FRACTURES OF THE RADIUS ANDULNA
Mechanism of injury and pathologyFractures of the shafts of both forearm bones occur quite commonly. A twisting force (usually a fall on the hand) produces a spiral fracture with the bones broken at different levels. An angulating force causes a transverse fracture of both bones at the same level. A direct blow causes a transverse fracture of just one bone, usually the ulna.
Bleeding and swelling of the muscle compartments of
the forearm may cause circulatory impairment.
Clinical features
The fracture is usually quite obvious like pain swelling and deformity, but the pulse must be felt and the hand examined for circulatory or neural deficit. Repeated examination is necessary in order to detect an impending compartment syndrome.X-RAY
Both bones are broken, either transversely and at the same level or obliquely with the radial fracture usually at a higher level. In children, the fracture is often incomplete (greenstick) and only angulated.X-RAY
Treatment
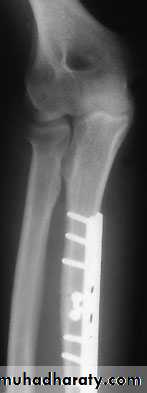
A-CHILDREN:In children, closed treatment is usually successful because the tough periosteum tends to guide and then control the reduction. The fragments are held in a well-moulded full-length cast, from axilla to metacarpal shafts (to control rotation). The cast is applied with the elbow at 90 degrees. The position is checked by x-ray after a week and, if it is satisfactory, splintage is retained until both fractures are united (usually 6–8 weeks).
Occasionally an operation is required, either if the fracture cannot be reduced or if the fragments are unstable. Fixation with intramedullary rods is preferred, but they should be inserted with great care to avoid injury to the growth plates. Alternatively, a plate or K-wire fixation can be used.
B-ADULTS
Unless the fragments are in close apposition, reduction is difficult and re-displacement in the cast almost invariable. So open reduction and internal fixation from the outset.The fragments are held by interfragmentary
compression with plates and screws. Bone grafting is advisable if there is comminution.
It takes 8–12 weeks for the bones to unite.
Adult fracture treatment
OPEN FRACTURES
Open fractures of the forearm must be managed meticulously. Antibiotics and tetanus prophylaxis are given as soon as possible; the wounds are copiously washed and nerve function and circulation are checked. At operation the wounds are excised and extended and the bone ends are exposed and thoroughly cleaned. The fractures are primarily fixed with compression screws and plates; if the wounds are absolutely clean, the soft tissues can be closed. If bonegrafting is necessary, this is best deferred until the wounds are healed. If there is major soft-tissue loss,
the bones are better stabilized by external fixation. The aim is to obtain skin cover as soon as possible; if plastic surgery services are available.
If there is any question of a compartment syndrome,
the wounds should be left open and closed 24–48 hours later, with a skin graft if needed.
Complications
EARLY1-Nerve injury are rarely caused by the fracture, but they may be caused by the surgeon,exposure of the radius in its proximal third risks damage to the posterior interosseous nerve.
2-Vascular injury Injury to the radial or ulnar arteryseldom presents any problem, as the collateral circulation is excellent.
3-Compartment syndrome Fractures (and operations) of the forearm bones are always associated with swelling of the soft tissues, with the attendant risk of a compartment syndrome. The threat is even greater, and the diagnosis more difficult, if the forearm is wrapped up in plaster. A distal pulse does not exclude compartment syndrome! The byword is ‘watchfulness’;
if there are any signs of circulatory embarrassment, treatment must be prompt and uncompromising.
LATE:
1-Delayed union and non-union Most fractures of theradius and ulna heal within 8–12 weeks; high energy
fractures and open fractures are less likely to unite.
Non-union will require bone grafting and internal fixation.
2-Malunion With closed reduction there is always a riskof malunion, resulting in angulation or rotational
deformity of the forearm,. If pronation
or supination is severely restricted, and there is no
cross-union, mobility may be improved by corrective osteotomy.
3-Complications of plate removal are common and
they include damage to vessels and nerves, infection
and fracture through a screw-hole.
