Renal system seminar
Renal stones
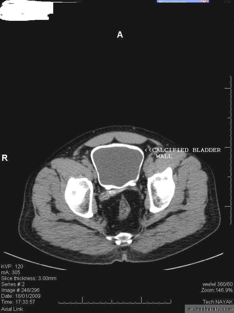
Calcification of the urinary bladder wall
bladder exstrophy
radiographic appearance in bladder exstrophy. It describes wide midline separation of the pubic bones.Bladder exstrophy (also known as ectopia vesicae) refers to a herniation of the urinary bladder through an anterior abdominal wall defect. The severity of these defects is widely variable.
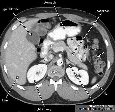
Normal CT scan of abdomen
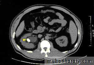
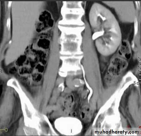
CT scanstones in kidneys
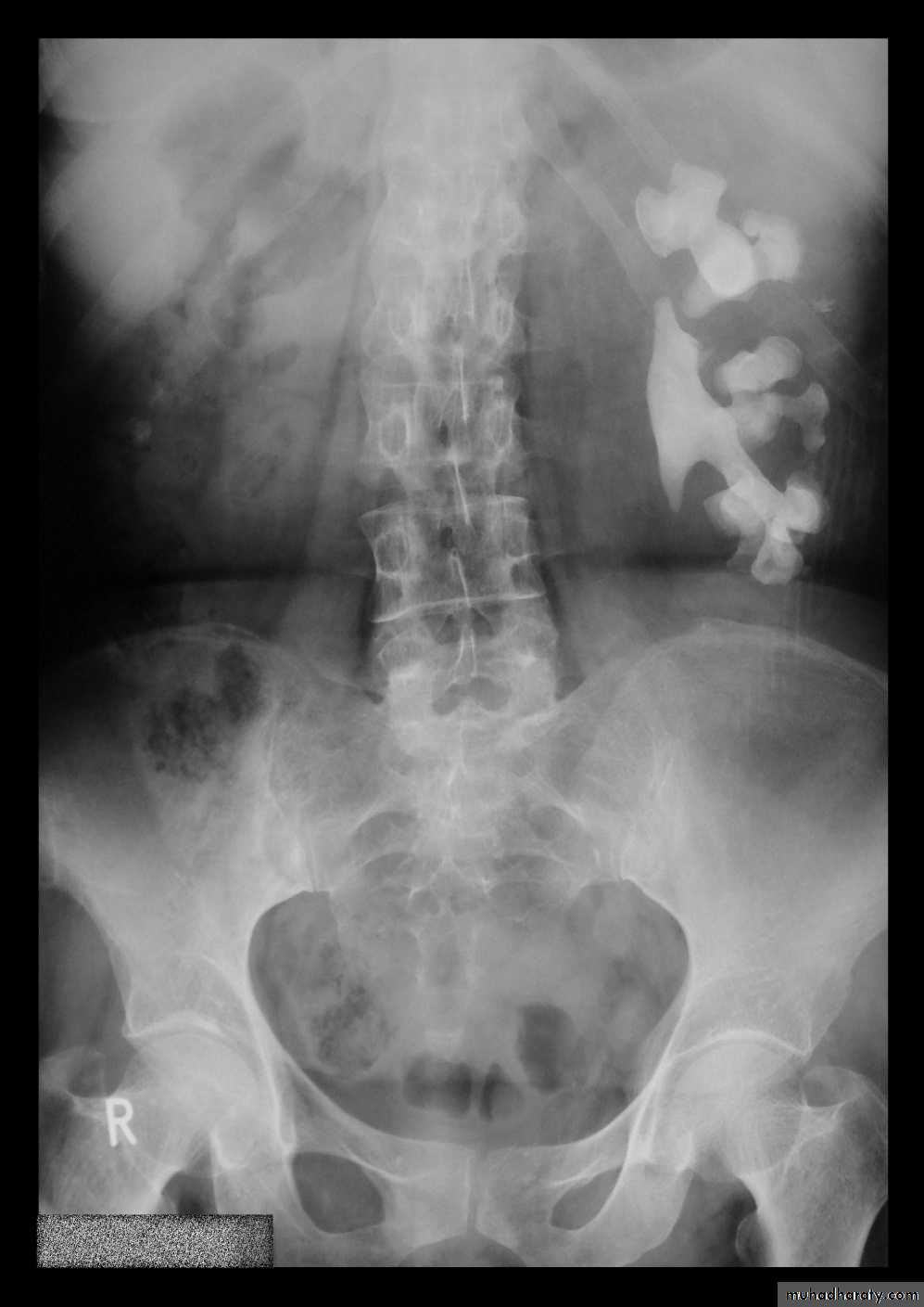
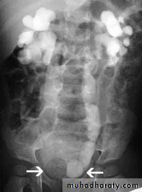
High density renal stonesStage horn calculus KUB filmsradio opaque stones
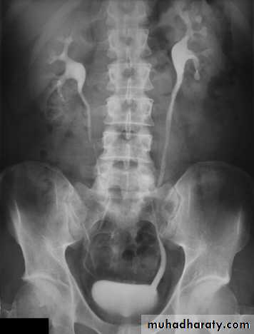
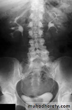
Normal IVU series
Failure of contrast to pass to ureters due to both sided mid ureteric stones
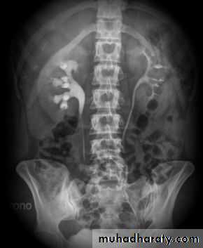
LT sided upper Ureteric stones
Bilateral HU + HN
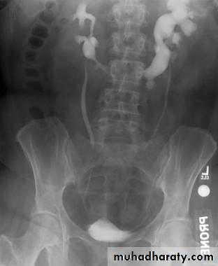
Bulb of follys cathter IVU with bilateral mild to moderate degree of HN
