Digestive Tract
OBJECTIVESThese lecture notes should help the student to:
- Name the parts of the digestive tract and the primary function of each.
- Describe the structure of the lip.
- Describe the structure of the tongue including the types of lingual papillae, taste buds, and lingual glands.
- Describe the structure of the teeth and gingiva.
- Describe the structure of different types of salivary glands.
- Compare mucous and serous secretory cells in terms of their structure, staining, and secretions.
- Distinguish between the major salivary glands based on the content and distribution of serous and mucous cells.
- Compare the digestive tract organs in terms of the four layers comprising their walls and relate any structural variations to differences in organ function.
- Know the distinguishing regional structure of each digestive tract component.
- Name the secretory product(s), and the distinguishing structural features of each secretory cell type in the digestive tract mucosa.
- List the features of the small intestine that promote nutrient absorption.
د . فـرائـد Lec.1
THE DIGESTIVE SYSTEMThe digestive system consists of the digestive tract oral cavity, esophagus, stomach, small and large intestines, rectum, and anus” and its associated glands ”salivary glands, liver, and pancreas”.
The first step in the complex process known as digestion occurs in the mouth, where food is moistened by saliva and ground by the teeth into smaller pieces; saliva also initiates the digestion of carbohydrates. Digestion continues in the stomach and small intestine, where the food ”transformed into its basic components (eg , amino acids, monosaccharides, free fatty acids, monoglycerides)”is absorbed. Water absorption occurs in the large intestine, causing the undigested contents to become semisolid.
THE ORAL CAVITY
The oral cavity is lined with a protective, stratified squamous epithelium, keratinized or nonkeratinized depending on the region. The keratin layer protetcts the oral mucosa from damage and is present mostly in the hard palate and gingiva (gum). Nonkeratinized squamous epithelium covers the soft palate, lips, cheeks, and the floor of the mouth.
The oral cavity is divided into:
The vestibule: is just internal to the lips and cheeks, extending as far as the teeth.
The oral cavity proper: is behind the teeth, having a roof comprised of the hard and soft palates and a floor from which the tongue projects.
Posteriorly, the oral cavity opens into the oropharynx.
The lips:
The outer surface of each lip is covered with skin that contains hair follicles, sebaceous glands, and sweat glands.
The red free margin (vermilion) of the lip is covered with a modified skin which represents a transition from skin to mucous membrane. The connective tissue (c.t.) papillae of the dermis beneath it are numerous, high and vascular and as a result, the blood in their capillaries readily shows through the transparent epidermis to make the lips appear red.
The inner surface of the lip is lined by mucous membrane. The epithelium of this surface is thicker than the epidermis covering the outer surface of the lip and is of the stratified squamous non-keratinized type. High papillae of the c.t. lamina propria extend into it. Small clusters of labial glands are embedded in the lamina propria and connected with the surface by means of little ducts.
The substance of the lips consists of striated muscle fibers (the orbicularis oris muscle).
The tongue:
The tongue is a mass of striated muscle covered by mucous membrane .The muscle is arranged in bundles running in the vertical, transverse and longitudinal directions, and crossing one another at right angles. This arrangement gives the tongue a great mobility. The mucous membrane consists of a thick stratified squamous epithelium and underlying lamina propria containing many blood vessels, lymphatics and nerve fibers. The mucous membrane on the lower surface of the tongue is smooth, whereas its dorsal surface is irregular, and covered anteriorly with numerous epithelial elevations called papillae. The posterior one-third of the dorsal surface is separated from anterior two-thirds by a V-shape line (Sulcus Terminalis). Behind this V-line, the dorsal surface present eminences composed mainly of aggregations of lymphatic nodules in the lamina propria beneath the epithelium (Lingual tonsils).
Papillae: are elevations of the oral epithelium and lamina propria (are mucosal projections).
Types of lingual papillae:
1-Filiform papillae: they have an elongated, conical shape. They are the most numerous and distributed over the dorsum of the anterior two thirds of the tongue. Each papilla has a thin core of c.t. lamina propria and is covered by a pointed cap of stratified squamous epithelium which is cornified (keratinized). These papillae do not contain taste buds.2-Fungiform papillae: are fewer and larger than the filiform and are scattered irregularly among them. They have narrow stalk (base) and a dilated upper part with smooth surface in the shape of mushroom. They frequently contain taste buds on their upper surfaces, and they are very vascular.
3-Circumvallate papillae: are the largest and least numerous; only 7 to 12 in number and are arranged along the V-line. They are large circular papillae whose flattened surfaces extend above the other papillae. They are surrounded by a deep groove (trench).They have many taste buds on their lateral surfaces. The ducts of von Ebner's glands (serous gland) open into the bottom of trench and maintain a continuous flow of fluid over the taste buds and this is important in removing food particles from the vicinity of the taste buds so that, they can receive and process new gustatory stimuli. Von Ebner's glands secrete a lipase that probably prevents the formation of hydrophobic layer over the taste buds that would hinder their function. Lingual lipase is active in the stomach and can digest up to 30% of dietary triglyceride.
