Hepatobiliaryspleenpancreas
Dr. Khaleel IbraheemDMRD,CABMS
Imaging techniques:
• Ultrasound• CT & MRI
• Radionuclide imaging.
• Invasive studies
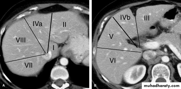
Liver
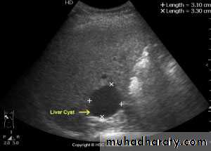
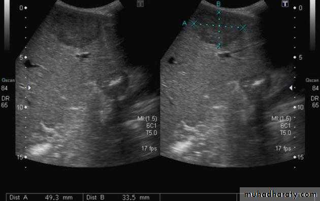
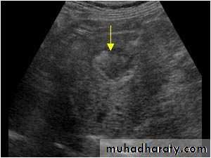
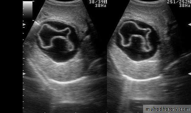
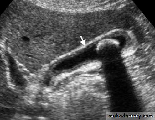
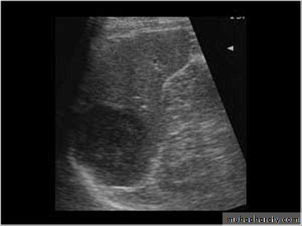
Focal masses ultrasound
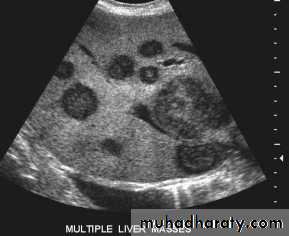
