First stage
BiologyLec 6
28/12/2015
د. بثينة
Cellular Activity
Proteins
Protein synthesis:
The events involved in gene expression that results in a protein synthesis.1- DNA contains genetic information. The sequence of its bases determines the sequence of amino acids in a polypeptides.
2- During transcription one strand of DNA serves as a template for formation of mRNA. The bases in mRNA are complementary to those in DNA, every three bases is a codon that codes for amino acid.
3- Messenger RNA (mRNA) is processed before it leaves the nucleus, during which time the introns are removed.
4- Messenger RNA (mRNA) carries a sequence of codons to the ribosomes, which are composed of rRNA and proteins.
5- Transfer RNA (tRNA) molecules, each of which is bonded to a particular amino acid, have anticodons that pair complementarily to the codons in mRNA.
6- During translation, tRNA molecules and their attached amino acids arrive at ribosomes, and the linear sequence of codons of the mRNA determines the order in which the amino acids become incorporated into a protein.
7- They have release factors that recognize the signals and terminate
protein synthesis.
(1)
The release factors bind to a termination codon at the A site and stimulate hydrolysis of the bond between the tRNA and the polypeptide chain at the P site, resulting in release of the completed polypeptide from the ribosome. The tRNA is then released, and the ribosomal subunits and the mRNA template dissociate.
Stages of Protein Synthesis
Protein secretion:Proteins traveled from the Golgi apparatus to the cell surface in secretory vesicles, which then fused with the plasma membrane to release defined contents outside of the cell.
The secretory pathway:
RER Golgi apparatus secretory vesicles cell exterior.
Plasma membrane and lysosomal proteins also travel from the RER to the Golgi apparatus and then to their final destinations.
(2)
Proteins as well as lipids and polysaccharides are transported from the Golgi apparatus to their final destinations through the secretory
pathway. This involves, which bud from the trans Golgi network and deliver their contents to the appropriate cellular locations.
Lipids
Lipids synthesis & secretion:Lipids are important energy storage molecules and the major constituent of cell membranes. They are synthesized from acetyl CoA, which is formed from the breakdown of carbohydrates, in a series of reactions that resemble the reverse of fatty acid oxidation.
The major product of fatty acid biosynthesis, which occurs in the cytosol of eukaryotic cells, is the 16-carbon fatty acid palmitate.
The principal constituents of cell membranes (phospholipids, spingomylin, and glycolipids) are then synthesized from fatty acids in the endoplasmic reticulum and Golgi apparatus.
(3)
The ER is the major site at which membrane lipids are synthesized in eukaryotic cells. Because they are extremely hydrophobic, lipids are synthesized in association with already existing cellular membranes rather than in the aqueous environment cytosol. They are then transported from the ER to their ultimate destination either in vesicles or by carrier proteins.
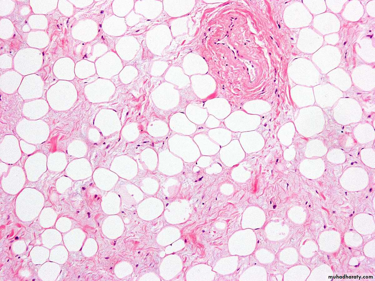
Adipose Tissue
Lipids storage:Lipids may accumulates as non-membrane vacuoles, which appear as large clear spaces in the cytoplasm. Large fat vacuoles are a special feature of fat storage cells called adipocytes. Fat also accumulates in certain cells such as hepatocytes in the liver in response to sublethal metabolic damage. The most common cause in chronic high alcohol ingestion.
(4)
Carbohydrates biosynthesis:
In addition to being obtained directly from food or generated by photosynthesis, glucose can be synthesized from other organic molecules. In animal cells, glucose synthesis (gluconeogensis) usually starts with lactate (produce by an anaerobic glycolsis).
Amino acid ( produced by the breakdown of proteins) or glycerol (produced by the breakdown of lipids).
Glucose in the body undergoes catabolism in all peripheral tissue, particularly in brain, muscle and kidney to produce ATP. Excess glucose is charged into glycogen by the process of glycogenesis ( anabolism) and stored as glycogen in liver and muscle or converted to fatty acid and is
stored in adipose tissue as triglycerides. Eqinephrine and glycogen hormones are secreted to stimulate the conversion of glycogen to glucose when blood glucose level become low. This process is called glucogenolysis ( catabolism).
Gluconeogensis involves the conversion of pyruvate to glucose-essentially the reverse of glucolysis.
In both plant & animal cells, glucose is stored in the form of polysaccharides (starch and glycogen, respectively).
The synthesis of polysaccharides like that of all other macromolecules is an energey-requiring reaction.
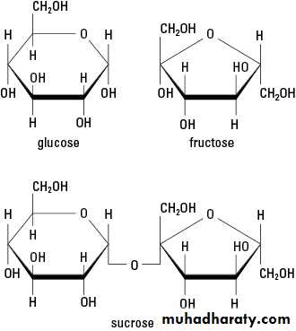
The linkage of two sugars by glycosidic bond can be written as a dehydration reaction, in which H2O is removed.
(5)
Carbohydrates storing:
Glycogen, a polymer and storage product of glucose, forms as granules in the cell cytoplasm and is only visible by electron microscopy. Demands for energy are met by conversion of glycogen to glucose.In a certain cells, the presence of large amounts of glycogen causes pale staining or apparent vacuolation of cell cytoplasm. Glycogen can be stained by the PAS method.
(6)
Nucleic Acids
The precursors of nucleic acids, the nucleotides, are composed of phosphorylated five - carbon sugars joined to nucleic acid bases.
They are obtained from:
Dietary source
Or reused following nucleic acid breakdown.
The starting point for nucleotide synthesis is the phosphorylated sugar ribose-5- phosphate.
Different pathways then lead to the synthesis of purine and pyrimidine
ribonucleotides, which are the immediate precursors for RNA synthesis. Thesis ribonucleotides are converted to deoxyribonucleotides, which serve as the monomeric building blocks of DNA.
Watson & Crick Model:
The Watson & Crick model shows that DNA is a double helix with sugar-phosphate backbones on the outside and paired bases on the inside.
Chargaff”s rules said that A=T and G=C. The model shows that A is
hydrogen-bonded to T and G is hydrogen bonded to C.
This is so-called complementary base pairing means a purine is always bonded to pyrimidine.
(7)
DNA Replication:
It has now been confirmed that DNA is replicated by means of complementary base pairing. During replication, each old DNA strand of the parent molecules serves as a template for a new strand in a daughter molecule. DNA replication is termed semiconsevative replication because each daughter helix contains an old strand and a new strand.
Replication requires the following steps
1- Unwinding:
The old strands that make up the parent DNA molecule are unwound and “unzipped” (the weak hydrogen bonds between the paired bases are broken). There is a special enzyme
called helicase that unwinds the molecule.
2- Complementary base pairing:
New complementary nucleotides, always present in the nucleus, are positioned by the process of complementary base pairing.
3- joining:
the complementary nucleotides join to form new strands. Each daughter DNA molecule contains an old strand and a new strand.
(8)
(9)











