HEART FAILURE
BYDR. ARWA MAHMOOD FUZI
HEART FAILURE WORLD WIDE
HF is a major cause of morbidity & mortality in developed and developing countries,HF is a disease of elderly with a median age of around 75 years. In octogenarians, the prevalence of HF increase sharply to >10%.
Patients with HF have a worse quality of life than those with other chronic diseases including COPD, kidney failure & arthritis.
Up to 40% of patients with HF die within one year of diagnosis.
HF is expensive disease, consuming 2-3% of the overall health care budget.DEFINITION:
A COMPLEX CLINICAL SYNDROME THAT CAN RESULT FROMANY CARDIAC DISORDER THAT IMPAIRS THE ABILITY OF THE
VENTRICLES TO EJECT BLOOD, SO THE HEART CANNOT MAINTAIN
ADEQUATE CARDIAC OUTPUT , OR CAN DO SO ON EXPENSE OF
ELEVATED FILLING PRESSURES RESULTING IN SIGNS
&SYMPTOMS OF PULMONARY CONGESTION, SYSTEMIC FLUID
RETENTION, OR INADEQUATE CARDIAC PERFUSION.
PATHOPHYSIOLOGY OF H.F.
CARD. OUT PUT = STROKE VOLUME BY H.R.STROKE VOLUME :
1- PRELOAD
2-THE AFTERLOAD
3-MYOCARDIAL CONTRACTILITY.
STARLING LAW
VENTRICULAR PERFORMANCE IS RELATED TO THE DEGREE OF MYOCARDIAL STRECHING , SO INCREASE PRELOAD WILL INHANCE FUNCTION , HOWEVER OVERSTRECHING WILL CAUSE MARKED DETERURATION
COMPENSATORY MECHANISIMEIN H. F.
1-ACTIVATION OF SYMPATHATIC N. SYSTEM.2-ACTIVATION OF RENIN-ANGIOTENSIN –ALDOSTERON SYSTEM.
3-RELEASE OF A.D.H.4-RELEASE OF N.U. PEPTIDE.
5-INCREASE PEREPH.O2 EXTRACTION.
6-LOCAL CHANGES IN THE HEART:a-CHAMER ENLARGMENT
b-CARDIAC HYPERTROPHY
c-INCREASE H. R.
COMPENSATED H. F.
IMPAIRED CARDIAC FUNCTION, BUT ADAPTIVE CHANGE HAVE PREVENTED THE DEVELOPMENT OF OVERT HEART FAILURCAUSES OF HEART FAILURE
• DECREASE VENT.CONTRACTILITY(MYOCARDITIS,CMP, MI )• VENT. OUTFLOW OBSTRUCTION (HYPERTENSION,AS,PULM.HYPERT.,PS.)
• VENT. INFLOW OBSTRUCTION (MS,TS.)
• VENT. VOLUME OVERLOAD (MR,AR,ASD,VSD&INC.MET.DEMAND)
• ARRHYTHMIA (AF,TACHYCARDIA MYOPATHY, COMPL. H.BLOCK)
• DIASTOLIC DYSFUNCTION (CONSTR.PERICARDITIS,RESTRICTIVE CMP,LVH,LV FIBROSIS. CARDIAC TAMPONADE).
PRECIPITATING FACTORS FOR H.F.
1-MYOCARDIAL INFARCTION OR ISCHEMIA.
2-INTERCURRENT ILLNESS.
3-ARRTHYMIAS.
4-REDUCTION OF THERAPY.
5-DRUGS ( B.BLOCKERS, NSAID, STEROIDES.)
6-PULM. EMBOLISM.
7-INC. METABOLIC DEMAND.
8-I.V.F. OVERLOAD.
TYPES OF HEART FAILURE
• ACUTE(DECOMPENSATED)HF & CHRONIC (COMPENSATED) H.F.• LEFT SIDED , RT SIDED & BIVENT. F.
• FORWORED H.F(INADEQUIT C.O) & BACKWORED H.F(MARKED VENOUS CONGESTION).
• DIASTOLIC H.F(ABNOR VENT. RELAXAT) &SYSTOLIC(ABNOR VENT CONTRACTION)
• HIGH OUTPUT F (AV SHUNT, BERI BERI, ANEMIA, THYROTOXICOSIS) &LOW OUTPUT H. F.
CLINICAL FEATURES OF H.F.
LOW C.O.P &HYPOPERFUSION TO THE TISS.FLUID &WATER RETENTION WITH PULM. CONGESTION L.V.F.
SYSTEMIC VENOUS CONGETION IN RT. V.F.
SYMPTOMES OF H.F
• DYSPNIA .ORTHOPNIA & PND.(LEFT SIDE H.F)• FATIGUE &RED. EXERCISE CAPACITY. (L&R SIDE)
• ANOREXIA, NAUSIA, ABD. PAIN &FULLNESS.WT LOSS (L&R)
• ANKLE SWELLING (R SIDE F).
• CEREBRAL SYMPTOMES.
• NUCTURIA.
PHYSICAL FINDINGS
• PULSE (TACKYCARDIA, PULS.ALTERNANCE )• BP (HYPOTENTION, DEC.PULSE PRESS.)
• DISTENTION OF JVP.(R SIDE F)
• S3 &S4.
• PULM. CREPITATION.(L SIDE F)
• CARDIAC OEDEMA.(R SIDE F)
• PL. EFFUSION.• ASCITES.(RSIDE F)
• CONGESTIVE HEPATOMEGALY.(R SIDE F)
• JOUNDICE.(R SIDE F)
• CARDIAC CACHEXIA.
• COLD ,PALE EXTR.(ACUTE H F)
• PRE RENAL AZOTEMIA &DEC.UOP.
COMPLICATIONS OF H.F.
• UREAMIA• HYPOKALEMIA, HYPERKALEMIA &HYPONATREMIA.
• IMPAIRED LIVER F. T.
• THROMBOEMBOLISM (DVT &SYST. EMBOLISATION)
• ARRHYTHMIAS.(V ECTOPICS, VT)
• SUDDEN DEATH.(50% OF PT)
INVESTIGATIONS
AIMES:CONFIRM THE DIAGNOSES.
DEFINE TYPE.
EXCLUDE TREATABLE CAUSES.• LAB. TEST:
• BLOOD GAS ANALYSIS• INC. LIVER ENZYMES
• INC.WBC COUNT
• INC.B.UREA &S.CREATNIN
• BNP
• ECG (MI,LVH,RVH,ARRYTHMIAS)
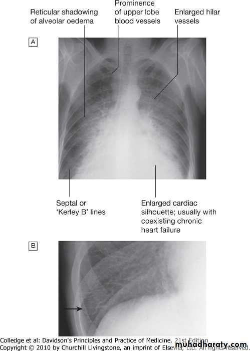
• CXR (CARDIOMEGALY ,PULM.EDEMA)
ECHOCARDIOGRAPHY
DETERMINE PRIM. ABN.LV. EF
ASSES DIMENTION,THICKNESS®IONAL MOTION
EVALUATION OF PERICARDIAL,VALV.&VASC.STR.
RADIONUCLIDE VENTRICULOGRAPHY
MRI