4-Foliate papillae: are rudimentary in human .They consist of two or more parallel ridges and furrows. They are located on the dorsolateral surface of the tongue. Ducts from serous glands drain into the bases of the furrows. Numerous taste buds are present in the walls of the furrows.
Taste Buds:-
They are specialized sensory receptors (chemoreceptors). They are located in the epithelium of the tongue (on the apical surfaces of fungiform papillae and on the lateral surfaces of circumvallate and foliate papillae). They are also present on the soft palate, pharynx & epiglottis. The taste buds are oval in shape, pale in staining (as compared to surrounding epithelium) & they are intra-epithelial & traverse the whole thickness of epithelium (extend from basement membrane to the surface). At the apical part, it opens in a very small/minute opening called ″Taste pore″ or ″Gustatory pore″. There are 50-100 cells in each bud. The following types of cells can be distinguished in the taste bud:
1- Supporting cells
Their function is supporting for taste buds. They are slender cells extending from the basal lamina to the taste pore where they have numerous microvilli. They are dark because they contain large number of fine filaments in the cytoplasm. Also they have granules in the apical part contain glycosaminoglycans.
2-Taste cells (gustatory cells)
They are light because their cytoplasm contains few filaments. Also the cells have apical microvilli. They are characterized by the presence of numerous synaptic vesicles in their basal cytoplasm. Dendritic processes of sensory nerves are found in close proximity to these vesicles.
3-Undifferentiated basal cells
They are found in the base of the taste buds. They are probably the precursor of the other cells.
Turnover of these cells is rapid, every 10-14 days.
Lingual glands:- are glands of the tongue (minor salivary glands). They can be divided into 3 main groups according to their structure & location.
1-A paired group of mixed mucous & serous glands:- are located in the anterior part of the tongue near the apex. They are embedded in the muscle but are closer to the ventral than to the dorsal surface; they have several ducts which open on the ventral surface.
2- Von Ebner’s glands:- are located in the region of the circumvallate papillae. They are pure serous glands. Their ducts open into the trenches of circumvallate papillae. 3-Mucous glands of the root of the tongue:- are the most numerous. They lie in the posterior third of the tongue. Their ducts open into the crypts of lingual tonsils and into the depressions between the tonsils.
Teeth:-
In adult human, the 32 permanent teeth are disposed in two bilaterally symmetric arches in the maxillary & mandibular bones. There are 8 teeth in each quadrant: 2 incisors, 1 canine, 2 premolars & 3 permanent molars. Twenty of the permanent teeth are preceded by deciduous (baby) teeth. The permanent molars have no deciduous precursors.A tooth has 3 anatomical divisions:-
1. Crown: - the portion that projects above the gingiva (gum).
2. Root(s):- one or more below gingiva that hold the teeth in bony sockets called alveoli, one for each tooth.
3. Neck (cervix):- where the crown & the root meet.
Structurally, a tooth has the following components:-
Enamel:- is the hardest substance in the body. It consists of about 95% ca salts (mainly hydroxyapatite). Structurally it is composed of enamel rods (or prisms) that are bound together by interrod enamel. Both interrod enamel & enamel rods are formed of hydroxyapatite crystals; they differ only in the orientation of the crystals. Each rod extends through the entire thickness of the enamel layer. Enamel is produced by cells of ectodermal origin (ameloblasts), whereas most of the other structures of the teeth derive from mesodermal or neutral crest cells. Ameloblasts secrete the enamel matrix. Ameloblasts degenerate when the tooth erupts, after which time the enamel cannot be replaced by new synthesis. The enamel is acellular after tooth eruption & therefore cannot repair itself.
2. Dentin(e):- is a calcified tissue similar to bone but harder because of its higher content of ca salts (70% of dry weight) in the form of crystals of hydroxyapatite. It forms the bulk of the tooth & gives the main strength to it. It differs from bone in that it contains no cells & no lacunae but has only processes of cells (odontoblasts) whose bodies lie adjacent to the dentin in the pulp cavity. Odontoblasts have slender branched cytoplasmic extensions that penetrate perpendicularly through the width of the dentin. These odontoblasts processes are present in small canals called dentinal tubules. Odontoblasts produce the organic matrix of dentin only at the dentinal surface. Dentin, unlike enamel, forms throughout the life. In contrast to bone, dentin persists as a mineralized tissue for a long time after destruction of the odontoblasts.
3. Cementum:- is a bone-like tissue secreted by cells of the periodontal ligament which lines the tooth socket. The cementum forms a protective covering over the dentin & serves to attach the tooth to the surrounding structures. This tissue covers the dentin of the root & is similar in composition to bone. It is thicker in the apical region of the root & in this area; there are cells with the appearance of the osteocytes, the cementocytes. Like osteocytes, they are encased in lacunae; unlike those cells, however, cementocytes do not communicate through canaliculi; & their nourishment comes from the periodontal ligament. Like bone tissue, cementum is labile & reacts by resorption or production of a new tissue according to the stresses to which it is subjected. Continuous production of the cementum in the apex compensates for the physiologic wear of the teeth & maintains close contact between the roots of the teeth & their sockets. When the periodontal ligament is destroyed the cementum undergoes necrosis & may be resorbed.
