Bloody diarrhea in infancy and childhood
BD (bloody d.) often indicates serious gastrointestinal disease1-Intestinal bacterial infection is the most common cause shigella, EIEcoli
Campylobacter, Salmonella, and Yersinia are important in the developed world
Bacterial gastroenteritis is usually self limiting—antibiotics are needed only in selected cases.
2- Dysentery :In the developing world other disorders including bacterial (Shigella) and amoebic (Entamoeba histolytica) dysentery .
3-Inflamatory bowel disease Crohn’s disease and ulcerative colitis often present with bloody diarrhoea and should be considered in all ages.
4-Cow milk protein allergy .
5-Vasculitis e.g. HSP…SLE…………… ……….
6-Surgical causes e.g. intussusceptions , malrotation and valvulus ,polyps
and hirschprung dis.
7-Necrotizing enterocolitis.
Bloody diarrhea:
Amebiasis:Human infection with Entameba is prevalent
world wide.
Entameba Histolytica is the pathogenic organism in addition to other 5 non-pathogenic types.
The ingested cyst is resistant to gastric acidity and digestive enzymes, it excysts in the small intestine to form four trophozoites and colonize the large bowel and may invade the mucosal lining under conditions which are not known.
• Clinical manifestations:
• 1-Asymptomatic cyst passage in 90% of persons should be treated.
• 2- Intestinal Amebiasis:
• A-IP is 2 weeks – months.
• B-Gradual colicky abdominal pains.
• C-Bloody mucusy frequent stool, with tenesmus.
• D-Fever in 1/3 of cases.
• 3- Amebic colitis:
• A- Mostly in the age of 1-5 years.
• B- sudden onset of fever, chills.
• C- severe diarrhea leading to dehydration & electrolyt disturbance.
4-Toxic mega colon or local perforation and peritonitis.
5-Hepatic Amebiasis: Hepatomegaly, liver abscess occurs in <1% of infected individual or even in no previous infection. Fever, chills, elevation of the diaphragm with effusion or atelactasis.Diagnosis:
It is based on detecting the organisms in stool
samples, Sigmoidoscopically obtained smears, tissue biopsy samples or rarely aspirate from liver abscess. The trophozoites should be seen motile and containing the erythrocytes
Treatment:
All individuals with EH trophozoites or cysts should be treated.For invasive Amebiasis: oral Metronidazole 50 mg/kg /day in three divided doses. for 10 days
For cysts: oral Diloxanide 20mg/kg/day in 2 divided doses for 10 days.
For amebic liver abscess intravenous metronidazole 7 mg /kg 8 hourly.
Usually 3-5 days are required to cause damage to the intestinal villi & then the renewal of the epithelium will start .So the main problem in continuous diarrhea is the persistent damage to the mucosa or there may be continuous impairment of renewal of the tissue.
Persistent Diarrhea:
Definition: It Is the diarrhea that started by either acute or bloody diarrhea and lasted more than 14 days.
Here we may recover microorganism or it`s sequel.
The danger of this type of diarrhea is Dehydration , electrolyte disturbances ,metabolic acidosis or Sepsis and eventually malnutrition.
PATHOGENESIS OF PERSISTENT DIARRHOEA
final common pathway to persistent diarrhea is prolonged small intestinal mucosal injury or PSIMI(post enteritis syndrome).PSIMI is caused, intensified and perpetuated by the following factors:1 Malnutrition
2 Ineffective villous repair.
3 Persistent infection with one or more enteric pathogens.
4 Malabsorption of nutrients, especially carbohydrates and fats.
5 Increased absorption of foreign proteins.
6 Deficient enteric hormones . All these factors contribute to the vicious cycle of mucosal injury and malabsorption, leading to PD
The various risk factors for persistent diarrhea
(persistent or protracted)starts as acute diarrhea, but continues more than 2 weeks. Risk factors are:
