Mediastinum
mediastinum is a space in the thorax that contains a group of non-delineated organs and their surrounding connective tissue. It lies in the midline of the chestbetween the pleural surfaces of each lung and extends from the sternum to the vertebral column.The mediastinum contains all the thoracic viscera except the lungs: heart and great vessels, oesophagus, trachea, phrenic nerve, cardiac nerve, thoracic duct, thymus, and mediastinal lymph nodes.
Anatomical division
The mediastinum can be divided into parts based on their relationship to thepericardium:
* superior mediastinum: is an artificially divided compartment of the mediastinumlocated between the thoracic plane inferiorly and the thoracic inlet superiorly
*anterior mediastinum: anterior to the pericardium
*middle mediastinum: within the pericardium
*posterior mediastinum: posterior to the pericardium
Relations
superiorly: continuous with the loose connective tissue of the neck
anteriorly: chest wall
laterally: lungs and pleura
posteriorly: thoracic spine
inferiorly: diaphragm
Mediastinal lesion
The differential diagnosis for an anterior mediastinal mass includes:
thymus
thymoma: most common primary neoplasm of the antero superior mediastinum
thymic cyst
thyroid and parathyroid
thyroid neoplasmsthyroid goitre
parathyroid neoplasms
lymphoma
Hodgkin lymphomanon-Hodgkin lymphoma (NHL)
germ cell tumours
mediastinal teratoma
teratocarcinoma (malignant teratoma)
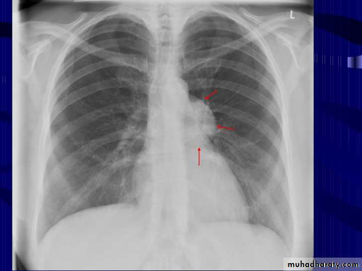
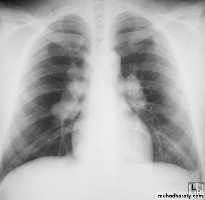
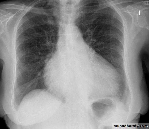
Normal thymus gland ( sail shape sign )
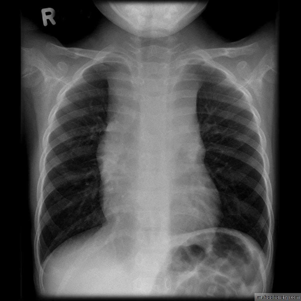
Retro sternal goiter
Radiographic featuresChest radiograph
It may show a superior mediastinal radio-opacity causing the deviation of trachea to opposite site. The superior margin of the radio-opacity/mass is untraceable (cervicothoracic sign).
Retro sternal goiter
Middle mediastinum
Related Pathologymalignancy
lymphadenopathy
hiatus hernia
thoracic aortic aneurysm
thyroid mass
bronchogenic cysts
Lymph adeno pathy
The spectrum of conditions than can result in mediastinal lymph adenopathy is exhaustive and includes:
1.primary lung lung cancer
2.metastatic malignancies to the mediastinum from other sites
common
oesophageal cancers
breast cancers
thyroid cancers
3.mediastinal lymphoma
primary mediastinal large B-cell lymphom
4.Sarcoidosis
5.infective (acute suppurative)
6.reactive
follicular hyperplasia
granulomatous TB , fungal infection
neoplastic
drugs: e.g. cyclosporin, phenytoin, methotrexate
Lymphoma is a malignancy arising from lymphocytes or lymphoblasts. Lymphoma can be restricted to the lymphatic system or can arise as extra nodal disease. This, along with variable aggressiveness results in a diverse imaging appearance.
Nodal disease
Hodgkin's disease is usually almost entirely confined to the lymph nodes.
Extra nodal disease
Extra nodal HD although uncommon may be found in any organ system, either as a primary manifestation or as dissemination of systemic disease.
