Deformities of the knee
Genu varus (medial angulations)Genu valgus (lateral deviation)
Genu recurvatum (hyperextended knee )
• Objectives:
• Define variable angular deformities of the knee joint and discuss its etiology.• Describe a clinical method for diagnosis, follow up and prognosis of genu varus and valgus.
• Discuss the management and indication of surgical intervention.
Developmental knee deformities. Genu varus (bow leg). Genu valgus (knock knee);
During early years of life (before 10 years) these deformities can be regarded as normal stages of development & must be followed up frequently .
Follow up is by:
the intercondylar distance for varusthe intermalullar distance for valgus
Normal intercondylar distance is less than (6cm), if its (6-8cm) it needs frequent follow up, if more than (8cm) it needs surgical correction.
Normal intermalullar distance is less than (8cm), if its (8-10cm) it needs follow up, if more than (10cm) its indication for surgery.
Other indications for surgery includes:
• Severe deformity.• Unilateral deformity.
• Rapidly progressive deformity.
• If uncorrected deformity after the age of (l0-12) years.
• Painful deformity.
• Deformity associated with joint instability or derangement.
Secondary causes of angular deformities:
• Rickets; causing bone softening and progressive deformities with weigh bearing.
• Post-traumatic; with epiphysial injury & arrest, malunion or with joint ligament injury.
• In adults it commonly occurs with osteoarthritis (varus knee), or with rheumatoid arthritis (valgus knee).
• Other diseases like Paget’s disease (varus knee).
Management:
Frequent clinical assessment needed to look for progression & indication for surgery.Take x-ray for the knee & tibia to see the state of the epiphysis & state of the deformity.
For patient near skeletal maturity (1-2 years) of maturity we can use stapling (internal fixation with staples) of the upper tibial & lower femoral epiphysial plates at the side of overgrowth to allow other side to grow & correct the deformity.
If the above procedure is not applicable we do corrective osteotomy and we should avoid injuring the nearby epiphysis; for varus deformity we do high tibial osteotomy, & for valgus deformity we do supracondylar femoral osteotomy.
Genu recurvatum:
• Possible causes:recurvatum
Secondary to fixed equinus deformity ofthe foot in which the patient hyperextend the knee to put the foot flat in the ground.
Following growth plate injury.
Malunited fractures.
Treatment:
When indicated corrective osteotomy of the tibia or femur is done. Other operation is excision of the patella & fix it on the upper tibia to act as a bone block to prevent hyperextension of the knee.• Summary:
• Normal knee is at 5-7 degrees of valgus, anything less is genu varus, anything more is genu valgus and any abnormal hyperextension is genu recurvatum.• Causes can be developmental, congenital or secondary acquired.
• For genu varus we examine the intercondylar distance, for valgus we examine the intermalullar distance its good for the diagnosis, follow up and prognosis of genu varus and valgus.
• Developmental varus and valgus may improve during the development and bone remodeling up to the age of 9-10 years, if it didn’t correct this indicates surgical intervention.
• Most secondary angular deformities may need treatment of the primary cause and surgical operation.
• Surgery may be in the form of epiphysial growth arrest (stappling) or by osteotomy.
Meniscal diseases of the knee
• Objectives:• Discuss the surgical pathology, functions, mechanisms of meniscal injuries and variable types of meniscal tears.
• Describe the clinical presentation differential diagnosis and investigations of meniscal injuries.
• Discuss the methods of treatment of acute and chronic meniscal tears.
• Define meniscal cyst and describe its clinical presentation, differential diagnosis and investigations.
• Discuss the treatment of meniscal cyst.
Pathology & mechanism of injury:
• Medial meniscus is more commonly involved in injury because:• It’s larger in size.
• It’s more fixed to the tibia & capsule.
• Its more commonly involved in serious joint strains & activities.
Functions of the menisci:
• Improve range of motion.• Better distribution of the synovial fluid inside the joint.
• Act as a shock absorber.
• Improves joint stability.
• Sterioseption as they contain special nerve endings.
Mechanism of injury:
Is that the medial meniscus get grinded between the femur & tibia when the flexed loaded knee get twisted causing meniscal tear which most commonly seen in young adults & athletes specially footballers.
