مواضيع المحاضرة: FRACTURE NECK FEMUR AND HIP DISLOCATION
قراءة
عرض




Lower limbs

بسم الله الرحمن الرحيم

Fractures of the femoral neck


Lower limbs




Lower limbs




Lower limbs


Lower limbs





Lower limbs




Lower limbs


Lower limbs

INTRA CAPSULAR FRACTUREfracture neck femur

The femoral neck is the commonest site of fractures in the elderly.
Mostly occur in women between 70-80 decades.

Lower limbs

Risk factors

1.Osteoporosis osteomalacia
Lower limbs





Lower limbs




Lower limbs

2.Diabetes

Lower limbs

3.Stroke

Lower limbs




4.Alcoholism
Lower limbs

5.Chronic debilitating disease .

6.Weak muscle and poor balance in old people. parkinsonism)

Mechanism of injure

In elderly

Directly Fall on greater trochanter.

Indirectly. Less force with catching toes in carpet with external rotation of the lower limb.

In younger individual fall from height or car accident (more sever force).

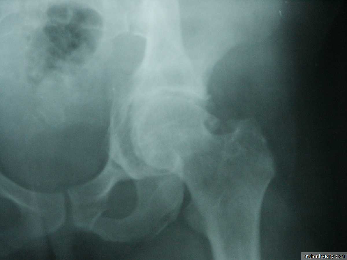
Pathological anatomy and classification

The most useful is that of garden which is based on amount of displacement apparent in the pre-reduction x-ray of the neck femur.



Lower limbs


Lower limbs


Lower limbs


Lower limbs

Stage 1

impacted
Lower limbs


Lower limbs

Stage 2

complete fracture Undisplaced

Lower limbs


Stage 3

complete with moderate displacement.

Lower limbs

Stage 4

severely displaced fracture.

Lower limbs

Fracture neck femur has poor capacity for healing

Why???
Lower limbs

Tearing the capsule vessels.

Intra-articular bone has flimsy periostum
No contact with soft tissue.
Synovial fluid wash.
Lower limbs


Clinically:

History of fallen on the ground.
Pain in the hip.

Lower limbs



O\E
Limb lies laterally rotation and looks ,Short (displaced fracture).
In impacted patient might walk.
Lower limbs

Radiological examination

two questions must be answered.

Is there a fracture?

Is it displaced ?


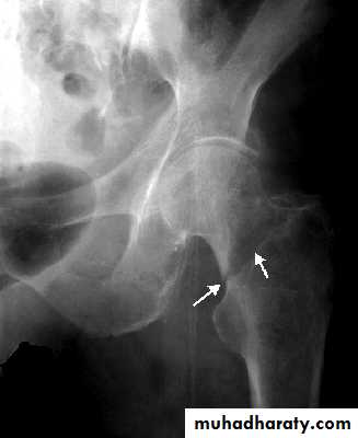
:Radiological classification

GRADE 1

:the femoral head is in its normal position or tilted into valgus and impacted on the femoral stump.
Lower limbs

GRADE 2

Lower limbs

The femoral head is normally placed and the fracture line may be difficult to diagnosed

Lower limbs

GRADE 3

The femoral head tilted out of position and the trabecular marking are not in line with those of innominate bone.


Lower limbs



GRADE 4

The femoral head trabeculae are normally aligned with those of innominate bone.

D.D:
Stress fracture.
Undisplaced fracture.
Painless fracture.
Multiple fractures as with femoral fracture may have neck fracture and missed.

Treatment:

Surgery mandatory to overcome complications.

Initial treatment

1.General measure as pain killer.

2.Temporary limb splintage ( skin traction).

Lower limbs

Full investigation

Chest x ray
ECG.
F B S.
B urea.
Blood group
Blood preparation for
transfusion.


Screw.

3.Treatment depend on the type and age of the patient

Lower limbs

YOUNGER.

Lower limbs


Lower limbs




Lower limbs

4.DHS.

Lower limbs


ELDERLY PEOPLE

5.Austen Moore.
Lower limbs

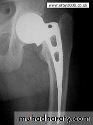
6.Total hip replacement.

Lower limbs



Lower limbs

Complications:

General

DVT
Lower limbs


Lower limbs


Pulmonary embolism.

Lower limbs

Pneumonia.

Lower limbs

Bed sore.

Lower limbs


Lower limbs


Lower limbs

Local:

A.N. 30% in displaced fracture, 10% in Undisplaced fracture.


Non union
> 30% femoral fracture fails to unite particularly those with sever displacement. .

Osteoarthritis ,a vascular necrosis or femoral head collapse may lead after several years to secondary osteoarthritis.

Inter-trochanteric fractures (extracapsular fracture)

.It is extra capsular fracture occurs in elderly.
.Unite quite easily and seldom cause a vascular necrosis.

Mechanism of injury:

Directly on trochanter.
Twisting force indirectly.

Lower limbs

The crack runs up between the lesser and greater trochanter.

Lower limbs


Pathological anatomy divided into:

Stable:

Lower limbs

Unstable are those where

a. posteriomedial cortex is shattered.
b. poor contact between fracture segment.


Lower limbs

Clinically:

Old and unfit
History of trauma .
Unable to stand with pain.


EXAMINATION
The leg is shorter and more externally rotated than intracapsular fracture.

Ecchymosis

Lower limbs


Lower limbs

Radiological examination

2 types
Stable.

Lower limbs

Unstable.

