قراءة
عرض

male &female reproductive tractsmammogram

Dr.khaleel Ibraheem
DMRD,CABMS


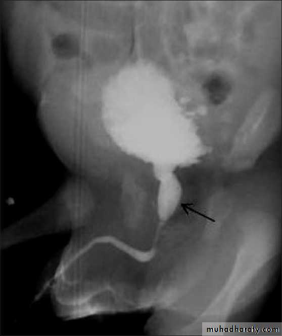
genital tract and mammogram




genital tract and mammogram


genital tract and mammogram




genital tract and mammogram





genital tract and mammogram


genital tract and mammogram


genital tract and mammogram




genital tract and mammogram


genital tract and mammogram




genital tract and mammogram


genital tract and mammogram





genital tract and mammogram




genital tract and mammogram




genital tract and mammogram


genital tract and mammogram




genital tract and mammogram




genital tract and mammogram


genital tract and mammogram





genital tract and mammogram


genital tract and mammogram




genital tract and mammogram

Benign calcification

genital tract and mammogram

Malignant microcalcification




رفعت المحاضرة من قبل: AyA Abdulkareem
المشاهدات: لقد قام 61 عضواً و 348 زائراً بقراءة هذه المحاضرة








تسجيل دخول

أو
عبر الحساب الاعتيادي
الرجاء كتابة البريد الالكتروني بشكل صحيح
الرجاء كتابة كلمة المرور
لست عضواً في موقع محاضراتي؟
اضغط هنا للتسجيل