قراءة
عرض

Chest surgery Photos

WWW.muhadharaty.com/lecture/3938

Vascular and chest surgery practical

Pleural effusion

Pleural effusion
Vascular and chest surgery practical


Vascular and chest surgery practical


Vascular and chest surgery practical


Vascular and chest surgery practical




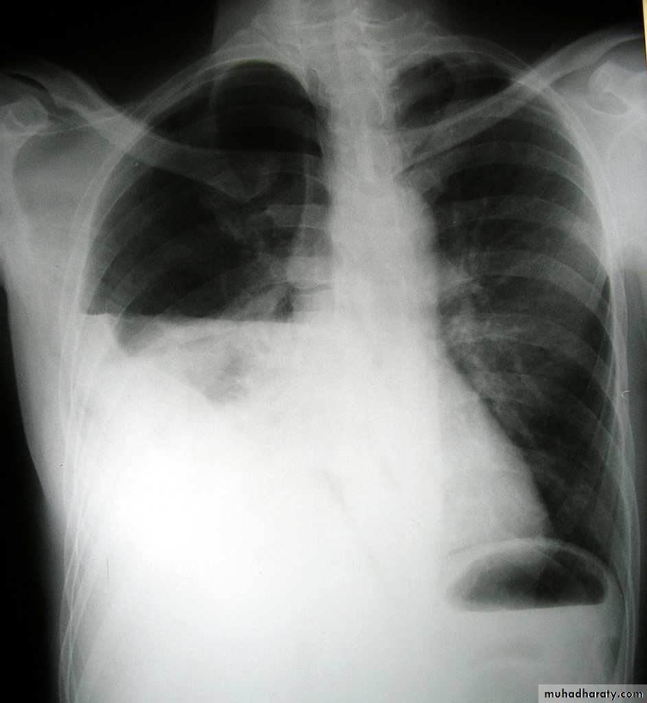
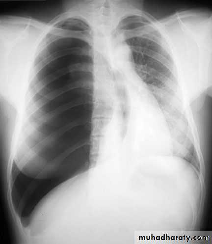
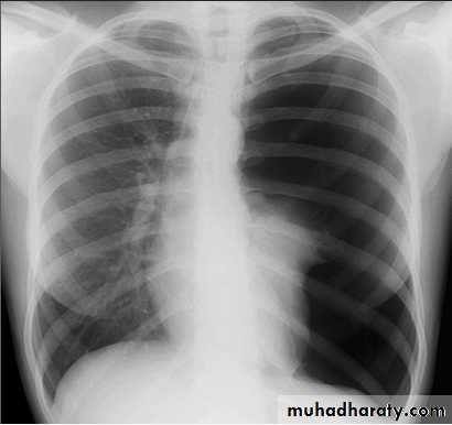
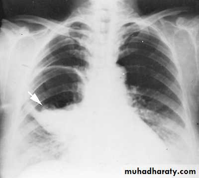
X-ray of pleural effusion

Vascular and chest surgery practical


Vascular and chest surgery practical

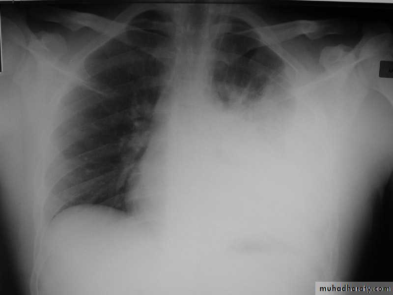
Massive right effusion

Thoracocentesis
Vascular and chest surgery practical


Vascular and chest surgery practical


Vascular and chest surgery practical

Thoracocentesis

Vascular and chest surgery practical


Vascular and chest surgery practical


VATS

Vascular and chest surgery practical

Thoracocentesis needle

Vascular and chest surgery practical


Vascular and chest surgery practical


Vascular and chest surgery practical

Tube thoracostomy

Vascular and chest surgery practical

Pleurectomy


Vascular and chest surgery practical


Vascular and chest surgery practical

Pleuro-peritoneal shunt (Denver)

