Dr. Thanaa Al-Khishali
THE EARVESTiBULOAUDITORY SYSTEMMajor divisions of the ear, The external, middle, and internal region of the right ear
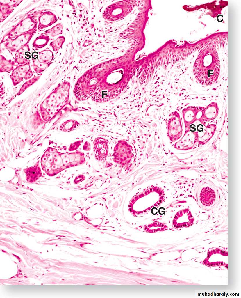
A section through the external auditory meatus,
(SG) sebaceous gland, (CG)ceruminous gland, (F) hair follicle,
(C) cerumen
Internal ear, the bony labyrinth, housing the membranous labyrinth which includes the saccule, utricle, and semicircular ducts(equilibrium) and the cochlea for the sense of (hearing)
Structure of the cochlea
Structure of the macula
Scanning electron micrograph of the macula showing the otoliths
Cochlea
CoCchleaCCochlear duct and spiral ganglion. (SO) spiral organ, (CD) cochlear duct filled with endolymph produced by stria vascularis (STV), B bone. (SV) scala vestibuli, and(ST) scala tympani are filled with perilymph. (SG) spiral ganglion