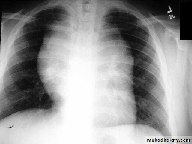
Hodgkin lymphoma of te middle mediastinum
vascular descending aortic aneurysmhernias hiatus herniaBochdalek herniatrauma paraspinal hematomalymphadenopathyextramedullary haematopoiesisforegut duplication cystsneurenteric cyst oesophageal duplication cyst
The differential diagnosis for a posterior mediastinal mass includes:
neoplasm
neurogenic tumours most common
nerve sheath tumours
schwannoma
neurofibromaa
non-neurogenic tumours
oesophageal neoplasm
lymphoma 1
metastasis
infection
paraspinal abscess
inflammation
mediastinitis
sarcoidosis
lymphoid hyperplasia
pancreas pseudocyst
Heart Assessment & measurement
The heart has a somewhat conical form and is enclosed by pericardium. It is positioned posteriorly to the body of the sternum with one-third of it is situated on the right and two-thirds on the left of the midline .
The heart has four borders:
right border: IVC, right atrium, SVC
left border: left ventricle, left atrium, pulmonary trunk and arch of aorta
inferior border: right ventricle
superior border: right and left atria, SVC, ascending aorta and pulmonary trunk
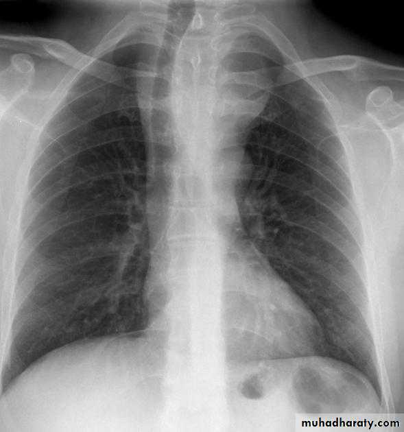
Cardiothoracic ratio (CTR) = Cardiac Width : Thoracic Width
A CTR of greater than 1:2 (50%) is considered abnormal. This however, assumes the projection is Posterior-Anterior (PA), and that cardiac size is not exaggerated by factors such as patient rotation or an incomplete breath in .
The cardiothoracic ratio aids in the detection of cardiomegaly, or more broadly,enlargement of the cardiac silhouette. .
Enlargement of the cardiac silhouette on chest x-ray can be due to a number of causes :
cardiomegaly (most common cause by far)pericardial effusion
anterior mediastinal mass
prominent epicardial fat pad
Causes of cardiomegalyThere are many aetiologies for cardiomegaly. The list includes:
*Mitral valve disease
*Congestive heart failure
*Congenital heart disease
-tetralogy of Fallot
-Ebstein anomaly
Mitral valve disease
Radiographic featuresPlain film
Typical radiographic features of mitral regurgitation include :
frontal projection
1.left atrial enlargement
convexity or straightening of the left atrial appendage just below the main pulmonary artery (along left heart border)
2.double density sign: the right side of the enlarged left atrium pushes into the adjacent lung and creates an addition contour superimposed over the right heart
3.elevation of the left main bronchus and splaying of the carina
4.upper zone venous enlargement due to pulmonary venous hypertension
5.left ventricular enlargement is also eventually present due to volume overload
6.Features of pulmonary oedema may also be present.
Mitral valve disease
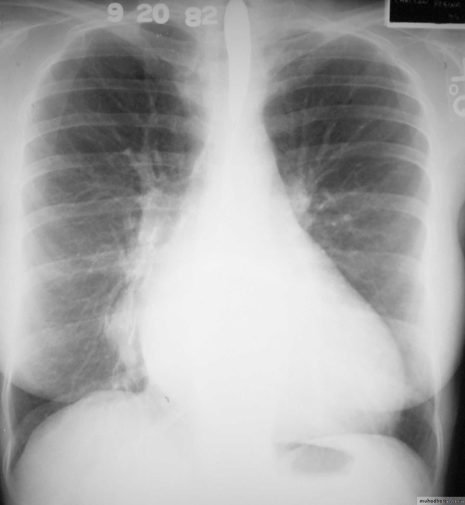
Congestive cardiac failure (CCF) is a form of cardiac failure which is primarily manifested by the heart inability to pump the volume of blood. It can affect the left (common) or right cardiac chambers or both.
Radiographic features
Chest radiograph
With left sided congestive cardiac failure, the features are that of pulmonary edema which includes:
central pulmonary venous congestion ( prominent hilum )
cephalisation of pulmonary veins ( upper lobe pulmonary venous diversion )
pulmonary interstitial oedema
pulmonary alveolar oedema
Cardiomegaly
Pleural effusion
Pulmonary edema is a broad descriptive term and is usually defined as an abnormal accumulation of fluid in the extra-vascular compartments of the lung .