Vascular and chest surgery practical

Pneumothorax

Pneumothorax
Vascular and chest surgery practical


Vascular and chest surgery practical

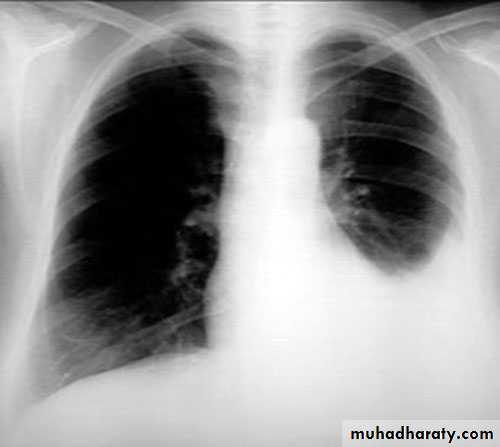
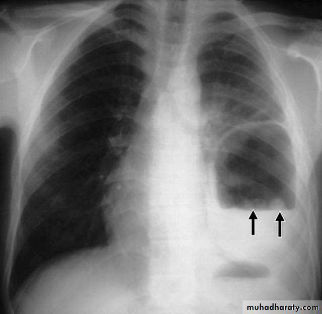
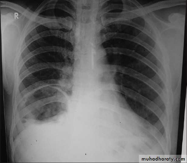
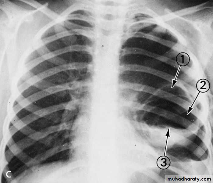
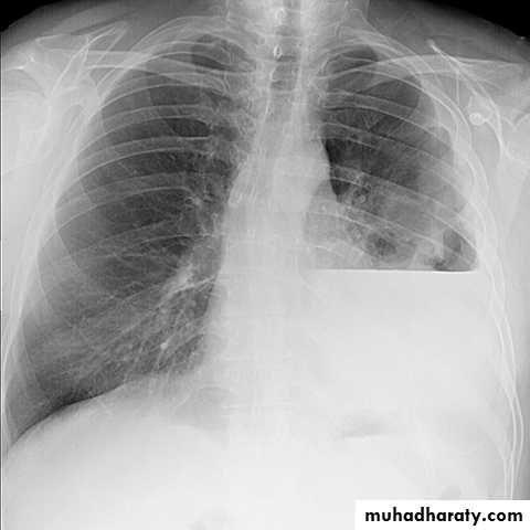
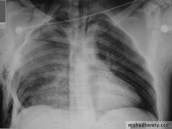
X-ray pneumothorax

Vascular and chest surgery practical


Vascular and chest surgery practical



Vascular and chest surgery practical

X-ray pneumothorax

Vascular and chest surgery practical


Vascular and chest surgery practical

X-ray tension pneumothorax

Vascular and chest surgery practical

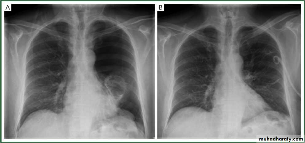
Pneumothorax

A: before treatment
B: after treatment
Vascular and chest surgery practical

Hemothorax


Hemothorax
Vascular and chest surgery practical


Vascular and chest surgery practical


Vascular and chest surgery practical

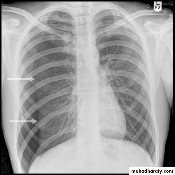
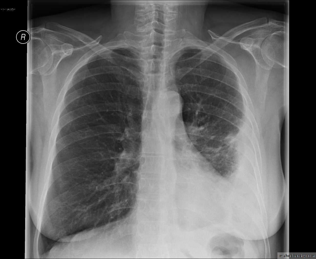
X-ray hemothorax

