بسم الله الرحمن الرحيم
Psoriasis
الصدفية Dr.Rzan
Objectives:
1-Define Psoriasis.2-Outline the epidemiology of Psoriasis ..
3-Define its aetio_pathogenesis.
4-Describe the clinical presentation.5- Demonstrate the management.
Psoriasis is a chronic, inflammatory papulosquamous skin disorder.
characterized by salmon pink plaques covered with white-scales.Unpredictable course:
Usually chronic course with exacerbations and remissions
Psoriasis:
Epidemiology:
1-2% of the general population.Any race can be affected.
Equal sex ratio.
Any age involved (mostly 15-45 years).
Aetiology:
The exact cause is unknown.Multifactorial aetiology:
[Genetic +Environmental factors.]
The basic two defects are:
Hyperproliferatio of epidermis
&Inflammationin the dermis.
Genetics of psoriasis:
• Polygenic inheritance: not follow a simple Mendelian pattern of inheritance.• Family history is 30% positive in psoriasis.
• A child has chance 16% to be affected if one parent is psoriatic and 50% if both parents have psoriasis.
• Twin concordance rate:
• Monozygotic twins 70% Vs. Dizygotic twins 20%
Individuals with HLA-Cw6 genotype have 20 times risk more than those who are HLA-Cw6 negative.
10% of HLA-Cw6 individuals will develop psoriasis.
Other HLA loci associated with psoriasis are: HLA-B13, B17 and B57.Environmental factors:
• Trauma: (Scratches, surgical wounds, burns …..).• Beta- hemolytic Streptococci → Guttate Psoriasis.
• HCV
3.Hypocalcaemia.
4. Drugs: Antimalarials,Beta-blockers,NSAIDs;IFN-α &
Lithium (may exacerbate psoriasis),Systemic or potent topical CS and Efalizumab may result in rebound psoriasis.
5. Smoking: Psoriasis is more common in smokers.
6. Emotion: Emotional upsets seem to cause exacerbations.
Pathogenesis:
1-Keratinocytes proliferation:more rapid “accelerated epidermopoiesis’’ .
The epidermal turn-over rate increase.
Transit time is shortened to <10 days in psoriatics compared to 30-60 days in normal.
2-Inflammation
Psoriasis may represent an immunological response to yet unknown antigen higher up in the epidermis.
So there is vasodilitation
& subepidermal inflamatory cells infiltrtion in the upper dermis.
Types of cells that are involved in the reaction include:
T-lymphocytes (T-helper cells)
Neutrophils (Polymorphs)
Epidermal antigen-presenting cells
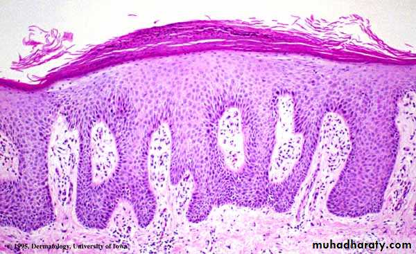
Histopathology:
• Hyperkeratosis &Parakeratosis.• Absent granular cell layer
3. Acanthosis: irregular thickening of the epidermis over the rete ridges (test tube-like rete ridges), but thinning over dermal papillae (suprapapillary thinning).).
4. Epidermal polymorphonuclear leucocyte infiltrates
and micro-abscesses (Munro microabscesses).
5. Dilated & tortuous capillary loops in the dermal papillae.
6. T-lymphocyte infiltrate in upper dermis.
13
Dilated tortuous
capillariesParakeratosis
No granular layer
Acanthosis
Clinical Presentation of Psoriasis:
Major types of Psoriasis:• Plaque psoriasis.
• Guttate psoriasis.
• Erythrodermic psoriasis.
• Pustular psoriasis.
• Other variants.
1-Plaque psoriasis (Psoriasis vulgaris)
• Commonest form• Asymptomatic salmon pink erythematous plaques covered with silvery-white scales; on extensor surfaces.
• Size: Few millimeters to several centimeters
• Shape: Well-defined round, oval or geographic
• Auspitz's sign is characteristic but not pathognomonic. It is pinpoint bleeding spots that appeared on gentle scratching of psoriatic scales by a blunt object.
Auspitz's sign is characteristic but not pathognomonic. It is pinpoint bleeding spots that appeared on gentle scratching of psoriatic scales by a blunt object.
DISTRIBUTION:
• extensor surfuses of iimbs,’elbows and knees• Sacral region
• Scalp, ears.
• Palms ;soles & nails.
• Umbilicus
• Genital region
Sites of predilection of plaque-type psoriasis
. Nail changes psoriasis:
Nail involvement: 10-50%• Nail pitting: tiny, punched-out pits is the most common nail change in psoriasis.
• Color & texture changes:The nail plate turns yellow &thick.
• Oily spot: spotty brownish or yellowish discoloration of the nail plate. This is the most specific nail change in psoriasis.
• Subungual hyperkeratosis: Retention of scales below the nail plates.
• Onycholysis: Separation of the nail plate from the nail bed.
• Nail dystrophy: Partial or complete nail destruction.