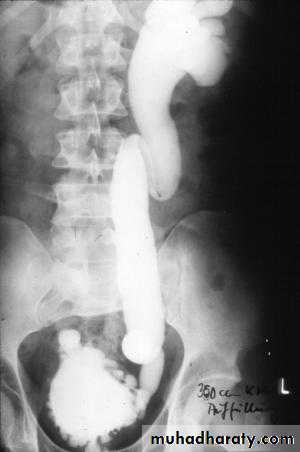
RT sided PUJ stenosis & obstruction with RT sided HN
Uretrocele (cobra head shape)distal both sided ureteric ends with dilated both ureters
Uretrocele
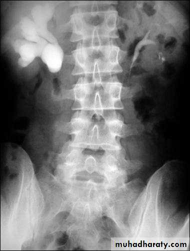
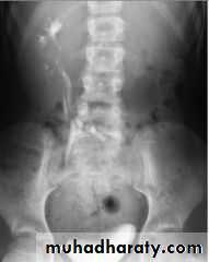
Normal renal sinus no any evidence of obstruction or PUJ stenosis or obstruction
Mega ureter
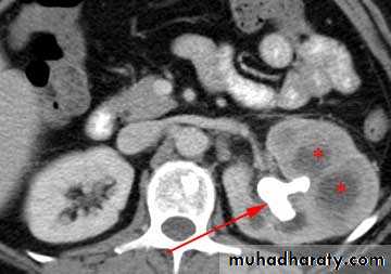
IVU demonstrate elongated stretch LT PCS due to multiple left sided renal cysts(spider leg sign)
Absent RT K Ectopic LT kidney
???? What it could be ???
Duplication of the renal system
Horse shoe kidney
Crossed ectopia
LT SIDED VUR ( HN&HN ) NEUROGENIC BLADDER Christmas tree sign
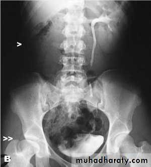
BPH with elevated bladder base
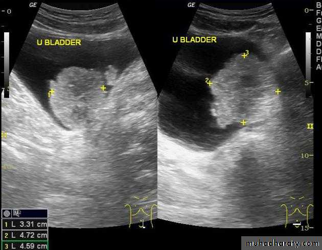
Ca Bladdermissing part of bladder in cystogram stage
Renal cell ca destruction & missing of the normal appearance of the RT PCS
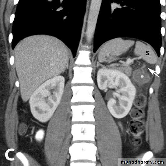
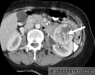
Left sided RENAL CELL CA large heterogeneous necrotic mass lesion
CT SCAN RT sided Renal cell ca.