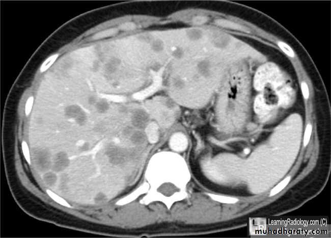
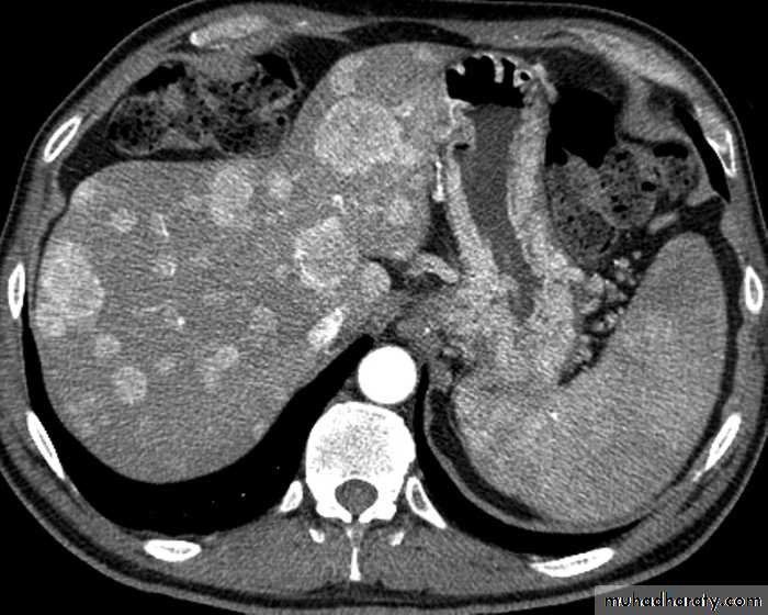
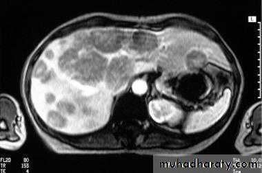
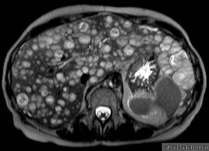
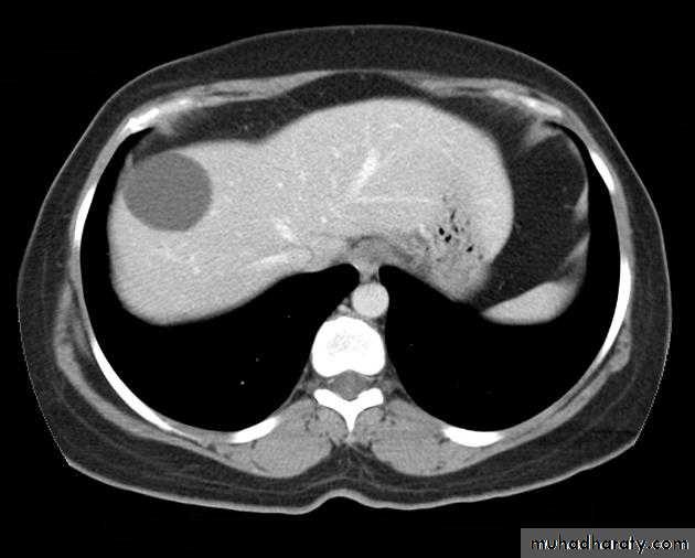
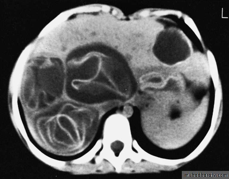
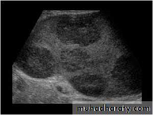
Multiple masses
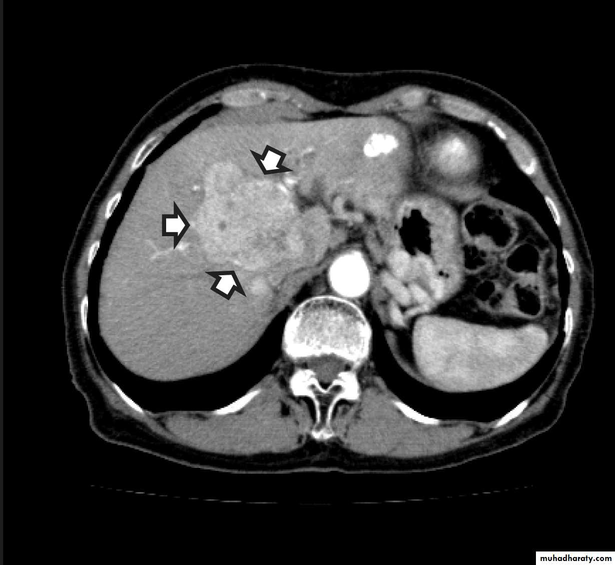
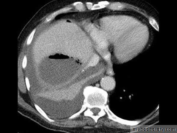
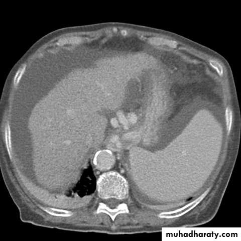
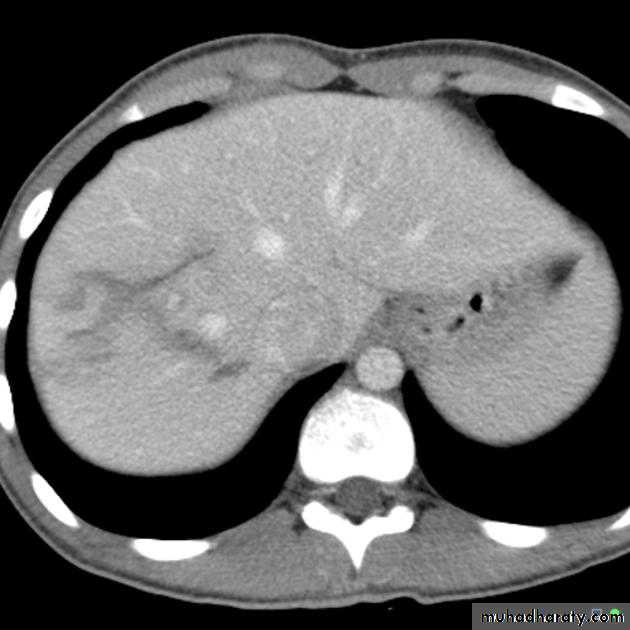
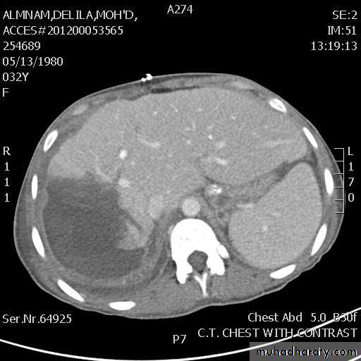
