Renal system
Dr. khaleel IbraheemDMRD,CABMS
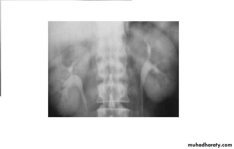
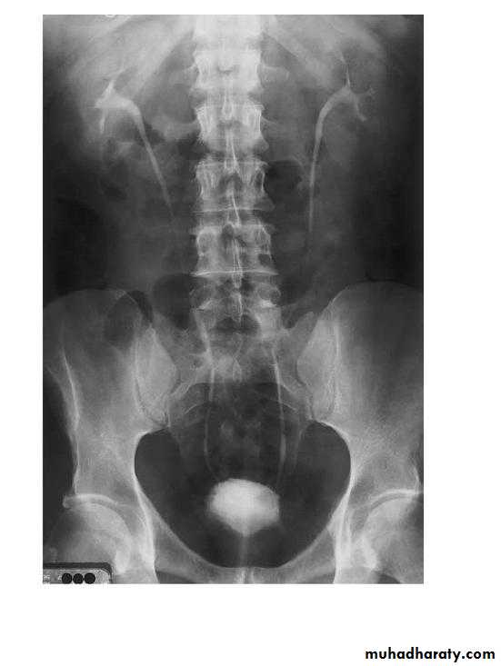
Normal IVU
nephrogram
pyelogram
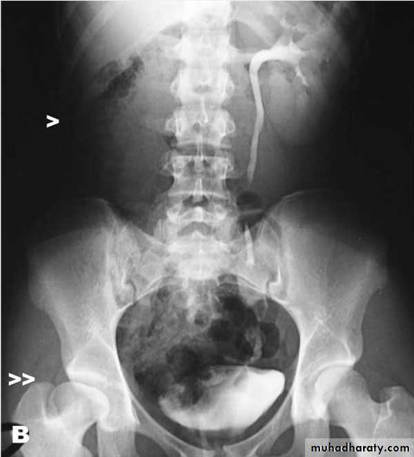
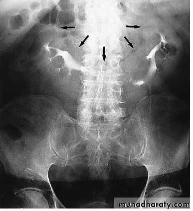
Laterally displaced ureters
Medially displaced ureters
Congenital renal disease
Renal agenesis• absent kidney
• absent ipsilateral renal artery
• compensatory hypertrophy of the contralateral (opposite) kidney
Horseshoe kidneys
The kidneys are also orientated with the lower pole closest to the midline, which is the reverse of normalThe anomaly is readily detected on conventional urography. In 90% of crossed ectopy, there is at least partial fusion of the kidneys
Crossed fused renal ectopia
Left duplex system. The lower moiety inserts into the bladder trigone
(not shown), whereas the upper moiety ureter usually has an ectopic distal
insertion (see text).
Pelvic kidney
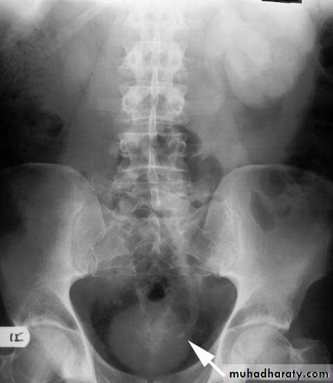
Pelvi-ureteric junction obstructionFilling defects
Multiple Calculi in the Renal Pelvis. A retrograde pyelogram demonstrates multiple filling defects
Radiograph from a retrograde pyelogram of the left kidney reveals a multilobulated filling defect (arrow) in the left renal pelvis. Biopsy confirmed transitional cell carcinoma.
Bladder
Bladder Wall Thickening
Bladder rupture. A cystogram done in a patient after a motor vehicle accident shows extravasation of contrast (arrows) into the tissues surrounding the bladder, an extraperitoneal bladder rupture
Infestation With Schistosoma haematobium. Plain radiograph demonstrates calcification in the wall of the bladder (open arrows) and in the wall of the left ureter (curved arrow). The bladder is filled with urine
Filling defects
Radiograph from an excretory urogram demonstrates mild dilation of the right ureter associated with a simple ureterocele (u) that protrudes into the lumen of the bladder (B). The radiolucent wall of the ureterocele (arrowhead) is outlined by contrast within the ureterocele and contrast within the bladder lumen. The wall of the ureterocele is made up of the wall of the ureter and the bladder mucosa.
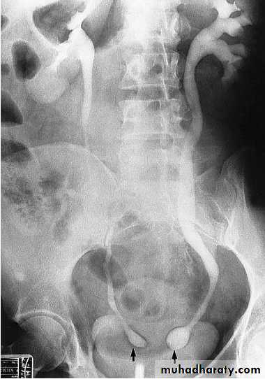
Bilateral ureteroceles. dilatation of the distal ureter as it enters through the bladder wall. This produces a typical “cobra head” deformity (arrows.
Benign Prostatic Hypertrophy. A radiograph from an excretory urogram shows marked uplifting of the bladder base because of massive enlargement of the prostate (P). The trigone (open arrow) and ureteral orifices (black arrows) are markedly elevated, resulting in a J-shaped appearance to the distal ureters (u). The bladder wall is thickened (between black arrowheads), and the bladder (B) mucosal pattern is prominent.
Transitional Cell Carcinoma. Radiograph from an excretory urogram reveals a lobulated mass (arrows) causing a large filling defect in the base of the bladder (B). Both ureters are visualized.



