4. Pulp:- the pulp fills the pulp cavity. The shape of the pulp cavity is quite similar to that of the tooth in which it occurs. It consists of an expanded pulp chamber & a narrow pulp canal or root canal in the each root. A root canal communicates with periodontal tissues through the apical foramen. The dental pulp is essential to the nourishment & vitality of the tooth. Dental pulp consists of a loose c.t. Its main components are odontoblasts, fibroblast, macrophages, thin collagen fibrils & a ground substance containing glycosaminoglycans. Pulp is a highly innervated & vascularized tissue. It contains both myelinated & unmyelinated nerve fibers.
5.Periodontal ligament:- is composed of a special type of dense c.t. whose fibers penetrate the cementum of the tooth & bind it to the bony walls of the socket, permitting limited movement of the tooth. It serves as the periosteum of the alveolar bone. In the periodontal ligament, there are fibroblasts, osteoblasts & cementoblasts. It has a high protein turnover rate & high rate of the collagen renewal. Protein or vitamin C deficiency (scurvy) may cause atrophy of this ligament, resulting in the loosening or loss of teeth.
Periodontium:-
The periodontium comprises the structures responsible for maintaining the teeth in the maxillary & mandibular bone.
It consists of:-
1- Cementum
2- Periodontal ligament (membrane)
3- Alveolar bone
4-Gingiva (gum)
Alveolar bone:- this portion of bone is in immediate contact with the periodontal ligament. It is an immature type of bone (primary=woven bone) in which the collagen fibers are not arranged in the typical lamellar pattern of adult bone. Many of the collagen fibers of the periodontal ligament are arranged in bundles that penetrate this bone & the cementum, forming a connecting bridge between these structures.
Gingiva(gum):- is a mucous membrane firmly bound to the periosteum of the maxillary or mandibular bone. It is composed of stratified squamous epithelium & lamina propria containing numerous connective tissue papillae.
Surface of the tongue on the region close to its V-shaped boundary, between the anterior and posterior portions. Note the lymphoid nodules (lingual tonsil), glands, and papillae.
Photomicrograph (A) and drawing (B) of a taste bud, showing the taste cells and the taste pore. The drawing also illustrates several cell types (basal, taste, and supporting) and afferent nerve fibers that, upon stimulation, will transmit the sensory information to the central gustatory neurons. A: Hematoxylin and eosin (H&E) stain.
Diagram of a sagittal section from an incisor tooth in position in the mandibular bone. (Redrawn and reproduced, with permission, from Leeson TS, Leeson CR: Histology, 2nd ed. Saunders, 1970.)
Histology
د . فـرائـد Lec.2Salivary glands:-
They are exocrine glands in the mouth that produce saliva, which has digestive, lubricating & protective functions. There are 2 groups of the salivary glands; the major salivary glands include the parotid, submandibular(submaxillary) & sublingual glands; and the minor salivary glands include labial, buccal, molar, lingual & palatine glands. Two of the major glands (parotid & submandibular) are located outside the oral cavity, while the minor salivary glands are chiefly in the submucosa of the different parts of the wall of the oral cavity. The major glands secrete only in response to certain stimuli; mechanical, chemical or olfactory. The minor salivary glands seem to secrete continuously.
The major salivary glands are surrounded by capsule of c.t. rich in collagen fibers. The capsule is well developed in parotid, of average thickness in submandibular & very thin in sublingual. From the capsule septa (trabeculae) of c.t. penetrate the gland, dividing it into lobes & lobules. Vessels & nerves enter the gland at the hilum & gradually branches into the lobules. A rich vascular & nervous plexus surrounds the secretory & ductal components of each lobule. The alveoli (acini) are surrounded by basal lamina continuous with that of the ducts. Myoepithelial cells lie between the basal lamina & the epithelial cells of alveoli & also of the intercalated ducts. Myoepithelial cells surrounding the secretory portion are well developed & branched (called basket cells), whereas those associated with intercalated ducts are spindle –shaped & lie parallel to the length of the duct.
Serous alveoli (acini):- consist of pyramid-shaped cells arranged around a small lumen. The serous cells exhibit characteristics of polarized protein-secreting cells. Their apical cytoplasm is crowded with secretory granules. Serous cells have spherical nucleus & the surrounding basal cytoplasm contains numerous profiles of rough endoplasmic reticulum (stains deeply basophilic). Adjacent secretory cells are joined together by junctional complexes. These junctional complexes may be located well below the apical margin, in which case intercellular secretory canaliculi are formed. These canaliculi increase the area available for the discharge of serous secretions. The luminal (apical) surface of the serous cells bears many short microvilli. Deep to the junctional complexes, the lateral margins show folds that interdigitate with those of adjoining cells→cell boundaries are indistinct.
Mucous alveoli(acini):- are larger than the serous acini. Mucous cells are usually cuboidal to the columnar in shape. Their nuclei are flattened & pressed against the base of the cell. They exhibit the characteristics of mucus-secreting cells, containing glycoprotein (mucins) important for the moistening & lubricating functions of saliva. They are pale in staining. The mucous acini have larger & more apparent lumen. Mucous cells are most often organized as tubules. The cell boundaries are quite distinct.
