Introduction to the endodontic treatment
Endodontics: That branch of dentistry concerned with morphology, physiology and pathology of human dental pulp and periradicular tissue.It is the study and practice include biology of the normal dental pulp, etiology, prevention, diagnosis and treatment of the disease and injuries of dental pulp and associated periradicular tissues.
Objectives of endodontic*Render the affected tooth biologically acceptable (symptoms free).*Functional and without any diagnosable pathology.
Scope of endodontic:Endodontic has a much wider field and includes the following:*Diagnosis of oral pain.*Protection of the healthy pulp from disease or injury.
*Pulp capping (both indirect and direct).*Pulpotomy ( both conventional and partial).*Pulpectomy.
*Root canal treatment of infected root canals.*Surgical endodontics, which includes apicectomy, hemisection, root amputation and replantation.
Pulp cavity: Is a central cavity within the tooth structure entirely enclosed by dentine except at apical area.
Pulp space Consist of:pulp chamber (within crown): It occupies the coronal portion of pulp cavity.
It acquires shape according to shape and size of crown of the tooth, age of crown, & irritation applied.
The roof of pulp chamber refer to the dentine occlusally and the floor is parallel to the roof of pulp chamber & it is located in the apical area.
Pulp horn: Part of pulp chamber projection within crown underneath each cusps for posterior teeth and mesially and distally in anterior teeth.
Canal orifice: Is usually the communication between the pulp chamber and the root canal.
Root canal: is continuation of the pulp chamber inside the root start from canal orifice and terminate in the apical canal area.accessory canals: Lateral branching of the main canal located in the apical third of the root , at furcation of multirooted teeth.Lateral canal: Can be found any where along the length of a root at right angle to the main root canal.
Injuries of the pulpThe pulp is a unique connective tissue composed from gelatin ground substance contains: collagen fibers and fiber bundles embedded in this stroma, also blood vessels, lymphatic, and nerve fibers. Frequently pulp injuries are irreversible and painful because →
The bacteria might enter to root canal system through:*Carious exposure.*Lateral canals permit the bacteria to be inside the root canal space.
*Dentinal tubules from caries or external tooth surface and lead to bacterial penetration.
*Haematogenous route (the bacteria come to the pulp by blood stream and might cause chronic inflammation and lead to necrosis without predisposing factors.The ways of communication between the pulp and periodontium:*Lateral canals: connect root canal space to periodontium (main way).*Apical foramen.*Dentinal tubules.*Accessory canal.
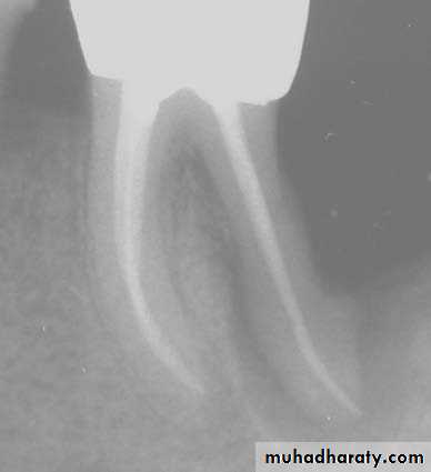
Classification of Canal ConfigurationsType I: One root and one apical foramina.
Type II:
One root canal with separated in the middle third and one apical foramina.Type III: One root canal with bifurcation in the apical third & one apical foramina.
Type IV: Two root canals with two-separated foramen.
Type V: One root canal bifurcation in apical third & open in two apical foramen.
Type VI: One root canal with bifurcation in the middle with two-separated foramen.
Type VII: One root canal with bifurcated in the apical third with two separate foramen.
Type VIII: Three root canals with three separated foramen.
Indications for root canal treatmentMost teeth that has pulpal and or periapical pathology are excellent indication for root canal treatment.
Intentional root canal treatment:*To provide space for interradicular post.*Hyper erupted tooth (might end with pulp exposure).*Severely drifted tooth (not aligned with orthodontic treatment).*Teeth have very short crowns.
*Teeth can be support overlay denture.*Teeth with doubtful pulps( bridge abutment)*Periodontal disease (deep pocketing associated with one root or the furcating → resection of a root).
*Sclerosis following trauma (If progressive narrowing of the pulp space is seen due to secondary dentine).
Contraindication:*Non restorable tooth.*Insufficient periodontal support.*Bizarre anatomy (sclerotic canal, severely curved canal, sharp dilacerations). *Non-strategic tooth.
*Massive resorpation (internal or external).*General condition of the patient (Poor oral hygiene).*Inadequate access ( limited mouth opening).*Vertical root fracture.
