قراءة
عرض

Neoplasia

Dr. Nadwa S. M.Al-azow

Definition

A neoplasm( new growth) is defined as an
abnormal mass of tissue, whose growth is uncoordinated with and exceeds that of the normal tissues.
The tumor arise from one clone that undergo genetic changes and uncontrolled proliferation

Classification of Tumours

Benign

Malignant

Epithelial
Mesenchymal
Epithelial
Mesenchymal

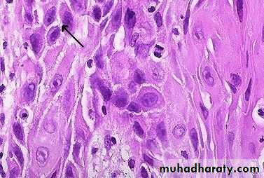
Benign Epithelial tumors

Tumor arising from covering epithelia called papilloma like squamous papilloma arising from tissue that lined by stratified squamous epithelium like skin, esophagus….


Or glandular epithelia called adenoma like thyroid or breast adenoma….



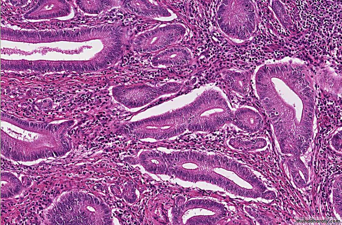
Neoplasia


Neoplasia




Neoplasia




Neoplasia


Neoplasia

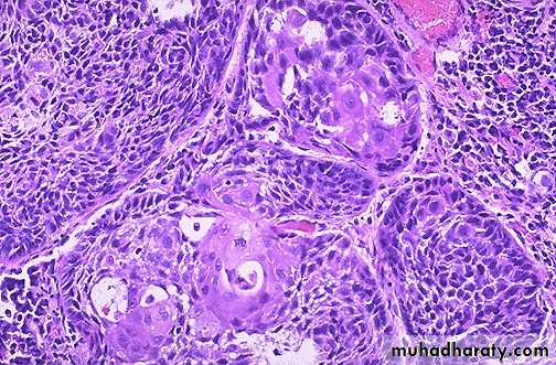
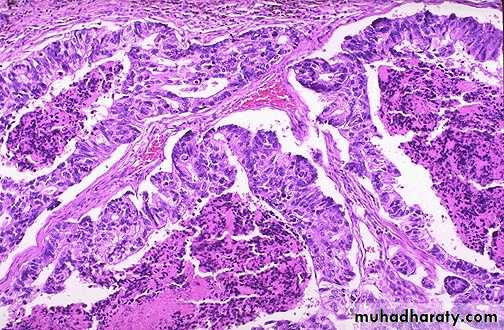
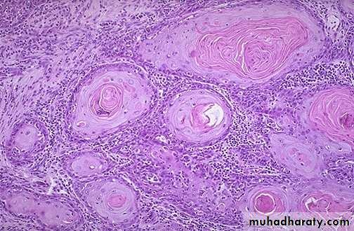
Malignant epithelial tumor

Squamouas carcinoma tumor arise from squamous epthelia with features of malignancy


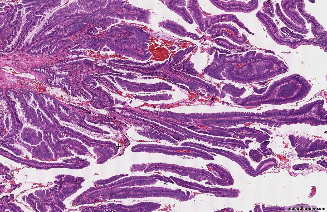
Adenocarcinoma malignant tumor arise from glandular epithelia


Neoplasia




Neoplasia




Neoplasia


Neoplasia




Neoplasia





Neoplasia


Neoplasia


Neoplasia




Neoplasia

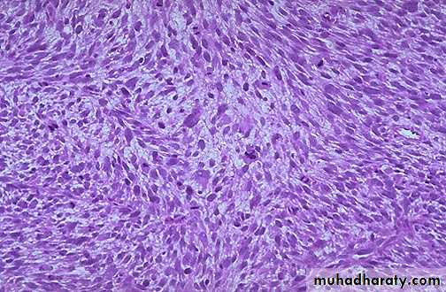
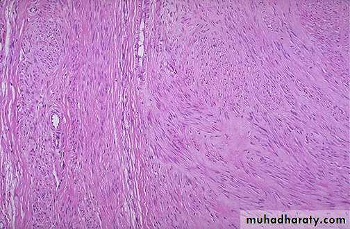
Benign Mesenchymal tumor

The nomenclature of these tumours is straightforward – the name consists of a prefix indicating the type of differentiation,
for example lipo- (fat), chondro- (cartilage), haemangio-(blood vessel), with the suffix -oma denoting a benign tumour.
General features:
Most are slowly growing
encapsulated tumours
composed of the appropriate differentiated tissue


