مواضيع المحاضرة: Subarachnoid Hemorrhage (SAH)
قراءة
عرض

Subarachnoid Hemorrhage

Etiology
Spontaneous (primary) subarachnoid hemorrhage usually results from ruptured aneurysms. A congenital intracranial saccular or berry aneurysm is the cause in about 85% of patients. Bleeding may stop spontaneously. Aneurysmal hemorrhage may occur at any age but is most common from age 40 to 65.
Less common causes are mycotic aneurysms, arteriovenous malformations, and bleeding disorders.

Pathophysiology

Blood in the subarachnoid space causes a chemical meningitis that commonly increases intracranial pressure for days or a few weeks. Secondary vasospasm may cause focal brain ischemia; about 25% of patients develop signs of a transient ischemic attack (TIA) or ischemic stroke. Brain edema is maximal and risk of vasospasm and subsequent infarction (called angry brain) is highest between 72 h and 10 days. Secondary acute hydrocephalus is also common. A 2nd rupture (rebleeding) sometimes occurs, most often within about 7 days.

Symptoms and Signs

Headache is usually severe, peaking within seconds. Loss of consciousness may follow, usually immediately but sometimes not for several hours. Severe neurologic deficits may develop and become irreversible within minutes or a few hours. Sensorium may be impaired, and patients may become restless. Seizures are possible.

Usually, the neck is not stiff initially unless the cerebellar tonsils herniate. However, within 24 h, chemical meningitis causes moderate to marked meningismus, vomiting, and sometimes bilateral extensor plantar responses.
Heart or respiratory rate is often abnormal.

Fever, continued headaches, and confusion are common during the first 5 to 10 days.

Secondary hydrocephalus may cause headache, obtundation, and motor deficits that persist for weeks.
Rebleeding may cause recurrent or new symptoms.


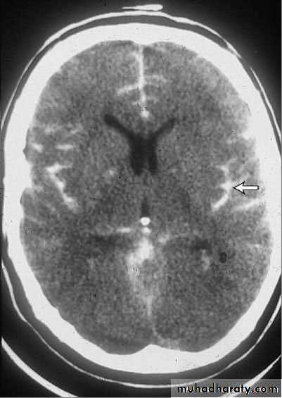
Diagnosis
Usually noncontrast CT and, if negative, lumbar puncture

Noncontrast CT is > 90% sensitive and is particularly sensitive if it is done within 6 h of symptom onset. MRI is comparably sensitive but less likely to be immediately available. False-negative results occur if volume of blood is small or if the patient is so anemic that blood is isodense with brain tissue. If subarachnoid hemorrhage is suspected clinically but not identified by neuroimaging or if neuroimaging is not immediately available, lumbar puncture is done .


Neurology



CSF findings suggesting subarachnoid hemorrhage include numerous RBCs, xanthochromia, and increased pressure. RBCs in CSF may also be caused by traumatic lumbar puncture. Traumatic lumbar puncture is suspected if the RBC count decreases in tubes of CSF drawn sequentially during the same lumbar puncture. About 6 h or more after a subarachnoid hemorrhage, RBCs become crenated and lyse, resulting in a xanthochromic CSF supernatant and visible crenated RBCs (noted during microscopic CSF examination); these findings usually indicate that subarachnoid hemorrhage preceded the lumbar puncture. If there is still doubt, hemorrhage should be assumed, or the lumbar puncture should be repeated in 8 to 12 h.

In patients with subarachnoid hemorrhage, conventional cerebral angiography is done as soon as possible after the initial bleeding episode; alternatives include magnetic resonance angiography and CT angiography
On ECG, subarachnoid hemorrhage may cause ST-segment elevation or depression. It can cause syncope, mimicking MI. Other possible ECG abnormalities include prolongation of the QRS or QT intervals and peaking or deep, symmetric inversion of T waves.

Prognosis

About 35% of patients die after the first aneurysmal subarachnoid hemorrhage; another 15% die within a few weeks because of a subsequent rupture. After 6 mo, a 2nd rupture occurs at a rate of about 3%/yr.

In general, prognosis is grave with an aneurysm, better with an arteriovenous malformation, and best when 4-vessel angiography does not detect a lesion, presumably because the bleeding source is small and has sealed itself. Among survivors, neurologic damage is common, even when treatment is optimal

Treatment

Hypertension should be treated only if mean arterial pressure is > 130 mm Hg.
Euvolemia is maintained, and IV nicardipine is titrated as for intracerebral hemorrhage .
Bed rest is mandatory.
Restlessness and headache are treated symptomatically.
Stool softeners are given to prevent constipation, which can lead to straining.
Anticoagulants and antiplatelet drugs are contraindicated.


Vasospasm is prevented by giving nimodipine 60 mg po q 4 h for 21 days to prevent vasospasm, but BP needs to be maintained in the desirable range (usually considered to be a mean arterial pressure of 70 to 130 mm Hg and a systolic pressure of 120 to 185 mm Hg). If clinical signs of acute hydrocephalus occur, ventricular drainage should be considered.

Aneurysms are occluded to reduce risk of rebleeding




رفعت المحاضرة من قبل: Abdalmalik Abdullateef
المشاهدات: لقد قام 30 عضواً و 291 زائراً بقراءة هذه المحاضرة








تسجيل دخول

أو
عبر الحساب الاعتيادي
الرجاء كتابة البريد الالكتروني بشكل صحيح
الرجاء كتابة كلمة المرور
لست عضواً في موقع محاضراتي؟
اضغط هنا للتسجيل