Impression Taking, Dies and Lost Wax Technique
Dr. Recep UzgurDepartment of Prosthodontics
Classification of Impressions
Preliminary impressions ;Taken either by the dentist or an expanded-function dental assistant.
Used to make a reproduction of the teeth and surrounding tissues.
Used to make (1) diagnostic models, (2) custom trays, (3) provisional coverage, (4) orthodontic appliances, and (5) pretreatment and post‑treatment records
Alginate is mostly used.
Final impressions ;
Taken by the dentist.Used to make the most accurate reproduction of the teeth and surrounding tissues.
Used to make indirect restorations, partial or full dentures, and implants.
Bite registrations ;
Taken by the dentist or dental assistant.
Make a reproduction of the occlusal relationship between the maxillary and mandibular teeth.
Provide an accurate registration of the patient’s centric relationship between the maxillary and mandibular arches.
Types of Occlusal Registration
Wax bite;Useful when the diagnostic casts are trimmed.
The most common technique is to use a softened baseplate wax
Polysiloxane bite registration paste: Supplied both as a paste system and also as cartridges.
The material is fast setting.
There is no resistance to biting forces.
There is no odor or taste for the patient.
It gains dimensional stability over time.
It is convenient to use.
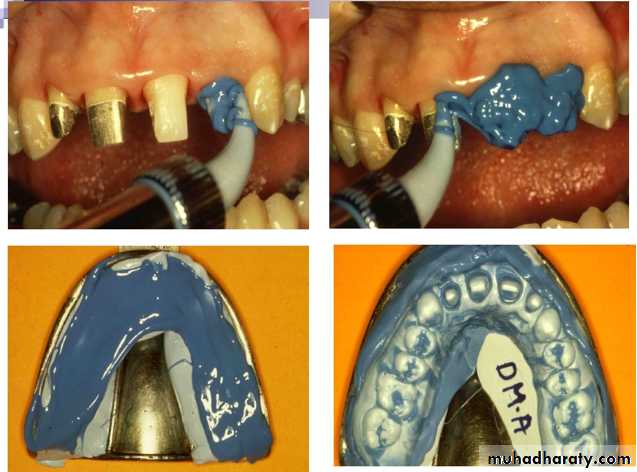
Impression Trays
Must be sufficieantly rigid to;Carry impression materials into intraoral cavity
Hold the material in close to the teeth
Avoid breaking during removal
Also they may be metal or plastic
Characteristics of Impression Trays
Stock Tray; It is fabricated.Custom Tray; It is for individual. They can be obtained by light-cure resins, auto polymerizing acrylic resin, thermoplastic materials
Section Trays; Covers anterior portion of the arch.
Full arch Tray; Covers the entire arch.
Perforated Tray; Holes in the tray create a mechanical lock to hold the impression material.
Tray Selection Criteria
Feel comfortable to the patient.Extends slightly beyond the facial surfaces of the teeth.
Extends approximately 2 to 3 mm beyond the third molar, retromolar, or tuberosity area of the arch.
Is sufficiently deep to allow 2 to 3 mm of material between the tray and incisal or occlusal edges of the teeth
Putty Wash Technique
One stage or double mix techniqueTwo stages or single mix texhnique
One Stage Technique; Light bodied impression material is placed in a syringe, and placed over the areas where high detail is required. Some is then squirted over the heavy-bodied impression material which has been loaded into an impression tray. The impression is then taken as normal. This technique saves time, but it can be very labour intensive because the two need to mixed at the same time.
Two Stage Technique;
An impression is taken with the heavy-bodied material. This is then removed from the mouth and inspected. The light bodied material is then prepared and squirted over heavy-bodied material and then impression relocated. Heavy- bodied putty serve as a custom tray for a thin „wash” of a less highly filled, low viscosity silicone.Sectional Model
CAST: the positive likeness of a patient’s upper or lowerjaw
DIE: small model of prepared teeth
TYPES OF CAST AND DIE MATERIALS
Ideal Properties of Die Materials
Dimensionally accurate.High abrasion resistance, should possess good strength,& have smooth surface .
Allow burnishing of foil & resist breakage.
Ability to reproduce all fine details in the impression.
Compatibility with all impression materials.
Easy & quick manipulation & rapid fabrication.
Non-injurious to health by touch or inhalation.
Economic
Ideal Requirements and Types of Die Systems
Easy to remove and replace in its original position.
Must be stable when placed in the cast.
Easy to mount in the articulator.
A-WORKING CAST WITH SEPARATE DIE SYSTEM
A-WORKING CAST WITH REMOVABLE DIE SYSTEMWorking Cast & Separate Die System
Here, two casts are poured from a single impression and one cast is sectioned and used as a die and the other is not sectioned and is used as the working cast. The wax pattern is prepared on the die and later transferred to the working cast.Working Cast With A Removable Die System
In this system a special type of working cast is prepared and the dies are carefully sectioned so that the individual dies can be removed and replaced in their original position in the cast. Dowel pin systems, di-lok tray systems and the pindex systems come under this category.There are three commonly used removable die systems, they are:
a) Dowel pin system-Straight
-Curved
b) Di-lok tray system
c) Pindex system
Fixed Partial Denture Fabrication Methods
a.CAD-CAM TECHNIQUEb.LOST-WAX TECHNIQUE
1-tradıtıonal method
2-cheaper
3-takes tıme to make dentures
4-needs dental technician
5-technınıcıan’S exp. Is ımportant
1-New chaırsıde method
2-Expensive for operatorAnd patıent
3-more accurate
4-allows to make dentures
ın one day
5-allows to ıgnore dental technician
6-OPERATOR’S exp. Is ımportant
a. CAD-CAM TECHNIQUE
• A scanner that transforms geometry into digital data.
2. Computer and Software
3. Milling Machine
1. scanners
Intraoral scannerslaboratory scanners
2. Computer and Software
• Special software for designıng
• Tooth lıbrary
3. Mıllıng machınes
LOST-WAX TECHNIQUE
WAX patterns
• In order to produce any fixed restoration, a very accurate wax pattern sd be made.• There are several requirements of a good modellıng wax;
-It must flow readily when heated, without chipping-When cooled, it must be rigid
-It must be capable of being carved precisely without chipping
How to do
Step 1 : To prevent the wax from sticking to the die stone, the die is coated with die lubricant.Step 2 : Prepared dıe surfaces ıs surrounded wıth a leaf wax. That ıs an ınıtıal layer











































