Fixed
OrthodonticAppliances
DEFINITION
Fixed Appliances are devices or equipments that are attached to the teeth , cannot be removed by the patient and are capable of causing tooth movement.INDICATIONS
Fixed Appliances are indicated when precisetooth movements are required
• Correction of mild to moderate skeletal discrepancies
• Correction of rotation
• Overbite reduction by intrusion of incisors
• Multiple tooth movements required in one arch
• Active closure of spaces: extraction spaces/hypodontia
• Intrusion/ Extrusion of teeth
INDICATIONS
Fixed Appliances are indicated when precisetooth movements are required
Removable VS. Fixed Appliance
Removable
tipping only.
No root control.
Patient co-operative
Hygienic.
FixedBodily.
Control of root.
Less dependent on Patient co-operative.
Less Hygienic.
COMPONENTS
OF FIXED APPLIANCESMain components in the fixed orthodontics appliance
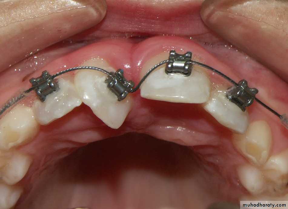
BandsArch wire
Brackets
Bands are thin strips of stainless steel which are adapted to the contours of the tooth to which attachments are welded or soldered
TYPES :
1. Preformed
2. Custom made
1. Molar Bands
2.Premolars
3.Incisors
Bands
Indications for Banding
Teeth that will receive heavy intermittent forces against the attachments.Teeth that will require both labial and lingual attachments.
Teeth with short clinical crowns.Teeth with extensive restorations.
Ideal Properties
• High elasticity ( ability of a wire to resist a stress and to return to its original shape when the stress is removed)• Low Stiffness (is the rigidity of an wire)
• High formability (it is the amount of permanent deformation that the wire can withstand before reach the failure point
• High range (is the distance that the wire can bend elastically before permanent deformation).
• High strength (strength =stiffness Range)
• Biocompatibilty
Archwire
Stainless steel/ chromium18%
High formaibilityNickel-Titanium (super elastic)
High spring back
materials
The force required for orthodontic tooth movement is transmitted from the active components through the bracket to the teeth.
Brackets
METTLIC BRACKETSAdvantage:
• they can be recycled.
• They can be sterilize.
• They resist deformation and fracture.
• They exhibit less friction at the wire bracket interface .
• They are not very expensive
• Disadvantage:
• 1- they are esthetically not pleasing
• 2-corroid and straining of the teeth
Plastic BRACKETS
Advantage:• esthetic value improved
• Disadvantage:
• 1- they tend to discolor.
• 2- offer pore dimensional stability.
• 3- exhibit greater friction at bracket wire interface
CERAMIC BRACKETS
Advantage:• they are dimensionally stable.
• They are durable and resist stain.
• More esthetic.
• Disadvantage:
• 1- very brittle and more chance for fracture.
• 2-exhibit greater friction at bracket wire interface
Lingual BRACKETS
Advantage:• esthetic
• Disadvantage:
• 1- higher cost.
• 2- more time .
• 3- difficult in adjustment.
• 4- discomfort to patient
SELF LIGATING BRACKETS
Reduced friction with self ligating brackets is the primary advantage
Advantage of self ligating brackets
• reduced friction.• Decreased treatment time.
• Less chair side assistance.
• Less patient discomfort.
• Improve oral hygiene.
