esophagus spot pptx - د.خليل ا
دخول
الرئيسية
المحاضرات
البحث
اختبرني
مكتبة علوم
تطبيقات
المترجم الطبي
أشعة
esophagus spot
رقم المحاضرة:
2
بتاريخ
2015-12-15
أشعة
-
د.خليل ابراهيم
جامعة بغداد
>
كلية طب بغداد
>
المرحلة الخامسة
مواضيع المحاضرة:
قراءة
عرض
Esophageal diseases
Dr.khaleel Ibraheem
DMRD,CABMS-RAD
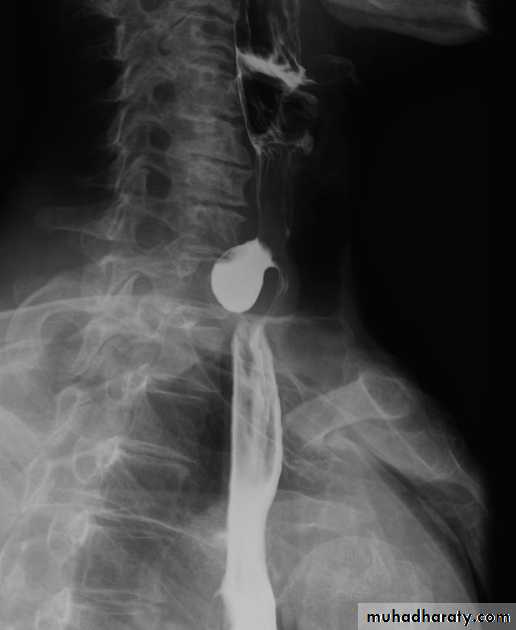
Webs
Majority protrude from anterior esophageal wall
short, thin web (arrows) with minimal intraluminal extension.
رفعت المحاضرة من قبل:
AyA Abdulkareem
المشاهدات: لقد قام 77 عضواً و 294 زائراً بقراءة هذه المحاضرة
تسجيل دخول
أو
عبر الحساب الاعتيادي
الرجاء كتابة البريد الالكتروني بشكل صحيح
البريد الالكتروني
الرجاء كتابة كلمة المرور
كلمة المرور
دخول
لست عضواً في موقع محاضراتي؟
اضغط هنا للتسجيل