Socket cleaning
1/ Checking for any debris2/ Checking for any sharp edge
Then irrigation by warm saline or D.W
Then we have to replace flap in its origin & examination for any bleeder
Suturing
1/ Approximation of flap margins
2/ Provide hemostases3/ Prevent exposure of bone by keeping the flap over the bone
4/ Aid in maintaining a blood clot in the alv. socket






















































