The adrenal glands
Professor Nashwan Q MahgoobDepartment of Surgery/Medical College/University of Mosul
There are two distinct components of the gland the inner adrenal medulla which is a mesodermal cells and the outer adrenal cortex which is a neuroectodermal cells.The cortex is under control of ACTH from the pituitary gland which is under control of hypothalamic CRH.
The arterial blood supply from the aorta, phrenic and renal arteries. A large adrenal vein drains on the right side into the inferior vena cava and on the left side into the renal vein.
The adrenals are pair of glands of about 4 grams situated at the upper poles of kidneys in the retro peritoneum within Gerota’s capsule.
The adrenal cortex compsed of 3 zones
The outer zona glomerulosa produce aldosterone, that regulates sodium–potassium homeostasis .The zona fasciculata produce Cortisol that has numerous metabolic and immunological effects.
the inner zona reticularis produce adrenal androgens dehydroepiandrosterone (DHEA). Responseble for secondery sexsual criteria.
The adrenal medulla consists of a thin layer of large chromaffin cells, which store catecholamine granules. It activate the cardiovascular system, resulting in increase blood pressure and heart rate; vasoconstriction of i the splanchnic vessels and vasodilatation of muscles vessels; bronchodilatation; and increased glycogenolysis in liver and muscles.
Primary hyperaldosteronism (Conn’s syndrome)
Primary hyperaldosteronism (PHA) is defined by hypertension, hypokalaemia and hypersecretion of aldosterone.It represent 2% of hypertensive patients.
Its due to:
1- unilateral adrenocortical adenoma 60-80%
2- bilateral micronodular hyperplasia in 20–40%.
Clinical features
Most patients are between 30 and 50 years with a female predominance.
Apart from hypertension and hypokalaemia, patients complain of non-specific symptoms: headache, muscle weakness, cramps, intermittent paralysis, polyuria, polydypsia and nocturia.
Investigation
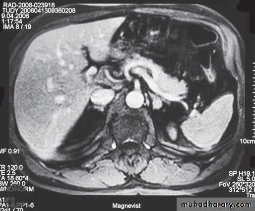
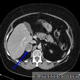
The key of the biochemical diagnosis is the assessment of potassium level and the aldosterone level.MRI or CT should be performed to distinguish unilateral from bilateral disease. Conn’s adenomas usually measure between 1 and 2 cm and are detected by CT with a sensitivity of 80–90%
Treatment
The first-line therapy for PHA with bilateral hyperplasia is medical treatment with spironolactone.
Unilateral laparoscopic adrenalectomy is an effective therapy in patients with clear evidence of unilateral disease which can be done by traditional way.
• Cushing’s syndrome
• Hyper secretion of cortisol caused by endogenous production or• excessive use of corticosteroids.
It either ACTH-dependent (85%) or ACTH-independent(15% )in origin.
ACTH-independent Cushing’s syndrome (low ACTH levels) is caused by
1- Unilateral adrenocortical adenoma.
2- Adrenocortical carcinoma .
3- Bilateral macronodular or micronodular hyperplasia
The most common cause of ACTH-dependent Cushing’s syndrome is Cushing’s disease resulting from a pituitary adenoma secreting ACTH.
Or due to Ectopic ACTH-producing tumours (small cell lung cancer, foregut carcinoid)
Clinical features of Cushing’s syndrome
Weight gain – particularly around the belly."Moon face" – a rounded shape of the face.
Easy bruising skin, with thinning of the skin.
Acne volgaris.
Ruddy complexion (plethora) – a reddening of the
face or cheeks.
"Buffalo hump" a mound of fat at the back of the neck.
Abnormal hair growth on the face or abdomen.
Edema due to excess fluid buildup in the lower legs.
Stretch marks(purple striae) at lower abdomen and thigh.
Muscle weakness the arms and legs may become skinny like twigs from muscle wasting.
Menstrual disturbances.
Osteoporoses. Hypertension, Diabetes, Mood changes. Hypokalaemia.
Investigations
1- Morning and midnight plasma cortisol levels are elevated, possibly with loss of diurnal rhythm.2- Dexamethasone fails to suppress 24-hour urinary cortisol excretion.
3- Serum ACTH levels discriminate ACTH-dependent from ACTH-independent disease.
Elevated or normal ACTH levels provide evidence for an ACTH producing pituitary tumour (85%) or ectopic ACTH production.
Therefore, in patients with elevated ACTH, MRI of the pituitary
gland must be performed.
If MRI is negative, a CT scan of the chest and abdomen is warranted to detect an ectopic cortisol-producing tumour.
In patients with suppressed ACTH levels, a CT or MRI scan is performed
to assess the adrenal glands.