Disadvantage
1- higher cost
2- breakage of the clip or slide
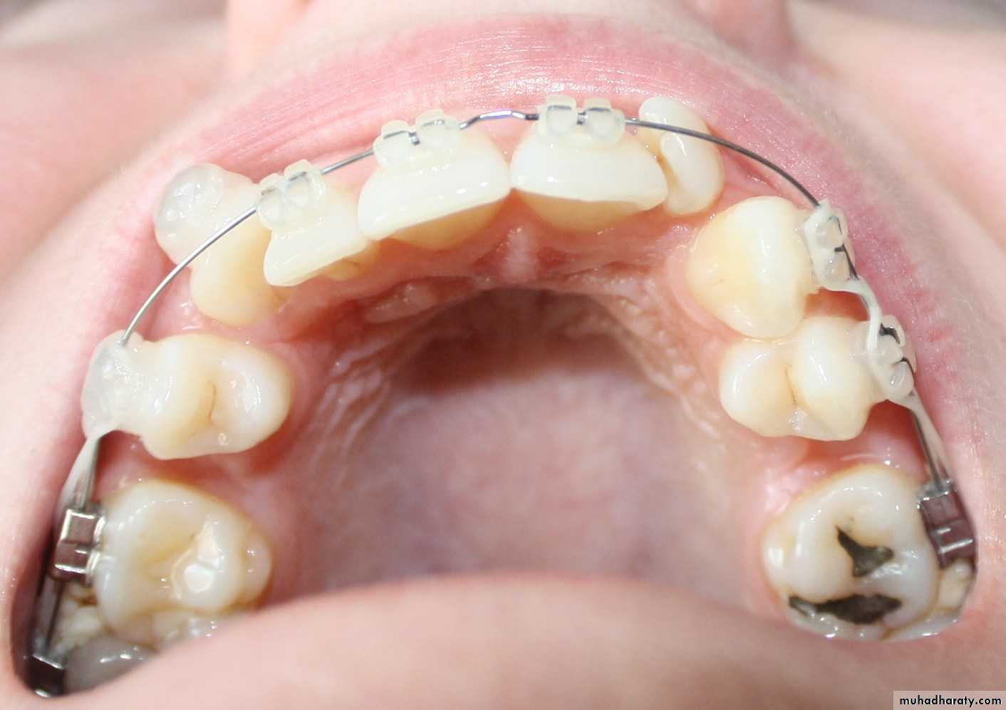
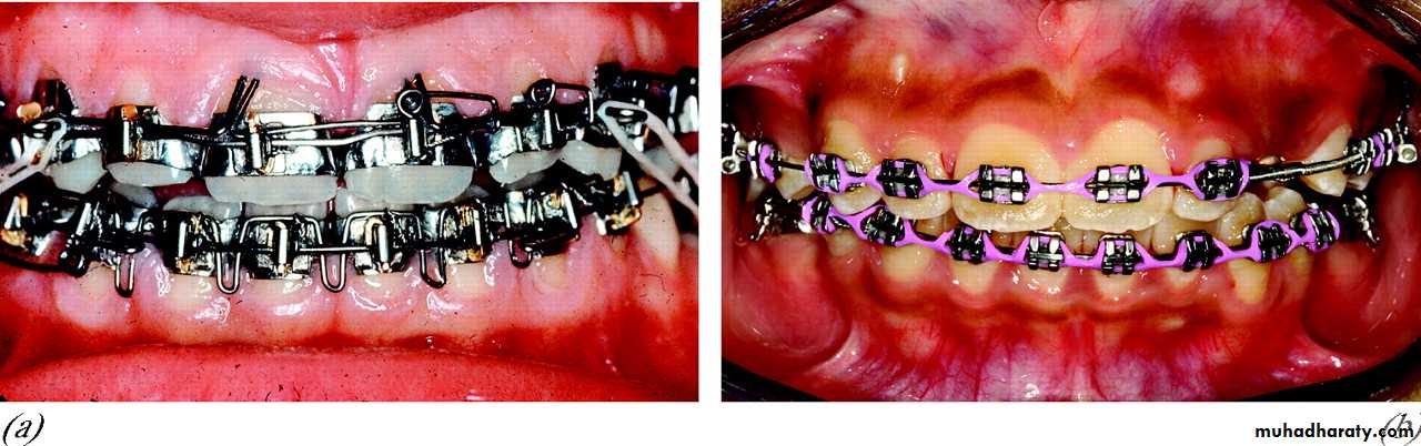
Auxiliaries
power chains :- are placed on adjacent teeth and are used to close space
Open and closed coil
Lingual arch and transpalatal arch
To increase anchorage
Extra-oral appliance (EOT)MOLAR TUBE
Accessory Archwire Slot
Main Archwire SlotHeadgear tube
SEPARTORS
• Seperators are used to create space for banding teeth
• Tight proximal contacts does not allow proper banding of teethPRINCIPLE:
• It is a device to wedge the teeth in place B/w the teeth
TYPES
Metal seperators
Elastic seperators
TYPES
Metal seperators
Elastic seperators
Seperators
HOW TO ATTACH A FIXED APPLIANCE TO THE TOOTH????
BANDS FOR ATTACHMENTS.• BONDED ATTACHMENTS.