*Re-root treatment ( symptoms from the tooth, radiolucent area is still present or has increased in size, presence of sinus tract, does the crown of the tooth need restoring, is there any obvious fault with the present root filling which could lead to failure).
Basic phases of endodontic treatment: Diagnostic phase, Preparatory phase, Obturation phase. Diagnostic phase: Its very important phase in order to determine the disease and put treatment plan.
Dental & medical history dental examination Diagnostic informatio+Interpretation of information based on knowledge and clinical experience↓Diagnosis↓ Treatment
Chief complain: pain at night, sensitivity to hot application, tenderness, drainage from tooth, sinus or fistula, change in tooth color.
Preparatory phase: in which an access opening is established, root canal content is removed and canal is prepared to receive the root canal filling material.
We have 2 types of endodontic cavity preparation 1) Endodontic coronal cavity preparation (access opening). 2) Radicular cavity preparation (root canal preparation).
Preoperative arrangement of preparatory phase:1. Acknowledgment of tooth and pulp chamber anatomy:*Size of pulp chamber, outline, shape, access opening should reflect the shape of pulp chamber
e.g. the central and lateral are with triangular shape pulp chamber, lower molars triangular or trapezoidal access, upper premolars oval access.
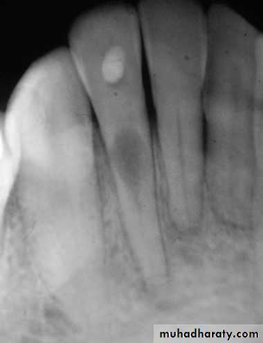
*The No. and curvature of root canals may need modification of outline form & to avoid scarifying of tooth structure.2.Preoperative radiograph: Give great information about status, shape and size of pulp chamber.
Radiographs in Endodontics*Initial radiograph: Diagnosis. *Working length film: Used to determine the length of the canal. *Final instrumentation film: Taken with the final size files in all canals. *Root canal completion film: Taken after the tooth as been temporized. *Recall films: Taken at evaluations.
Requirements of Endodontic Films *Show 4-5 mm beyond the apex of the tooth and the surrounding bone or pathologic condition. *Present an accurate image of the tooth without elongation or fore-shortening. *Exhibit good contrast so all pertinent structures are readily identifiable.
Objectives of proper access opening:
*Remove the entire roof of the pulp chamber so that the pulp chamber can be debrided.*Enable the root canals to be located and instrumented by providing direct straight-line access to the apical third of the root canals.*Enable the temporary seal to be placed securely in order to withstand any displacing forces.*Conserve as much sound tooth tissue as possible and is consistent with treatment objectives.
Principles of endodontic cavity preparation: 1.Endodontic Coronal Cavity Preparation:
Out line form: Three factors of internal anatomy must be considered: (1) The size of the pulp chamber, (2) The shape of the pulp chamber, and (3) The number of individual root canals, their curvature, and their position.Convenience form: (1) Unobstructed access to the canal orifices, (2) Direct access to apical foramen, (3) Expansion to accommodate filling techniques.
The removal of the remaining carious dentin and defective restoration: (1) To eliminate mechanically as many bacteria as possible from the interior of the tooth, (2) To eliminate the discolored tooth structure, that may ultimately lead to staining of the crown,
(3) To eliminate the possibility of any bacteria-laden saliva leaking into the prepared cavity.
Toilet of the cavity: All of the caries, debris, and necrotic material must be removed from the chamber before the radicular preparation is begun. If the calcified or metallic debris is left in the chamber and carried into the canal,
it may act as an obstruction during canal enlargement. Soft debris carried from the chamber might increase the bacterial population in the canal. Coronal debris may also stain the crown, particularly in anterior teeth.
Endodontic radicular cavity preparationOutline Form and Convenience Form (continued).
Toilet of the cavity: Meticulous cleaning of the walls of the cavity until they feel glassy-smooth, accompanied by continuous irrigation, & thorough debridement.Retention Form: It is recommended that the initial primary gutta-percha point fit tightly in the apical 2 to 3 mm of the canal. These nearly parallel walls (Retention Form) ensure the firm seating of this principal point.
Resistance Form: Resistance to overfilling is the primary objective of (Resistance Form).Over instrumentation leads to :(1) acute inflammation of the periradicular tissue from the injury inflicted by the instruments or bacteria and/or canal debris forced into the tissue,
(2) chronic inflammation of this tissue caused by the presence of a foreign body (the filling material forced there during obturation), because of the loss of the limiting apical termination of the cavity (apical stop)