Neoplasia



Neoplasia




Neoplasia


Neoplasia

Malignant mesenchymal tumors

These are known as sarcomas . They are
far less common than carcinomas.
Most occur within the deep soft tissue of the limbs and trunk, although some arise within viscera.
Leiomyosarcoma ,liposarcoma , Rhabdomyosarcoma…


Neoplasia


Neoplasia




Tumours of Haemopoietic and Lymphoid Tissues
Tumors that arise from stem cells of white blood cells in the bone marrow leukemia

malignant solid tumours of lymphocytic origin, most of which arise in lymph nodes, spleen, thymus or bone marrow Lymphomas

Tumors with mixed differentiation

mixed tumors: e.g. pleomorphic adenoma of salivary gland

Teratoma

tumor comprised of cells from more than one germ layer
arise from totipotent cells (usually gonads)
benign cystic teratoma of ovary is the most common teratoma
Aberrant differentiation (not true neoplasms)
Hamartoma: disorganized mass of tissue whose cell types are indiginous to the site of the lesion, e.g., lung
Choriostoma: ectopic focus of normal tissue (heterotopia), e.g., pancreas,
Misnomers
hepatoma: malignant liver tumor
melanoma: malignant skin tumor
seminoma: malignant testicular tumor
lymphoma: malignant tumor of lymphocytes



Neoplasia




Neoplasia

Differences between benign &malignant tumor

SPREAD OF MALIGNANT TUMOURS

Forms of tumour spread include:

• local spread
• lymphatic spread
• blood (haematogenous spread)
transcoelomic spread
• intraepithelial spread

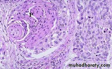
Local Spread

Malignant cells have the ability to emerge themselves between adjacent normal cells and invade the surrounding tissues ( first loose connective tissue).


For epithelial tumors the first step should break the basement membrane


Neoplasia

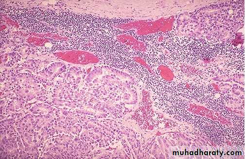
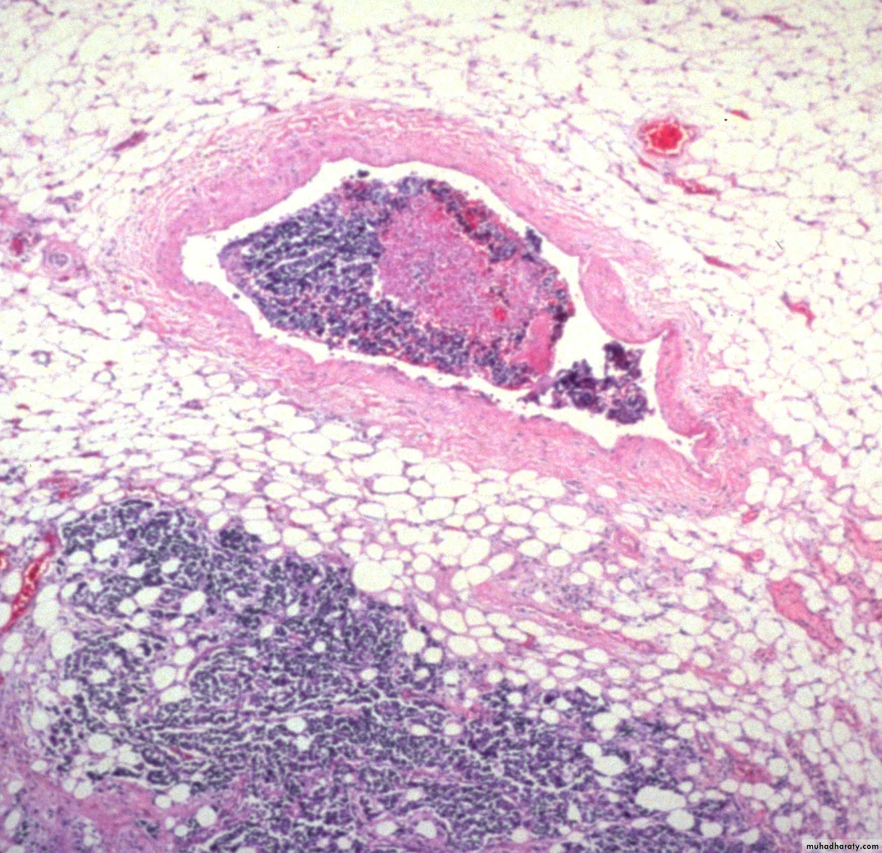
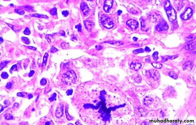
Lymphatic Spread

This is the principal mode by which carcinomas spread.