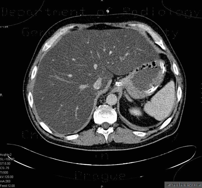
CT scan
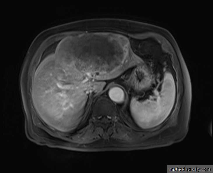
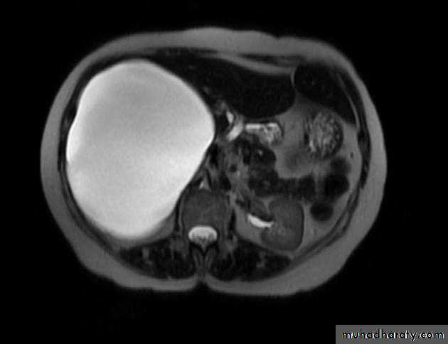
MRI
Malignant neoplasms:
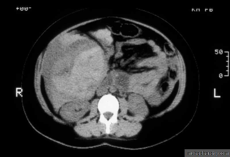
hepatocellular carcinoma
Benign lesions
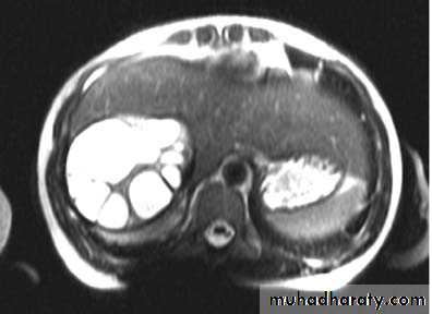
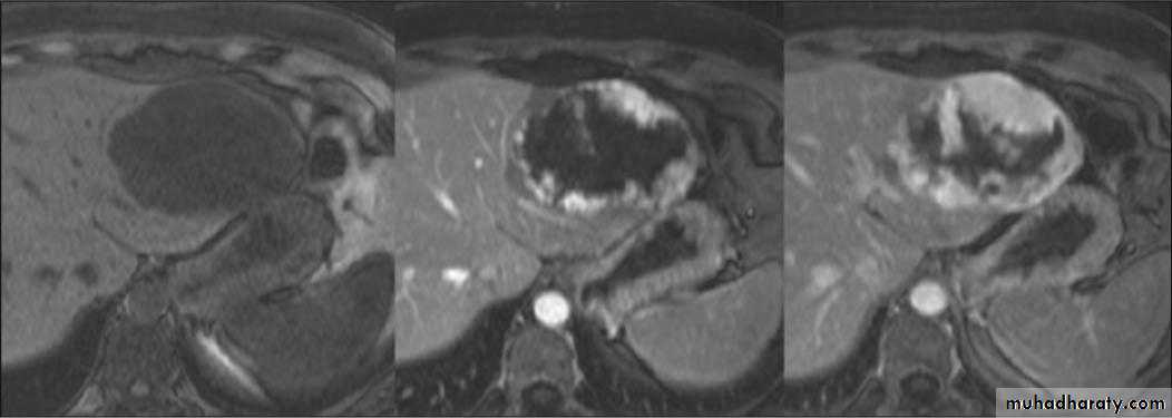
Hemangioma
Adenoma, focal nodular hyperplasia
Liver abscess:
Cirrhosis & portal hypertension
Liver trauma
Fatty liver
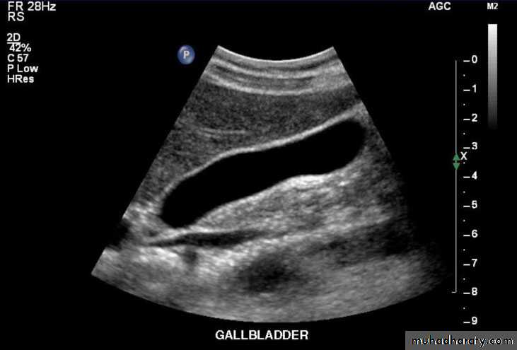
