Clinical Aspects of Neoplasia
Effects of Tumors on Host• .location
• -pituitary tumor (pressure)
• -gut tumor (obstruction)
• .functional activity (endocrine tumor)
• .bleeding (skin, melena, hematuria) & infections in ulcerated tumors
• .symptoms due to rupture or infarction
• .cachexia-loss of body fat & lean body mass>weakness, anorexia, & anemia
.paraneoplastic syndromes
• -symptom complexes in cancer-bearing patient, unexplained by local or distant spread of tumor, or release of hormones indigenous to tissue from which the tumor arose• -seen in 10% of cancer-bearing persons
• -important to recognize .may represent an occult neoplasm
• .may be lethal .may mimic metastatic disease
-include .endocrinopathies (Cushing syndrome- small cell carcinoma of lung) .hypercalcemia (carcinomas of lung, breast, kidney, & ovary) .neuromyopathic syndromes (peripheral neuropathies, cortical cerebellar degeneration, polymyopathy myasthenic syndrome) .dermatologic disorders (acanthosis nigricans)
.hypertrophic osteoarthropathy -periosteal new bone formation, at distal ends of long bones, metatarsals, metacarpals, & proximal phalanges -arthritis of adjacent joints -clubbing of the digits .vascular & hematologic manifestations -migratory thrombophlebitis (Trousseau syndrome) in association with deep-seated cancers -DIC (acute leukemia, prostatic carcinoma)
Grading and Staging of Tumors
.are methods to assess clinicalaggressiveness of a given neoplasm &
its extent & spread in individual patient
.are necessary for making an accurate
prognosis
.are needed for comparing results of
various treatment protocols
Grading.based on degree of differentiation of tumor cells, & in some tumors number of mitoses & architectural features -well differentiated, (grade I) -moderately differentiated, (grade II) -poorly differentiated, (grade III) -undifferentiated, (grade IV)
Staging
.based on-size of primary lesion
-extent of spread to regional lymph nodes
-extent of blood-born metastases
American Joint Committe for Cancer Staging uses TNM classification system
• -To-T4, (primary tumor)
• -No-N3, (regional lymph node involvement)
• -Mo-M2, (metastases)
Laboratory Diagnosis of Cancer.histologic methods -type of specimen .excisional .incisional .wide-bore needle -optimal requirements .clinical data .specimen must be -adequate -representative -properly preserved (formalin)
-additional techniques .refrigeration (hormone, receptor, or molecular analysis) .“quick-frozen section” diagnosis for -determining the nature of lesion (benign or malignant) -evaluating the margins of an excised cancer for completeness of excision
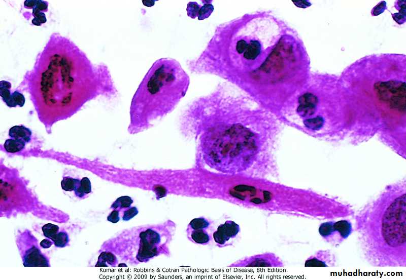
.cytologic methods -type of sample .fine needle aspiration, used in -readily palpable lesions (breast, thyroid, lymph nodes) -deep-seated structures advantages (least invasive, rapidly performed, avoids surgery & its risks) .smear, type of sample -surface epithelium -cavity fluid (abdomen, pleura, joint, pericardium, sub-arachnoid)
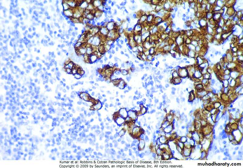
.immunohistochemistry -specific antibodies for identification of cell products or surface markers -utility in .categorization of undifferentiated cancer .categorization of leukemias & lymphomas .determination of site of origin of metastatic tumor .detection of molecules that have prognostic or therapeutic significance
.flow cytometry
-measurement of membrane antigens & DNA content of tumor cells-identification & classification of lymphomas & leukemias
.molecular diagnosis -diagnosis of cancer .differentiation between monoclonal (neoplastic) & polyclonal (reactive) proliferations in lymphomas .detection of specific translocations in hematopoietic neoplasms & sarcomas -prognosis of cancer -detection of minimal residual disease (leukemias, lymphomas)
-diagnosis of hereditary predisposition to cancer .detection of these mutated alleles may allow for screening program in form of prophylactic surgery & counseling of relatives at risk .examples(mutations in tumor suppressor genes-BRCA1, BRCA2)
.tumor markers -biochemical assays for tumor- associated markers in body fluids (blood, stool, sputum, saliva, urine) for .detection of cancer .determination of the effectiveness of therapy .detection of cancer recurrence
-types of markers
.hormones-HCG (trophoblastic & testicular tumors)
-calcitonin (thyroid)
.oncofetal antigens
-α-fetoprotein (liver cell carcinoma, testicular germ cell tumors) -carcinoembryonic antigen (CEA) (carcinomas of colon, pancreas, lung, stomach)
.isoenzymes -prostatic acid phosphatase (prostatic cancer) -neuron-specific enolase (cancer of lung, neuroblastoma) .specific proteins -immunoglobulins (plasma cell tumors) -prostate-specific antigen & prostate- specific membrane antigen (prostatic carcinoma)
.glycoproteins -CA-125 (ovarian cancer) .new molecular markers -APC, p53, RAS, (cancer of colon) -p53, (cancers of lung, salivary gland, pancreas, urinary bladder)
.molecular profiles of tumors -DNA microarray technology, measuring expression of all genes simultaneously -proteomics, obtain profiles of proteins contained in tissues, serum, or other body fluids