Wilms tumor
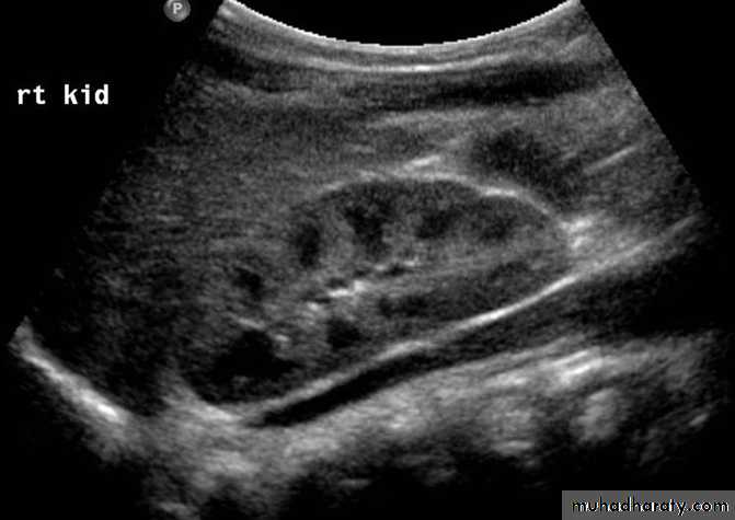
Abdominal x-ray typically reveals a large soft tissue opacity displacing bowel shadowNormal US of the renal system
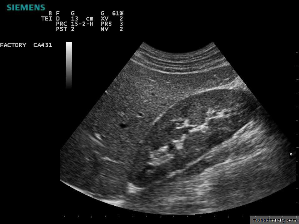
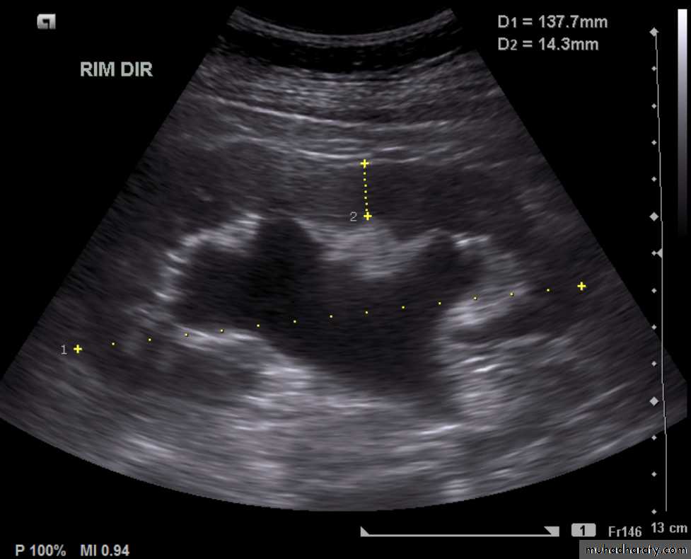
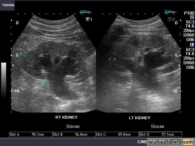
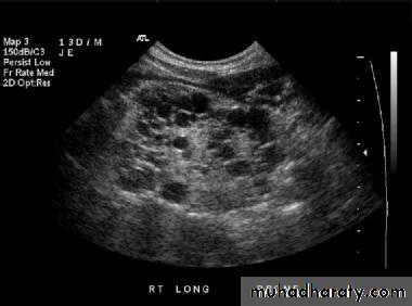
hydronephrosis
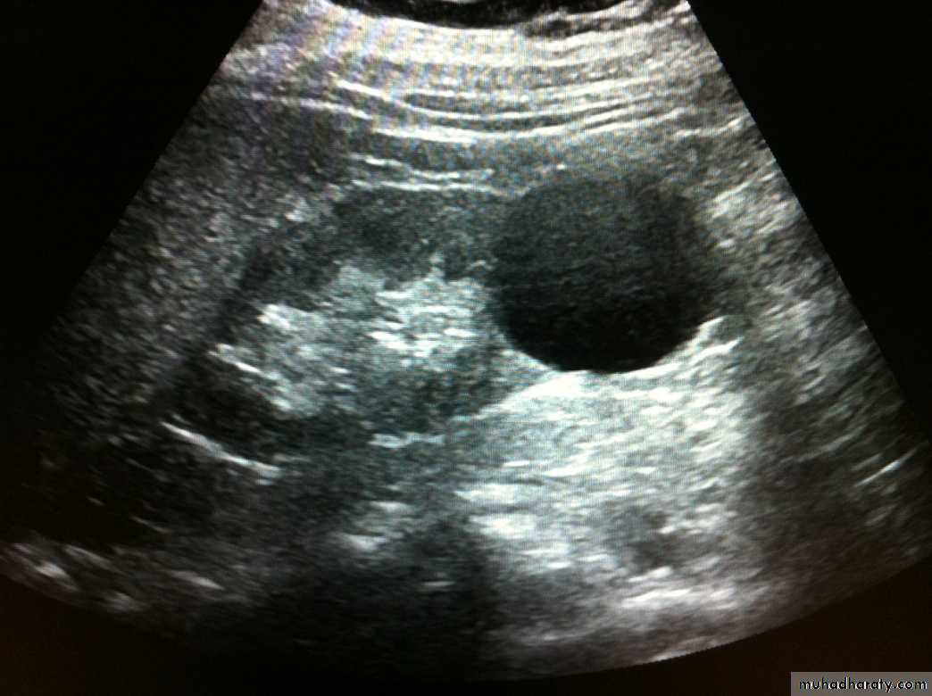
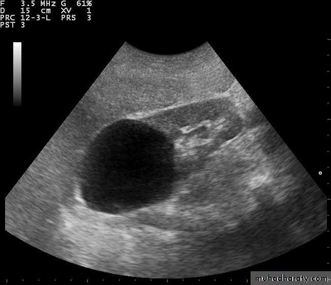
Simple renal cyst with acoustic enhancement
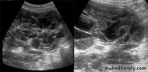
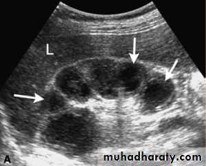
