sliding HH
Para esoph. HHNormal extrinsic compression
Enlarged cervical LAPCA esophagus with malignant stricture
ACHLASIA
Scleroderma
diverticulum
Benign strictures
Esophageal tumours lyomyoma
Esophageal caWith or with out regional nodal infiltration
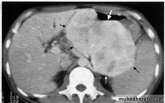
Local invasion
Distant mets
Leiomyoma EUS
Ca ESOPH.
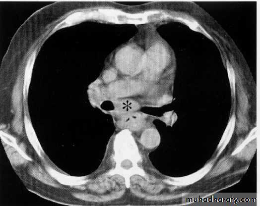
Ct scan carinal LAP
Leiomyoma Ba swallow
Esophageal diverticulae
Tertiary contractions
Advanced esophageal Ca
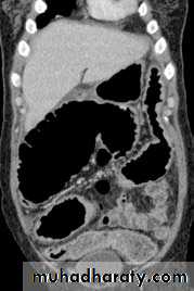
Stomach
Single contrastDouble contrast
Ct scan with oral contrast
i.v contrast
Normal stomach
Normal du. cap
Multiple gastric ulcers
Chrons - du. cap
Gastric ulcer
Du. ulcer
Benign du. Tumor arising from the medial wall
Benign gastric tumor
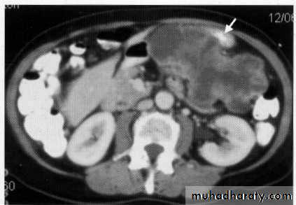
Gastric malig .tumor
Linilis plastica
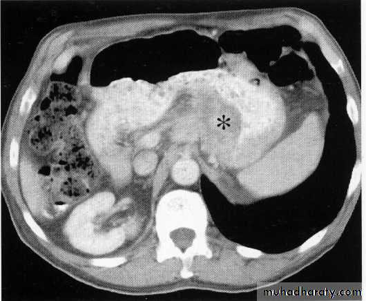
Gastric tumor with regional LAP
Gastric lymphoma
Exophytic tumor
Small bowel contrast study
Barium follow throw x- rayCt scan with oral contrast
Ct scan with i.v contrast
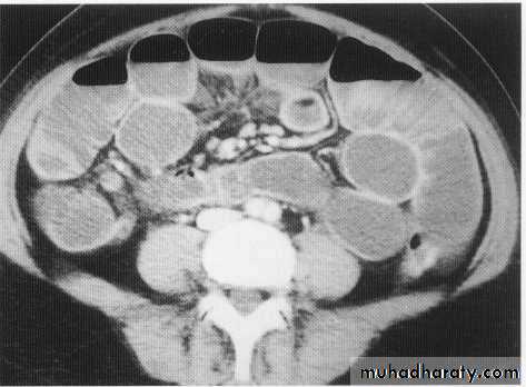
Small bowel
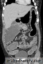
SB obstruct.
