Gynecology
Hysterosalpingography
Indication to confirm the patency of uterine tube.Complication spread of the infection (so give antibiotics before doing Hysterosalpingography)
Causes of tubal blockage infection (chlamydia), trauma, surgery, congenital
Hysterosalpingography bicornuate uterus
Hysterosalpingography rudimentary horn and clubbing
Hysteroscope (diagnostic and therapeutic)
Show polyp + loop diathermy + cauteryIUCD minera
Indication used in contraception // progesterone releasing // used in menorrhagia to reduce the amount of bleeding.Complication infection // ulceration // ectopic pregnancy // undiagnosed bleeding.
IUCD copper
US of complete H.mole
This slide show complete H.mole + snow-strom appearance + no fetal tissue
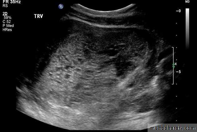
US of partial H.mole
This slide show patial H.mole + vesicles + fetal tissue
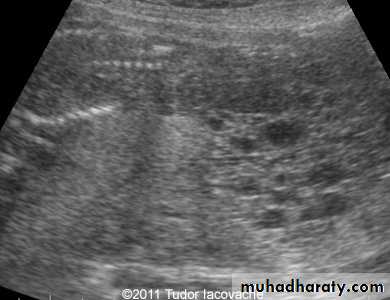
US of PCOSPCOS
In PCOS monophasic follicles
PCOS laparosocope with drillingPCOS laparosocope kissing
Maternal surface of the placenta
A == normal placenta
B == placenta perviaC == placenta accurate (abnormal placentation)
D == placenta abruption (premature sepration of the placenta)




