Radiographic features
Septal lines, also known as Kerley lines, are seen when the interlobular septa in the pulmonary interstitium become prominent. This may be because of lymphatic engorgement or edema of the connective tissues of the interlobular septa. They usually occur when pulmonary capillary wedge pressures reach 20-25 mmHg ,
Classification
Kerley A linesThese are 2-6 cm long oblique lines that are <1 mm thick and course towards the hila. They represent thickening of the interlobular septa
Kerley B lines
These are 1-2 cm thin lines in the peripheries of the lung. They are perpendicular to and extend out to the pleural surface . They represent thickened sub pleural interlobular septa and are usually seen at the lung bases.
Interstitial pulmonary edema
radiograph include if pressure > 25 mmHg the findings of :
cardiac size/cardio-thoracic ratio: useful for assessing for an underlying cardiogenic cause or associationbat wing pulmonary opacities
presence of peri-bronchial cuffing
septal lines: Kerley lines become more prominent
pleural effusions
pulmonary venous engorgement/pulmonary blood flow distributionupper lobe pulmonary venous diversion
Alveolar pulmonary edema
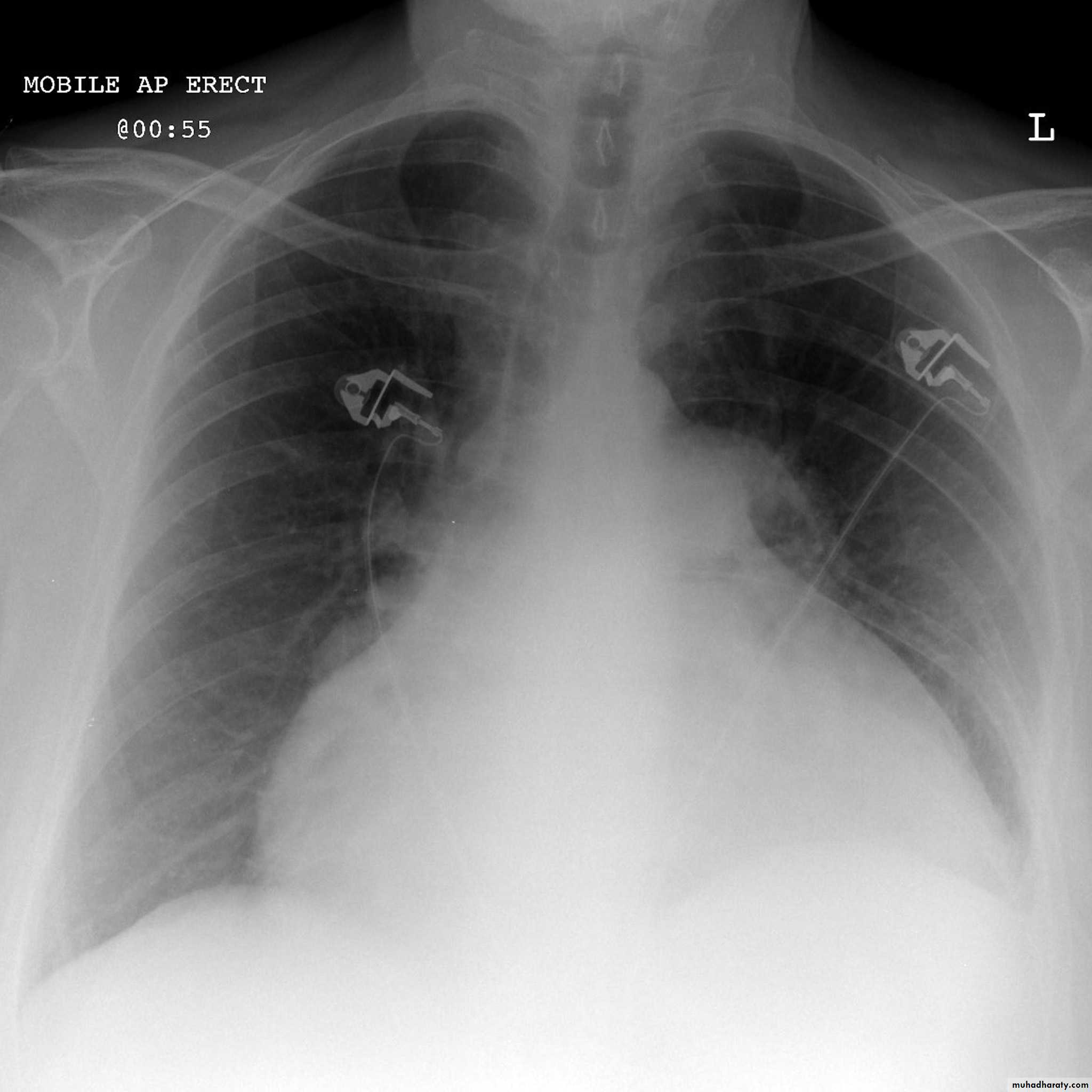
Pericardial effusions occur when fluid collects in the pericardial space (a normal pericardial sac contains approximately 30-50 mL of fluid).
