UNIVERSITY OF BAGHDADCOLLEGE OF MEDICINEDEPARTMENT OF SURGERY
NEUROSURGERY LECTURESProf. Dr. Ali Al-Shalchy
M.B.CH.B F.IC.S M.R.C.S F.R.C.S
HEAD INJURY
CLASSIFICATION OF HEAD INJURY (H.I.)
1- Blunt injuryA-Acceleration injury
B-Decceleration injury
C-Acceleration-Decceleration injury
D-Rotational injury
2-Penetrating injury
SIGNS OF A H.I.
CLOSED H.I.
MECHANISMS OF CLOSED H.I.
OPEN H.I.
DAMAGE CAUSED BY H.I.
1-Primary2-Secondary
A-Infection
B-Brain oedema
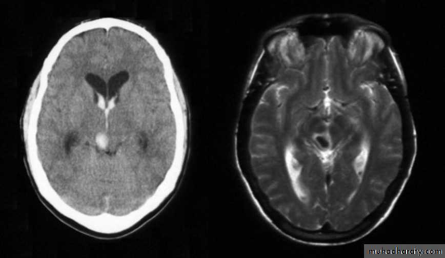
C-Intracranial hemmorhage (I.C.H.)
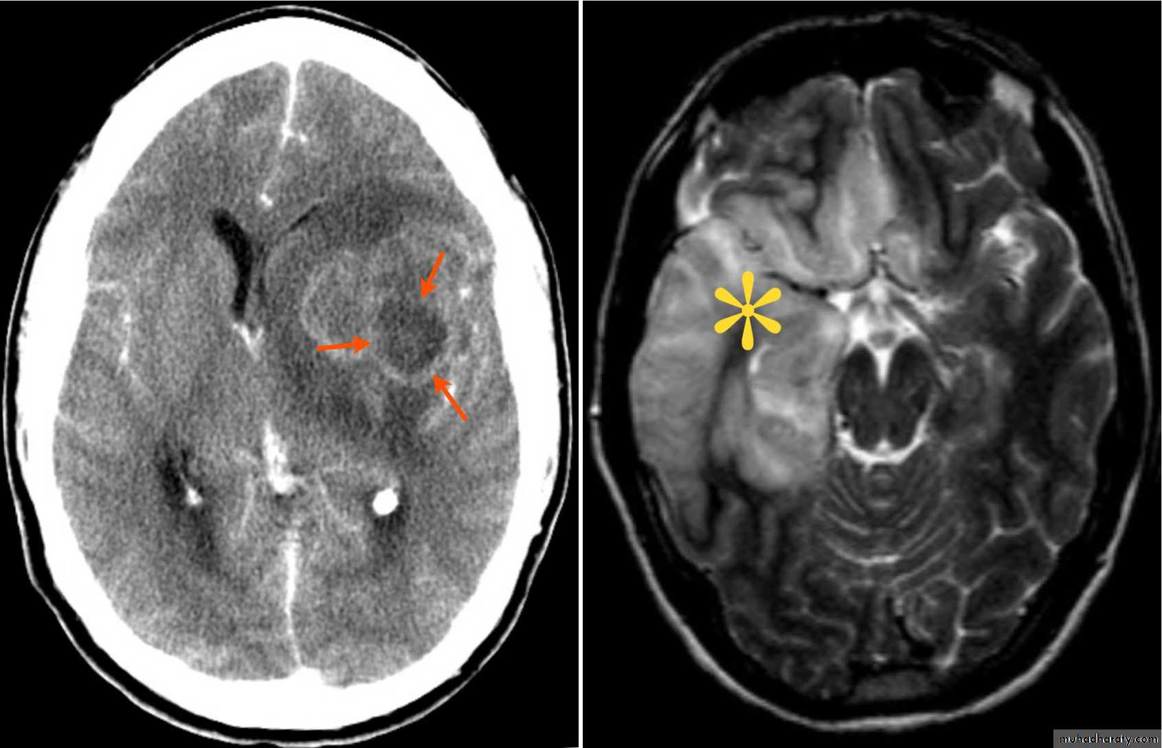
BRAIN INFECTION (ABSCESS)
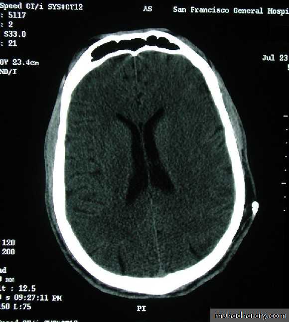
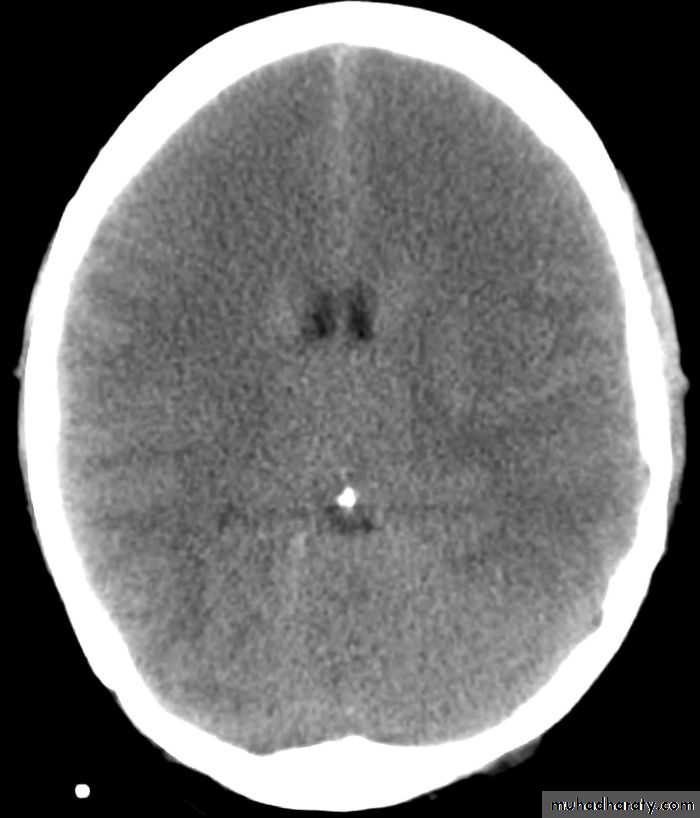
NORMAL & OEDAMATOUS BRAIN
I.C.H.
MANAGEMENT Of H.I.
Investigations1-Skull X-ray
2-CT-Scan
3-MRI
4-Angiography, EEG
CT-SCAN MACHINE
MRI MACHINE
MANAGEMENT OF NON COMPLICATED H.I.
-Indications for admission of apatient with H.I. :
1.loss of consciousness
2.skull fracture(s)
3.neurological deficit
4.medical diseases
5.convulsion following head injury
6.persistant headache and vomiting
7.doubtful cases
Line of management runs in three lines