The very thin walls of lymphatics are readily penetrated by tumour cell , which is carried along in the lymph to the first lymph node in the lymph node chain


Neoplasia




Neoplasia




Neoplasia


Blood (Haematogenous) Spread

Tumour cells are able to invade thin walled veins and grow along the venous system or embolize into the blood stream.
The site of initial metastasis (first-pass organ)
depends on the venous drainage of the location of the
tumour.

Lung , liver and brain are the main organs of hematogenous spread for cancers.

Blood spread is main way for Sarcoma and later for carcinoma


Neoplasia




Neoplasia

Transcoelomic Spread


It means spread across body cavities, the
peritoneal, pleural and pericardial spaces.

e.g: Gastric carcinoma can spread in a similar fashion, to involve the peritoneal cavity, often seeding in the ovaries. known as Krukenberg’s tumours


Neoplasia

Intraepithelial Spread

This is the process by which tumour cells can infiltrate between the cells of a normal epithelium, without invading the underlying stroma.

It is best seen in Paget’s disease of the nipple in which the cells of ductal carcinoma in situ of breast grow into the nipple skin giving an appearance resembling eczema.


Neoplasia

MECHANISMS OF TUMOUR SPREAD

I/ Direct Spread and Invasiveness


Reduction in Cell: Cell Adhesion
(low production of c-cadherin by malignant cells
Invasion of Basement Membrane and Stroma
1.cancer cells have altered integrin molecule expression
2. production of proteolytic enzymes by cancer

Tumour Cell Motility

The cells extrude pseudopodia at the front and attach to stromal proteins
(cytoskeleton)

II/ Angiogenesis

(New blood vessels formation occur normally during tissue healing and chronic inflammation)
In recent years they found it is important step in tumor growth and metastasis , which involve:
proteolytic digestion of basement membrane by plasminogen activators and matrix metalloproteinases

migration of endothelial cells, initially as a solid cord

proliferation of endothelial cells

● organization of the cords of endothelial cells into new blood vessels with lumens.


III / vascular Invasion
The thin walls and poorly formed basement membranes of newly formed blood vessels allow the tumor cells to penetrate.

Once tumour cells are free within the lumen of the blood vessel they are carried into the circulation and lodge in a capillary bed.

IV/ Establishment of a New Colony

This involves cell proliferation and the development of a tumour blood supply by stimulation of angiogenesis as previously described.

TRANSFORMATIONGROWTHBM INVASIONANGIOGENESISINTRAVASATIONEMBOLIZATIONADHESIONEXTRAVASATIONMETASTATIC GROWTHetc.
Neoplasia




Neoplasia


Neoplasia


Neoplasia


Neoplasia


PREMALIGNANT CONDITIONS:

Three main groups of lesions can be regarded as
premalignant:
• malignant change in benign tumors :
EXAMPLE/ colonic adenoma , neurofibroma

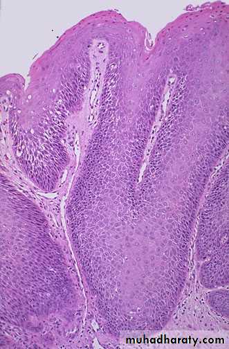
Intraepithelial malignancy/dysplasia ( carcinoma in situ)

The epithelial cells show the cytological features of malignancy but have not yet developed the ability to invade adjacent normal tissues.
This process has been known as dysplasia, carcinoma in situ and more recently as ‘intraepithelial neoplasia’.

malignancy developing in chronic inflammation :

chronic damage & repair during chronic inflammation may lead to cancer .

Ulcerative colitis colonic cancer

Hashimotos’ thyroiditis lymphoma
Cirrhosis of liver hepatocellular carcinoma


Clinical Effects of Tumors

Benign tumor

Painless palpable lump (feeling of discomfort
Effect of substances produced by tumor cells
e.g/thyroid adenoma leads to hyperthroididism
Pressure effects due to tumor expansion e.g/
pitutatry adenoma may cause hypopitutarisim
Distortion of uterine cavity in leiomyoma

Non –metastatic

Effects Effects of Malignant tumors Metastatic effects

Inappropriate secretion of hormones

Direct effects

Direct Effects


Pain due to compress the adjacent structures such as nerves by the mass of malignant tumor .

