Prosthodontics
A prosthesis is a replacement for a missing body part. In the dental field, it may be a fixed or removable appliance that replaces removed or non erupted teeth.
A fixed appliance, such as a cemented crown, is placed in the mouth and is not intended for removal.
A removable appliance is placed in and out of the mouth at the patient’s will.
Fixed Prosthodontics
A bridge is a prosthesis used to replace one or more teeth.Dental bridgework may be of a fixed or removable nature.
fixed bridge: cemented into the oral cavity and not removed by the patient; the number of teeth involved in the appliance determines the amount or number of units
A bridge has three components or structural parts.
Pontic : artificial tooth part of the bridge that replaces themissing tooth and restores function to the bite.
abutment: natural tooth (or teeth) that is prepared to hold or support the retaining part of the bridgework in position.
adjacent(nearby or adjoining) teeth: may be included
in units if they are involved in the bridge area.
Removable Dental Prostheses
Prostheses that the patient can take in and out at will are called removable prostheses. These devices include full mouth dentures, as well as a replacement for single teeth.
Types of removable dental prosthesis (removable denture):
• 1- complete denture(removable appliance composed of artificial teeth set in an acrylic base): full denture designed to replace the entire dentition of an upper or lower arch.Edentulous: a mouth without teeth.
• 2- partial denture: removable appliance, usually composed of framework, artificial teeth, and acrylic material; replaces one or more teeth in an arch.
Removable Dental Prostheses
3- immediate denture: denture prosthesis that is placed into the mouth at the time the natural teeth are surgically removed.
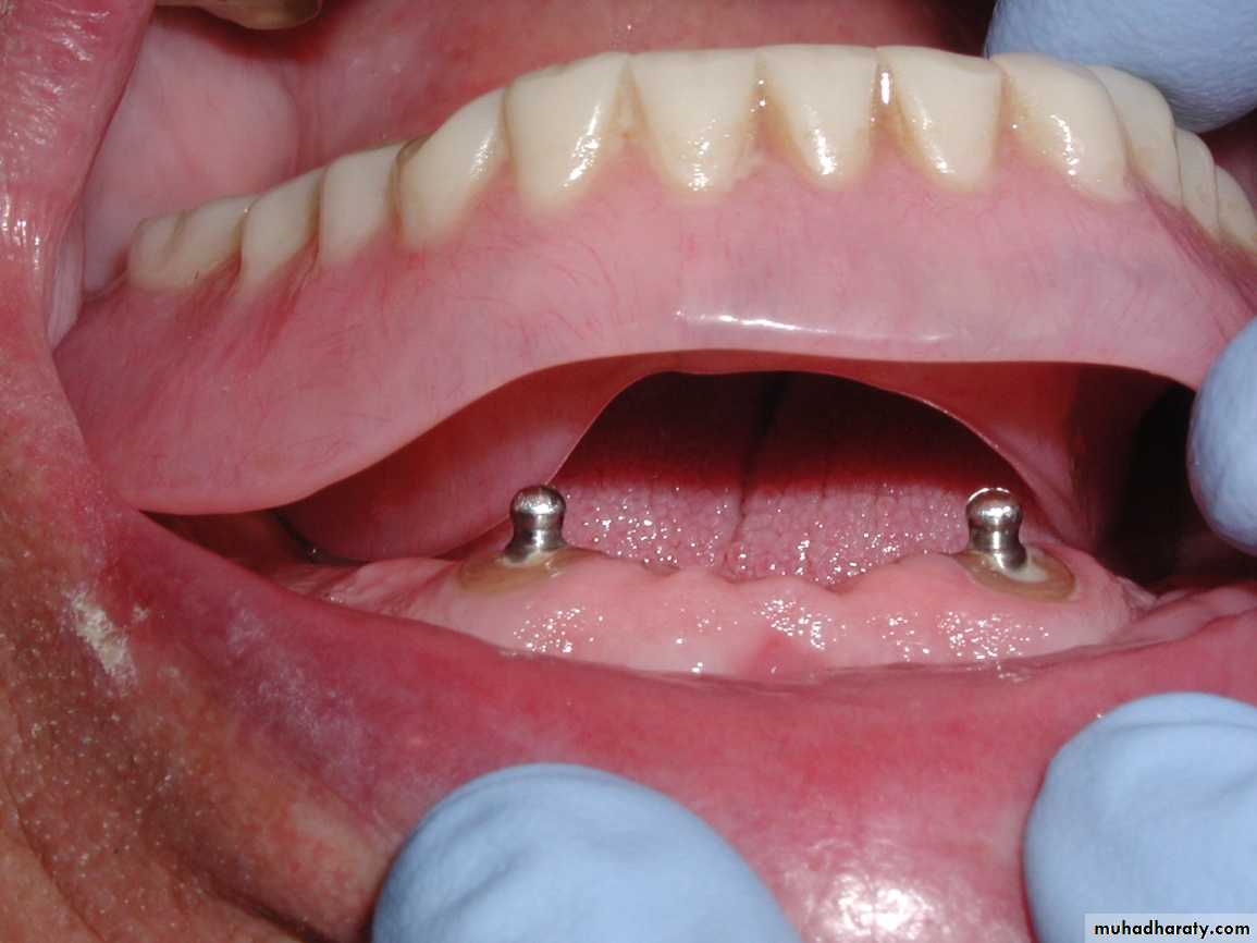
4- Overdenture: prosthetic denture that is prepared to fit and be secured on implant posts or on prepared retained roots.
Miscellaneous Prosthodontic Services
maxillary obturator(body cavity obstruction): palatalcover device worn in the mouth to cover genetic openings into the nasal area, such as a cleft palate.
sleep apnea and anti-snore forms(mandibular advancement splint): custom-made dental-positioning device for tongue and mouth position during sleep period to avoid tongue drop and oxygen cutoff
sport mouth guards: custom-made semi-hard forms to be inserted in times of contact sports; may be space-adjusted for orthodontic brace wear.















