AHMAD TAHA KHALAFm.b.ch., MMED, MD/PH.D
Dermatologic conditions manifested in the oral cavityCutaneous disorders can be associated with a wide variety of dental manifestations
Oral mucosal manifestations may be the initial feature, or the only sign of such diseases. In other cases, lesions occur in both the skin and mucosae, with several clinical manifestations involving the tissues.these disorders share two features in common:
an immune-mediated pathogenesis
common clinical appearance ‘Desquamative gingivitis’.
Clinically, the gingival epithelium is erythematous and it spontaneously sloughs or can be removed with manipulation.
Differential diagnosis of desquamative gingivitis can include various diseases of fungal, viral, bacterial origin
Desquamative gingivitis is a clinical feature of a variety of dermatoses. It is characterized by epithelial desquamation, erythema, ulceration, and/or the presence of vesiculobullous lesions of gingiva and other oral tissues.
It is important to be aware of this rare clinical entity so as to distinguish desquamative gingivitis from plaque induced gingivitis which is an extremely common condition,
accurate diagnosis and effective treatment of these lesions which may greatly diminish or reverse disease progression
diagnosis
The histopathologic and immunopathologic features of desquamative gingivitis depend on which of the vesiculoerosive diseases it represents.Patients should be evaluated by incisional biopsy and specimens should be processed for both routine histology and direct immunofluorescence microscopy. In addition, serum can be sent for indirect immunofluorescence testing or ELISA to detect circulating autoantibodies. Specific findings will depend upon the underlying disease.
This generally reveals a diagnosis of one of the following:
Lichen planus ,
Mucous membrane pemphigoid
the first two accounting for about 80% of cases.
less frequently,
pemphigus vulgaris ,
Erythema multiforme, fixed drug eruption
lichenoid mucositis (idiopathic, drug-induced or foreign body-related),
Linear IgA bullous dermatosis,
lupus erythematosus,
epidermolysis bullosa acquisita
chronic ulcerative stomatitis
Treatment
Once a diagnosis is established, appropriate treatment for the responsible condition can follow.Meticulous dental prophylaxis (cleaning), oral hygiene instructions, and longitudinal evaluation are recommended.
Reducing bacterial plaque often decreases the severity of lesions and is an important adjunct to medical therapy.
Bullous pemphigoid
Benign mucous membrane pemphigoidis an autoimmune disorder that predominantly affects the oral cavity.
Tense subepithelial bullae of skin and mucous membranes
Other mucosal surfaces may also be involved, including the conjunctiva, nares, upper respiratory tract, or genitalia.
Rupture, large erosions, heal with insignificant scarring.
The mean age of onset is 50 years or older. However, reports of in children and young adults exist.
The oral cavity usually represents the first and often the only site of disease involvement. Intraoral manifestations of mucous membrane pemphigoid include desquamative gingivitis, vesiculobullous lesions, and ulcerations.
Nikolsky’s sign(rubbing of the skin results in exfoliation of the outermost layer)
Bullous pemphigoid
Cutaneous lesions more common
Both show subepithelial clefting with dissolution of the basement membrane
IgG in basement membrane
Benign mucous membrane pemphigoid
Treatment
Simple measures that can be taken include avoidance of hard, sharp or rough foods, and taking care when eating. Good oral hygiene is also usually advisedTopical and intralesional corticosteroid
antimycotics such as miconazole gel or chlorhexidine mouthwash
Topical ciclosporin
Systemic steroids, Dapsone
Lichen planus
Chronic disease of skin and mucous membranesmost often in middle-aged adults. in children is rare.
Destruction of basal cell layer by activated lymphocytes
Oral lichen planus may present in one of three forms.
The reticular form is the most common presentation and manifests as white lacy streaks on the mucosa (known as Wickham's striae) or as smaller papules (small raised area). The lesions tend to be bilateral and are asymptomatic. The lacy streaks may also be seen on other parts of the mouth, including the gingiva (gums), the tongue, palate and lips.
The bullous form presents as fluid-filled vesicles which project from the surface
The erosive form presents with erythematous (red) areas that are ulcerated and uncomfortable. The erosion of the thin epithelium may occur in multiple areas of the mouth, or in one area, such as the gums. Wickham's striae may also be seen near these ulcerated areas. This form may undergo malignant transformation.
MUCOSAL
White lacy network lying on the buccal mucosa.
may become erosive and even ulcerate.Painful, especially when ulcerated
Carcinoma may very rarely develop in mouth lesions.
12
LP of the Tongue
Treatment
Medicines used to treat lichen planus include:Oral and topical steroids.
Oral retinoids
immunosuppressant medications
hydroxychloroquine
tacrolimus
Dapsone
Erythema multiforme
Erythema multiforme is an acute or subacute self-limiting disease that involves the skin and mucous membranes.Rapidly progressive
Antigen-antibody complex deposition in vessels of the dermis
by an immunologically mediated process triggered by herpes simplex or Mycoplasma pneumoniae, drugs, radiation, or malignancies, is probable.
Target lesions of the skin
Diffuse ulceration, crusting of lips, tongue, buccal mucosa
Self-limited, heal without scarring
Clinical features
The lips, buccal mucosa, tongue, soft palate, and floor of the mouth are most commonly involved.
The skin manifestations consist of erythematous, flat, round macules, papules, or plaques, usually in a symmetrical pattern.
The characteristic skin patterns are target- or iris-like lesions
Skin bullae may occasionally be seen.
Conjunctivitis, balanitis, vulvitis, and prodromal symptoms such as headache, malaise, arthralgias, and fever, may also be present.
Recurrences are common.
Erythema multiforme minor
Erythema multiforme major (Stevens-Johnson syndrome )
Erythema multiforme: multiple erosions on the lips and tongue.
Erythema multiforme: typical target- or iris-like lesions of the skin.Treatment
Mild cases do not require treatment. (symptomatic ,Antihistamines)Usually lesions of oral EM can be treated palliatively with analgesics for oral pain, viscous lidocaine rinses, soothening mouth rinses, bland soft diet
In severely ill patients, systemic glucocorticoids are usually given, but their effectiveness has not been established by controlled studies
• In recurrent cases with positive HSV association
The Stevens–Johnson syndrome: should be hospitalized
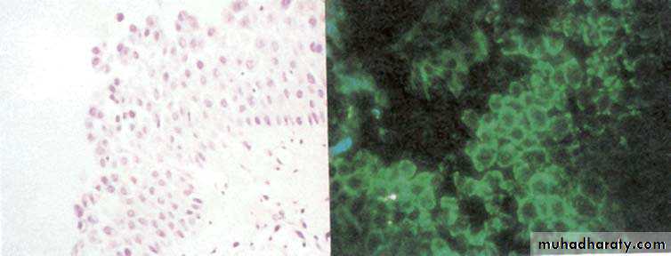
Pemphigus vulgaris
Pemphigus is a group of autoimmune blistering diseases affect the skin and mucous membranes.Sores often originate in the mouth making eating difficult and uncomfortable
Intraepithelial vesicle caused by the breaking apart of epidermal cells (acantholysis).
Severe, potentially fatal
Jewish and Italians
Nikolsky’s sign
Loss of intracellular bridges
antibodies attack desmoglein3
Quinn’s Rule for Stomatitis:
“Call it aphthous stomatitis. Treat it for two weeks. If it is still there, biopsy it.”Accurate diagnosis and effective treatment of these lesions may greatly diminish or reverse disease progression.


