Vascular and chest surgery practical


Vascular and chest surgery practical

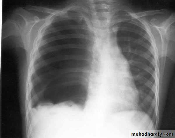
X-ray pneumohemothorax

Vascular and chest surgery practical

Empyema

Empyema
Vascular and chest surgery practical



Vascular and chest surgery practical

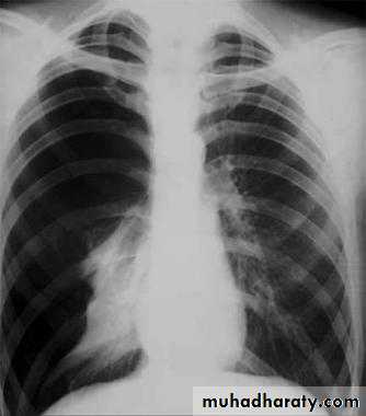
X-ray Empyema

Vascular and chest surgery practical


Vascular and chest surgery practical

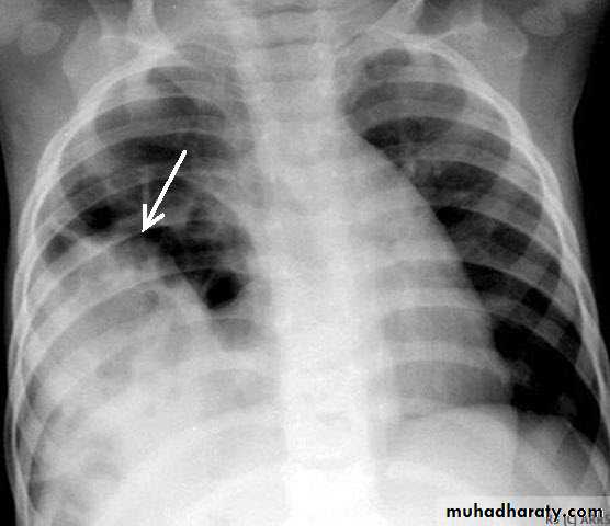
Pulmonary hydatid disease

Hydatid cyst
Vascular and chest surgery practical

X-ray findings

Vascular and chest surgery practical

Simple hydatid cyst

Vascular and chest surgery practical


Signet ring

Vascular and chest surgery practical

Double arch sign

Vascular and chest surgery practical

Water lily sign

Vascular and chest surgery practical


Vascular and chest surgery practical


Vascular and chest surgery practical

A/F level

Vascular and chest surgery practical




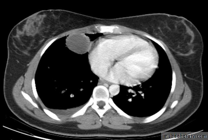
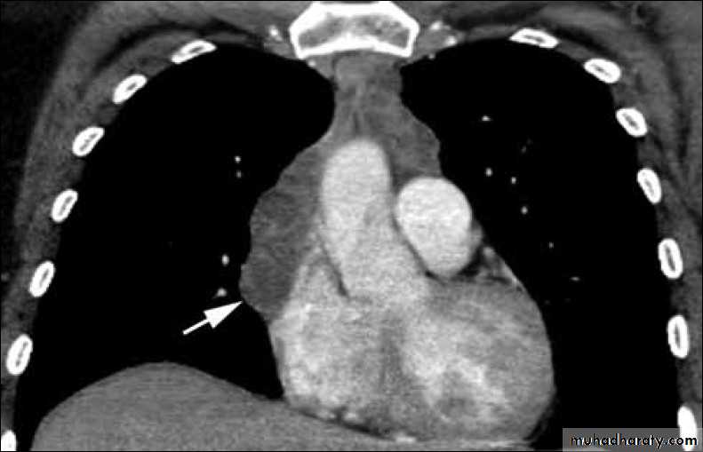
The mediastinum

The mediastinum

Vascular and chest surgery practical


Vascular and chest surgery practical

The mediastinum

Vascular and chest surgery practical

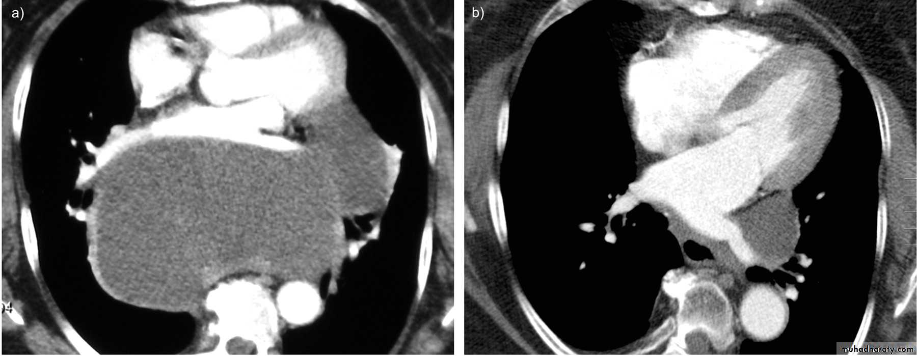
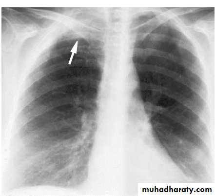
SVC obstruction

