بسم الله الرحمن الرحيمIN THE NAME OF GOD, THE BENEFICENT, THE MERCIFUL
ENDOCRINE SYSTEM
PROF.DR. HUDA AL-KHATEEBLec. 2
OBJECTIVES
To study embryology, histology and ultrastructure of the pituitary gland.Also to through light on its functions.
Pituitary gland (Hypophysis)
It weighs 0.5gm in maleIt is slightly heavier in non-
Pregnant
much heavier in pregnant women
Pituitary gland (Hypophysis)
It is enclosed in the sella turcica of the sphenoid bone
(sella turcica is an important radiological land mark).Pituitary gland (Hypophysis)
double embryonic originoral ectoderm –
"Rathke's pouch".
adenohypophysis.
developing nervous system –
neurohypophysis.
Pituitary gland (Hypophysis)
Adenohypophysis – subdivided into:Pars distalis (Anterior lobe)
Pars tuberalis ( Cranial part)
Pars intermedia (Intermediate lobe)
Neurohypophysis – subdivided into:
Pars nervosa (Posterior lobe)
Stalk (Infundibulum)
Pituitary gland (Hypophysis)
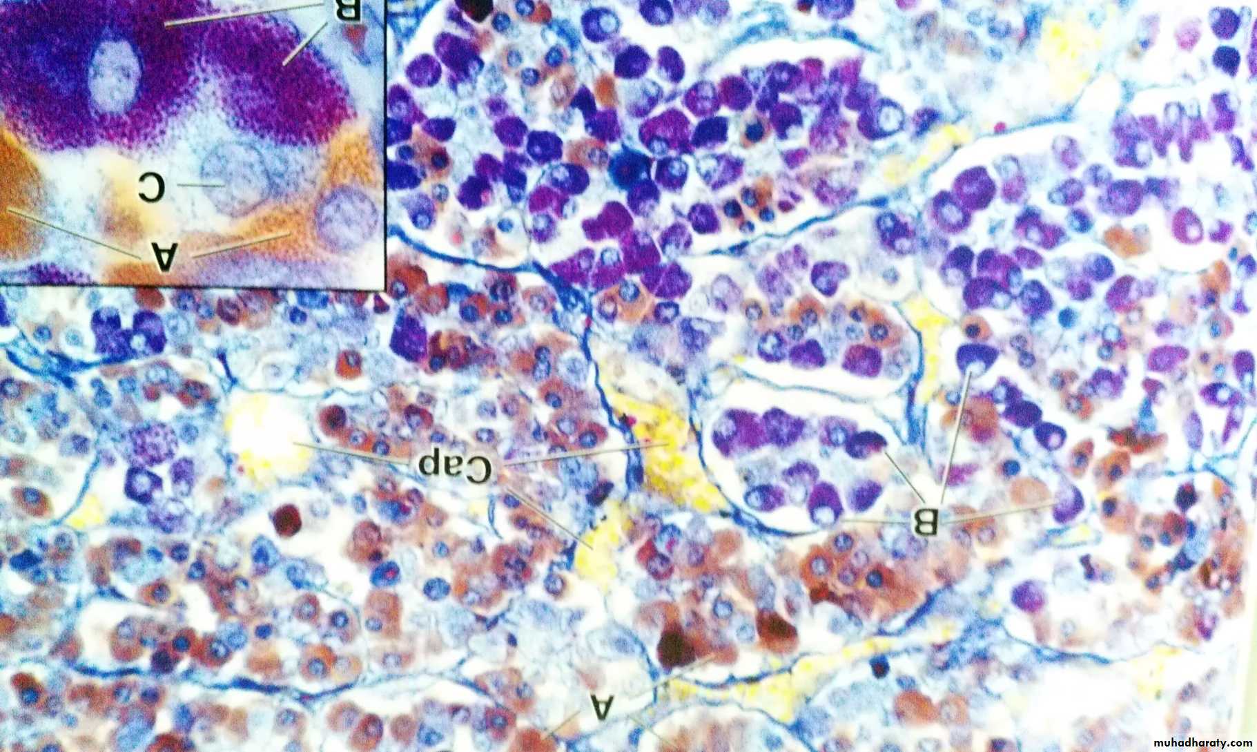
Pars distalis (Ant. Lobe):Chromophobes (50%)
Chromophils (50%)Acidophils (40%)
Basophils (10%)
Pituitary gland (Hypophysis)
Acidophils – subgrouped into:
Somatotrophs
growth hormone
Mammotrophs
Prolactin
luteotrophic hormone
Pituitary gland (Hypophysis)
BasophilsGonadotrophs
Follicular – stimulating hormone (FSH)
Leuteinizing hormone (LH)
Interstitial cell – stimulating hormone (ICSH)
Thyrotrophs
Thyroid stimulating hormone (TSH)
Pituitary gland (Hypophysis)
Corticotrophsadreno-cortico-trophic hormone (ACTH).
β-lipotropin hormone
(β-LPH),α-melanocyte-stimulating hormone (α-MSH)
β-endorphins
Pituitary gland (Hypophysis)
Pars Intermedia:
α-melanocyte-stimulatinghormone (α-MSH)
Pituitary gland (Hypophysis)
Pars Tuberalis:gonadotropins (FSH & LH).
Pituitary gland (Hypophysis)
Neurohypophysis: composed of:Pars nervosa (posterior lobe)
Infundibulum
"hypothalamo-
hypophyseal tract”Herring bodies
Pituitary gland (Hypophysis)
paraventricular nucleiOxytocin
Supraoptic nuclei
VasopressinADH
















