مواضيع المحاضرة: SHOULDER CLINICAL EXAMINATION
قراءة
عرض



Practical sessions

بسم الله الرحمن الرحيم

1

The shoulder 'joint' in fact comprises three components-

the gleno-humeral joint or

shoulder joint proper,

acromio-clavicular joint,
and
the sterno-clavicular


Practical sessions



2

SYMPTOMS

Pain
Stiffness
Deformity
Swelling
3

How to Start

• IPEEP
• INTRODUCE.
• PERMISSION.
• EXPLANTION.
• EXPOSURE.
• POSITION.

4

The Apley System

All joint examinations follow this system:
Look
Feel
Move : Active then Passive
Special Tests
Radiograpgy.


5

Radiographic Anatomy

Practical sessions


6

Inspection

Bone contours and alignment

Soft-tissue contours

Colour and texture of skin
Scars or sin uses

Practical sessions


Practical sessions


7


Inspection(look)
Front & back

Height of shoulder and scapulae

Muscle atrophy,

asymmetry

Practical sessions


8


Practical sessions


9


Practical sessions


10



Practical sessions


Practical sessions


11


Practical sessions


12

Palpation

Skin temperature
Bone contours
Soft-tissue contours
Local tenderness

Practical sessions


13


Palpation
Surface Anatomy (Anterior)

Clavicle

SC Joint
Acromion process
AC Joint
Deltoid
Coracoid process
Pectoralis major
Trapezius
Biceps (long head)
Practical sessions

AC joint

SC joint

biceps

14


Palpation
Surface Anatomy (Posterior)

Scapular spine

Acromion process
Supraspinatus
Infraspinatus
Deltoid
Trapezius
Latissumus dorsi
Scapula
Inferior angle
Medial border
Practical sessions

Supraspinatus

Infraspinatus

Inferior angle of scapula

15


Movements
Distinguish between gleno-humeral Movement
and
Scapular movement during
16

abduction,

flexion,
extension,
lateral rotation,
and medial rotation

17

Pain on movement

? Muscle spasm
? Crepitation on movement

18

Range of Motion

Forward flexion:
160 - 180°


Extension: 40 - 60°

Abduction: 180◦

Adduction: 45 °

Internal rotation:

60 - 90 °

External rotation:

80 - 90 °
Practical sessions


Practical sessions


Practical sessions


Practical sessions


Practical sessions



Practical sessions


Practical sessions


Practical sessions


Practical sessions

Apley Scratch Test

19


Practical sessions


20


Practical sessions


21


Power
Cervico-scapular and thoraco-scapular
muscles
(controlling scapular movement)-
Elevation of scapula,
retraction of scapula,
abduction-
rotation of scapula.
22

Scapular dyskinesis (Scapulothoracic dysfuntion)

Compare scapular motion through ROM on both sides

Wall push-ups

Symmetrical
Smooth
No or minimal winging
Practical sessions



Practical sessions


23

S capulo-humeral muscles (controlling

movement at gleno-humeral joint)
-Abduction, adduction,
flexion, extension,
lateral rotation,
medial rotation

24

Acromio-clavicular joint

Examine for swelling,
increased
warmth, tenderness,
movement, and stability
25

Sterno-clavicular joint

Examine for swelling,


increased warmth, tenderness,
Movement.

and stability

26

Grade strength on 0 → 5 scale

0: no contraction
1: muscle flicker; no movement
2: motion, but not against gravity
3: motion against gravity, but not resistance
4: motion against resistance
5: normal strength

27

Strength Testing

External rotation

Tests RTC muscles that ER the shoulder

Infraspinatus
Teres minor


Arms at the sides

Elbows flexed to 90 degrees

Externally rotates arms against resistance
Practical sessions


Practical sessions


28

Strength Testing

Internal rotation

Tests RTC muscle that IR the shoulder

Subscapularis

Arms at the sides

Elbows flexed to 90 degrees
Internally rotates arms against resistance


Subscapularis Lift-Off Test

Other techniques

Practical sessions


Practical sessions


Practical sessions


29

Strength Testing

Supraspinatus

“Empty can" test

Jobe’s Test

Tests Supraspinatus

Attempt to isolate from deltoid

Positioned sitting

Arms straight out
Elbows locked straight
Thumbs down
Arm at 30 degrees
(in scapular plane)
Attempts to elevate arms against resistance
Practical sessions



Practical sessions


Practical sessions


30

SENSORY EXAMINATION

31


Practical sessions


32

Impingement Signs

Practical sessions


Practical sessions

Hawkins

Neer
33


Speed’s TestBiceps Tendinopathy
Long head of biceps tendonitis
Fwd flex to 90°, abd 10°, full supination
Apply downward force to distal arm
Pain = (+) test
weakness w/o pain = muscle weakness or rupture
Practical sessions


34

Sulcus Sign

Inferior instability
Arm relaxed in neutral position, pull downward at elbow
(+) test = sulcus at infra-acromial area
compare to unaffected side
Practical sessions


35

Instability: Apprehension Test

Anterior instability


Shoulder abducted to 90°
Slight stress to humeral head directed in anterior direction
While externally rotating shoulder

Positive test is apprehension due to feeling of instability or impending dislocation

Beware if false positives
Practical sessions


Practical sessions


36

Drop Arm TestSuggestive of Rotator Cuff Tear

Passive abduction to 90°
Instruct patient to slowly lower arm
At 90° abducted arm will suddenly drop, may need to add slight pressure
(+) drop = (+) test
Practical sessions


37


Cross-Arm Adduction Test
AC joint pathology
Arm flexed to 90°
Hyperadduct arm across body as far as possible
Pain in AC = (+) test
Practical sessions


38

EXAMINATION OF POTENTIAL EXTRINSIC SOURCESOF SHOULDER SYMPTOMS

The investigation should include:
I) the neck,with the brachial plexus;
2) the thorax, with special reference to the heart and pleura; and
3) the abdomen, for subdiaphragmatic lesions.