Mixed alveoli(acini):- are typically mucous alveoli surrounded or capped by one or more groups of the serous cells, forming a crescent-shaped serous demilune.
The parotid gland is purely serous gland. The submandibular gland is a mixed type, being composed predominantly of serous acini. The sublingual gland is also a mixed gland but predominantly mucous, most of the secretory acini are mucous & mixed.
Salivary gland ducts:- the secretory acini empty into the intercalated ducts, lined by simple cuboidal epithelium. Several of these short ducts join to form striated ducts, lined by simple columnar epithelium, characterized by basal striations (radial striations) that extend from the bases of the cells to the level of the nuclei. When viewed in the electron microscope, the striations are seen to consist of infoldings of the basal plasma membrane with numerous elongated mitochondria that are aligned parallel to the infolded membranes; this structure is characteristic of ion-transporting cells. Intercalated & striated ducts are also called intralobular ducts because of their location within the lobule.
The striated ducts of each lobule converge & drain into ducts located in the c.t. septae separating the lobules, where they become interlobular or excretory ducts. These drain into the main duct of each gland, which empties into the oral cavity.
Saliva: - is a hypotonic solution produced at a rate of about 1litre/day. It lubricates, moistens & cleanses the oral cavity by means of its water or glycoprotein (mucus) content. It acts as a solvent for substances that stimulate the taste buds. It initiates digestion of carbohydrates by the action of salivary amylase (produced mainly by the serous acini) and digestion of triglycerides by lipase. It controls bacterial flora by the action of lysozyme, lactoferrin & IgA, as well as by its cleansing action. The salivary enzyme lysozyme secreted by the serous cells that form the demilunes in submandibular and sublingual glands, hydrolyzes the cell walls of certain bacteria & inhibits their growth in the oral cavity. Lactoferrin secreted by acinar & intercalated duct cells, binds iron, a nutrient necessary for bacterial growth & inhibits their growth. The immunoglobulins in saliva, primarily the IgA produced by the plasma cells in the c.t. of the glands, forms a complex with a secretory component synthesized by the serous acinar, intercalated & striated duct cells. The IgA-secretory piece complex released into the saliva is resistant to enzymatic digestion & constitutes an immunologic defense mechanism against pathogens in the oral cavity.
Human saliva consists of secretions from the parotid glands 25%, the submandibular gland 70% & the sublingual 5%.
Parasympathetic stimulation (e.g. smell & taste of food) provokes a copious watery secretion with little organic content.
Sympathetic stimulation (e.g. fear& stress) produces small amounts of viscous saliva, rich in organic material.
Pharynx:-
It is the posterior continuation of the oral cavity where the respiratory & alimentary passages fuse & cross. It extends from the level of the base of the skull to the level of the cricoid cartilage where it becomes continuous with the oesophagus. It is simple transport tube through which ingested food is transmitted without undergoing significant metabolic change. It has 3 parts:-
1. Upper part - Nasopharynx
2. Middle part- Oropharynx.
3. Lower part - Laryngeal pharynx
The wall of the pharynx is composed of the following layers :- (starting from inside)
1.Mucous membrane epithelium
Lamina propriaIt is lined in its upper part by pseudostratified columnar ciliated epithelium with goblet cells (respiratory epithelium). The lower two parts are lined by stratified squamous non-keratinized epithelium continuous with that of the oesophagus.
The lamina propria consists of c.t. containing many lymphocytes. In its upper part there are definite lymph nodules (pharyngeal tonsil), in the middle part there are also lymph nodules (palatine tonsils). Numerous mucous & mixed glands are present.
2.The muscular layer:- consists of striated muscles (constrictors of the pharynx).
3. The outer fibrous layer (adventitia):- consists of dense c.t. continuous with surrounding structures.
General structure of digestive tract:-
The digestive tract from the oesophagus to the anus has certain common structural characteristics. Its wall is composed of 4 principal layers, (starting from inside):-
1.The mucosa(mucous membrane):- this consists of :-
a)The lining epithelium:- the type of epithelium varies in the relation to the function of the part of the digestive tract. It could be protective, absorptive or secretory. The main functions of the epithelial lining of the digestive tract are:-
1) To provide a selectively permeable barrier between the contents of the tract & the tissues of the body,
2) To facilitate the transport & digestion of the food,
3) To promote the absorption of the products of the digestion,
4) To produce hormones that affect the activity of the digestive system.
Cells in this layer produce mucus for lubrication & protection.
b) Lamina propria:- consists of loose c.t. rich in blood & lymph vessels & smooth m., may also contain lymph nodules & glands(gastric glands & intestinal glands). In the lamina propria, there is a zone rich in macrophages & lymphoid cells located just below the epithelium. Some of these lymphoid cells actively produce antibodies. These antibodies are mainly IgA & are bound to a secretory protein produced by the epithelial cells of the intestinal lining & secreted into the intestinal lumen. This complex protects against viral & bacterial invasion (form the first line of immunological defense against bacterial & viral invasion).
c) Muscularis mucosae:- consists of smooth m., usually arranged in 2 layers, an inner circular & an outer longitudinal. It separates the mucosa from the submucosa. The muscularis mucosae promotes the movement of the mucosa independent of other movements of the digestive tract, increasing its contact with the food.