adiographic features
Plain radiograph
a very small pericardial effusion can be occult on plain film
there can be globular enlargement of the cardiac shadow giving a water bottle configuration known as Globe shape heart or pumpkin shape heart .
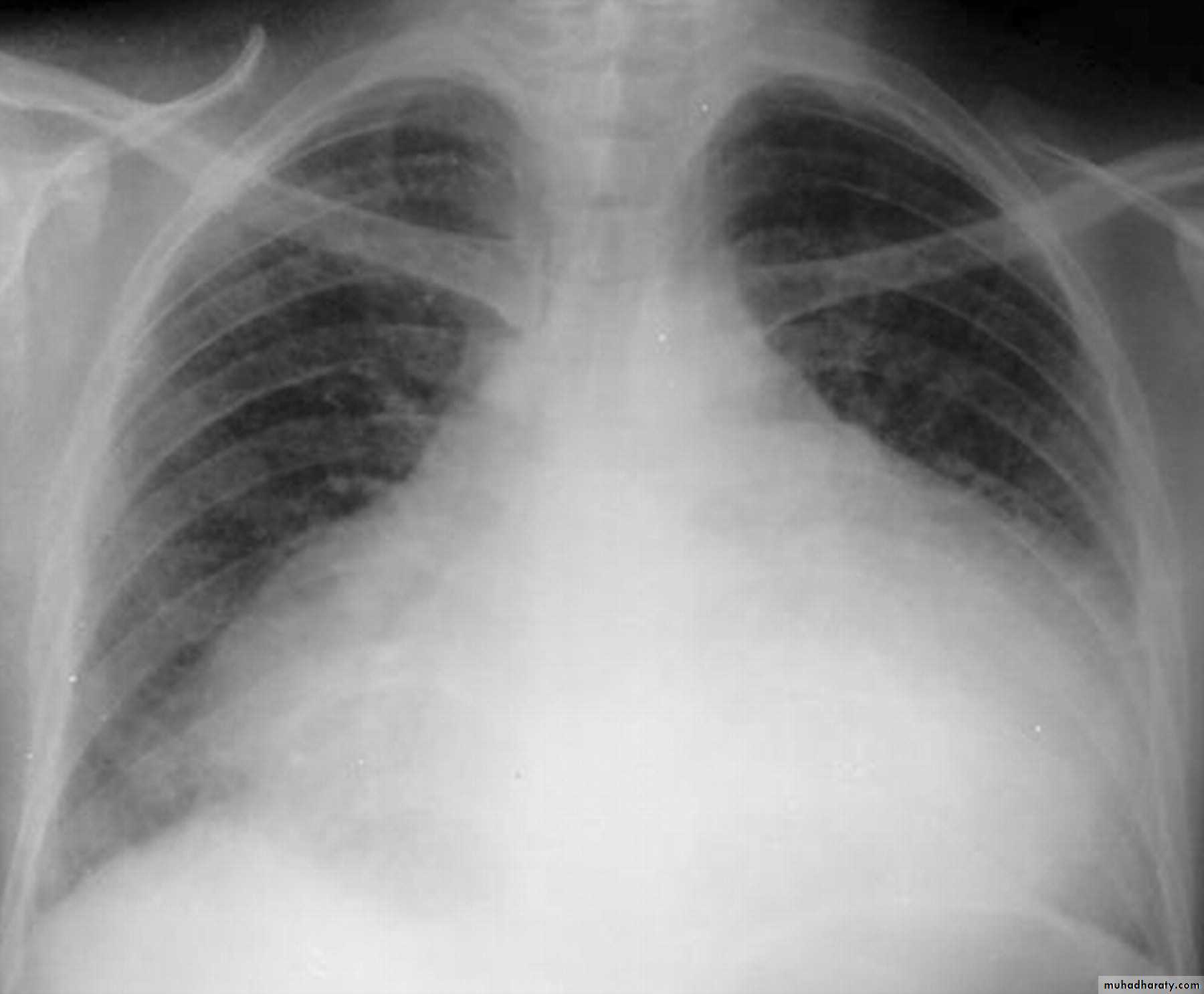
Pericardial effusion
Congenital heart disease
A . CCHDA number of entities can present as cyanotic congenital heart disease. These can be divided into those with increased or decreased pulmonary vascularity. They include:
increased pulmonary vascularity
total anomalous pulmonary venous return (TAPVR) (types I and II)
transposition of the great arteries (TGA)
truncus arteriosus (types I, II and III)
large AVSD
single ventricle without pulmonary stenosis
decreased pulmonary vascularity
tetralogy of Fallot
pentalogy of Cantrell
many other combined and infrequent anomalies such as
Ebstein anomaly with atrial septal defect
B . ACCHD
There are numerous causes of acyanotic congenital heart disease and can be divided into those that have increased pulmonary vascularity and those that do not. They include:increased pulmonary vascularity