Chrons disease
Chrons stricture
Stricture + pericolic abscess
Small bowel tumor
Small bowel lymphoma
Peritoneal cavity
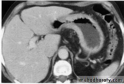
Hepatic secondaries , normal
Peritoneal deposit
Large bowel
Filling defect lipoma
Pedanculated polyp
stricture
Multiple strictures
Rectal tumor with local invasion
Lymphoma infiltration
Colono-vesical fistula
Abnormal haustra toxic megacolon
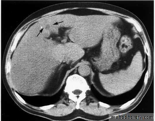
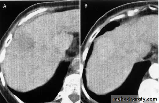
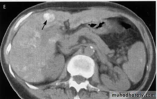
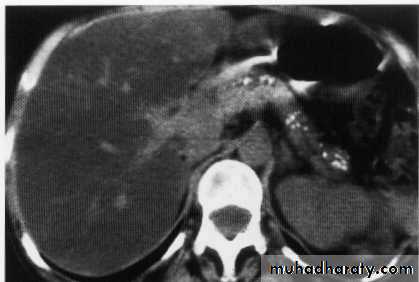
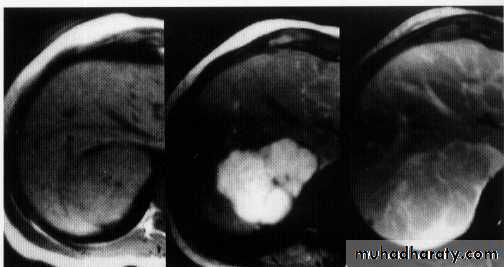
focal liver lesion
hydatid cyst
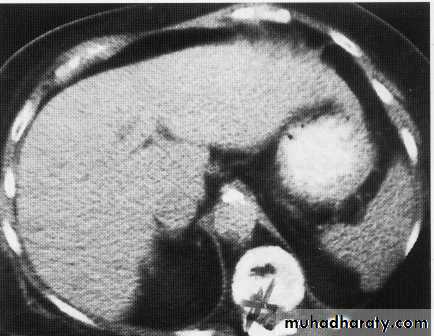
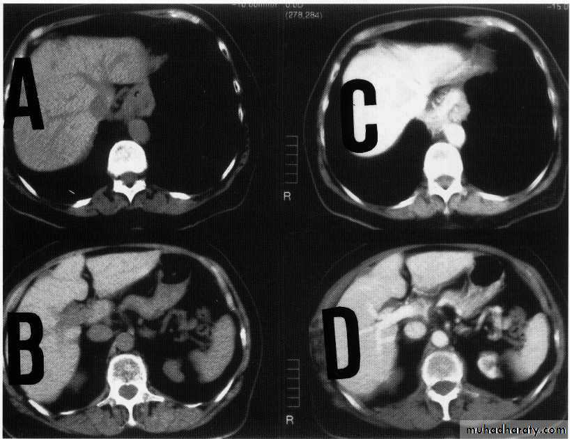
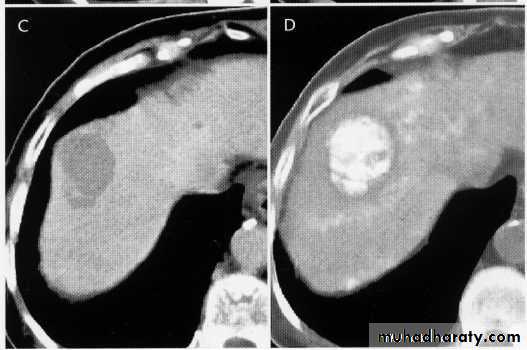
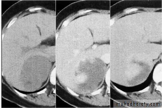
hepatic mets
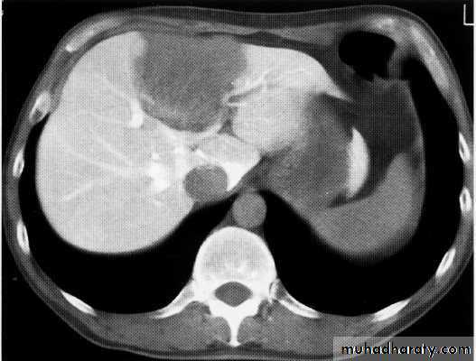
hepatic mets,arterial phase
hepatic mets venous phase
Isotope study of chrons
Gall stone
U/S of Gall stone ,acute cholecystitis and polyp
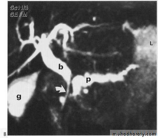
MRCP + ERCP
Normal liver , spleen
Enhanced + Unenhanced CT
Hepatoma + met.
Early cirrhosis + budd chiari
Innumerable calculi
Met. adenocarcinoma
hemangeoma
Liver abscess
Hepatic , renal cyst
,Calcified hydatid , fatty liver
Normal liver U/S
Hepatic mets.
Splenic U/ S
FNH
HCC
Liver cirrhosis
Cholengio ca










































































































