قراءة
عرض

Important photos for exam

Vascular - Chest

Vascular and chest surgery practical

Important topics

Vascular and chest surgery practical

Lung contusion

Vascular and chest surgery practical


Vascular and chest surgery practical

Pulmonary hydatid cyst

Vascular and chest surgery practical


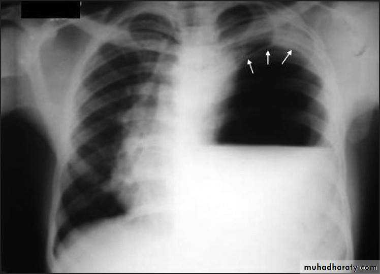
A/F level with mediastinal shift

Vascular and chest surgery practical

Diaphragmatic hernia

Vascular and chest surgery practical

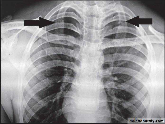
First rib fracture

Vascular and chest surgery practical


Vascular and chest surgery practical

Flail chest fixation

Vascular and chest surgery practical


Vascular and chest surgery practical




Chest tube
Vascular and chest surgery practical

Types of aneurysm

Vascular and chest surgery practical

Abdominal aortic aneurysm

Vascular and chest surgery practical

Varicose veins

Vascular and chest surgery practical




Vascular and chest surgery practical

Venous ulcer

Vascular and chest surgery practical


Arterial ulcer

Vascular and chest surgery practical

Diabetic foot

Vascular and chest surgery practical

Thank you




رفعت المحاضرة من قبل: Abdalmalik Abdullateef
المشاهدات: لقد قام 51 عضواً و 440 زائراً بقراءة هذه المحاضرة








تسجيل دخول

أو
عبر الحساب الاعتيادي
الرجاء كتابة البريد الالكتروني بشكل صحيح
الرجاء كتابة كلمة المرور
لست عضواً في موقع محاضراتي؟
اضغط هنا للتسجيل