Haemorrhage from an ulcerated carcinoma may be acute or chronic, thus leading to iron deficiency anaemia

Narrowing (stenosis) or complete obstruction of

a hollow viscus

Metastatic Effects

Metastases can cause similar mass effects to primary tumours, but because they are usually multiple
the consequences tend to be more severe

Non-metastatic Effects

Patients with advanced cancer are often wasted (cachectic) with weight loss, anorexia and
Immunosuppression
abnormalities of coagulation, for example thrombophlebitis migrans
neurological disorders, for example neuropathy, cerebellar
Degeneration


These effects due to secretion of cytokines like interlukin 1(IL-1) & tumor necrosis TNFα

Inappropriate Hormone Production

Many tumours produce hormones not normally produced by their tissue of origin.

Paraneoplastic Syndromes

These occur in about 10% of persons with malignant disease
They are related to secretion of hormone or hormone like substances which are produced by certain malignant tumors , they are important for the following resons:
They may represent the earliest manifestation of an occult neoplasm.
In affected patients they may represent significant clinical problems and may even be lethal.
They may mimic metastatic disease

Causal mechanism

Underlying cancer
Clinical syndromes
• ACTH or ACTH-like substance

Small-cell carcinoma of lung

Cushing Syndrome


Pancreatic carcinoma

Neural tumors

Parathyroid hormone–related protein (PTHRP), TGF-α, TNF, IL-1
Squamous cell carcinoma
Hypercalcaemia

Breast cancer

Renal carcinoma

Adult T-cell leukemia /lymphoma

Causal mechanism
Underlying carcinoma
Clinical Syndromes
Insulin or insulin-like substance
Ovarian carcinoma
hypoglycaemia


Fibrosarcoma

Other mesenchymal sarcomas

Erythropoietin
Gastric carcinoma

Renal carcinoma

polycythemia

Cerebellar hemangioma

Hepatocellular carcinoma

TUMOUR STAGING AND GRADING

Methods are used to asses the aggressiveness of malignant tumors and the spread of them
necessary for prognosis of the malignant tumor and choice the proper treatment

Grading of malignant tumors

Grading of a cancer is based on the degree of differentiation of the tumor cells & the resemblance of cancer cells to tissue of origin.


The main parameters that look for :
mitotic activity
nuclear pleomorphism
degree of differentiation
extent of necrosis


Neoplasia


Neoplasia




Neoplasia


Neoplasia


Neoplasia

WELL?

(pearls)
MODERATE?
(intercellular bridges)
POOR?
(WTF!?!)
GRADING for Squamous Cell Carcinoma


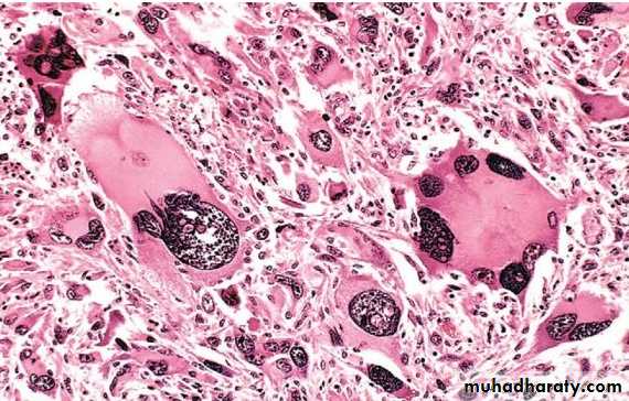
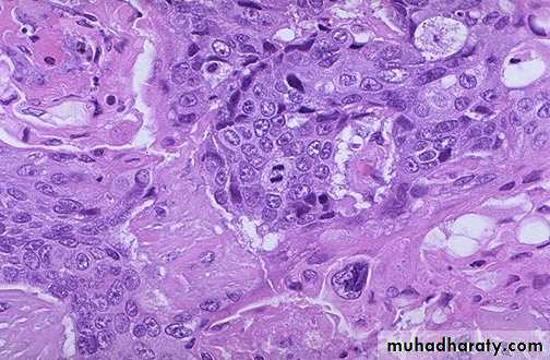
Anaplasia :
lack of differentiation of malignant cells
The features of anaplasia
Pleomorphism : different of size and shape in both cells and nucleus
Abnormal nuclear morphology : the nuclear-to-cytoplasm ratio may approach 1 : 1 instead of the normal 1 : 4 or 1 : 6.
Mitoses : not only increase in the proliferative rate but atypical, bizarre mitotic figures
Tumor Giant cell formation : possessing only a single huge polymorphic nucleus and others having two or more large, hyperchromatic nuclei


