بسم الله الرحمن الرحيم
ECZEMA (DERMATITIS)الاكزيما
By:
Dr. RZAN
To define eczema.
provide a classification to eczema.Outline the treatment of common eczema.
Summarize the principles of steroid use.
Objectives:
Eczema (Dermatitis)
(Eczema) is a Latin ward means boiling. Eczema=Dermatitis=inflammation of skin.Eczema is an inflammatory disorder of the skin due to an exogenous or endogenous cause. It may be acute, subacute, or chronic.
Clinical presentation of eczema
three main features:
itching. itching
Erythema.
Scaling.
Erythema scaling
These features vary according to the type and stage of eczema.
1-Acute: Itching, intense erythema, oedema, oozing surface , vesiculation (or blister formation) , erosion, crusting.2-Subacute: Itching, dull erythema & scaling.
3-Chonic: Itching, milder erythema, scaling, dryness, lichenification± fissuring.Stages of eczema:
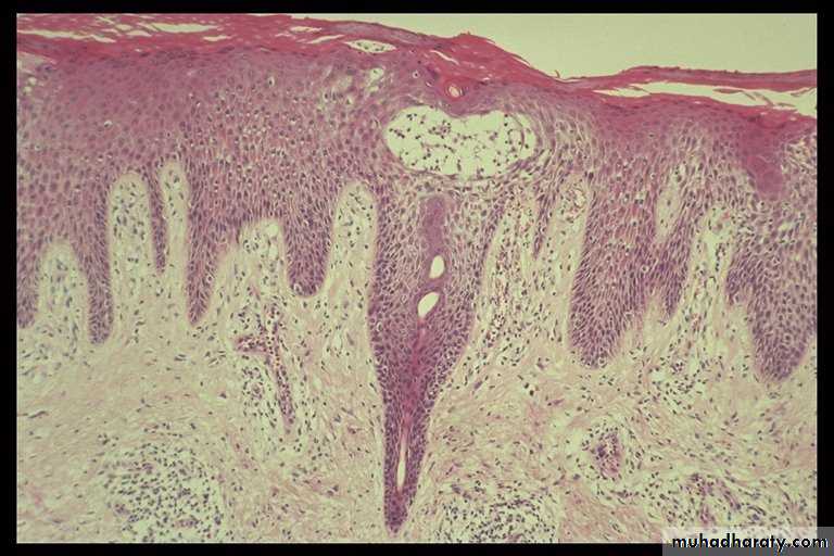
1-Upper dermal oedema, vasodilatation &inflammatory cells infiltration in the dermis.
2-Spongiosis (intercellular oedema of epidermis) which is the hallmark of eczema sometimes with spongiotic vesiculation especially in the acute stage.
3-Focal parakeratosis.
4-In its chronic state: acanthosis & hyperkeratosis.
Dermatopathology:
Diagnosis of eczema
Diagnosis of eczema is mainly clinical. Investigations are rarely needed.Patch test; Total IgE, RAST for allergic contact dermatitis.
A-general measures:
1-Explain the disease and reassure the patient.2-Identify and remove the etiologic agent.
3-Tell the patient to avoid scratching because it exacerbates eczema and increase liability for infection.
4- suitable skin care.
Treatment of eczema in general
1-Topical steroids: used according to the type, stage, severity, age of the patient, and site of involvement.
For mild cases: mild steroid like hydrocortisone 1% or 2.5%.
For moderate cases: moderate steroid like betamethasone valerate 0.1%.
For severe cases: potent steroid like clobetasol propionate 0.05%
B- Topical therapy:
*The preparation
differs according to the stage of the disease:[use the wet for the wet & dry for the dry]
For acute stage (wet): use lotions (especially for hairy area) or creams.
For chronic stage (dry): use ointments
For the sub acute stage: use creams.
NB: Avoid potent steroid in (3Fs):
Face,Flexors,
& infants.
NB: Avoid use of more than:
200gr.of mild,50g. Of moderate
&25gr.of potent steroid per week.
2-Topical antibiotics:
used whenever infection is suspected like mupirocin 2%.
Oral H1 antihistamines for pruritus:
either sedating like diphenhydramine (allermin) 25mg. Tab.Or nonsedating like loratadine 10mg. Tab
once or twice daily.
Oral antibiotics (cloxacillin, erythromycin) especially for infected eczema.
systemic corticosteroids may be indicated in severe cases,Prednisone: two-week course, 1 mg/kg. initially, tapering by 5 mg daily.