ventricular septal defect (VSD)
atrial septal defect (ASD)
atrioventricular septal defect (AVSD)
patent ductus arteriosus (PDA)
normal pulmonary vascularity
small shunts (see above)
aortic valve stenosis
aortic coarctation
pulmonary stenosis
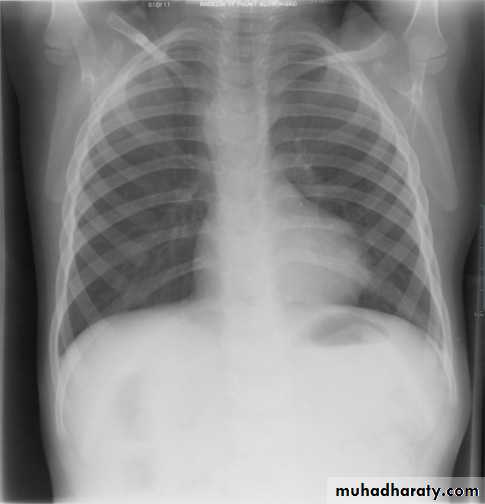
Tetralogy of Fallot (TOF) is one of the most common cyanotic congenital heart conditions and continues to be a major source of morbidity .
Tetralogy of Fallot is classically characterised by four features which are:
ventricular septal defect (VSD) 6
right ventricular outflow tract obstruction (RVOTO) due to:pulmonary artery stenosis
overriding aorta
right ventricular hypertrophy
Radiographic features
Plain film
Plain films may classically show :
1. "boot shaped" heart with an upturned cardiac apex due to right ventricular hypertrophy and concave pulmonary arterial segment.
2.Pulmonary oligaemia due to decreased pulmonary arterial flow.
3.Right sided aortic arch is seen in 25%.