39

GENERAL EXAMINATION

3.
General survey of other parts of the body.
Referred pain in the shoulder region. The pain referred from an irritative lesion of the brachial plexus often extends from the base of the neck,
over the top of the shoulder,
and thence into the arm.
40


CLASSIFICATION OF DISORDERS OF THE SHOULDER REGIONDISORDERS OF THE SHOULDER (GLENO-HUMERAL) JOINT
41

ARTHRITIS

Pyogenic arthritis
Rheumatoid arthritis
Tuberculous arthritis
Osteoarthritis

42

MECHANICAL DERANGEMENTS

Recurrent dislocation
Complete tear of the tendinous cuff
Painful arc syndrome
(including calcified deposit in tendon)
Rupture of the long tendon of biceps

43

MISCELLANEOUS

Tenosynovitis of the long tendon of biceps.
'Frozen' shoulder


44

DISORDERS OF THE ACROMIO-CLAVICULAR j01NT

Osteoarthritis
Persistent dislocation or subluxation

45

DISORDERS OF THE STERNO-CLAVICULAR JOINT

Arthritis
Persistent or recurrent dislocation
46

Examples for shoulder joint problems

47

Shoulder Dislocation/Anterior Instability

Humeral head dislocates from glenoid fossa

Almost always anterior (95%)


Usually traumatic with injury to capsule-labrum complex

Practical sessions


48

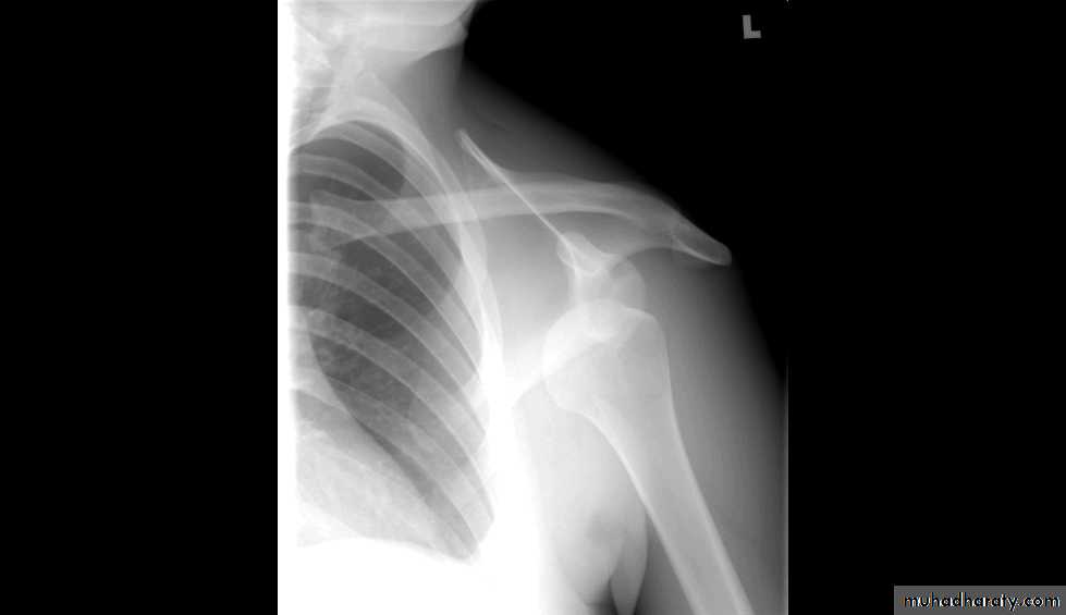
X RAYS

Practical sessions

DIAGNOSIS???

Practical sessions


49

Impingement Signs

• Neer’s Sign
• Arm fully pronated and placed in forced flexion
• Trying to impinge subacromial structures with humeral head
• Pain is positive test

Practical sessions



50

Impingement Signs

• Hawkin’s Sign
• Arm is forward elevated to 90 degrees, then forcibly internally rotated
• Trying to impinge subacromial structures with humeral head
• Pain is positive test
Practical sessions


Practical sessions


51

Rotator Cuff Tear

Partial thickness tear
Full (Complete) thickness tear

May be due to:

Impingement
Degeneration
Overuse
Trauma


Partial tears
Conservative

Complete tears

Surgery
Practical sessions


52




رفعت المحاضرة من قبل: Abdalmalik Abdullateef
المشاهدات: لقد قام 40 عضواً و 229 زائراً بقراءة هذه المحاضرة








تسجيل دخول

أو
عبر الحساب الاعتيادي
الرجاء كتابة البريد الالكتروني بشكل صحيح
الرجاء كتابة كلمة المرور
لست عضواً في موقع محاضراتي؟
اضغط هنا للتسجيل