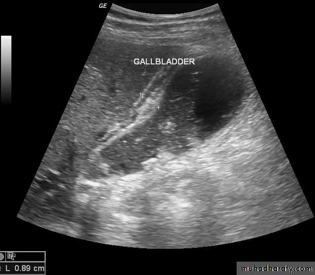
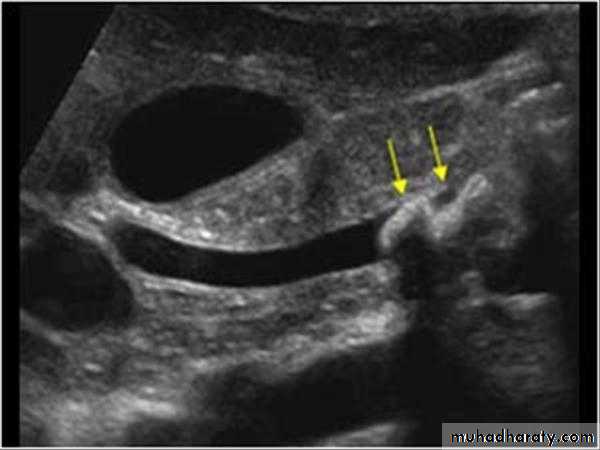
Gall bladder ,biliary tree
Fasting
CBD not > 7mmnormal intrahepatic tree is too small to seen
ERCPDxtic
TherapeuticCx
PTC
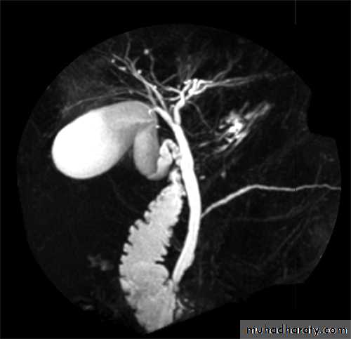
MRCP
• non-invasive
• no contrast.Gall stone & cholecystitis
Obstructive jaundice
US
CT
PTC
ERCP & MRCP
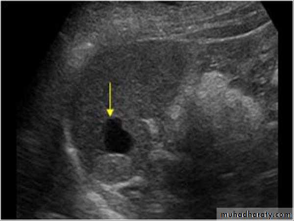
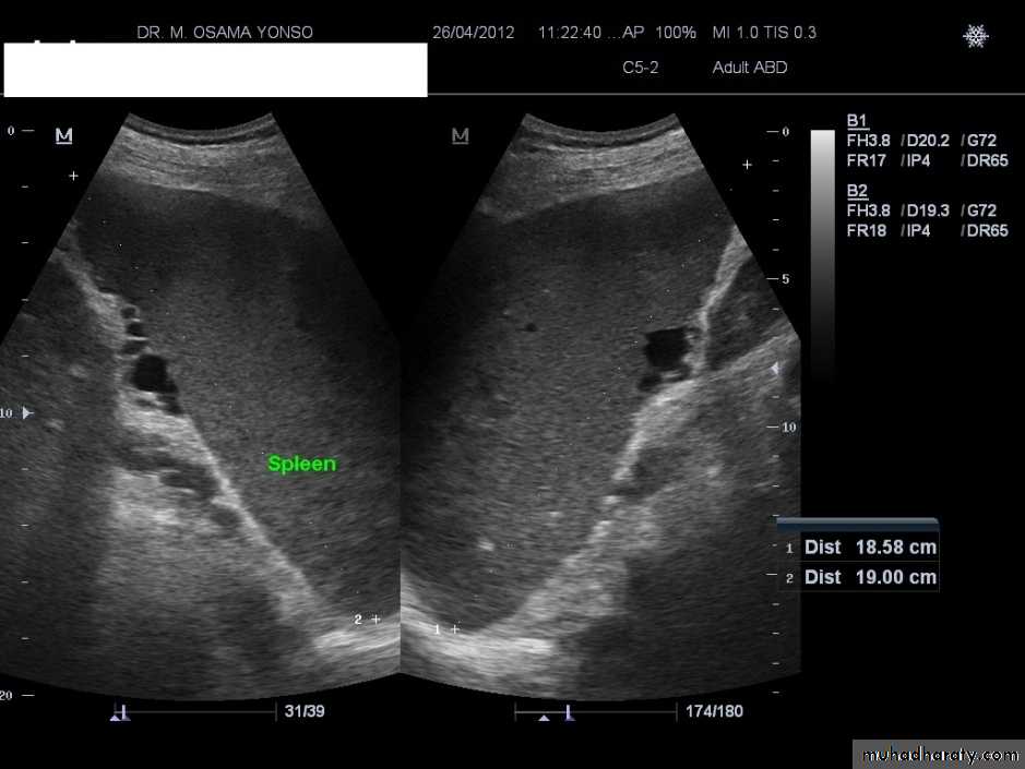
Spleen
CT
MRI
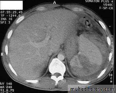