2. The submucosa:- consists of dense c.t. with many blood & lymph vessels. A plexus of nerve fibers with some ganglion cells are present in the submucosa. This is called Meissner's plexus (submucous nerve plexus). It may also contain glands (oesophageal & Brunner's gland) & lymphoid tissue.
3.The muscularis externa:- this usually consists of an inner circular & an outer longitudinal layer of smooth m. A plexus of nerve fibers associated with numerous ganglion cells are situated chiefly between the circular & longitudinal layers. This plexus is called Auerbach's plexus or Myenteric nerve plexus. The contractions of the muscularis generated and coordinated by nerve plexuses, propel and mix the food in the digestive tract. These plexuses are composed mainly of nerve cell aggregates (multipolar visceral neurons) that form small parasympathetic ganglia.
At the sphincters the circular layer is greatly increased. Localized thickenings of muscle in the bowel wall act as valves & are called sphincters. Sphincter contraction occludes the lumen & thus prevents the passage of the luminal contents.
The pyloric sphincter:- is the most important sphincter & is located at the junction between the stomach & duodenum. By contracting, it delays stomach emptying, hereby permitting continued food break down in the stomach.
The oesophagogastric sphincter(cardiac sphincter):- is located between the lower oesophagus & proximal stomach. It prevents reflux of gastric contents into oesophagus.
The ileocaecal valve:- is situated between the terminal ileum & caecum. It delays discharge of ileal contents into the caecum.
The internal anal sphincter:- is located at the upper end of the anal canal. It retains fecal waste material in the rectum until controlled defecation.
The pharyngoesophageal sphincter:- is a physiological sphincter (no significant increase in the number of circular muscle fibers).
4.The serosa or adventitia:- consists of loose c.t. rich in blood & lymph vessels, covered in those portions of the tube that are suspended by mesentery with simple squamous epithelium (mesothelium). In other parts, the adventitia consists only of loose c.t .
Figure1. The structure of submandibular (submaxillary) gland. The secretory portions are composed of pyramidal serous (light blue) and mucous (light yellow) cells. Serous cells are typical protein-secreting cells, with rounded nuclei, accumulation of rough endoplasmic reticulum in the basal third, and an apex filled with protein-rich secretory granules. The nuclei of mucous cells, flattened with condensed chromatin, are located near the bases of the cells. The short intercalated ducts are lined with cuboidal epithelium. The striated ducts are composed of columnar cells with characteristics of ion-transporting cells, such as basal membrane invaginations and mitochondrial accumulation. Myoepithelial cells are shown in the serous secretory endpieces.
Figure 2. Schematic structure of a portion of the digestive tract with various components and their functions. (Redrawn and reproduced, with permission, from Bevelander G: Outline of Histology, 7th ed. Mosby , 1971.)
Histology
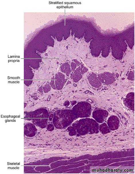
د . فـرائـد Lec.3The oesophagus:-
It is a straight muscular tube that transports food from the pharynx to the stomach. It is about 25cm long. Its wall consists of the usual 4 layers:-1. The mucosa:-
a) It is lined by a protective, non-keratinized stratified squamous epithelium with mitotic figures in its basal layer, indicating a constant shedding & renewal of the cells.
b) Lamina propria :- consists of loose c.t. , in the lamina propria of the region near the stomach are groups of glands , the oesophageal cardiac glands ,that secrete mucus.
c) Muscularis mucosae:- it is thick & consists of longitudinal smooth muscle fibers. In the lower part of the oesophagus, the muscularis mucosae may be formed of inner circular & outer longitudinal muscles fibers.
2. The submucosa:- contains the oesophageal glands. These are branched tubulo-alveolar glands which are mucous in nature, their ducts open on the epithelial surface.
3. The muscularis externa:- consists of 2 layers, of which the outer is mainly longitudinal & the inner mainly circular. In the upper part of the oesophagus, the muscle fibers are striated, in the middle are mixed (striated & smooth) & in the lower part all the muscle fibers are smooth. In the region of the cardiac sphincter the circular muscle is greatly thickened. Between the 2 muscle layers there is Auerbach's plexus.
4. The adventitia:- consists of loose c.t. continuous with that of the surrounding structures. There is a serous layer only on the abdominal part of the oesophagus.
Oesophago-gastric junction:-
At this junction the stratified squamous epithelium of the oesophagus ends abruptly to be replaced by the simple columnar epithelium of the stomach. The oesophageal glands stop & the gastric glands appear in the lamina propria. Lymph nodules are frequent around the junction. The oesophago-gastric junction is an important site of the pathologic abnormality. Lower oesophagus is an important site of common diseases, particularly ulceration, stricture & cancer.The epithelium of the oesophagus is protected from exposure to the gastric acid by:-
1. The anatomical arrangement of the oesophago-gastric junction.2. The cardiac sphincter which prevents reflux of the gastric contents into the lower oesophagus.
Reflux of acid gastric secretions may occur into the lower esophagus causing inflammation & pain. Under the constant irritating effect of reflux of acidic gastric secretions, the epithelium in the lower esophagus changes to a gastric type.