Lower limbs


Lower limbs


Treatment:

Same previous principle almost always treated by early internal fixation.
(to overcome) the possible complications associated with prolonged recumbency.
To get the patient up and walking as soon as possible.

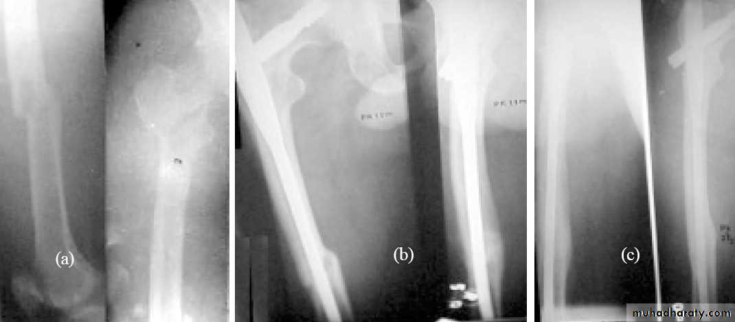
1.Sliding nail

Lower limbs


Lower limbs

2.L-plate

Lower limbs

3.External fixation

Lower limbs


Lower limbs


Gamma nail

Lower limbs


Lower limbs

Postoperative exercise is started as early as possible on the

( day after operation ).
Patient is allowed up and partial weight bearing as soon as possible.

PHYSIOTHERAPY

Lower limbs


Lower limbs


Lower limbs




Complications:
Early:
general complications.

Late:

1.failed fixation.
2.malunion.
3.rarely nonunion.

HIP DISLOCATION

Lower limbs

anatomy

Injuries of the hip and femur

The magnitude of force needed to dislocate the hip joint particularly well-contained by virtue of its bony and soft-tissue anatomy.

is so great that the dislocation is often associated with fractures - either around the joint or elsewhere in the same limb.


Hip dislocations are classified according to
the direction
of the femoral head displacement:

Traumatic Dislocations of the hip.

Posterior.
Anterior.
Central.

Posterior dislocation:

Mechanism of injure:
4 out of 5 traumatic hip dislocations are posterior.

Usually occur in road traffic accident when the knee striking the dashboard

Lower limbs

the femoral head is forced out of its socket sometimes associated with fracture.

Lower limbs



Lower limbs

Clinically:

In a straight forward case the diagnosis is easy.
O\E
Leg is short, internally rotated, adducted ,
and slightly flexed hip.

Lower limbs




Lower limbs

Some times fracture femur associated with, and clinically missed.

Lower limbs




Sciatic nerve examination distally is important.

Lower limbs

The golden role is to x ray the pelvis in every case of sever injure

and with femoral fracture to include both the hip and knee.

Radiological examinations

X-R AP view we can see the dislocation with or without associated fracture posterior wall of the acetabulum,
or fracture head of the femur,
And neck of femur.

Lower limbs


Lower limbs


Lower limbs





Lower limbs




Lower limbs

CT scan

is the best way of demonstrating acetabuluar fracture or any bony fragment.

Lower limbs



The dislocation must be reduced as soon as possible under general anesthesia. In the vast majority of cases this is done with closed reduction

Treatment:

U\A on the ground.
Pelvic support.
In line of the lower limb traction.
Then gradually flexion of the patients hip and knee in 90 degree.


At 90 hip flexion traction is increased and some times little rotation is increased (both internal and external) to accomplish reduction.
Satisfying clunk terminate the procedure.


Lower limbs




Lower limbs




Lower limbs

Skin traction 3-6 weeks.

Lower limbs




Physiotherapy during and after that.

Lower limbs

In complicated dislocation

(surgery
is indicated) .
Lower limbs

Complications:

Early.
Sciatic nerve injures when there is fracture lead to foot drop in 10%.
So nerve function must be tested and documented before reduction.

Vascular injure

mainly for the superior gluteal artery.

Associated fractured femoral shaft.

So as a rule the buttock and the greater trochanter should be palpated.


Late:
A vascular necrosis
By x ray appeared between 6weeks- 2 years.
It occur in 10% and raised to 40% if neglected more than 12 hours
Lower limbs


Lower limbs

Myositis ossificans.

Lower limbs




Lower limbs

Osteoarthritis due to fracture acetabulum or femoral head, or a vascular necrosis

Traumatic anterior hip dislocation:


Mechanism :
Road traffic accident ,miner, building laborer who is leg wide .
knees straight .
Back bent forward.

Clinically:

O\E
Leg external rotation.
Abducted and slightly flexed.
Bulging head seen laterally and also feel.
Hip movement impossible.
Neurovascular examination necessary.

Radiological examination:

Hip dislocated either superior, inferior in relation to the acetabulum.

Lower limbs

Treatment:

Same principle as posterior
While traction of the leg keeping adducted till reduced.



Lower limbs

Central fracture -dislocation

Lower limbs


Lower limbs


Lower limbs




Lower limbs


Lower limbs


Lower limbs





Lower limbs




Lower limbs




Lower limbs




Lower limbs


Lower limbs


Lower limbs






رفعت المحاضرة من قبل: Abdalmalik Abdullateef
المشاهدات: لقد قام 38 عضواً و 372 زائراً بقراءة هذه المحاضرة








تسجيل دخول

أو
عبر الحساب الاعتيادي
الرجاء كتابة البريد الالكتروني بشكل صحيح
الرجاء كتابة كلمة المرور
لست عضواً في موقع محاضراتي؟
اضغط هنا للتسجيل