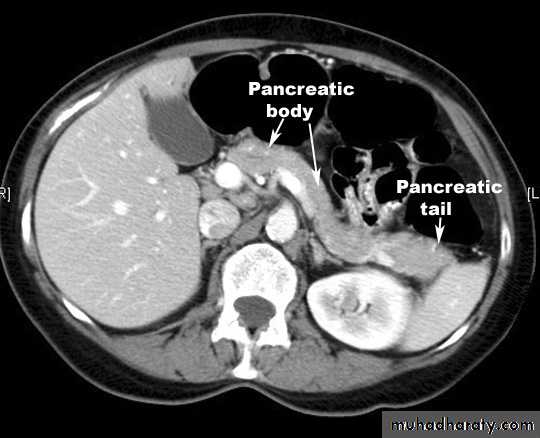
Splenic injurypancreas
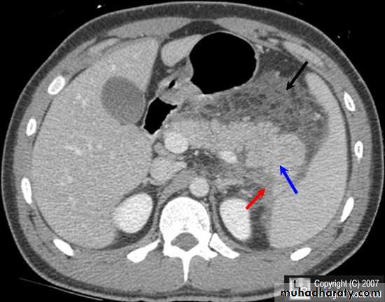
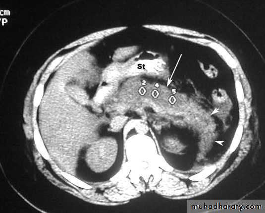
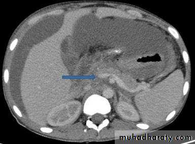
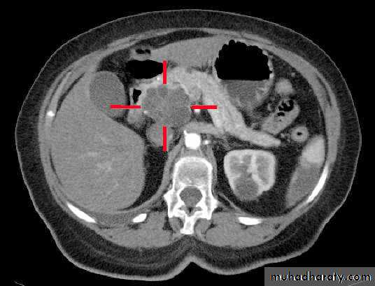
Acute Pancreatitis
CT used to
• 1. Pancreatic necrosis .• 2. An abscess.
• 3. Vascular complications.
• 4. Pseudocyst
1
3
2
4
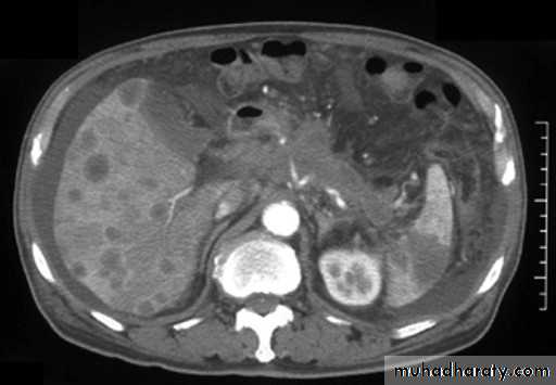
Chronic pancreatitis
Pancreatic carcinoma
Irresectable


































