1 Protein-energy malnutrition
2 Younger age < 18 months
3 Lack of breast-feeding
4 Prolonged IVF therapy & delayed enteral feeding
5 Cows milk .Soya protein
6 Inappropriate use of antibiotics
7 Improper therapy of ADD.
8 Use of anti motility drugs like loperamide.
9 Starvation during ADD.
10 Vitamin A deficiency.
11 Zinc deficiency.
12 Poor hygiene leading to reinfection.
13 Certain extra intestinal infections, e.g., septicemia, UTI
ROLE OF MALNUTRITION IN PSIMI
Normally, in the epithelium of the small bowel, absorptive cells are continuously lost from the villous tip and replaced by newer cells produced by the crypts of Lieberkuhn, once in 4-51 In a child with malnutrition, the production of the absorptive cells of the villi is decreased, as it requires energy and nutrients. 2 These cells are responsible for the synthesis of disacchari-dase enzymes like lactase and hence their concentration in the gut decreases. This leads to osmotic diarrhoea. 3 The absorption of nutrients, which also re-quires energy, is decreased in malnutrition,4 Malnutrition can depress the immune functions, leading to infections of the gut .5 gastrin and cholecystokinin are proteins in nature, their secretion is decreased in malnutrition.
6 gastric HCI and pancreatic enzymes are also decreased leading to maldigestion and diarrhoea
INCREASED ABSORPTION OF FOREIGN PROTEINS
1 in PD, the small bowel mucosa is damaged and hence large protein molecules are absorbed intact into the blood-stream.
2 This leads to the formation of circulating immune complexes that aggravate PSIMI.
3 Classic examples of this phenomenon are cows milk protein intolerance and soya protein intolerance
ROLE OF BACTERIAL OVERGROWTH IN PSIMI
Bacterial contamination of the small gut causes PSIMI by the following mechanisms:1 release toxins
2 directly invade and damage the small bowel mucosa > malabsorption
3 deconjugate bile acids, --releasing free bile acids in the small gut.
Example stugnant loop syndrome
Diagnosis:
1- Total WBC count & def.2-General stool examination: It may show pus cells & RBC.,PH usually acidic <5.5. & reducing subs is positive.
3-Stool culture & sensitivity.
4--Urine C&S.
5- ELISA test for Rota virus.
6-Blood C&S.
• Management:
• 1-Rehydration in case of dehydration.• 2-Nutritional rehabilitation & changing the milk to a therapeutic formula (Lactose free, Sucrose free …) If the child is too weak to suck or anorexic, NG tube feeding with gradual increase in the amount is the best management.
• 3-In case of cow milk protein intolerance or allergy we give
• Soya based formula or Goat milk in case of allergy to Soya
• for at least 6-8 weeks( until regeneration of the int. villi.).
• 4-Treating infection if present according to the sensitivity.
• 5- Give Vitamins and Zinc(20 mg daily for 2 weeks).
• 6- Pre and probiotics (e .g.lactobacillus bifidus bacteriae ) .
Giardiasis:
Giardia lamblia is a flagellated protozoan that infects the duodenum & small intestine. Wide range of clinical manifestations results from asymptomatic, acute, chronic diarrhea and even malabsorption status.
Infection is more common in children than adults.
Etiology:
Ingested cyst produces 2 trophozoites in the proximal small intestine
(They attach to the brush boarder of the intestinal epithelial cells &
multiply by binary fission). The body is tear drop shaped, measuring
10-20 microml in length & 5-10 microml in width. It contains 2 ovals
nuclei anteriorly and four pairs of flagella. The detached trophozoites
pass down the intestinal tract and become encysted and contains 4
nuclei, passed in the stool. Viability is not affected by the usual
concentrations of chlorine used to purify water for drinking.
Person to person spread by fecal- oral contact & crowding.
Giardia is a particularly significant pathogen in people with
malnutrition, immune deficiencies, and cystic fibrosis.
Clinical manifestations:
Incubation period: 1-2 weeks.1-The child may be asymptomatic,
2-Or have acute watery diarrhea, may be
fever, nausea and anorexia.
The stool initially may be profuse watery and later become greasy and foul smelling and may float, or constipation or normal bowel motion.
3-Signs of fat soluble vitamin def.
4- malabsorption of sugars, fat and wt.
loss.
Diagnosis:
1-Repeated fresh Stool samples examination for the trophozoites, cysts, or Giardia antigens in stool or duodenal fluid.2-Aspiration or biopsy of the duodenum or upper jejunum.
3- Blood count is normal.
4-No Eosinophilia in giardiasis.
Treatment:
Metronidazole: 15-25mg/kg/day divided doses for 5 days.
Furazolidine: 6mg /kg/day divided doses for 10 days.
Tinidazole: 30 mg/kg/day single- dose therapy.
• Celiac Disease:
• It is an immune mediated inflammatory condition of the proximal small intestinal mucosa with permanent intolerance to dietary gluten cereals as wheat, rye and barley .