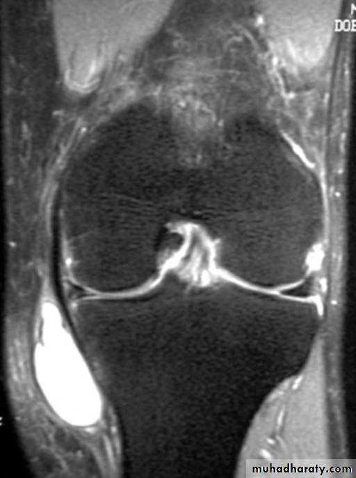
Types of meniscal tears:
75% of the tears are vertical tears; most common type is that which involve the middle part of the meniscus but does not reach the periphery,possible displacement gives the bucket handle tear, which is the most common cause of locking of the knee joint in meniscal tears.Other vertical tears may reach the center causing anterior or posterior horn tear.
Less common tears are the horizontal tears that most commonly occurs in degenerated stiff meniscus of older people.
Clinical features:
The patient usually young adult footballer had history of severe twisting injury of the knee followed by severe knee pain & inability to complete the game.Knee swelling & effusion occurs after several hours to 24 hours from the time of injury, but never occurs immediately (as in heamarthrosis).
There is limitation of knee movements, mainly knee extension i.e. locking of the knee, which means failure of the last degrees of extension (its mechanical locking by the effect of the displaced bucket handle tear of the meniscus).
Few days later effusion subsides & the knee may spontaneously unlock, while the pain is still mild and takes longer to disappear. Always there is severe quadriceps wasting.
Chronic frequent knee pain and effusion may occur later on after milder twisting injury during work or games, sometimes frequent locking & givingway.
Investigations:
• X-ray; to exclude associated fracture.
• Arthroscopy; it’s the best to give direct visualization of the inside of the joint to prove the diagnosis & exclude other possible injuries.
• MRI; good and accurate noninvasive technique specially if associated with arthroscopic findings.
Differential diagnosis:
• Lose bodies; they cause pain and locking that occurs at different degrees of knee movement (change in the position of locking) at each time.• Patellofemoral instability; with frequent knee pain & givingway.
• Fracture of tibial spine.
• Rupture of anterior cruciate ligament (ACL).
• Partial tear of medial collateral ligament with tender medial femoral condyle at the site of attachment.
Treatment:
Arthroscopy can prove the diagnosis & show the site & type of the tear. Conservative treatment is only indicated for peripheral tears where the vascular meniscus may heal if the knee is rested for 3-4 weeks in POP or if the meniscus is sutured.Otherwise operative treatment is always indicated by arthroscopy, the aim is to excise the torn part of the meniscus only & leave the remaining intact part to avoid later degenerative changes of the knee.
Always remember the possible associated injuries as ACL tear, fractures or synovial damage and heamarthrosis.
Prognosis:
Neither meniscal tears by itself nor removal of the meniscus necessarily leads to secondary osteoarthritis, but it’s the general state of the knee, its stability and the possible associated injuries that matter.Meniscal cyst:
It’s a multiloculated cystic swelling that contains gelatinous fluid & surrounded by fibrous tissue, it occurs between the meniscus (usually the lateral) & the capsule.it shows as a localized swelling below the joint line its more prominent at certain degrees of knee flexion (65 degrees) & decrease in size at other positions of the knee.
Causes:
• Synovial implantation theory in which following trauma or embryonic synovial cells implants in the vascular area of meniscus & grow as a cyst.• Secondary to horizontal tear of the lateral meniscus.
Clinical features:
It usually appears at the lateral side of the knee just below the joint line anterior to the collateral ligament.It shows as a painful aching lump that gets larger in certain movements and may disappear in others.
Differential diagnosis:
• Ganglion; its more superficial, softer & above or below the joint line.• Calcified deposit of the collateral ligament.
• Prolapsed torn meniscus.
• Various tumors as; lipoma, fibrorna or osteochondrorna.
Treatment:
Always do arthroscopy to exclude intraarticular lesions as meniscal tear which when treated may lead to decompression of the cyst from within.Otherwise we do surgical excision of the cyst.
Summary:
The medial meniscus is more prone to injury than the lateral, the outer third of meniscus is vascular and the remaining is not, it serves variable functions including increasing the range of motion and knee stability.Commonest type of tears are the longitudinal (bucket handle or horn tear), the meniscus usually torn when the loaded knee is flexed and twisted.
Clinically torn meniscus presents as pain and later swelling with possible locking, chronic complaint is by recurrence of symptoms at a milder knee twist.
Arthroscopy is the best for diagnosis as well as for the treatment by partial excision of the torn part of the meniscus or menical sutre for peripheral tears.
Meniscal cyst is uncommon and mostly lateral it presents as local swelling and may due to a meniscal tear.
Meniscal cyst needs arthroscopy to diagnose and treat associated meniscal pathology. Otherwise surgical excision of the cyst is done.