DDX. of Nail pitting
• Psoriasis.
• Alopecia areata (Hammered brass nails).
• Atopic dermatitis.
• Idiopathic.
Psoriasis of Scalp:
• scalp is often involved.• Asymptomatic or mildly itchy
• Localized plaques of scaliness.
• sometimes extend beyond the scalp margin.
• sometimes: Diffuse Scalp psoriasis
• DDX: 1- seborrhoeic dermatitis.
• 2-Tinea capitis.
• 3-Tinea amiantacea.
Differential Diagnosis of Plaque psoriasis
• Seborrhoeic dermatitis.• Discoid eczema
• Discoid lupus erythematosus (DLE)
• Tinea.
• Pityriasis rosea (PR).
• Icthyosis.
• Lichen planus
• Psoriasiform drug eruption
• Secondary syphilis.
2. Guttate psoriasis
• Usually seen in children and adolescent.
• Often triggered by streptococcal tonsillitis.• “Guttate” means drop-shaped. The size of lesions rarely more > 1 centimeter.
• Numerous small round red macules that erupt suddenly on the trunk and soon become scaly.
• The rash often clears in a few months but plaque psoriasis may develop later.
3. Erythrodermic psoriasis
• Rare and may be serious variant of psoriasis.• generalized erythema with variable scaling.
• Malaise is accompanied by shivering (heat loss due to generalized vasodilatation).
• Occur de novo or more often complicate chronic plaque psoriasis (stable plaque ps. → unstable erythrodermic ps.).
• Irritant treatment like tar, dithranol, phototherapy.
• Potent corticosteroids (specially on withdrawal).
• Severe emotional trauma.
• Intercurrent infections.
3. Pustular psoriasis
A. Generalized (von Zumbsch) Psoriasis
• Rare but serious variant of psoriasis.
• Generalize erythematous skin studed with sterile pustules some of the pustules coalase together to form pus lakes.
• The patient is usually ill ,feverish. Leukocytosis.
• Prognosis may be serious (may threaten life).
Impetigo herpetiformis is acute generalized pustular psoriasis of pregnancy.
B. Localized pustular psoriasis (Palmoplanter pustulosis),Involves the palms and soles.
Other variants of psoriasis
Flexural psoriasis (Inverted psoriasis)• It involves body flexures ( Axillae, groins, submammary folds, umbilicus and anogenital “natal cleft”).
• Moist, red, glistening sharply demarcated plaques often with fissuring in the depth of the folds.
• Lack of scales.
• Bilateral symmetrical involvement.
• The most important differential diagnoses:
• Seborrhoeic dermatitis
• Tinea cruris
• Candidiasis
• Erythrasma
• Napkin dermatitis (Infants)
Investigations:
The diagnosis of psoriasis is usually clinicl.
1.Biopsy is rarely needed.2. Throat swabbing for β-hemolytic streptococci is needed in guttate psoriasis.
Management of psoriasis
• General measures:1-Reassurance & explanation:
Not contagious, benign, spontaneous remission may occur.
2- Avoid precipitating factors like drugs.
3- Avoid agriviating factors like scrubbing.
4-Gentle emolient-keratolytic skin care;Sun light is beneficial.
Type of therapy depends on patient’s age, sex, type and severity of psoriasis, site of lesions, and presence of co-morbidities.
• Tar preparations: Crude tar better than refined tar. It is used as ointment or solution or shampoo in 2-10% concentrations
• Anathralin (Dithranol): Used in concentrations 0.1-2%. The main disadvantages are irritation, staining.
• Salicylic acid. (2-6%): It is useful in decreasing the scaliness.
• Topical corticosteroids:
• Vitamin D analogues: e.g. Calcipotriol (Cacipotriene).
6. Local retinoids e.g. Tazarotene gel.
7. Calcineurin inhibitors e.g. Tacrolimus ointment.
III-Systemic therapy
Indications
• Plaque psoriasis > 20% of body surface area.
• Erythrodermic psoriasis.
• Pustular psoriasis.
• Arthropathic psoriasis.
• Nail psoriasis.
Systemic therapies
• Photochemotherapy: (PUVA = Psoralen + UVA). Psoralen 0.6-0.8 mg per kg per dose followed 2 hours later by UVA exposure.• Methotrexate :0.2-0.4 mg per day, the main S/E is hepatotoxicity.
• Cyclosporine: 2-5 mg per day, the main S/E is nephrotoxicity.
• Retinoids e.g. Acitretin 10-50 mg per day. The most frequent and important side effects are dryness of skin and mucous membranes, increased plasma lipids and liver enzymes and teratogenicity.
5-Biologics: are monoclonal antibodies act as either inhibitors of TNF-alpha or prevent T-cell activation.
Very expensive, not free of side effects.
Reserved for very severe or refractory cases.
Examples of biologics:Infliximab,Adalimumab,
Efalizumab,Etanercept, Alefacept.
IV-Others:
1-Phototherapy (Ultraviolet therapy): Narrowband UVB (311nm) radiation is effective in many cases of plaque psoriasis.
2-Laser: Excimer laser (308nm).
1-












