Neuroanatomy Lectures
Lecture 4Cerebrum
د. ليث ثامر خزعل
Cerebrum
Subdivisions of the CerebrumThe cerebrum is the largest part of the brain, situated in the anterior and middle cranial fossae of the skull and occupying the whole concavity of the vault of the skull. It may be divided into two parts: the diencephalon, which forms the central core, and the telencephalon, which forms the cerebral hemispheres.
The diencephalon
consists of the third ventricle and the structures that form its boundaries It extends posteriorly to the point where the third ventricle becomes continuous with the cerebral aqueduct and anteriorly as far as the interventricular foramina Thus, the diencephalon is a midline structure with symmetrical right and left halvesSuperior view of the cerebral hemispheres
Gross Features of diencephaloninferior surface
The only area exposed to the surface in the intact brain.
formed by hypothalamic and other structures, which include, from anterior to posterior, the optic chiasma, with the optic tract on either side; the infundibulum, with the tuber cinereum; and the mammillary bodies
superior surface of the diencephalon
is concealed by the fornixFornix is thick bundle of fibers that originates in the hippocampus of the temporal lobe and arches posteriorly over the thalamus to join the mammillary body
Sup wall formed by roof of the third ventricle
lateral surface of the diencephalon
bounded by the internal capsule of white matter
Medial surface
Since the diencephalon is divided into symmetrical halves by the slitlike third ventricle, it also has a medial surface. The medial surface of the diencephalon (i.e., the lateral wall of the third ventricle) is formed in its superior part by the medial surface of the thalamus and in its inferior part by the hypothalamus, These two areas are separated from one another by a shallow sulcus, the hypothalamic sulcus
The diencephalon can be divided into four major parts:
(1) the thalamus,
(2) the subthalamus,
(3) the epithalamus,
(4) the hypothalamus
Inferior surface of the brain showing parts of the diencephalon
Sagittal section of the brain showing the medial surface of the diencephalon
Thalamusa large ovoid mass of gray matter that forms the major part of the diencephalon
It is a region of great functional importance and serves as a cell station to all the main sensory systems (except the olfactory pathway)
The activities of the thalamus are closely related to that of the cerebral cortex and damage to the thalamus causes great loss of cerebral function
pulvinar: is the expanded posterior end of the thalamus
lateral geniculate body: a small elevation on the under aspect of the lateral portion of the pulvinar
The thalamus contain many important nuclei that will be discussed in future
As a relation,superior surface
is covered medially by the tela choroidea and the fornix, and laterally, it is covered by ependyma and forms part of the floor of the lateral ventricleThe inferior surface is continuous with the tegmentum of the midbrain
medial surface of the thalamusforms the superior part of the lateral wall of the third ventricle and is usually connected to the opposite thalamus by a band of gray matter, the interthalamic connection
lateral surface of the thalamus
is separated from the lentiform nucleus by the very important band of white matter called the internal capsuleFunction of thalamus
1- very important cell station that receives the main sensory tracts (except the olfactory pathway)2- plays a key role in the integration of visceral and somatic functions
Other functions will be discussed later
Subthalamus
inferior to the thalamus
between the thalamus and the tegmentum of the midbrain
craniomedially, it is related to the hypothalamus
Among the collections of nerve cells found in the subthalamus are
- cranial ends of the red nuclei- substantia nigra
- subthalamic nucleus involved in the control of muscle activity
- The subthalamus also contains many important tracts that pass up from the tegmentum to the thalamic nuclei; the cranial ends of the medial, spinal, and trigeminal lemnisci are examplesNuclei of the thalamus
Epithalamus
consists of the habenular nuclei and their connections and the pineal glandHabenular Nucleus
small group of neurons situated just medial to the posterior surface of the thalamusSagittal section of the brain showing the medial surface of the diencephalon
Pineal Gland (Body)
a small, conical structure that is attached by the pineal stalk to the diencephalonRelations:
- dorsally by splenium of corpus callosum- ventrally by midbrain
- sup, post part of 3rd ventricle
- inf, cerebellar vermis
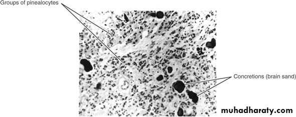
- consist of pinealocytes and the glial cells
- Calcifications may be found normally at age of 16
- cysts may be found (pineal cyst)
Photomicrograph of a section of the pineal gland stained with hematoxylin and eosin
Functions of the Pineal Gland
- an important endocrine gland capable of influencing the activities of the pituitary gland. the islets of Langerhans of the pancreas, the parathyroids, the adrenal cortex and the adrenal medulla, and the gonads.
- Melatonin and the enzymes needed for its production are present in high concentrations within the pineal gland
- pineal gland plays an important role in the regulation of reproductive function
Hypothalamusis that part of the diencephalon that extends from the region of the optic chiasma to the caudal border of the mammillary bodies
It lies below the hypothalamic sulcus on the lateral wall of the third ventricle
Physiologically, there is hardly any activity in the body that is not influenced by the hypothalamus
The hypothalamus controls and integrates the functions of the autonomic nervous system and the endocrine systems and plays a vital role in maintaining body homeostasis. It is involved in such activities as regulation of body temperature, body fluids, drives to eat and drink, sexual behavior, and emotion
Relations of the Hypothalamus
Anterior to the hypothalamus: preoptic areaCaudally, the hypothalamus merges into the tegmentum of the midbrain
Superiorly is the thalamus
Inferolaterally lies the subthalamic region
When observed from below, the hypothalamus is seen to be related to the following structures, from anterior to posterior: (1) the optic chiasma, (2) the infundibulum and the tuber cinereum, and (3) the mammillary bodies
Optic Chiasma
The optic chiasma is a flattened bundle of nerve fibers situated at the junction of the anterior wall and floor of the third ventricleTuber Cinereum
a convex mass of gray matter, as seen from the inferior surfaceIt is continuous inferiorly with the infundibulum
Mammillary Bodies
two small hemispherical bodies situated side by side posterior to the tuber cinereumVentricular cavities of the brain.