Chronic ligamentous instability:
Untreated ACL or collateral ligament tears may cause chronic joint instability with variable symptoms, functional disturbances & possible later osteoarthritis.Those patients needs good clinical & arthroscopic assessment, together with intensive course of physiotherapy & muscle strengthening exercises (including the quadriceps & hamstring groups) all to improve joint stability & function.
Whenever there is associated meniscal tear it must be surgically treated to improve symptoms & allow physiotherapy.
Otherwise if conservative treatment is not useful, surgical reconstruction of the torn ligament is done by using certain structures as fascia lata or surrounding tendons
Patellofemoral Diseases
• Objectives:• Declare variable patellar functions and the factors that prevents patella from dislocation as well as main cause of patellar dislocation.
• Discuss in details the common recurrent patellar dislocation, mechanism, clinical presentation, emergency treatment and variable surgical options of its treatment.
• Define patellofemoral overload syndrome, its clinical presentation, diagnostic tests, investigations and differential diagnosis.
• Discuss the main lines of its management, non-surgical and operative choices.
Patellofemoral instability:
• Patella have different functions that includes:
Protection of the knee on kneeling.
Improvement of knee function & range of motion.
Prevent direct friction of extensor mechanism with the femur.
Knee is normally in 5-7 degrees of valgus therefore quadriceps pull may cause lateral subluxation or dislocation of patella, this does not occur because:
1.There is large & high lateral femoral condyle.2.Tight extensor retinaculum that prevents displacement. 3. Direct medial pull of patella by the lower horizontal fibers of the vastus medialis, which has direct attachment to the patella.
predisposing factorsfor lateral dislocation of patella:
• Congenitally abnormal patella (cong .high or small patella).• Abnormally small lateral femoral condyle.
• Valgus knee.
• Generalized ligament laxity.
• Primary muscle defect.
Types of patellar dislocation:
Post-traumatic dislocation (previously discussed).Non-traumatic dislocations;
Congenital dislocation.Recurrent dislocation.
Habitual dislocation.
Congenital patellar dislocation:
Its rare & severe form associated with abnormal soft tissue attachment & sometimes with knee dislocation. Treated by different procedures of soft tissue reconstruction but the results are unpredictable.Habitual dislocation of the patella:
In this type the patella dislocates every time the knee is flexed & relocates in extension.
It’s possibly caused by Q-contracture (vastus lateralis) either congenital or secondary to early childhood injection.
Treatment:
By division of the contracted bands of vastus lateralis, iliotibial band rectus femoris & V-Y plasty of the Q-tendon.
Recurrent patellar dislocation:
It’s the most common type usually occurs in adolescent girls & mostly bilateral.Mechanism and clinical features:
It occurs when sudden Q-contraction is taken to extend the flexed knee, The patella dislocates laterally with a click & this will cause severe pain, patient is unable to extend his flexed knee & fall down. Sometimes the knee relocates on certain movements as the patient try to straighten his flexed knee.Mechanism and clinical features:
When dislocated there is prominent medial femoral condyle that sometimes mistaken for the patella.Tenderness on the medial side of the joint and heamarthrosis will occur.
In chronic cases there is medial retinacular laxity & apprehension test is positive.X-ray:
Plain x-rayCT scan with extended knee
Treatment
At the time of dislocation reduction by MUA with aspiration of heamarthrosis & back-slap for 3 weeks. Followed by of physiotherapy & Q-exercises especially vastus medialis.If this fails or dislocation is frequently recurrent, operative treatment is indicated
these operations are:
• Lateral release +/- medial reaf of the ext. retinaculum .• Camblell-roux operation, to induce medial displacement of the tendon & patella, all associated with lateral release & medial reaf.
• Goldthwait operation. it can improve medial pull of the patella.
• Hauser operation.
• All operations followed by good schedule of physiotherapy & Q-exercises.
Patellofemoral overload syndrome; Patellar pain syndrome or Chondromalacia patellae:
All are names for the same clinical syndrome of anterior knee pain & Patellofemoral tenderness, usually associated with softening & fibrillation of the patellar articular cartilage (Chondromalacia patellae). It’s more common in adolescents & young adults.
Pathology & pathogenesis:
The problem is mainly a form of overstressed Patellofemoral joint with repeated injury of patellar articular cartilage; this mostly because of malcongrousy or malaligenment of Patellofemoral joint leading to a sequence of changes in cartilage & bone.Clinical features:
anterior knee painoccasional swelling
givingway
usually bilateral
On examination
the knee looks normal
Q-wasting
tenderness on the under surface of the patella.
Mild effusion
abnormal patellar tracking & subluxation or even crepitus can be noticed.
Apprehension test sometimes positive. Specific test is the grinding test
Imaging:X-ray of the knee may show abnormal patella or femur.