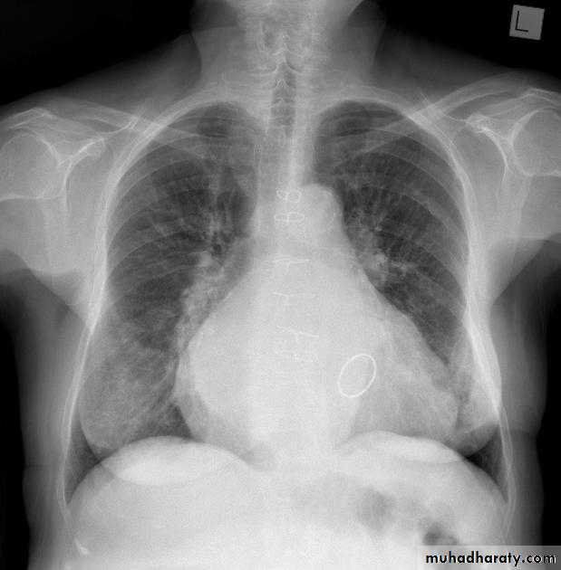
"boot shaped" heart ( TOF )
TOF
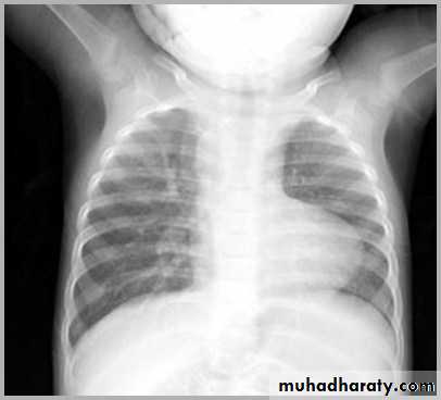
Transposition of the great arteries (TGA) is the most common cyanotic congenital cardiac anomaly with cyanosis in first 24 hours of life. It accounts for up to 7% of all congenital cardiac anomalies
Chest radiograph
A frontal chest radiograph classically shows cardiomegaly with a cardiac contours classically described as appearing like an egg on a string . There is often an apparent narrowing of the superior mediastinum as result of the aortic and pulmonary arterial configuration .
Egg-on-a-string sign ( TGA )
Ventricular septal defects (VSD) They represent one of the most common congenital cardiac anomalies and up to 40% associated with such anomalies . They are considered the most common congenital cardiac abnormality diagnosed in children and the second most common diagnosed in adults
Ventricular septal defects (VSD) represent defects in the inter ventricular septum that allow a hemodynamic communication between the right and left ventricles. It typically results in a left to right shunt.
Radiographic features
Plain film
The chest radiograph can be normal with a small VSD.
Larger VSDs may show
• 1.cardiomegaly (particularly left atrial enlargement although the right and left ventricle can also be enlarged).
• 2.A large VSD may also show features of pulmonary arterial hypertension.
• 3.pulmonary oedema
• 4.pleural effusion and/or increased pulmonary vascular markings.
Pulmonary arterial hypertension results from elevation of the resistance in the pulmonary arterial bed, usually at the arteriolar level. It is characterized radiographically by enlargement of the pulmonary trunk and right and left main pulmonary arteries with disproportionately small peripheral vessels This has been referred to as "pruning" of the pulmonary arteries
So the Plain radiograph
elevated cardiac apex due to right ventricular hypertrophy
enlarged right atrium
prominent pulmonary outflow tract
enlarged pulmonary arteries
pruning of peripheral pulmonary vessels
Pulmonary venous hyper tension
Pulmonary venous hypertension (PVH) results from an increase in pressure in the pulmonary veins, usually as a result of left atrial hypertension. This is measured clinically as an increase in the pulmonary capillary wedge pressure (PCWP) over the normal 12 to 14 mmHg.Mild elevation of the PCWP results in redistribution of the pulmonary blood flow to the non-dependent lung zones
As the pressure approaches 20 mmHg, interstitial edema develops
Common causes of PVH
1.obstruction to LV inflow,
2.LV systolic dysfunction,
3.severe mitral regurgitation,
4.acute pulmonary and systemic volume overload.
Eisenmenger syndrome is a complication of an uncorrected high-flow, high-pressure congenital heart anomaly leading chronic pulmonary arterial hypertension and shunt reversal .
Important Complications of VSD
Eisenmenger phenomenon with shunt reversal (i.e. L to R becomes R to L)
Very important to consider
* figure of 3 sign: contour abnormality of the aorta with inferior rib notching : Roesler sign in Coarctation of the aorta* "box shape" heart in Ebstein anomaly
*boot shaped heart ( TOF )
*Egg-on-a-string sign ( TGA )
*figure of 8 heart or cottage loaf heart in Total anomalous pulmonary venous return (TAPVR)
































