Pathology of male reproductive system
Congenital anomalies1. Hypospadias is an anomaly in which the urethral meatus opens on the ventral surface of the penis.
2. Epispadias is an anomaly in which the urethral meatus opens on the dorsal surface of the penis. It is less common than hypospadias.
I-Diseases of penis
Balanitis is inflammation of the glans penis.
Gonorrhea often manifested as acute purulent urethritis, extend to the prostate and seminal vesicles, epididymis.Chlamydial infection cause nongonococcal urethritis and epididymitis bacteria are not demonstrated in a purulent urethral discharge.
Inflammatory disorders
Treponema pallidum,
chancre.
darkfield illumination,
Syphilis
1. Carcinoma in situ
a. Most common in uncircumcised men.related to the accumulation of squamous cell and inflammatory debris (“smegma”) and infection with high-risk (HPV)
(primarily types 16 and 18).
b. Divided into Bowen disease,
erythroplasia of Queyrat,
bowenoid Papulosis.
Manifest microscopically in full-thickness
atypia of the squamous epithelium.
Neoplasms
squamous cell carcinoma.
rare in circumcised men.Seen in Far East, Africa, and Central America.
Predisposing factors include poor personal hygiene and venereal disease.
Disease is often associated with HPV infection types 16, 18, 31, and 33.
2. Invasive carcinoma
A. Cryptorchidism is developmental failure of a testis to descend into the scrotum.
associated, even after surgical correction, with a greatly increased incidence of germ cell tumors.associated with testicular atrophy and sterility.
B. Torsion of the spermatic cord compromises blood supply and may result in testicular gangrene.
Diseases of testis
C. Hydrocele
Is serous fluid filling & distending the tunica vaginalis.
1. This condition is most often idiopathic.
Sometimes, it is congenital in origin due to persistence of continuity of the tunica vaginalis with the peritoneal cavity.
It can be secondary to infection or to lymphatic blockage by tumor.
2. can be distinguished by physical examination and transillumination.
D. Hematocele is an accumulation of blood distending the tunica vaginalis. It is most often caused by trauma, although it is occasionally due to a tumor.
E. Spermatocele is a sperm-containing cyst.
E. Varicocele is a varicose dilation of multiple veins of the spermatic cord.
Caused by or associated with:a. Orchitis, especially mumps orchitis.
b. Trauma
c. Hormonal excess or deficiency due to:
(1) Disorders of the hypothalamus or pituitary
(2) Hormonal therapy, especially with estrogens
(3) Cirrhosis of the liver
d. Cryptorchidism
e. Klinefelter syndrome
f. Chronic debilitating disease
g. Old age
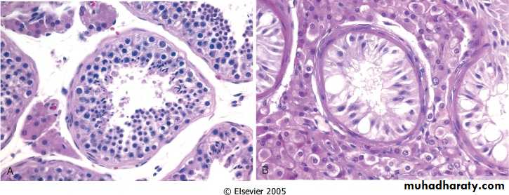
G. Testicular atrophy
Normal Vs. Atrophic testicle
1. Orchitis
a. When bacterial, orchitis is often associated with epididymitis. Orchitis may be caused by syphilis.b. When viral, orchitis is most often due to mumps virus.
c. When bilateral, orchitis may result in sterility due to atrophy of the seminiferous tubules.
Serum testosterone is decreased, whereas FSH and LH are increased.
2. Epididymitis
a. This condition is more common than orchitis.
b. Causes most often include:
(1) Neisseria gonorrhoeae
(2) Chlamydia trachomatis
(3) E. coli
(4) Mycobacterium tuberculosis
H. Inflammation
Testicular tumors
Are divided into 3 groups:
Germ cell tumors: which categorised into 2 main groups—seminomatous and non-seminomatous.
Sex cord-stromal tumors.
Mixed forms.
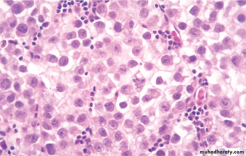
is a malignant germ cell tumor.
analogous to dysgerminoma.The most common testicular germ cell tumor.
Peak incidence is in the mid-30s age group.
painless enlargement of the testis.
Sometimes this tumor is associated with increased serum human chorionic gonadotropin (hCG)
Seminomas are very radiosensitive and can often be cured, even when there are metastases to abdominal LNs.
comprised of large cells with centrally located nuclei and prominent nucleoli.
Cell borders are distinct and a prominent lymphoid response is present.
A precursor lesion known as intratubular germ cell neoplasia (ITGCN) is often identified in the background tubules.
1. Seminoma
Seminomais a rare tumor seen in older men.
Prognosis is excellent.Despite its name, it is unrelated to conventional seminoma.