C-Systemic therapy:
There are many classifications for eczema
the aetiological classification:The exogenous eczema is the eczema that occurs in response to external stimuli;
while endogenous eczema the constitution of the patient predispose to it.Classification of eczema
A-EndogenousECZEMA
• Atopic eczema
• Seborrhoeic eczema.
• Discoid (nummular) eczema
• Pompholyx (dyshidrotic eczem).
• NURODERMATITIS.
• Varicose (stasis) eczema
• Asteatotic eczema
• Pityriasis alba.
B-Exogenous ECZEMA
1-allergic contact dermatitis
2-Irritant contact dermatitis
3-photodermatitis.
4-Infective dermatitis.
5-Radiodermatitis.
Classification of eczema
Contact dermatitis is an acute or chronic inflammatory reaction to substances that come in contact with the skin.Contact dermatitis is of two types:
irritant and allergic contact dermatitis.
Contact dermatitis
DIFFERENCES BETWEEN IRRITANT AND ALLERGIC CONTACT DERMATITIS
ALLERGIC CONTACT DERMATITIS
IRRITANT CONTACTDERMATITIS
1-Occure in genetically predisposed people2- Caused by an antigen (allergen) or(hapten).
3-There is underling immunological reaction
4-Need for previous exposure (sensitization).
• May occur in everyone
• is caused by a chemical agent that is toxic to the skin such as acids or alkali in a sufficient concentration & duration of exposure• Non immunological inflammatory reaction.
• No need for previous exposure.
ALLERGIC CONTACT DERMATITIS
IRRITANT CONTACTDERMATITIS5-Thee is delay time.
6- confined to site of exposure,peripheral extension may occur. &may be generalise.
7-Patch test could be used.
8- Total avoidance of causative agent is necessary.
• 5-No delay time.
• 6-Sharp, strictly, confined to site of exposure.
• 7-Patch test not useful.
• 8-Decraesing exposure is useful.
Contact dermatitis may occur as an occupational disease.
Site of exposure gives a clue about the causative substance:
such as hair dies, make up, detergents, perfumes, clothes, shoes,jewellaries..etc.
people liable for Contact dermatitis are:
house wives, doctors, barbers, building workers...etc
ACD
• Contact dermatitis
• Metal (nickel) dermatitis is the common form of contact hypersensitivity. It is virtually confined to females and begins in adolescence or early adult life. If plastic sleepers are used immediately following ear piercing the incidence of sensitisation is greatly reduced.
•
•
ACD
used to detect the causative agents in ACD
application of known allergens to the back of & left under occlusion to be seen after48&96 hr.s.
A positive patch test shows erythema and papules, as well as possibly vesicles.
Patch Tests:
CHRONIC irrtant CONTACT DERMATITIS OF THE HANDS
This results from repeated exposures to toxic or subtoxic concentrations of offending agents (alkaline detergents).repeated rubbing of the skin, prolonged soaking in water, fosters the evolution of dermatitis. Present in form of itching, dyness, roughness,scaliness& fissuring.
Housewife's dermatitis
• Primary irritant eczema of the hands• housewife's dermatitis, It is due to cumulative damage on the susceptible skin.
•
Cement CD.
is the hand eczema seen in bricklayers,In these persons, hand eczema is usually a combination of chronic irritant contact dermatitis (alkaline medium of cement, sand, rubbing) and allergic (Chromate).
Rx: (same Rx) with stopping exposure or using gloves.
This is a primary irritant effect of body fluids on the skin. The eruption is essentially confined to the area in contact with the diaper.
It is very common in infancy
(but could affect old people who use diapers).
caused by contact with urine & faeces ( bacteria in the last split urea (in urine) to ammonia which is very irritant.
The infant is irritable
the area (especially convex areas) is mildly to intensely errythematous, macerated ± papules, vesicles& ulcers.
DDx:1-candidiasis which often accompany it.
2-seborrhoeic dermatitis.
3-Tinea cruris.
4-Bacterial infections
5-Inverted psoriasis.
Rx.: avoid using occlusive diapers, keep the area clean &dry ,use mild topical steiod along with topical antifungal.
Napkin (diaper) dermatitis
many patient have photo aggravation of their cd.
Or develop the dermatitis only upon exposure to light,so dermatitis will involve mainly the sun exposed parts.
s. a.:face, hands, forearms; with sparing of shaded areas s.a. under the chin.
photopotection is necessary for Rx.