Special view is the skyline view
CT scan with extended knee is best
Arthroscopy:
it can show cartilage changes but it’s most important to exclude other causes of knee pain.Differential diagnosis:
• Overuse in athletes.• PF-instability.
• Patellar cyst or tumor.
• Prepatellar bursitis.
• Osteochondritis dissecans.
• Torn meniscus.
Treatment:
1st. Conservative treatment
2nd. Surgical treatment:
It’s indicated if conservative treatment fails after 6 months use, it aims at control of malcongrousy & malaligenment of the PF-Joint &decrease PF-pressure.
these operations are:
Lateral retinacular release +/- medial reafHauser operation.
Distal elevation of the patella by using a bone block to elevate the tibial tubrosity.
Chondroplasty by shaving the cartilage.
Patellectomy for severe resistant cases that does not respond to other possible
• Summary:
• Patella is important for proper extensor knee mechanism , it increases knee range of motion and specially important on taking the stairs and running.• The large lateral femoral condyle and the tight extensor retinaculum around it and the direct attachement of the transverse lower fibers of vastus medialis – all – keeps patella in position.
• Patella dislocates if its small or high or if there is small lateral condyle or any abnormality of the bone or soft tissue that makes the the patella pushed laterally like valgus or external rotation of the leg.
• recurant pat. Dislocation is the most common type usually occurs in adolescent girls & mostly bilateral, It occurs when sudden Q-contraction is taken to extend the flexed knee.
• Pain tenderness on the medial side of the joint and heamarthrosis occurs in acute dislocation. In chronic cases there is medial retinacular laxity & apprehension test is positive.
• urgent reduction is easy and treatment of recurance directed towards treatment of the cause if there is one, and all are aiming at medialization of the pull of the extensor mechanism.
• Summary:
• patellofemoral overload syndrome is a clinical syndrome of anterior knee pain & Patellofemoral tenderness, usually associated with softening of the patellar articular cartilage, It’s more common in adolescents & young adults and due to friction or over stress through the PFJ.• presentation is anterior knee pain, sometimes history of instability. Pain aggravated by activity, climbing upstairs, or when standing after prolonged rest (theater sign). swelling & givingway may occur & symptoms can be bilateral.
• On examination Q-wasting, tenderness on the under surface of the patella, abnormal patellar tracking or crepitus can be noticed. Apprehension test and Grinding test sometimes positive.
• treatment usually nonoperative and surgery reserved for resistant case and are mostly like those for instability.
Miscellaneous knee problems
Osteochondritis dissecans (splitting O.ch. of the knee):
its suggested to be caused by repeated trauma by the edge of the patella on full flexion that occurs on the lateral aspect of the medial femoral condyle (this site accounts for more than 80% of all cases).The disease pass in three stages:
• Avascular nonseperated segment with intact overlying cartilage.• Detached Undisplaced segment.
• Displaced segment, either incomplete or complete where it acts like a loose body leaving an ulcer called crater that later get fibrosed.
Clinical features:
Adolescent patient mainly males 15-20 years of age, it can be bilateral & may run in families.There is intermittent pain, swelling, givingway & locking together with muscle wasting.
Diagnostic features are:
• Tenderness on medial femoral condyle.• Positive Wilson’s test; with the knee flexed we try internal rotation & gradual extension; this will induce medial condyle pain which get relieved on external rotation.
Diagnosis
X-ray:
It’s helpful at later stages. While isotope scanning and MRI can diagnose it earlier.
Arthroscopy: can prove diagnosis & sometimes used for treatment.
Differential diagnosis:
• Avascular necrosis of the medial fernoral condyle that occurs in older alcoholics or in steroid abuse, it affect the dome of the condyle & is more extensive.• Osteochondral fracture of the femoral codyle.
Treatment
In early stages the lesion is stable, here restriction of activities with the use of caliper or crutch for 6-12 months is useful and no need for other treatment, intimate follow up & MRI of the other knee is indicated.Treatment
At later stages & if the fragment is small it can be removed.If its more than one centimeter & not detached we fix the fragment in position.
If the fragment is detached with unhealthy crater, it’s removed & the crater is drilled to allow healing with fibrocartilage.
Synovial chondromatosis
Synovial chondromatosis
Rare disorder in which the tips of the synovial sheath undergoes cartilaginous metaplasia & later detaches as a free cartilaginous loose bodiesClinical features:
Chronic swelling, givingway, locking & pain are common.X-ray: it may show loose bodies.Arthroscopy: can prove the diagnosis (snowstorm appearance).
