BRAIN TUMORS
BRAIN ANATOMY
CLASSIFICATION
I- SECONDARY (METASTATIC)II- PRIMARY :
1- GLIOMAS :
a- ASTROCYTOMA (GRADE I-IV)
b- MEDULLOBLASTOMA
c- OLIGODENDROGLIOMA
d- EPENDYMOMA
2- MENINGIOMAS
3- BLOOD VESSEL TUMORS :
a- ANGIOBLASTOMA
b- ANGIOMA
4- PITIUTARY & 3rd VENTRICLE TUMORS :
a- CHROMOPHOBE ADENOMA
b- CHROMOPHIL ADENOMA
c- CRANIOPHARYNGIOMA
d- PINEAL BODY TUMOR
e- COLLOID CYST OF THE 3RD VENTRICLE
5- EIGTH NERVE TUMOR (ACCOUSTIC NEUROMA OR SCHWANNOMA)
EPIDEMIOLOGY ACCORDING TO AGE
SITES OF BRAIN TUMORS
I- SECONDARY (METASTATIC)
II- PRIMARY :1- GLIOMAS :
a- ASTROCYTOMA (GRADE I-IV)
b- MEDULLOBLASTOMA
c- OLIGODENDROGLIOMA
d- EPENDYMOMA
2- MENINGIOMAS
3- BLOOD VESSEL TUMORS :
a- ANGIOBLASTOMA
b- ANGIOMA
COMMON SITES OF CANCER METASTASIS
METASTATIC BRAIN TUMORS SAGGITAL MRI
I- SECONDARY (METASTATIC)
II- PRIMARY :1- GLIOMAS :
a- ASTROCYTOMA (GRADE I-IV)
b- MEDULLOBLASTOMA
c- OLIGODENDROGLIOMA
d- EPENDYMOMA
2- MENINGIOMAS
3- BLOOD VESSEL TUMORS :
a- ANGIOBLASTOMA
b- ANGIOMA
LOW GRADE GLIOMA (INTRAOPERATIVE)
LOW GRADE GLIOMA MRI’S
LOW GRADE GLIOMA AXIAL MRI
ANAPLASTIC ASTROCYTOMA AXIAL MRI’S
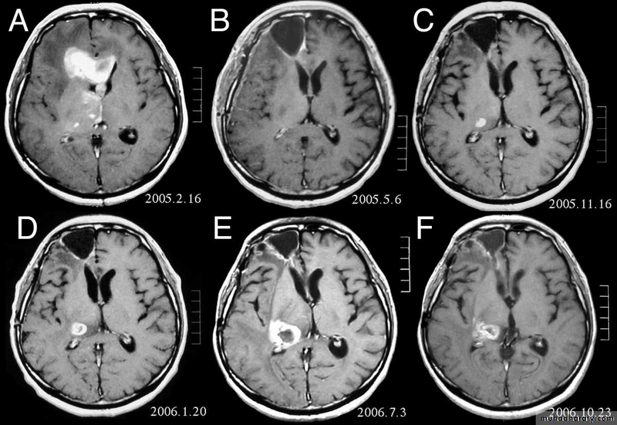
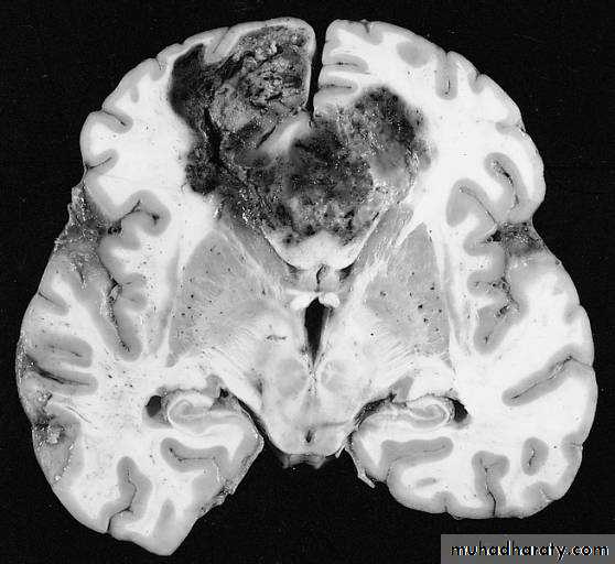
GLIOBLASTOMA MULTIFORMI
GM AXIAL MRI
I- SECONDARY (METASTATIC)
II- PRIMARY :
1- GLIOMAS :
a- ASTROCYTOMA (GRADE I-IV)
b- MEDULLOBLASTOMA
c- OLIGODENDROGLIOMA
d- EPENDYMOMA
2- MENINGIOMAS
3- BLOOD VESSEL TUMORS :
a- ANGIOBLASTOMA
b- ANGIOMA
EPENDYMOMA CORONAL MRI
I- SECONDARY (METASTATIC)
II- PRIMARY :1- GLIOMAS :
a- ASTROCYTOMA (GRADE I-IV)
b- MEDULLOBLASTOMA
c- OLIGODENDROGLIOMA
d- EPENDYMOMA
2- MENINGIOMAS
3- BLOOD VESSEL TUMORS :
a- ANGIOBLASTOMA
b- ANGIOMA
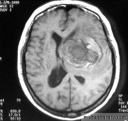
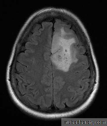
OLIGODENDROGLIOMA AXIAL MRI
I- SECONDARY (METASTATIC)
II- PRIMARY :1- GLIOMAS :
a- ASTROCYTOMA (GRADE I-IV)