• Etiology:
• Celiac disease is multifactorial dis. Involving genetic & immunological susceptibility factors triggered by dietary antigens & other possible envir. factors.
• It is the Prolamins which presented in the Gliadin of the gluten which is the toxic fraction.
Genetic factors:
Gluten enteropathy is associated with histocompatibilty of HLA DQ2, HLA DQ8.
*HLA DQ2 occurs in more than 90% of celiac pt.
* It has Familial tendency.
* Incidence :1/3000- 1/6000.
* Diabetes Mellitus & Dermatitis Herpitiformis is commonly ass. with Gluten sensitivity.
• Patterns of presentation:.
• A-Classical:• 1-Usually presented at 6-18 months.
• 2-There is a variable period between introduction of gluten & appearance of the symptoms, breast feeding may delay the disease.
• 3-Diarrhea may be acute or insidious.
• 4-Stool is pale, foul offensive smell, large in amount.
• 5-Failure to thrive & anorexia.
• 6-Short stature , abdominal distention and sometimes vomiting.
• On/ Examination:
• 1-Wasting especially in the proximal parts
• ( hip girdle) with increase wrinkling of the skin.
• 2- Sore throat & smooth tongue.
• 3- Excessive bruising.
• 4- Clubbing of the fingers & peripheral edema.
• 5- No wt. gain .Wt. & Ht. are below the third centile.
• 6- Iron def.& megaloblastic anemia.
B-Below 9 months of age:
1- Acute onset of vomiting.2- Severe diarrhea.
3- Abdominal distention.
4- Hypotonia.
5- Growth retardation.
C- constipation:
1- Severe anorexia.
2- Hypotonia.
3- Marked abdominal distention.
D-Older children:
1- Short stature.2- Delayed puberty.
3-Severe iron def. anemia.
4- Rickets.
5- Personality changes.
6- No obvious GIT symptoms.
E- Asymptomatic sibling:
No symptoms, only discovered if there is an index case in the family.
• Diagnosis:
• 1-CBP. RBC morphology.( Hypo chromic micro and macrocytic anemia).
• 2-Low serum albumin level& low gamma globulins, selective IgA def.
• 3-Increase prothrombin time due to vit. K def.
• 4-Low serum vit D, A & low serum Ca.
• 5-Serological tests: Anti gliadin ab., Anti reticulin ab.,Anti endomyseal ab.( which is positive in 97% of cases). And Anti transglutaminase ab.( which is even more sensitive )
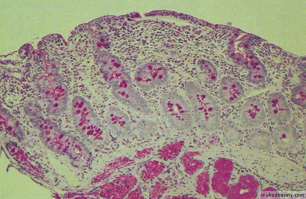
• 6-OGD ( Oesophagogasrtrodudenoscopy) for small intestinal biopsy
• The typical finding in the second part duodenal biopsy are:
• 1-Total or subtotal villous atrophy.*• 2-Crypts hyperplasia.( increase no. of crypts).
• 3-Chronic inflammatory cell infiltration.( lympho. Plasma cells)
• 4-Increase intra epithelial lymphocyte.(> 30/100).
• ** The definitive diagnosis is by typical biopsy +serology and the follow up is by serology
• * Subtotal villus atrophy can be seen also in:
• 1-Cow milk protein allergy.
• 2-IgA deficiency.
• 3-Familial villous atrophy.
• 4-Eosinophilic gastroenteritis.
• .
• Differential diagnosis of Celiac disease:
• 1-Giardiasis.
• 2-Acute viral diarrhea with Lactose intolerance.
• 3-Autoimmune enteropathy.
• 4-Stagnant loop syndrome with bacterial overgrowth.
• 5-Cow milk protein intolerance.
• 6-Familial villous atrophy (enteropathy).
• 7-IgA def.( usually since birth).
• Complications:
• 1-Protein losing enteropathy and edema.• 2-Dimorphic anemia.
• 3-Growth retardation and delay puberty.
• 4-Bleeding tendency.
• 5-Celiac crisis.(severe dehydration ,shock & severe hypokalemia).
• 6-Long standing Celiac may lead to Lymphoma.
• Treatment:
• 1-Gluten free diet.• 2-Symptomatic treatment for anemia, hypoalbuminemia and any superadded infection.
• 3-Longlife follow up of the patient for compliance & growth measurements .