1-Observation
A-Level of consciousness
B-Pupil
C-Vital signs
D-CNS signs (focal signs)
Level of consciousness
Glascow coma scaleCOMMENT
• SCORE• ASSESSMENT AREA
Best possible score is 15, worst possible is 3.4
3
2
1
• Eye Opening (E)
• - Spontaneous
• - To speech
• - To pain
• - None
6
5
4
3
2
1
• BEST Motor Response (M)
• - Obeys commands• - Localizes pain
• - Normal flexion (withdrawal)
• Abnormal flexion (decorticate)
• Extension (decerebrate)
• - None (flaccid)
5
4
3
2
1
• Verbal Response (V)
• - Oriented• - Confused conversation
• - Inappropriate words
• - Incomprehensible sounds
• - None
Glasgow Coma Scale
MANAGEMENT ACCORDING TO SEVERITYUNEQUAL SIZED PUPILS
2-Nursing care
A-AirwayB-Management of restless patient
C-Sphinctor care
D-Skin care
E-Feeding
F-Antibiotics
AIRWAY PIECES
ENDOTRACHEAL TUBE
ENDOTRACHEAL INTUBATION
INTUBATED SEVERELY H.I. PATIENT
TRACHEOSTOMY
TRACHEOSTOMY TUBE CARE
MECHANICAL VENTILATION
BED SORES (PRESSURE ULCERS)
TYPES OF NUTRITION
NG-TUBE
NG-TUBE
GASTROSTOMY TUBE
3-Indications for surgery
A-Simple stichingB-Open H.I. (Penetrating)
C-I.C.H.































