NEOPLASIA
NomenclatureNeoplasia
.new growthTumor
.swelling
Oncology
.study of neoplasms
Cancer
.common term for malignant neoplasm
Neoplasm
.abnormal mass of tissue, growth ofwhich exceeds & is uncoordinated
with that of normal tissues & persists
in the same excessive manner after
cessation of stimuli which evoked the
change
.neoplasms have 2 components -parenchyma (neoplastic cells) -stroma (supportive connective tissue) desmoplasia .is a term applied when a stroma is densely collagenous
Types of Neoplasms Based on Behavior.nomenclature of tumors & their biologic behavior are based on parenchymal component -benign -malignant
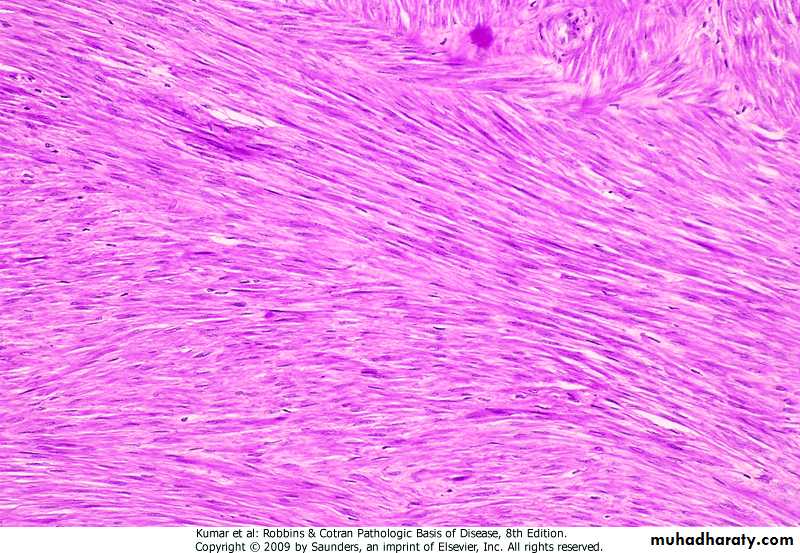
Benign Neoplasms.have innocent microscopic & gross features .remain localized.amenable to local surgical removal.patient generally survives.in mesenchymal neoplasms, oma is attached to cell of origin (fibroma, chondroma, osteoma, leiomyoma, rhabdomyoma)
Leiomyoma
.in epithelial neoplasms nomenclature
depends on• -cell of origin, (adenoma)
• -microscopic pattern &/or macroscopic
• architecture (adenoma, papilloma,
• cystadenoma, papillary cystadenoma)
Colon, adenoma
Colon, adenoma
Thyroid, adenoma
Breast, papilloma
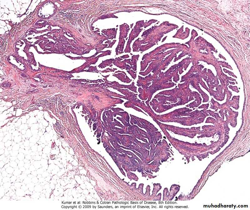
Ovary, cystadenoma
Ovary, papillary cyst adenoma
Malignant Neoplasms.can invade & destroy adjacent tissues .can spread to distant sites (metastasize) .cause death of patient.malignant neoplasms of mesenchyme are called sarcomas -fibrosarcoma (connective tissue) -liposarcoma (adipose tissue) -leiomyosarcoma (smooth muscle) -rhabdomyosarcoma (skeletal muscle)
.malignant neoplasms of epithelium are called carcinomas
-adenocarcinoma (glandular pattern)
-squamous cell carcinoma (squamous differentiation)
.malignant tumors with undifferentiated cells of unknown tissue origin are called undifferentiated malignant tumors
(anaplastic)
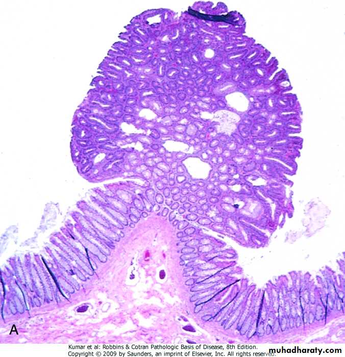
Polyp.benign or malignant neoplasm with macroscopically visible projection above a mucosal surface projecting into gastric or colonic lumen
Colon, polyp (adenoma)
Colon, polyp (adenoma)
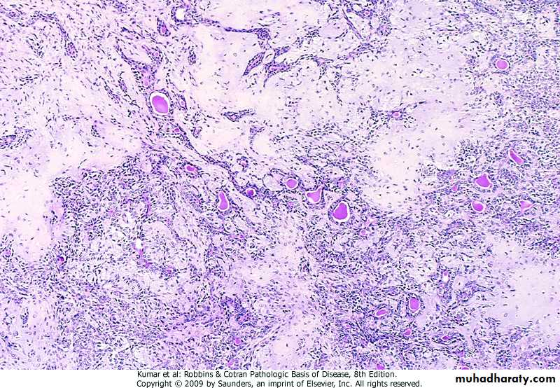
Mixed Neoplasm
.divergent differentiation of a single neoplastic clone along two lineagesSalivary gland, mixed tumor
Teratoma.neoplasm arising from more than one germ layer (totipotent cell)Ovary, teratoma
Choristoma.ectopic rest of normal tissueHamartoma.mass of disorganized mature cells or tissue indigenous to particular site