STEPS IN BANDING1.SEPERATION
2.FITTING BANDS3. CEMENTATION
BONDED ATTACHMENTS
Mechanical locking of an adhesive to irregularities in the enamel surface of the tooth and to mechanical locks formed in base of the 0rthodontic attachment.COMPONENTS OF THE SYSTEM :
1. Tooth surface and its preperation.
2. The design of the attachment base.
3. Bonding material itself
Material and equipment for bonding
Direct Bonding
1. Cleaning
2.Acid etching3.A small amount of bonding agent is squeezed into the mesh on the base of the bracket , and it is pressed to place on the tooth surface.
4.Excess bonded material is removed from around the bracket
6.The bracket is bonded in place.5. light cured materials, light is used to activate the adhesive bonding process
Indirect Bonding
1.Brackets are placed precisely on a cast of the teeth and held in place with a fitted resin
2.After the brackets are cured in the ideal position, a transfer tray is formed and placed on the working cast.
3 The trays are removed from the working cast after soaking in warm water and trimmed.
4. The teeth are isolated , etched, and a chemically cured twopaste resin is painted on the etched enamel and brackets.
5. After the resin has completely set , the trays are carefully removed , leaving the brackets bonded to the teeth.
Debanding/Debonding
• Bonded attachements are almost always preferred for anterior teeth and premolars .
• Bands usually are preferred for first molars , especially if both buccal and lingual attachments are needed.• Second molars are bonded if exposure of crown allows it , banded if not.
• There is an increasing trend towards bonded attachments on all the teeth ,however, especially in older patients who have longer clinical crown and tighter contacts .
RULES!!!!!!
THE DEVELOPMENT OF CONTEMPORARY FIXED APPLIANces
ANGLE’S PROGRESSION TO EDGEWISE 1855-1930
• Only heavy interrupted forces
• Only tipping movements achieved• Unable to precisely position any individual tooth
• Overcome the drawbacks of E-Arch
• Incredible degree of craftsmanship was involved in constructing and adjusting the pin and tube appliance
• Impractical clinically
• Only Angle’s and one of his students ever mastered this appliance
• Heavy base arch meant that the spring qualities were poor
• Many small adjustments needed
• Archwire was small enough to have good spring qualities and efficiently aligned malposed teeth
• Major weakness of the appliance was that it provided relatively poor control of root position
• Resiliency of the ribbon archwire did not allow generation of moments necessary to torque roots to a new position
• Incisogingival and buccolingual tooth movements were possible but mesiodistal tooth movements could not be achieved
• Ability to move teeth in all 3 planes of space
• Good control over tooth movement
• Bodily movement possible
• Precise finishing possible
1.E-Arch
2.Pin and Tube
3.Ribbon Arch
4.Edgewise
BEGG’S APPLIANCE
Modified ribbon arch technique and introduced the Begg’s applianceBegg’s change the ribbon in 3 forms:
• Replaced metal arch wire with high strength 16 mil stainless steel• 2.Retained the original ribbon bracket but upside down so that the bracket slot pointed gingivally rather than occlusally
• 3.He added auxillary springs to the appliance for the control of root position
Bends
1st order
2nd order3rd order
the original edgewise brackets need bends to make the wire set passively on the brackets when the teeth ideally aligned
CONTEMPORARY EDGEWISE
• Alteration in Bracket Slot Dimensions• Straight Wire Prescriptions
CONTEMPORARY EDGEWISE
Major steps in evolution of edgewise include :•
• Automatic rotational control
• Alteration in Bracket Slot Dimensions• Straight Wire Prescriptions
EDGEWISE TECHNIQUE IN WIRE BENDING
PURPOSECOMPENSATION
First Order/In and Out bends
To compensate for difference in thickness of labial surfaces of individual teeth
Compensated by built-in variation in thickness of bracket base
Second Order/ Tip back bends
Required for mesiodistal root positioning
Compensated by angulating bracket base or bracket slot
Third Order/ Torque bends
Required to compensate for the difference in inclination of facial surface to the true vertical
Bracket slots are inclined to preadjusted appliances to compensate for third order bends
INDIVIDUALLY CUSTOMIZED BRACKETS
• Offer the prospect of eliminating almost all archwire wire bending.
• 3D scan is taken of a dental cast
• The information is used to precisely cut each bracket using CAD/CAM technology , so that slot for each bracket has the appropriate thickness, inclination and torque needed for ideal positioning of the tooth and archwires with an arch form established for that patient are supplied.






































































