b- MEDULLOBLASTOMA
c- OLIGODENDROGLIOMA
d- EPENDYMOMA
2- MENINGIOMAS
3- BLOOD VESSEL TUMORS :
a- ANGIOBLASTOMA
b- ANGIOMA
MEDULLOBLASTOMA
MEDULLOBLASTOMA AXIAL MRI
CEREBELLUM AFTER SURGERY FOR MB
I- SECONDARY (METASTATIC)
II- PRIMARY :1- GLIOMAS :
a- ASTROCYTOMA (GRADE I-IV)
b- MEDULLOBLASTOMA
c- OLIGODENDROGLIOMA
d- EPENDYMOMA
2- MENINGIOMAS
3- BLOOD VESSEL TUMORS :
a- ANGIOBLASTOMA
b- ANGIOMA
MENINGIOMA
COMMON SITES OF MENINGIOMAS
OLFACTORY GROOVE MENINGIOMA MRI’S
I- SECONDARY (METASTATIC)
II- PRIMARY :1- GLIOMAS :
a- ASTROCYTOMA (GRADE I-IV)
b- MEDULLOBLASTOMA
c- OLIGODENDROGLIOMA
d- EPENDYMOMA
2- MENINGIOMAS
3- BLOOD VESSEL TUMORS :
a- ANGIOBLASTOMA
b- ANGIOMA
VENOUS ANGIOMAS
CEREBELLAR CAVERNOUS ANGIOMA AXIAL MRI
4- PITIUTARY & 3rd VENTRICLE TUMORS :
a- CHROMOPHOBE ADENOMAb- CHROMOPHIL ADENOMA
c- CRANIOPHARYNGIOMA
d- PINEAL BODY TUMOR
e- COLLOID CYST OF THE 3RD VENTRICLE
5- EIGTH NERVE TUMOR (ACCOUSTIC NEUROMA OR SCHWANNOMA)
PITIUTARY & PINEAL GLANDS
4- PITIUTARY & 3rd VENTRICLE TUMORS :
a- CHROMOPHOBE ADENOMAb- CHROMOPHIL ADENOMA
c- CRANIOPHARYNGIOMA
d- PINEAL BODY TUMOR
e- COLLOID CYST OF THE 3RD VENTRICLE
5- EIGTH NERVE TUMOR (ACCOUSTIC NEUROMA OR SCHWANNOMA)
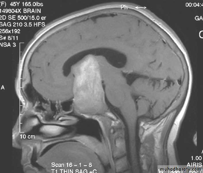
PITIUTARY GLAND EFFECTS
PITIUTARY ADENOMA PRESENTATION
PITIUTARY ADENOMA
PITIUTARY TUMOR (AUTOPSY)
SKULL X-RAY FOR A PATIENT WITH PITIUTARY TUMOR (ERROSION OF SELLA TURSICA)
PITIUTARY TUMOR AXIAL & CORONAL MRI’S
PITIUTARY ADENOMA SAGGITAL MRI
4- PITIUTARY & 3rd VENTRICLE TUMORS :
a- CHROMOPHOBE ADENOMAb- CHROMOPHIL ADENOMA
c- CRANIOPHARYNGIOMA
d- PINEAL BODY TUMOR
e- COLLOID CYST OF THE 3RD VENTRICLE
5- EIGTH NERVE TUMOR (ACCOUSTIC NEUROMA OR SCHWANNOMA)
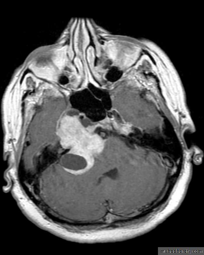
CRANIOPHARYNGIOMA
CRANIOPHARYNGIOMA (INTRA-OPERATIVE)
CRANIOPHARYNGIOMA CORONAL MRI
CRANIOPHARYNGIOMA CT-SCAN