Stratified squamous non-keratinized epithelium→ simple columnar
The columnar epith prone to ulceration & inflammationand predispose to the development of one type of oesophageal cancer. Healing of such ulcers can lead to scarring of the lower end of the oesophagus & thereby narrowing of its lumen (i.e oesophageal stricture) → difficulty of swallowing.
Stomach:-
It is both exocrine & endocrine organ that digests food & secretes hormones. It is a dilated segment of the digestive tract.
The main functions of the stomach:-
1. Continuation of digestion of carbohydrates initiated in the oral cavity (mouth) by salivary amylase which starts the digestion of carbohydrates & this process will continue in the stomach.2. Secretion of acids (HCl) together with the muscular activity of the muscles of the stomach will transform the digested food into a viscous mass known as chyme.
3. The stomach initiates the digestion of proteins by the enzyme pepsin so the stomach secretes pepsinogen which is converted into pepsin which initiates the digestion of proteins.
4. The stomach secretes or produces gastric lipase. Gastric lipase starts the digestion of triglycerides together with the help of lingual lipase (Von Ebner's gland).
For descriptive purpose or anatomically the stomach can be divided into 4 divisions:-
1. Cardia2. Fundus
3. Body
4. Pylorus or pyloric region
Because the fundus & body are identical in microscopic structure, only 3 histologic regions are recognized. In empty, contracted stomach, the mucosa & submucosa form numerous longitudinal folds known as rugae. When the stomach is filld with food, these folds flatten out.
The wall of the stomach consists of the usual 4 layers of digestive tract:-
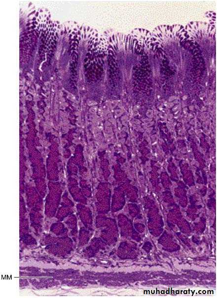
1. The mucosa:- consists of :
A) Surface epithelium (simple columnar epithelium):- their cells secrete mucin (mucus) & they are known as surface mucous cells. The mucus forms a thick layer that protects these cells from the effects of the strong acid secreted by the stomach. The surface epithelium invaginates to various extents into the lamina propria, forming gastric pits (lined by the same epithelium). Emptying into the gastric pits are branched tubular glands (cardiac, fundic & pyloric) characteristic of each region of the stomach. The surface mucous cells are thought to produce blood group substances. Tight junctions present around surface & pits cells also form part of the barrier to acid. Stress & other psychosomatic factor; ingested substances such as aspirin or ethanol & some microorganisms (e.g. Helicobacter pylori) can disrupt this epithelial layer & lead to ulceration.B) The lamina propria:- is occupied by the gastric glands. These are branched tubular glands, separated by little amount of c.t. They open into the bases of the gastric pits.
Types of gastric glands:-
1) The cardiac glands:- are present in the cardiac region. They are simple or branched tubular glands, lined by mucus secreting columnar cells similar to the mucous neck cells of the gastric gland proper. They secrete mucus & lysozyme.2) Fundic glands (gastric gland proper):- are present in the lamina propria of the fundus & body of the stomach. They are branched, tubular glands, 3 to 7 of which open into the bottom of each gastric pit. The glands are composed of the following cells:-
a) Mucous neck cells:- are located between the parietal cells in the neck of the gland. The cells are large irregular in shape, with clear cytoplasm & the nucleus is flattened at the base of the cell. They secrete mucus which protects the stomach wall from the action of the HCl & proteolytic enzymes.
b) Peptic (chief or zymogenic) cells:- they predominate in the lower part of the gland & have all the characteristics of the protein synthesizing & exporting cells. Their basophilia is due to the abundant RER (rough endoplasmic reticulum). The granules in their cytoplasm contain the inactive enzyme pepsinogen, the precursor of pepsin. In human, chief cells also produce the enzymes, lipase & rennin. The E.M shows the presence of small irregular microvilli on their free surfaces, a well developed Golgi apparatus (complex) located in the supranuclear region, large amount of basally located RER & many apical secretory granules.
c) Parietal (oxyntic) cells:- are present mainly in the upper half of the gland. They are large rounded or pyramidal cells with one centrally placed spherical nucleus & intensely eosinophilic cytoplasm. The most striking features of the active secreting cell seen in the electron microscope are an abundance of mitochondria (eosinophilic) & a deep circular invagination of the apical plasma membrane, forming the intracellular secretory canaliculus lined with abundant microvilli. In the resting cell, a number of tubulovesicular structures can be seen in the apical region of the cell. At this stage, the cell has few microvilli. When stimulated to produce HCl, tubulovesicles fuse with the cell membrane to form the canaliculus & more microvilli, suggesting that tubulovesicles are involved in secretion. The parietal cells secrete the HCl & gastric intrinsic factor (a glycoprotein that binds to vitamin B12 & facilitate its absorption by the intestine). Lack of the intrinsic factor can lead to vitamin B12 deficiency →pernicious anaemia. In cases of atrophic gastritis, both parietal and peptic cells are much less numerous, and the gastric juice has little or no acid or pepsin activity, and no intrinsic factor → pernicious anaemia.