Photo dermatitis:
ENDOGEOUS ECZEMA
Definition:Atopic dermatitis (AD) is a type of endogenous eczema
• chronic or chronic relapsing
• pruritic inflammation of the skin,
• it's C.F.& distribution differs according to the age group,
• often occurring in association with a personal or family history of atopy
• ( hay fever, asthma, allergic rhinitis, or atopic dermatitis.)
• 5-IgE level usually high.
Atopic Dermatitis
Type I hypersensitivityreaction
Interaction of the antigen with IgE (skin-sensitizing antibody); release of vasoactive substances &inflammatory medeators from both mast cells and basophils.
Pathophysiology:
Sex: Slightly more common in males than in females.
Hereditary Predisposition:Over two-thirds of patients have a personal or family history of atopy,
with maternal penetrance stronger than paternal.
First male baby in the family is more vulnerable to have the disease.
Skin Symptoms:
Patients have dry skin.
Pruritus is the sine qua non of atopic D.
“Eczema is the itch that rashes.”
1-INFANTILE ATOPIC DERMATITIS
Age: in first 2 months TO 2 years of life.Skin Lesions: Itching, intense erythema, oedema, oozing surface , vesiculation, erosion crusting.
Infant usually irritable.
DISTRIBUTION:
face,
lateral aspects of the legs,
trunk
arms.
Stages of AD
.
May evolve from infantile AD. Or starts de novo.
Skin Lesions:Papular, scaly,lichenified plaques.
DISTRIBUTION:
antecubital and popliteal fossae, wrists
.May resolve at his stage or continue to adulthood
CHILDHOOD-TYPE ATOPIC DERMATITIS
May evolve per se or arise from childhood AD.
Skin Lesions:Itching is severe & paroxysmal,
scaling, dryness, lichenification ± fissuring.
Distribution of Lesions:
flexures, front and sides of the neck,
eyelids, forehead, face,
wrists, and dorsa of the feet and hands,
or generalized.
Besnier's prurigo: This is a term used to describe a predominantly excoriated (scratched) skin in atopic eczema.
3-ADULT-TYPE ATOPIC DERMATITIS
1- Bactereal infections ex.s.aureus infection.
2-severe viral infections s.a. herpes simplex infection (eczema herpeticum). widespread infection with the herpes simplex.3-poor growth.
4-Local& systemic SE. Of steroids.
5-Negative psychological effects
Complications:
eczema herpeticum
1-CBP. Shows eosinophilia.
2-Total IgE:Increased IgE in serum.
3-Radioallergosorbent Testing (RAST):
detects specific IgE for causative allergen.
Investigations:
• scabies.• Xerosis
• systemic causes of itching.
• dermatitis herpitiformis.
• allergic contact dermatitis.
• Urticarea.
Treatment: is the same,
avoid irritants,
avoid scrupulous bathing,
emollients.
Differential diagnosis
Definition: Type of endogenous eczema characterized by redness and scaling. Occurring in regions where the sebaceous glands are most active.
Pathophysiology: Pityrosporum ovale is said to play a role in the pathogenesis.
Age: Infancy& after puberty,.
Sex More common in males.
Skin Symptoms: Pruritus is variable
Seborrhoeic Dermatitis
Skin Lesions:
Errythematous patches with Yellowish greasy scaling.Mild scalp SD causes flaking, i.e., dandruff (or white dry scaling: pityriasis sicca).
Distribution:Scalp, eyebrows, eyelashes (blepharitis), glabella, nasolabial folds, , retroauricular area, auditory meatus, over the sternum, submammary areas, axillae, umbilicus, groins, anogenital area.
Seborrheic dermatitis Erythema with yellow-orange and scaleforming
plaques on the upper lip, cheeks, nasolabial fold, eyebrow area, glabella,and forehead; similar lesions were also present in the retroauricular areas and presternal chest.
“Cradle cap” IS its simplest and commonest form, it affects the scalp as yellow thick sticky crusts, surrounded by erythema. A common short-lived non-pruritic inflammatory disorder of the first few weeks of life(onset at 4-6 weeks of age)
affecting especially the scalp, face, axillae and napkin area disappears within 6 weeks.
The napkin area is often affected but the eczema spreads beyond the location covered by the napkin (diaper) onto the abdomen and trunk. The patches are red, scaly and ill-defined.
Seborrhoeic eczema of infancy
• Psoriasis vulgaris.
• dermatophytosis (tinea capitis, tinea faciale, tinea corporis),• candidiasis (intertriginous).
• Tinea Amiantacea.
• Contact dermatitis.
Diagnosis: clinical.
Differential Diagnosis
A-general measures:
Regular bathing.Avoid irritant & oily applications.
