Periodontics
PeriodonticsPeriodontology: is the field of dentistry that deals with the treatment of diseases of the tissues around the teeth, commonly called
the periodontium.
Anatomy of the Periodontium
The periodontium serves as an attachment apparatus and is composed of four major tissues:A. Gingival: fibrous, epithelial tissue surrounding a tooth; may be divided into three types:
Attached: the portion that is firm, dense, stippled, and bound to the underlying periosteum, tooth, and bone. The keratinized (hard or horny) tissue, also called masticatory mucosa, where the gingiva and mucous membrane unite, is indicated by the color changes from pink gingiva to red mucosa, and is called the mucogingival junction.
Marginal: the portion that is unattached to underlying tissues and helps to form the sides of the gingival crevice; also called the free margin gingiva and forms the gingival sulcus(
groove), approximately 1 to 3 mm in depth.
Papillary: the part of the marginal gingiva that occupies the interproximal spaces. Normally this tissue is triangular and fills the tooth embrasure area, and also is called the
interdental papilla.
B. Periodontal ligaments: bundles of fibers that support and retain the tooth in the alveolar socket.
C. Cementum: outer hard, rough surface covering of the root section of the tooth that permits the fiber attachment for tooth retention.
D. Alveolar bone process: compact bone that forms the tooth socket; supported by stronger bone tissue of the mandible and maxilla and accepts periodontal fiber attachment
Etiology of Periodontal Diseases
1-Plaque(plate):Teeth acquire an adhering biofilm or pellicle, which harbors
an assortment of bacterial pathogens and enables plaque to build up.
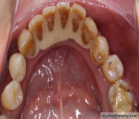
2- Calculus:With the addition of calcium and phosphorus salts found in saliva and mouth fluids to the plaque, a hard substance called calculus (also know as tartar) forms.
Symptoms of Periodontal Diseases
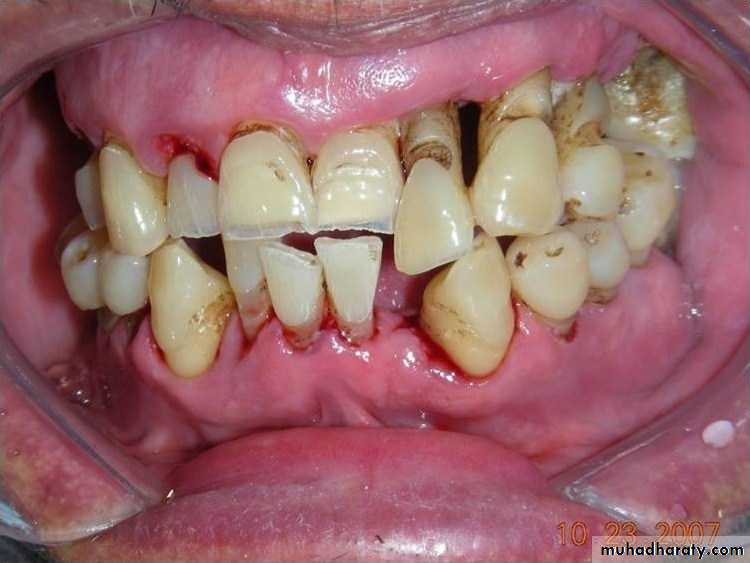
Erythema: The gingiva is red and appears inflamed.Edema: The tissue is overgrown from hyperplasia (excessive number of tissue cells) and hypertrophy(excessive cellular growth). The gingiva looks swollen and irritated.
Symptoms of Periodontal Diseases
Loss of stippling (spotting): Tone or tissue attachment loosens, and puffy gums become smooth and shiny.
Pocket formation: Gingiva is unattached,
Symptoms of Periodontal Diseases
Alveolar bone loss with exudate( passing out of pus): A foul odor is present as supporting bone resorbs; retention is lessening.Mobility: The tooth seems loose and moves under pressure because of loss of attachment.
Classification of Periodontal Diseases
Periodontal diseases can be divided into two main divisions:
Gingivitis: an inflammation of gingival tissue with no supporting tissue loss
Periodontitis: inflammation of gingival tissue with involvement of other tissues of the periodontiumRefractory periodontitis: The periodontitis progresses in spite of excellent patient compliance and provision of periodontal therapy; may be applied to all types of periodontitis.
Tissues that are painful, red, and sloughing are said to be desquamative(shedding, or scaling off).
Classification of Periodontal Diseases
Necrotizing periodontal diseases: Rapid gingival tissue destruction with bacterial invasion of connective tissue may be a manifestation of systemic disease, such as HIV infection. This category is subdivided into two divisions:Classification of Periodontal Diseases
Classification of Periodontal DiseasesNecrotizing ulcerative gingivitis (NUG): With foul odor and a loss of interdental papilla, sometimes called “trench mouth” .
Necrotizing ulcerative periodontitis (NUP):
With bone pain and rapid bone loss
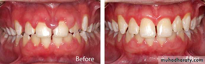
1- Nonsurgical Treatment of the Periodontium
a. tooth surface polishing:polishing surfaces to remove accumulated extrinsic(outer)stains on the tooth surface
This is done by handpiece application of nonabrasive rubber cups and points
with polishing paste or powder
Periodontal Treatment Methods
b. Scaling and root planing. Periodontal treatment requires specialized instruments, most of which are hand instruments, although ultrasonic, sonic, laser are also used.
Periodontal Treatment Methods
1. scaler:instrument with a sharpened blade to remove supragingival calculus deposits and stains.2. curette:instrument with longer shaft and working end with a rounded toe and back edge to access and remove subgingival deposits.
c. tooth stabilization:
splinting, wire ligation, or bonding of teeth to lessen tooth mobility.2- Surgical Treatment of the Periodontium:
gingivectomy: excision of the gingiva and pocket tissue areas. Necrotic tissue is excised and removed.gingivoplasty: instrumental or laser surgical contour of gingival tissue to remove excessive tissue or pellical edges.
Periodontal Treatment Methods
Bone Grafting
Some periodontal surgical techniques require bone tissues. Bone grafts involve transplants to restore bone from periodontal disease. Related terms are:Allograft: human bone graft from someone other than the patient.
Autograft: bone graft from another site in the same patient.

