Neoplasia

The staging of cancers

is based on the size of the primary lesion, its extent of spread to regional lymph nodes, and the presence or absence of blood-borne metastases.
The main staging system have used is TNM staging
T for primary tumor (T1-T4 ) T0 is referred to carcinoma in situ
N for regional lymph node involvement (N1-N3)
M for metastases (M0-M1)


Neoplasia





Neoplasia

PATHOLOGICAL DIAGNOSIS OF TUMORS

Although clinical, radiological and biochemical findings all contribute towards the diagnosis of a tumour,
the final diagnosis is made in almost all cases by microscopic examination

Biopsies for Histopathological Assessment

For large tumor , wedge sections will be removed & examined microscopically
deep-seated ones under radiological control, can be sampled by needle biopsy in which a thin core of tissue is removed
Examination of individual tumor cells in body fluid or by using needle aspiration (breast lump ,thyroid)

Additional techniques :

Some of tumors are undifferentiated and very difficult to reach the diagnosis by H&E stain
So we need additional techniques to reach final diagnosis and give the proper treatment.
Electron microscope
Immunohistochemical stains : special technique which is depended on antigen –antibody reaction .(using antibodies to cell constituents)
In-situ hybridization have been used to detect gene expression as a way of determining tumor type


Tumor Markers

These substances are produced by tumor cells, are

detectable in the blood, and are of value in diagnosis and in monitoring progress following treatment.


Neoplasia

Causes of Neoplasia

The origin for many neoplasms is obscure. However, there are several theories of origin:

Causes of Neoplasia : cont.

Also they are found the incidence of cancers are increased in older persons

racial predilections (American women have breast cancer more often than Japanese women; Japanese men have stomach cancer far more often than American men).

Carcinogenesis is a multistep process :

Initiators
Initiation that lead to irreversible DNA damage(lethal damage)
Example : Alkylating agent like cycophosphamide
Promotors
Lead to proliferation of abnormal (mutagenic cells) but they there appears to be a "dose-threshold" concentration of promoter below which neoplasia will not occur
like hormone therapy estrogen(diethylstilbesterol)




Neoplasia




Neoplasia

MOLECULAR BASISof CANCER

Four classes of normal regulatory genes
PROTO-oncogenes ((gene responsible for cell growth)
Tumor suppressor genes
DNA repair genes
Apoptosis genes


Neoplasia




Defect (over expression) in proto-oncogene (growth factors) leads to uncontrolled cell proliferations )
e.g / RAS overexpression in many human cancer

Loss of tumor supprresor genes (P53)

Limitation of apoptotic genes (BCL2)

Defects in DNA repair genes

TRANSFORMATION &PROGRESSION
Self-sufficiency in growth signals
Insensitivity to growth-inhibiting signals
Evasion of apoptosis
Defects in DNA repair: “Spell checker”
Limitless replicative potential: Telomerase
Angiogenesis
Invasive ability
Metastatic ability

HOST DEFENSES

IMMUNE SURVEILLENCE CONCEPT


CD8+ T-Cells
NK cells
MACROPHAGES
ANTIBODIES

How do tumor cellsescape immune surveillance?

Mutation, like microbes
↓ MHC molecules on tumor cell surface

Immunosuppressive agents

Antigen masking
Apoptosis of cytotoxic T-Cells (CD8), i.e., the tumor cell KILLS the T-cell!



رفعت المحاضرة من قبل: ahmed Bashar
المشاهدات: لقد قام 19 عضواً و 493 زائراً بقراءة هذه المحاضرة








تسجيل دخول

أو
عبر الحساب الاعتيادي
الرجاء كتابة البريد الالكتروني بشكل صحيح
الرجاء كتابة كلمة المرور
لست عضواً في موقع محاضراتي؟
اضغط هنا للتسجيل