Treatment
Medical therapy with metyrapone or ketoconazole reducessteroid synthesis and secretion and is used in patients with severe
hypercortisolism or if surgery is not possible.
ACTH-producing pituitary tumours are treated by trans-sphenoidal resection or radiotherapy.
If an ectopic ACTH source is localized, resection will cure hypercortisolism.
Patients with an ectopic ACTH-dependent Cushing’s syndrome and an irresectable or un localized primary tumor treated by bilateral adrenalectomy.
A unilateral adenoma is treated by adrenalectomy.
In cases of bilateral ACTH-independent disease, bilateral adrenalectomy is the primary treatment.Preoperative management
Patients with Cushing’s syndrome are at an increase risk of1-Hospital-acquired infection.
2- Thromboembolic condition.
3- Myocardial complications.
4- Post operative Addison crises
Therefore, prophylactic anti-coagulation and the
use of prophylactic antibiotics are essential with post operative steroid supplement.
Postoperative management
Supplemental cortisol should be given after surgery. In total, 15 mg/ h IV for the first 12 hours followed by a daily dose of 100 mg for 3 days, which is gradually reduced thereafter.
After unilateral adrenalectomy, the contralateral suppressed gland needs up to 1 year to recover adequate function.
In 10% of patients with Cushing’s disease who undergo a bilateral
adrenalectomy, the pituitary adenoma converts into an aggressive
tumor (Nelson’s syndrome).
Congenital adrenal hyperplasia (adrenogenital syndrome) (CAH)
This is an autosomal recessive disorder with incidence of 1 in 5000 live births, caused by a variety of enzymatic defects in the synthetic pathway of cortisol and other steroids from Cholesterol.
Virilisation and adrenal insufficiency in children are pathognomonic
of congenital adrenal hyperplasia.
CAH may present in girls at birth with ambiguous genitalia.
Hypertension and short stature, caused by the premature epiphyseal plate closure, are common symptoms.
Affected patients are treated by replacement of cortisol and with fludrocortisone.
Adrenal insufficiency
Primary adrenal insufficiency is caused by the loss of function ofthe adrenal cortex. Symptoms are only evident when about 90% of the adrenal cortex is destroyed.
Diseases associated with adrenal insufficiency:
■ Tuberculosis
■ After bilateral adrenalectomy
■ Hemorrhage into the glands
■ secondary metastases
■ Systemic diseases (Boeck’s disease, amyloidosis, Wilson’s disease)
■ Adrenogenital syndrome
■ HIV infection
■ Polyglandular autoimmune syndrome
Secondary adrenal insufficiency is defined as a deficiency of pituitary ACTH secretion.
Tertiary adrenal deficiency is due to loss of hypothalamic CRH secretion , therapeutic glucocorticoid administration, brain tumor or irradiation.
Acute adrenal insufficiency
Acute adrenal insufficiency usually presents as shock with fever, nausea, vomiting, abdominal pain, hypoglycaemia and electrolyte imbalance (Addisonian crisis).
The Waterhouse–Friderichsen syndrome is a bilateral adrenal infarction associated with meningococcal sepsis and is rapidly fatal unless immediately treated.
Treatment
1- Intravenous administration of hydrocortisone, 100 mg every 6 hours, 2- 3 liters of saline is given in 6 hours under careful cardiovascular monitoring.3- Concomitant infections, which are frequently present, require aggressive treatment.
Chronic adrenal insufficiency
Primary type:Anorexia, weakness and nausea. Hypotension,
hyponatraemia, hyperkalaemia and hypoglycaemia.
As a result of negative feedback, ACTH level
increase and cause hyperpigmentation of the skin and mucosa.
INVESTEGATION
Basal ACTH levels are found to be high
with cortisol levels decreased.
Treatment
Replacement therapy with daily oral hydrocortisone (10 mg m–2 body surface area) and fludrocortisone (0.1 mg).To prevent an Addisonian crisis, patients must be aware of the need to adjust the dose in case of illness or stress.
If patients with adrenal insufficiency are scheduled for surgery, appropriate steroid cover must be administrated.
A tumour of adrenal medulla, derived from chromaffin cells and produces catecholamines.
It represents 0.1–0.6% of hypertensive patients.It is known as the ‘10% tumor’ as 10% are inherited, 10% are extra-adrenal, 10% are malignant, 10% are bilateral and 10% occur in children.
Phaeochromocytoma (adrenal paraganglioma)
its either hereditary which associated with several tumor syndromes and diagnosed earlier or sporadic which occur after the fourth decade.Clinical features
The cardinal pictures are headache, palpitations and sweating. Paroxysms may be precipitated by physical training, general anesthesia and some drugs and agents (contrast media, tricyclic antidepressive, metoclopramide and opiates).