Parietal cells have abundant carbonic anhydrase, which is thought to play a vital role in generating H+ ions for the production of HCl.
d) Enteroendocrine cells:- were formerly called argentaffin & enterochromaffin cells, owing to their affinity for silver & chromium stains. Most of the cells have the characteristics of the so-called APUD cells (amine precursor uptake & decarboxylation), which are wide spread in the body (found in the epithelium of GIT, respiratory tract, in the pancreas & thyroid gland). Their cytoplasm either contains polypeptide hormones or the biogenic amines epinephrine, norepinephrine, or 5-hydroxytryptamine (serotonin). These cells have characteristics of diffuse neuroendocrine system (DNES).These cells can be identified & localized by immunocytochemical methods or other cytochemical techniques for specific amines. The enteroendocrine cells are small pyramidal cells found near the bases of gastric glands. They are characterized by the presence of abundant dense secretory granules, always located at the base of the cell between the nucleus & basal lamina. This suggests that they are endocrine cells that liberate their secretion into the blood vessels in the lamina propria rather than into lumen of the gland. Some of these cells are known as paracrine because they produce hormones that diffuse into the surrounding extracellular fluid to regulate the function of neighboring cells without passing through the vascular system.
Polypeptide-secreting cells of the digestive tract fall into 2 classes:-
1) The open type:- in which the apex of the cell presents microvilli & contacts the lumen of the organ.
2) The closed type:- in which the cellular apex is covered by other epithelial cells.
In the fundus of the stomach, serotonin is one of the principal secretory products. Tumors arising from these cells are called carcinoids, are responsible for the clinical symptoms caused by overproduction of the serotonin.
e) Stem cells (undifferentiated cells):- are found in the neck region of all gastric glands (cardiac, fundic & pyloric). These cells have a high rate of mitosis; some of them move upward to replace the pit & surface mucous cells, which have a turnover time of 4-7 days. Other daughter cells migrate more deeply into the glands & differentiate into the different types of cells of the glands. These cells are replaced much more slowly than are surface mucous cells.
3) Pyloric glands:- are present in the pyloric region of the stomach & are similar to the cardiac glands. However, the pits are longer & the glands are shorter & coiled, opposite to that of cardiac glands. The pyloric glands secrete mucus as well as appreciable amounts of the enzyme lysozyme. These glands also have enteroendocrine cells as follows:-
1. G cells release gastrin which stimulates the secretion of the acid by the parietal cells.
1. D cells secrete somatostatin, which inhibits the release of some other hormones, including gastrin.
C) The muscularis mucosae:- consists of smooth m. arranged as an inner circular & an outer longitudinal layer, in some parts there is a third outer layer of circular fibers. Strands of muscle extend from the inner layer into the lamina propria between the glands; their contraction helps to empty the glands.
2. Submucosa:- is composed of dense c.t. containing blood & lymph vessels & Meissner's plexus.
3. Muscularis externa:- consists of 3 illdefined layers of smooth m., an inner oblique, a middle circular & an outer longitudinal. At the pylorus, the middle layer is greatly thickened to form the pyloric sphincter. Auerbach's plexus is found between the muscles.
4. Serosa:- derived from the visceral peritoneum consists of a thin layer of loose c.t. covered by mesothelium (simple squamous epithelium).
Photomicrograph of a section of the upper region of the esophagus. Mucous oesophageal glands are in the submucosa; striated skeletal muscle is in the muscularis. PAS and PT stain. Low magnification.
Regions of the stomach and their histological structure
Composite diagram of a parietal cell, showing the ultrastructural differences between a resting cell (left) and an active cell (right). Note that the tubulovesicles (TV) in the cytoplasm of the resting cell fuse to form microvilli (MV) that fill up the intracellular canaliculi (IC). G, Golgi complex; M, mitochondria. (Based on the work of Ito S, Schofield GC. J Cell Biol 1974; 63:364.)
Diagram of a parietal cell, showing the main steps in the synthesis of hydrochloric acid. Active transport by ATPase is indicated by arrows and diffusion is indicated by dotted arrows. Under the action of carbonic anhydrase, blood CO2 produces carbonic acid. Carbonic acid dissociates into a bicarbonate ion and a proton H+, which is pumped into the stomach lumen in exchange for K+. A high concentration of intracellular K+ is maintained by the Na+,K+ ATPase, while HCO3— is exchanged for Cl— by an antiport. The tubulovesicles of the cell apex are seen to be related to hydrochloric acid secretion, because their number decreases after parietal cell stimulation. The bicarbonate ion returns to the blood and is responsible for a measurable increase in blood pH during digestion.
Photomicrograph of a section of the gastric glands in the fundus of the stomach. Note the superficial mucus-secreting epithelium. Parietal cells (light-stained) predominate in the mid and upper regions of the glands; chief (zymogenic) cells (dark-stained) predominate in the lower region of the gland. MM, muscularis mucosae. PT stain. Low magnification.
Photomicrograph of a section of the pyloric region of the stomach. Note the deep gastric pits with short pyloric glands in the lamina propria. H&E stain. Low magnification. (Courtesy of MF Santos.)
