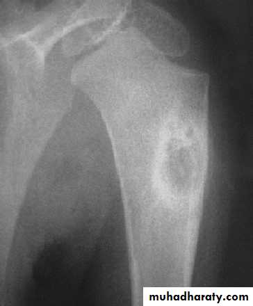
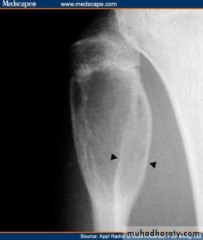
Non-ossifying fibroma (fibrous cortical defect)
Lucent fibrous tissue lesion (benign) inside bone cortex.Mostly accidentally discovered by x-ray.
Seen in children and may disappear spontaneously with time during growth.X-ray shows eccentrically located lucent small defect in the bone
Seen mostly in the cortex of the metaphysis of long bones.Rarely if large may cause pathological fracture.
Usually does not need treatment unless there is pathological fracture.Fibrous dysplasia
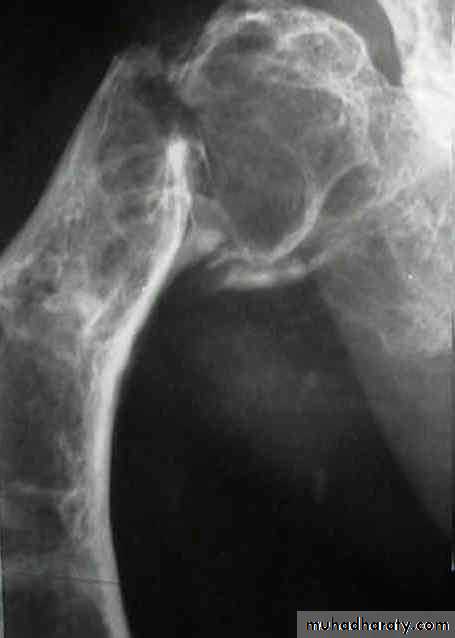
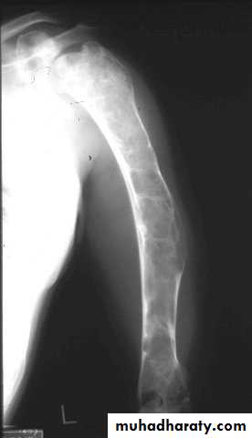
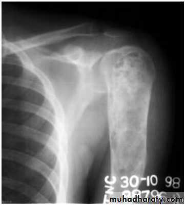
Developmental disorder whereby normal bone is replaced by fibrous tissue with flecks of osteoid.It may affect one bone (monostotic) or multiple bones (polystotic).
The lesion may be very large causes bone expansion and cortical thinning with progressive deformity and sometimes pathological fracture.Lesions occur in metaphysis & diaphysis, proximal femur is a common site it gives characteristic deformity called (shepherd’s-crock deformity(عصا الراعي.
X-ray shows lucent cystic lesion sometimes large and multilocular with bone expansion and cortical thinning it contains multiple calcific spots giving the ground-glass appearance, there is always possible deformity or pathological fracture.
About 5-10% of polyostotic forms get malignant, while only rarely occurs in monostotic lesions.
Treatment depends on tumor size and possible deformity;
Small lesions may need no treatment, just follow up.
For larger lesions we do curettage and bone graft or cement.
Sometimes we need internal fixation.
Deformities may need corrective osteotomy.
Always there is tendency for recurrence.
Osteoblastoma (giant osteoid osteoma)
It’s benign and similar to osteoid osteoma but its larger and more cellular.It occurs in young adults, males more than females.
Its commoner in the spine and flat bones& usually presents as pain or muscle spasm.X-ray shows well-defined lytic lesion surrounded by thin zone of sclerosis, it may contain flecks of calcification.
Treatment is by local excision and bone graft.
Always there is tendency for recurrence and malignant changes are reported.Bone cysts(tumor like conditions)
Simple bone cystAnurysmal bone cyst
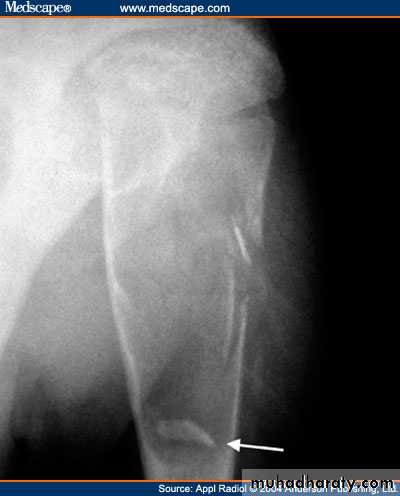
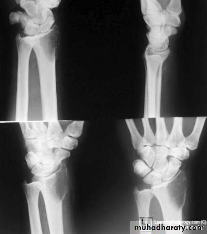
Simple bone cyst (solitary or unicamerial bone cyst)
It’s not a tumor but it’s a tumor like condition.Common in upper humerous, femur and tibia.
Seen in children up to the age of puberty.
Presents as local pain or pathological fracture.Occurs in the metaphysis and directed towards diaphysis.
X-ray shows translucent cystic lesion in the metaphysis and shaft of bone with bone widening and cortical expansion and thinning with possible pathological fracture.It may show bridges of calcification inside as a result of healing of micro fractures that commonly occurs,
by this way it may gradually disappear and heals later in life;
sometimes we use this criteria as a method of treatment by frequent aspiration and local steroid injections aiming at induction of such micro fractures that aids healing
Small cysts treated as above, for larger cysts we do curettage and bone graft.
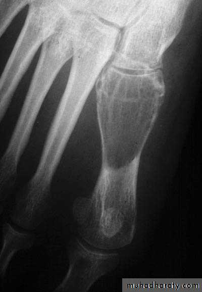
Aneurysmal bone cystTumor-like cystic lesion forms of multiple cavities full with blood.
Mostly seen in spine or eccentrically located in the metaphysis of long bones of young adults.
X-ray shows well-defined irregular eccentric lucent lesion in the metaphysis that does not reach the articular surface, it may show ballooning, cortical widening and thinning.
Important differential diagnosis is giant cell tumor.
Treatment is by curettage and bone graft.
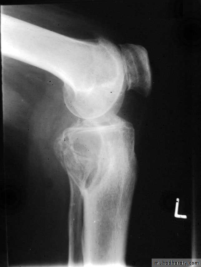
Giant cell tumor (osteoclastoma):(Sometimes-malignant tumor - Intermediate tumor)Pathology:
This tumor contains multinucleated giant cells and large number of stromal cells.Its soft friable tumor seen in the soft cancellous subarticular bone and never reach the articular surface.
It’s a tumor of young adults occurs after bone maturity in the epiphysial region.
Its intermediate type of tumor (neither benign nor malignant)
About 1/3 of it remains benign ,1/3 is locally aggressive,
1/3have distant metastasis.
Clinical features:
Patient aged 20-40.
There is pain or swelling near a joint, 10% presents with pathological fracture.
O/E vague swelling at the bone end and signs of joint irritation.X-ray:
Rarefied area of the bone end reaching just below the articular surface.Eccentric lesion with bone expansion and ballooning with cortical thinning, sometimes pathological fracture.
There may be calcific trabiculations inside the lesion giving it the commonly known saop-bubble appearance.
Treatment:
For well-defined small and rather benign lesion, we can do curettage and burr-down with bone graft.Larger more aggressive lesions may need local excision and bone graft or prosthetic replacement.




