Hypertension may occur continuously, be intermittent or absent.
Investigation
1- elevation of adrenaline, noradrenaline, metanephrine and normetanephrine levels in a 24-hour urine collection.
2- imaging study for the localization of the phaeochromocytoma and/or metastases. MRI is preferred because contrast media used for CT scans can provoke paroxysms.
FNA biopsy is contraindicated.
Treatment
Laparoscopic resection is the treatment of phaeochromocytoma.If the tumor is larger than 8–10 cm or radiological signs of malignancy are detected an open approach should be considered.
Preoperative evaluation:
α- adrenoreceptor blocker (phenoxybenzamine) is used to block catecholamine excess during surgery.
Additional β- blockade is required if tachycardia or arrhythmias develop; this should not be introduced until the patient is α-blocked.
Neuroblastoma
It is a malignant tumor that is derived from the sympathetic nervous system. It arises from adrenal medulla in (38%).Clinical features
Predominantly newborn infants and young children (< 5 years of age) are affected. Symptoms are caused by a mass in the abdomen or by metastases )70%(with proptosis, bone pain, painless bluish skin secondaries, weakness or paralysis.
Investigation
Urinary excretion (24-hurine) of vanillylmandelic
acid (VMA),levels are present in about 80%.
(The catecholamine excess is asymptomatic) .
CT/MRI of the chest and abdomen, a bone scan.
Bone marrow aspiration and core biopsies in suspicions of secondary.
Prognosis depends on the tumor stage and the age at diagnosis. Patients are classified as low, intermediate or high risk.
Treatment
Low-risk patients are treated by surgery alone (the addition of
6–12 weeks of chemotherapy is optional) whereas intermediate risk patients are treated by surgery with adjuvant chemotherapy (carboplatin, cyclophosphamide, etoposide, doxorubicin).
High-risk patients receive high-dose chemotherapy followed by surgical resection in responding tumors and myeloablative stem cell rescue.
Ganglioneuroma
It is a benign adrenal neoplasm arises from neural crest tissue characterized by mature sympathetic ganglion cells and Schwann cells in a fibrous stroma.Clinical features
It can be found in all age groups , more common before the age of 60.
it is occur anywhere along the paravertebral sympathetic plexus and in the adrenal medulla (30%).
Most often they are identified incidentally by CT or MRI performed for other indications.
Treatment
Treatment is by surgical excision.
Adrenocortical carcinoma
A rare malignancy with an incidence of 1–2 cases per 1 000 000 with generally poor prognosis.A slight female predominance is observed (1.5:1).
The age distribution is bimodal with a first peak in childhood and a second between the fourth and fifth decades.
Clinical presentation
Approximately 60% of patients present with evidence of steroid hormone excess (Cushing’s syndrome). Patients with nonfunctioning tumours complain of abdominal or back pain caused by large tumours.Diagnosis
1-measurements of DHEAS, cortisol and catecholamines to exclude a phaeochromocytoma
2- dexamethasone suppression test.
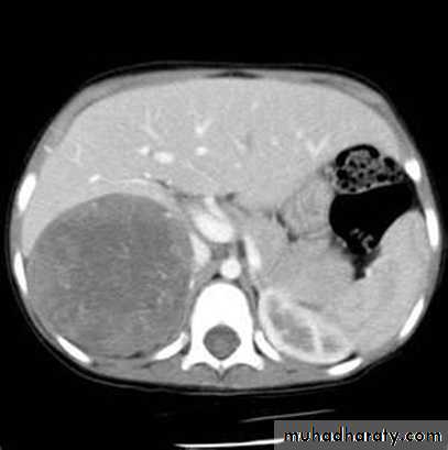
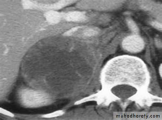
3-MRI and CT are equally effective in distinguishing adrenocortical adenoma from carcinoma .
Treatment
Complete tumor resection should be attempted whenever possible.Laparoscopic adrenalectomy is associated with a high incidence of local recurrence and not recommended.
Tumor debulking plays a role in functioning tumours to control hormone excess.
Patients should be treated postoperatively with mitotane alone or in combination with other cytotoxic.
Adjuvant radiotherapy may reduce the rate of local recurrence.
Adrenal metastases
Adrenal metastases are discovered at autopsy in one-third of patients with malignant disease.The most common primary tumours are breast, lung, renal, gastric, pancreatic, ovarian and colorectal cancer.
In selected cases an adrenalectomy can be performed.






