FRACTURE OF A SINGLE FOREARM BONE
Fracture of the radius alone is very rare and fracture of the ulna alone is uncommon. These injuries are usually caused by a direct blow – the ‘nightstick fracture’. They are important for two reasons:1- An associated dislocation may be undiagnosed; if only one forearm bone is broken along its shaft and there is displacement, then either the proximal or the distal radio-ulnar joint must be dislocated. The entire forearm, elbow and wrist should always be x-rayed.
2- Non-union is liable to occur unless it is realized that
one bone takes just as long to consolidate as two.
Clinical features
Ulnar fractures are easily missed – even on x-ray. If there is local tenderness, a further x-ray a week or twolater is wise.
X-ray
The fracture may be anywhere in the radius or ulna. The fracture line is transverse and displacement is slight. In children, the intact bone sometimes bends without actually breaking (‘plastic deformation’).
Treatment
A- Isolated fracture of the ulna The fracture is rarely displaced; a forearm brace leaving the elbow free can be sufficient. However, it takes about 8 weeks before full activity can be resumed. Rigid internal fixation will allow earlier activity and avoids the risk of displacement or non-unionB-Isolated fracture of the radius
Radius fractures are prone to rotary displacement; to achieve reduction in children the forearm needs to be supinated for upper third fractures, neutral for middle third fractures and pronated for lower third fractures. The position is sometimes difficult to hold in children and just about impossible in adults; if so, then internal fixation with a compression plate and screws in adults, and preferably intramedullary rods in children, is better.
MONTEGGIA FRACTURE DISLOCATIONOF THE ULNA
The injury described by Monteggia in the early nineteenthth century (without benefit of x-rays!) was afracture of the shaft of the ulna associated with dislocation of the proximal radio-ulnar joint; the radiocapitellar joint is inevitably dislocated or subluxated as well. More recently the definition has been extended to embrace almost any fracture of the ulna associated with dislocation of the radio-capitellar joint, including trans-olecranon fractures in which the proximal radioulnar joint remains intact.
MONTEGGIA FRACTURE DISLOCATION
Mechanism of injury
Usually the cause is a fall on the hand; if at themoment of impact the body is twisting, its momentum may forcibly pronate the forearm. The radial head usually dislocates forwards and the upper third of the ulna fractures and bows forward .
Clinical features
The ulnar deformity is usually obvious but the dislocated head of radius is masked by swelling. A useful clue is pain and tenderness on the lateral side of the elbow. The wrist and hand should be examined for signs of injury to the radial nerve.X-ray
With isolated fractures of the ulna, it is essential to obtain a true anteroposterior and true lateral view of the elbow. In the usual case, the head of the radius (which normally points directly to the capitulum) is dislocated forwards, and there is a fracture of the upper third of the ulna with forward bowing.X-ray
Treatment
The key to successful treatment is to restore the length of the fractured ulna; only then can the dislocated joint be fully reduced and remain stable. In adults, this means an operation through a posterior approach. The ulnar fracture must be accurately reduced, with the bone restored to full length, and then fixed with a plate and screws.but in children closed reduction and plaster is usually satisfactoryChildren Rx Adult Rx
GALEAZZI FRACTURE-DISLOCATIONOF THE RADIUS
Mechanism of injury
This injury was first described in 1934 by Galeazzi. The usual cause is a fall on the hand; probably with a superimposed rotation force. The radius fractures in its lower third and the inferior radio-ulnar joint subluxates or dislocates.
Clinical features
The Galeazzi fracture is much more common than the Monteggia. Prominence or tenderness over the lower end of the ulna is the striking feature. It may be possible to demonstrate the instability of the radio-ulnar joint by ‘ballotting’ the distal end of the ulna (the ‘piano-key sign’) or by rotating the wrist. It is important also to test for an ulnar nerve lesion, which may occur.
GALEAZZI FRACTURE-DISLOCATIONOF THE RADIUS
X-ray
A transverse or short oblique fracture is seen in the lower third of the radius, with angulation or overlap. The distal radio-ulnar joint is subluxated or dislocated.Treatment
As with the Monteggia fracture, the important step is to restore the length of the fractured bone. In children, closed reduction is often successful; in adults, reduction is best achieved by open operation and compression plating of the radius.