It is comprised of three distinct cell types and, unlike conventional seminoma, lacks ITGCN and shows no significant lymphocytic response.
Spermatocytic seminoma
is a malignant germ cell tumor.a. This tumor is analogous to a similar tumor occurring in the ovary.
b. Cells are strikingly pleomorphic and ITGCN may be present.
c. Often metastatic at presentation
d. The serum hCG is often increased.
The prognosis is much worse than for seminoma
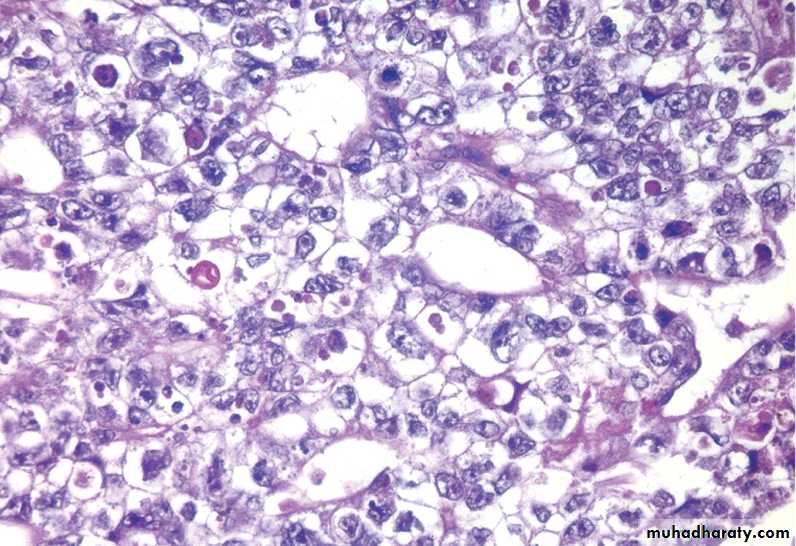
Embryonal carcinoma
Embryonal Ca
is a malignant germ cell tumor .
a. This tumor is analogous to endodermal sinus tumor of the ovary.b. The pure form occurs exclusively in infancy and early childhood and is the most common testicular tumor in this age group.
In adults, it frequently appears as a component of mixed germ cell tumors.
c. This tumor causes an increase in serum α-fetoprotein,
d. The classic finding is the Schiller- Duval body.
ITGCN may be present.
3. Endodermal sinus (yolk sac) tumor
a. This germ cell tumor is derived from two or more embryonic layers.b. It is most frequently malignant.
c. It contains multiple tissue types, such as cartilage islands, ciliated epithelium, liver
cells, neuroglia, embryonic gut, or striated muscle.
d. It can be classified as one of three subtypes:
(1) Mature teratoma. seen more frequently in infants and children and has favourable prognosis. (2) Immature teratoma. Primitive neural elements are often present, and behavior is
malignant.
(3) Teratoma with malignant transformation. This teratoma contains malignant tissue,such as squamous cell carcinoma.
4. Teratoma
is a malignant germ cell tumor that can occur as an element of other germ cell tumors.
a. This tumor is analogous to choriocarcinoma of the ovary.b. Incidence peaks in the second to third decade.
c. Histologic characteristics include cells that resemble placental syncytiotrophoblasts
and cytotrophoblasts.
d. This tumor causes an increase in serum hCG.
e. Highly chemosensitive.
5. Choriocarcinoma
Consist of varying combinations of germ cell tumor types; prognosis is dictated by the least mature element.The most common combinations of mixed germ cell tumours are:
1. Teratoma, embryonal carcinoma, yolk sac tumour and syncytiotrophoblast.
2. Embryonal carcinoma and teratoma (teratocarcinoma).
3. Seminoma and embryonal carcinoma
Mixed germ cell tumors
is a non-germ cell tumor derived from testicular stroma.a. This tumor is similar to the Sertoli-Leydig cell tumor of the ovary.
b. It is most often benign.
c. It is often characterized by intracytoplasmic Reinke crystals. The tumor is characteristically known as androgen-producing, but sometimes produces both androgens and estrogens and sometimes corticosteroids.
d. The tumor is most often associated with precocious puberty in children and with
gynecomastia in adults.
Leydig cell (interstitial) tumor
Is a non-germ cell tumor derived from the sex cord stroma.
a. This tumor is also similar to the Sertoli-Leydig cell tumor of the ovary.b. It is usually benign.
c. It is characterized by a paucity of endocrine manifestations.
8. Sertoli cell tumor
Combined proliferations of germ cells and sex cord-stromal elements.Is composed of 2 principal cell types—large germ cells resembling seminoma cells, and small cells resembling immature Sertoli, Leydig and granulosa cells.