4- PITIUTARY & 3rd VENTRICLE TUMORS :
a- CHROMOPHOBE ADENOMAb- CHROMOPHIL ADENOMA
c- CRANIOPHARYNGIOMA
d- PINEAL BODY TUMOR
e- COLLOID CYST OF THE 3RD VENTRICLE
5- EIGTH NERVE TUMOR (ACCOUSTIC NEUROMA OR SCHWANNOMA)
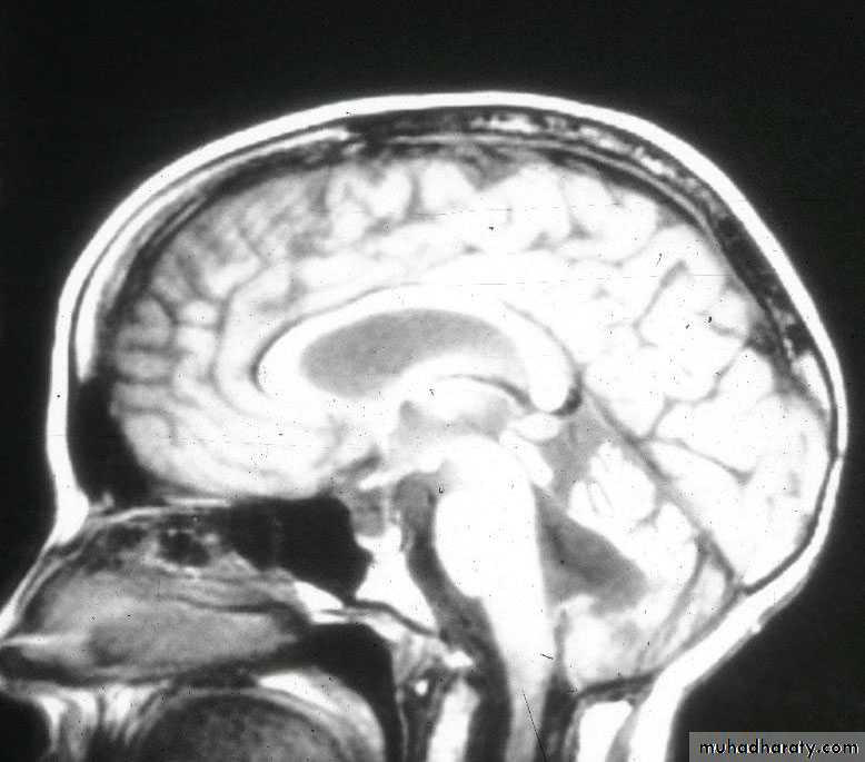
PINEAL GLAND
PINEAL BODY TUMOR
PINEAL TUMOR SAGGITAL MRI
4- PITIUTARY & 3rd VENTRICLE TUMORS :
a- CHROMOPHOBE ADENOMAb- CHROMOPHIL ADENOMA
c- CRANIOPHARYNGIOMA
d- PINEAL BODY TUMOR
e- COLLOID CYST OF THE 3RD VENTRICLE
5- EIGTH NERVE TUMOR (ACCOUSTIC NEUROMA OR SCHWANNOMA)
VENTRICULAR SYSTEM OF THE HUMAN BRAIN
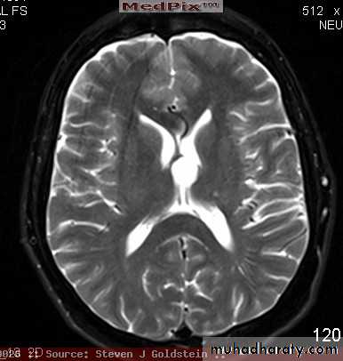
COLLOID CYST OF 3rd VENTRICLE
C. CYST OF 3rd VENTRICLE T2 MRI
4- PITIUTARY & 3rd VENTRICLE TUMORS :
a- CHROMOPHOBE ADENOMAb- CHROMOPHIL ADENOMA
c- CRANIOPHARYNGIOMA
d- PINEAL BODY TUMOR
e- COLLOID CYST OF THE 3RD VENTRICLE
5- EIGTH NERVE TUMOR (ACCOUSTIC NEUROMA OR SCHWANNOMA)
SCHWANNOMA PATHOLOGY
VESTIBULAR SCHWANNOMA AXIAL MRI
MANAGEMENT
HOW TO DEAL WITH A BT PATIENT !!
SURGERY FOR BRAIN TUMORS
SURGICAL BRAIN SURFACE ANATOMY
BRAIN SURGERY
BIFRONTAL CRANIOTOMY
CRANIOTOMY FOR A BRAIN TUMOR
SITTING POSITION FOR POSTERIOR FOSSA SURGERIES
POSTERIOR FOSSA CRANIECTOMY
TRANSSPENOIDAL APPROACH FOR A PITIUTARY TUMOR
RADIOTHERAPY MACHINE
GAMMA KNIFE RADIOSURGERY
BENIGN INTRACRANIAL HYPERTENSION (BIH) -PSEUDOTUMOR CEREBRI-
AT HIGH RISK ?!
DEFINITION
It is a syndrome that is defined by five criteria:1-Increased intracranial pressure
2-Normal or small sized ventricles by neuroimaging
3-No evidence of an intracranial mass
4-Normal CSF composition
5-Papilledema
CLINICAL PRESENTATION OF BIH
DIAGNOSIS
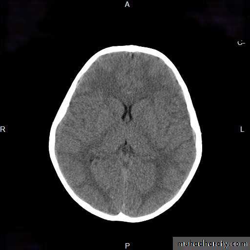
CT-SCAN OF BIH (NORMAL CT)TREATMENT
1- STEROIDS2- ANALGESIA
3- DIURETICS
4- LUMBAR PUNCTURES
5 - LUMBO-PERITONEAL SHUNT


































