B-Topical Therapy:
1-FOR scalp shampoos containing 2 % ketoconazole,
lather can be used on face and chest.
Ketoconazole cream for the body.
2-Corticosteroids for more severe cases;
hydrocortisone or low-potency corticosteroid solution, lotion, or gel( for scalp)
1 % or 2.5% hydrocortisone cream for other sites.
* Treatment of seborrhoeic eczema of SCALP IN infancy is emollients.
TREATMENT:
a chronic, intensely pruritic, coin-shaped erythematous scaly plaques,during winter months;
often seen in atopic individuals.
Age: Two peaks in incidence: young adults and old age.:
Plaques may be exudative and crust( wet type).
Or dry scaly (Dry type).
DISTRIBUTION: Lower legs, trunk, hands and fingers or generalized.
Pathophysiology: Unknown.
Differential diagnosis: tinea, DLE., PSORIASIS. CD
Diagnosis: clinical, biopsy shows eczema.
Treatment: (same)
Discoid eczema (Nummular Eczema)
Nummular eczema:
coin-shaped Pruritic, erythematous, scaly plaques.
Definition: A pruritic, episodic, sometimes chronic vesicular eruption of the palmar (Cheiropompholyx) (80 %) or plantar ( Podopompholyx) surfaces.
Age: Majority under 40 years (range 12 to 40 years).
Sex: Equal ratio.
Lesions: very itchy deep seated tiny vesicles along the sides of the fingers and palms,and sides toes, and soles.
may coalesce and become bullae.
which weep and become painful dry, hyperkeratotic and fissured.
Associations:
It is more common in atopics,
occasionally an 'id' reaction to a severe tinea pedis.
Emotional stress is possibly a precipitating factor.
in hot, humid weather.
Differential diagnosis: contact dermatitis, vesicular type of tinea pedis.
Diagnosis: clinical, biopsy, shows eczema.
Treatment: (same)
Pompholyx (dyshidrotic eczema)
Confluent vesicles and bullae within the thick
epidermis of the palms with underlying erythema and edemaDefinition: A pruritic eczematous condition resulting from continued rubbing and scratching at a localized area of the skin
associated with a period of anxiety.
Age: Over 20 years.
Sex: More frequent in women.
Lesion: Characteristicly itchy lichenified plaque
well defined, unilateral flesh coloured, pink or hyper pigmented. Pruritus, often in paroxysms.
And it becomes a pleasure to scratch.
Often the rubbing becomes, reflexive and a subconscious habit. Lightly stroking the involved skin with a cotton swab generates a strong desire to scratch the skinThe constant scratching leads to a vicious cycle of:
scratch release histamin itch. scratching
Distribution:, especially: back of neck (female), just below elbow, back of hand, genitalia, buttock, lower leg.
Diagnosis: clinical, biopsy - rarely required, shows eczema.
Differential diagnosis: hypertrophic lichen planus.
Treatment: (same) Releave anaxiety,stop scatching superpotent topical steroids under occlusion
Lichen simplex chonicus (neurodermatitis)
Definition: An inflammatory disorder of the skin of the lower legs associated with venous hypertension.
Lesion: an itchy ill-defined, erythematous patches with fine scaling, sometimes with excoriations, on lower legs, especially around varicosities.
Complications:
1- contact dermatitis from medicaments,
2- infection.
3- Ulcer.
4- Inverted champagne bottle look to the leg may result from prolong disease ulceration and fibrosis.
Treatment: of venous insufficiency, + Rx. Of eczema.
Varicose (stasis) eczema
Asteatotic dermatitis (eczema craquelatum), is a common pruritic dermatitis
that occurs in the winter
and in older persons
on the legs, arms, and hands but also may be on the trunk.
itchy, eyhematous scaling dry, “cracked,” fissured skin
Very often the eruption results from too frequent bathing.
Rx.:
avoid overbathing with soap,
, and using water baths containing bath oils
followed by immediate liberal application of emollient ointments.
mild to medium-potency corticosteriod ointments applied twice daily until the eczematous component has resolved.
Asteatotic Dermatitis
Very common especially amnong atopic individuals hypopignmented patch with powdery scales
most commonly on the faceusually affect adolescents &children
may be associated with intestinal helmenths.
DDx.:
• vitiligo,
• tinea versicolor,
• leposy,
• postinflammatory hypopigmentation.
Rx.:Dx&Rx. intestinal helmenths, avoid excessive sun exposure, lubricant± mild topical corticosteroid.
Pityiasis alba






