Treatment:
By athrotomy or arthroscopy, all those loose bodies must be washed out and removed & the abnormal synovium is excised (synovectomy).Loose bodies inside the knee
Causes:• Post-traumatic osteochondral fracture.
• Fractured ostephytes in cases of osteoarthritis of the knee joint.
• Osteochondritis dissecans.
• Synovial chondromatosis.
• Charcot’s (neuropathic) joint.
Clinically they cause aches, swelling, locking & givingway.Diagnosis by X-ray, MRI, and arthroscopy.Treatment by removal of the loose bodies & treatment of the cause.
Swelling of the knee joint
1st. heamarthrosis: by;
• Hemophilic arthropathy.• Post-traumatic by;
• a. Intraarticular fracture
• b. Rupture of ACL or capsule.
• c. Rupture or damage of the synovial membrane.
• Clinical features, diagnosis & treatment all according to the cause.
2nd. Acute septic arthritis:
Causes, pathology, C/F, investigations, differential diagnosis & treatment all are previously discussed.Special point is that sometimes-repeated aspiration by wide bore needle or cannula & trocher is used in the knee together with saline irrigation, all under antibiotic cover. If this fails we still can do open arthrotomy and drainage.
3rd. Acute post-traumatic synovitis:
Synovial fluid collects few hours after injury or in the next day, this is associated with Q-wasting & painful limitation of movements. Sometimes it needs aspiration & resting the joint in POP.
4th. Acute non-traumatic synovitis:
Acute swelling without trauma or infection suggests crystal deposition disease as Gout or Pseudogout; this may need aspiration & biochemical study.5th. Chronic knee swelling: as with;
• Tuberculosis.• Rheumatoid arthritis.
• Osteoarthritis.
• Pigmented villonodular synovitis.
• Charcot’s disease (neuropathic joint).
Osteoarthritis of the knee (OA):
Knee is commonly involved by OA, which can be secondary or most commonly primary OA that usually affect people after 5Oyears and mostly occurs bilaterally.Clinical features: Special features include;
Bow legs (Genu varus) its very common.Pain on varus or valgus stress of the knee in the affected joint compartment
On knee movement PF-crepitus may be reproduced.
X-ray:
• All previously mentioned cardinal features are seen with special features like;
• Features mostly seen in the medial compartment.
• There is varus alignment between tibia & femur.
• Picture better seen in the standing films.
Treatment:
Conservative treatment?Operative treatment
Operative treatment
• Arthroscopic washout; to decompress the joint &wash the proteolytic enzymes & loose bodies.• Patellectomy.
• Realignment osteotomy; to correct varus deformity we do wedge resection valgus osteotomy of the upper tibia, this acts by
• • Redistribution of weight towards more healthy areas of the articular cartilage.
• • Venous decompression to decrease pain.
• • Correct deformity.
Operative treatment
• 4. Replacement arthroplasty.• 5. Arthrodesis.
Swellings around the knee joint:
• Prepatellar bursitis
• Infrapatellar bursitis
• Semimembranosus bursa
• Popletial cyst
• Popletial-artery aneurysm.
Swellings around the knee joint:
• Meniscal cyst.• Ganglion.
• Calcified deposits of collateral ligament.
• Prolapsed torn meniscus.
• Tumors like; lipoma, fibroma or osteochondroma.
Prepatellar bursitis;
There is inflammation of the bursa between the skin & the patella, the condition called house-made knee. The joint is normal but there is swelling of the bursa sometimes its tender, it may need aspiration & steroid injection or sometimes surgical excision. Always exclude rheumatoid & gouty arthritis.Infrapatellar bursitis;
It’s inflammation of the bursa between the skin & the patellar ligament, its also called clergyman’s knee.
Semimembranosus bursa;
Swelling of the bursa between the semi-membranosus tendon & the medial head of gastrocnemious muscle appears as a painless swelling on the posteromedial aspect of the knee, its fluctuant & gets larger when the knee is straight and decrease or disappear as the knee is flexed. If it’s symptomatic it needs surgical excision.• It’s a type of synovial fluid filled cystic swelling herniates posteriorly from the knee joint, its most common in OA of the knee and also in some cases of rheumatoid arthritis. Its painless fluctuant & at the level of the joint it does not affected by the knee movements. Treatment, always treat the cause specially OA as by high tibial osteotomy, which usually lead to cyst regression. Sometimes we do aspiration & local steroid injection or surgical excision of the cyst but those procedures usually associated with recurrence of the cystic swelling.
































