A: Lateral view.B: Superior view
Superior view of the cerebral hemispheres.
Lateral view of the right cerebral hemisphereLateral view of the right cerebral hemisphere dissected to reveal the right insula
General Appearance of the Cerebral Hemispheresthe largest part of the brain; they are separated by a deep midline sagittal fissure, the longitudinal cerebral fissure
The fissure contains the sickle-shaped fold of dura mater, the falx cerebri, and the anterior cerebral arteries.
great commissure, the corpus callosum, connects the hemispheres across the midline
A second horizontal fold of dura mater separates the cerebral hemispheres from the cerebellum and is called the tentorium cerebelli
To increase the surface area of the cerebral cortex maximally, the surface of each cerebral hemisphere is thrown into folds or gyri, which are separated from each other by sulci or fissures
each hemisphere are devided into lobes, which are named according to the cranial bones under which they lie.
The central, parieto-occipital, lateral and calcarine sulci are boundaries used for the division of the cerebral hemisphere into frontal, parietal, temporal, and occipital lobes
Main Sulci
The central sulcus(fissure of Rolanad) it begin aproximately midway between frontal and occopital pole and terminates just above the lateral sulcus, separate between frontal and parietal, motor (area 4) and sensory (area 1-3), precentral and postcentral gyrus
Clinically it is related to anterior (frontal) branch of the middle meningeal artery which is important as a common site of injury during head trauma resulting in extradural hematoma.
The lateral sulcus,
a deep cleft found mainly on the inferior and lateral surfaces of the cerebral hemisphere, divides into the anterior horezontal ramus (anterior) and the anterior ascending ramus (ascending) and continues as the posterior ramusAnterir to the anterior horezontal ramus (anterior) is the pars orbitalis, between the anterior horezontal ramus (anterior) and the anterior ascending ramus (ascending) is the pars triangularis (motor speech area – brochas area), posterior to the anterior ascending ramus (ascending) is pars opercularis
Clinically it is related to middle cerebral artery
An area of cortex called the insula lies at the bottom of the deep lateral sulcus and cannot be seen from the surface unless the lips of the sulcus are separated
The parieto-occipital sulcus
begins on the superior medial margin of the hemisphere about 2 inches (5 cm) anterior to the occipital pole, It passes downward and anteriorly on the medial surface to meet the calcarine sulcus forming a Y shaped appearanceThe calcarine sulcus
is found on the medial surface of the hemisphere
It commences under the posterior end of the corpus callosum and arches upward and backward to reach the occipital pole
The calcarine sulcus is joined at an acute angle by the parieto-occipital sulcus
Superior view of the cerebral hemispheres
Lateral view of the right cerebral hemisphere
Lateral view of the right cerebral hemisphere
Lateral view of the right cerebral hemisphere showing the main sulci. B: Medial view of the right cerebral hemisphere showing the main sulci.
Lobes of the Cerebral Hemisphere
The frontal lobeoccupies the area anterior to the central sulcus and superior to the lateral sulcus
(precentral gyrus , superior frontal gyrus , middle frontal gyrus and inferior frontal gyrus )
The parietal lobe
occupies the area posterior to the central sulcus and superior to the lateral sulcus; it extends posteriorly as far as the parieto-occipital sulcus
(postcentral gyrus, superior parietal lobule (gyrus), and the inferior parietal lobule (gyrus).)
The superior and inferior parietal gyri are separated by the intra-parietal sulcus
The temporal lobe
occupies the area inferior to the lateral sulcus, superior and middle (inferior) temporal sulcus devide the lobe into superior, middle, and inferior temporal gyri
The occipital lobe the occipitotemporal sulcus forms the medial and lateral occipitotemporal gyri (on the inferior surface of the cerebrum)
The occipital lobe contain the lunate sulcus (behind which is the visual area –area 17) on superolateral sulcus
Medial and Inferior Surfaces of the Hemisphere
many important areas that should be recognizedThe corpus callosum, which is the largest commissure of the brain, forms a striking feature on this surface
cingulate gyrus begins beneath the anterior end of the corpus callosum and continues above the corpus callosum until it reaches its posterior end, The gyrus is separated from the corpus callosum by the callosal sulcus. The cingulate gyrus is separated from the superior frontal gyrus by the cingulate sulcus
Inferior surface of the frontal lobe (orbital surface) devided by orbital sulci (H- shaped sulci) into anterior orbital, posterior orbital, lateral orbital and medial orbital gyei
Medial view of the cerebral hemisphere
The precuneus:
is an area of cortex bounded anteriorly by the upturned posterior end of the cingulate sulcus and posteriorly by the parieto-occipital sulcusThe cuneus:
is a triangular area of cortex bounded above by the parieto-occipital sulcus, inferiorly by the calcarine sulcus, and posteriorly by the superior medial margin.
The collateral sulcus
is situated on the inferior surface of the hemisphere. It runs anteriorly below the calcarine sulcus.
lingual gyrus
Between the collateral sulcus and the calcarine sulcus.
Anterior to the lingual gyrus is the parahippocampal gyrus; the latter terminates in front as the hooklike uncus