Polycystic renal disease in ultrasound demonstrate numerous cysts seen in cortex & medulla
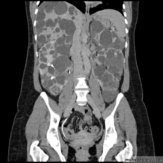
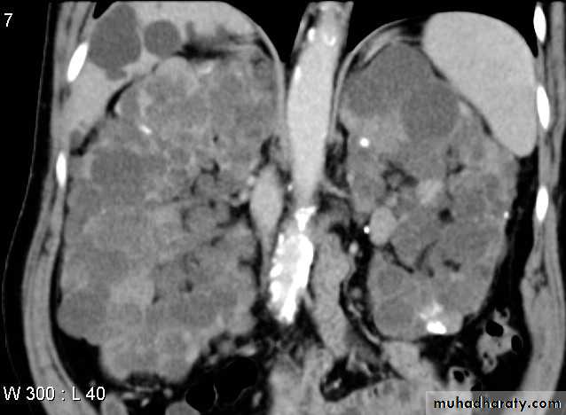
Polycystic renal disese in CT scan diffuse liver & kidney affection
Multicystic dysplastic kidney1.hypoechoic cysts of variable sizes and shapes,2.interfaces between cysts, 3.absence of an identifiable renal sinus, 4.lack of communication between cysts on sonograms,5. minimal surrounding parenchyma







































