Vascular and chest surgery practical


Vascular and chest surgery practical


Vascular and chest surgery practical

Bronchogenic cyst

Vascular and chest surgery practical



Vascular and chest surgery practical

Esophageal duplication cyst

Vascular and chest surgery practical

Pericardial cyst

Vascular and chest surgery practical


Vascular and chest surgery practical

Thymic cyst

Vascular and chest surgery practical


Vascular and chest surgery practical

Lymphangioma

Vascular and chest surgery practical


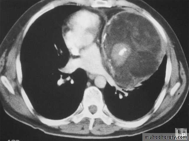
Cystic teratoma

Vascular and chest surgery practical

Chest trauma

Diaphragmatic rupture
Vascular and chest surgery practical


Vascular and chest surgery practical

Diaphragmatic rupture

Vascular and chest surgery practical

Diaphragmatic rupture

Vascular and chest surgery practical




Diaphragmatic rupture

Liver herniation in right side

Vascular and chest surgery practical

Flail chest

Vascular and chest surgery practical

Flail chest x ray

Vascular and chest surgery practical

Management of flail chest

Vascular and chest surgery practical


Vascular and chest surgery practical


Vascular and chest surgery practical



Vascular and chest surgery practical

Chest tube

Vascular and chest surgery practical


Vascular and chest surgery practical


Vascular and chest surgery practical

Chest tube

Vascular and chest surgery practical

Chest tube

Vascular and chest surgery practical


Vascular and chest surgery practical




Chest tube
Vascular and chest surgery practical

Chest tube

Vascular and chest surgery practical


Vascular and chest surgery practical


Vascular and chest surgery practical

https://www.youtube.com/watch?v=kEc8fn6ownc

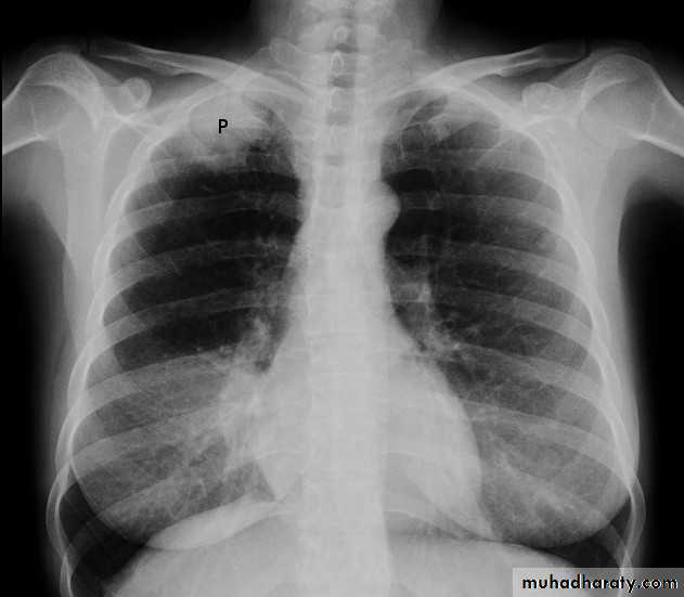
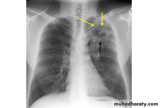
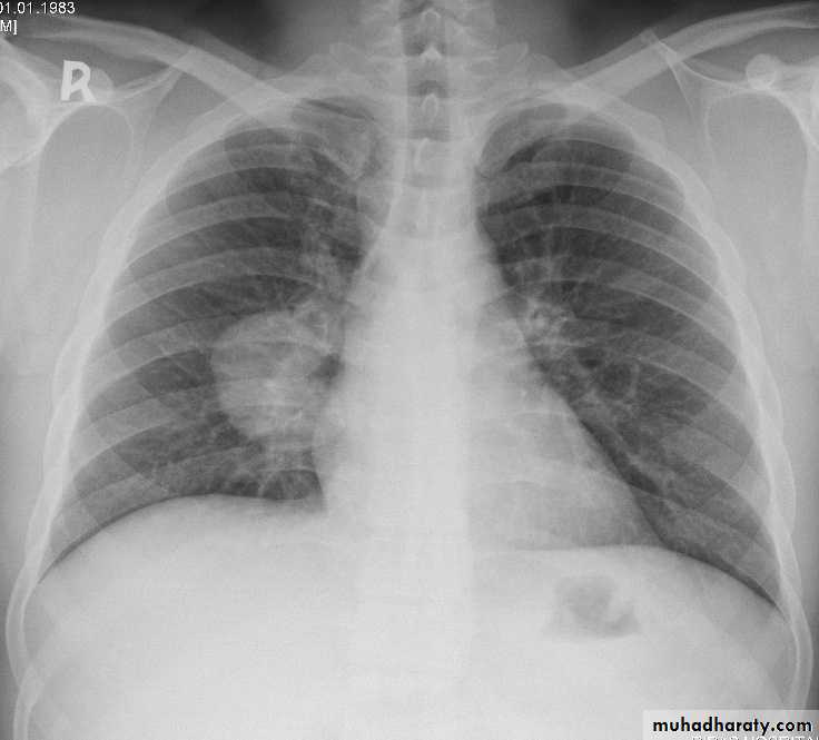
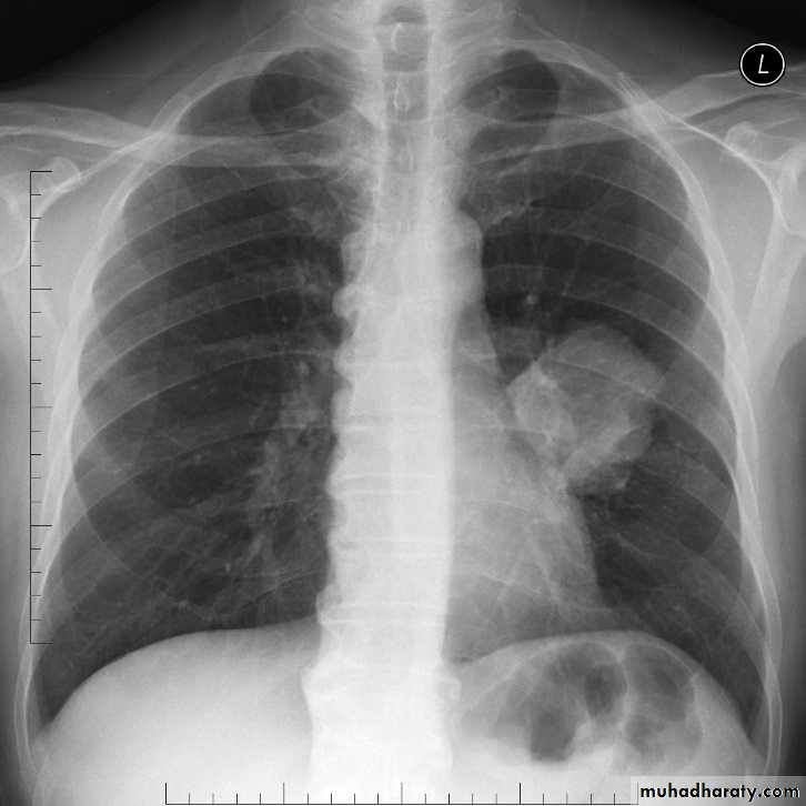
Lung cancer x ray
Vascular and chest surgery practical


Vascular and chest surgery practical


Vascular and chest surgery practical




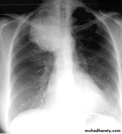
Pancoast Tumor
Vascular and chest surgery practical


Vascular and chest surgery practical


Vascular and chest surgery practical

Thank you




رفعت المحاضرة من قبل: Abdalmalik Abdullateef
المشاهدات: لقد قام 58 عضواً و 618 زائراً بقراءة هذه المحاضرة








تسجيل دخول

أو
عبر الحساب الاعتيادي
الرجاء كتابة البريد الالكتروني بشكل صحيح
الرجاء كتابة كلمة المرور
لست عضواً في موقع محاضراتي؟
اضغط هنا للتسجيل