Histology
د . فـرائـد Lec.4
Small intestine:-
It is the portion of the digestive tube which extends from the pyloric orifice to the ileocaecal junction. The small intestine is the site of terminal food digestion, nutrient absorption & endocrine secretion. The processes of digestion are completed in the small intestine, where the products of digestion are absorbed by cells of the epithelial lining. The small intestine is relatively long (5 meters) & consists of 3 segments: Duodenum, Jejunum and Ileum.
The factors that increase the surface area for absorption are:-
Plicae circulares (valves of Kerckring):- are series of permanent folds, consisting of mucosa & submucosa, having a circular or spiral form. The plicae are most developed in, and consequently a characteristic of, the jejunum. They increase the intestinal surface 3-fold.Intestinal villi :- are 0.5 to 1.5 mm long outgrowths of the mucosa projecting into the lumen of the small intestine. They increase the surface 10-fold.
Microvilli of the intestinal absorptive cells:- increase the surface 20-fold. They are visible under light microscope as a striated free border.
All the above three factors together, are thus responsible for 600-fold increase in the intestinal surface.
As in other parts of the digestive tube, the wall of the small intestine is made up of 4 layers:-
1) Mucous membrane:- the surface of the mucous membrane is thrown up into minute projections called villi.
A villus consists of a core of lamina propria covered with epithelium. The c.t. core of each villus contains a lacteal (blind-ended lymphatic capillary), blood capillaries & strands of smooth m. In the duodenum, the villi are leaf-shaped, gradually assuming fingerlike shapes as they reach the ileum.
The intestinal epithelium is simple columnar, composed of intestinal absorptive cells (enterocytes), goblet cells & some enteroendocrine cells. In the ileum there is M-cell. The epithelium of the villi is continuous with that of the intestinal glands [or glands (crypts) of Lieberkühn]. The intestinal glands are simple tubular glands contain intestinal absorptive cells, goblet cells, Paneth cells, enteroendocrine cells& stem cells. Their secretions enter the lumen of intestine by means of small openings between the villi.
a) The intestinal absorptive cells (enterocytes):- are tall columnar cells, each with an oval nucleus in the basal half of the cell & striated(brush border) at the apex of each cell. When viewed with E.M., the striated border is seen to be a layer of densely packed microvilli. Each absorptive cell is estimated to have an average 3000 microvilli. Microvilli have the important physiologic function of increasing the area of contact between the intestinal surface & the nutrients. The function of the enterocytes is to absorb the nutrient molecules produced by the digestive process. Disaccharidases & peptidases secreted by absorptive cells & bound to microvilli in the brush border; hydrolyze the disaccharides & dipeptides into monosaccharides & amino acids that are easily absorbed. Lipid digestion occurs mainly as a result of the action of pancreatic lipase and bile. In humans, most of the lipid absorption takes place in the duodenum and upper jejunum.
b) Goblet cells (unicellular mucous glands):- they are present on the villi & in the glands. They are irregularly scattered among the absorptive cells, and resemble wine glass in shape. Their apical region is distended with mucigen droplets, while the base of the cell forms a slender stem or stalk. The nucleus tends to be flattened & the surrounding cytoplasm strongly basophilic. These cells produce mucus, whose main function is to protect & lubricate the lining of the intestine. The frequency of goblet cell increases as the contents of the gut become more solid towards the rectum.
c) Enteroendocrine cells:- they are small, pyramidal cells & have granules beneath the nucleus. Upon stimulation these cells release their secretory granules by exocytosis, and the hormones may exert paracrine (local) or endocrine (blood-borne) effects. They produce hormones such as secretin, cholecystokinin, gastric inhibitory polypeptide & motilin.
d) Paneth cells:- they are pyramidal in shape, with a round or oval nucleus situated near the base & secretory granules in the apical cytoplasm usually stain with acid dyes. They have the cytological characteristics of cells actively secreting protein. Paneth cells are located at the base of the intestinal glands of the small intestine. Paneth cells produce lysozyme, an antibacterial enzyme whose function is to digest the cell walls of some bacteria & may play a role in controlling the intestinal flora. Lysozyme is present in the eosinophilic secretory granules.
e) Stem cells (undifferentiated cells):- are located in the lower half of the intestinal glands. In the small intestine the cells die by apoptosis in the tip of the villi & replaced with new ones formed through mitosis of stem cells (unidirectional cell flow).
M-cell (microfold cells, membranous epithelial cells):- are specialized epithelial cells overlying the lymphoid follicles of Peyer's patches. They are relatively flat cells whose apical surface is thrown into small folds rather than microvilli. These cells are characterized by the presence of numerous basal membrane invaginations that form pits containing many intraepithelial lymphocytes & antigen- presenting cells (macrophage). M cells can endocytose antigens & transport them to the underlying macrophages & lymphoid cells, which then migrate to the lymph nodes, where immune response to foreign antigens are initiated. M cells represent an important link in the intestinal immunologic system. The basement membrane under M cells is discontinuous, facilitating transit between the lamina propria & M cells.
The lamina propria of the small intestine:- is composed of loose c.t. with blood & lymph vessels, nerve fibers & smooth m cells. The lamina propria constitutes the core of the intestinal villi & fills all the spaces between the glands. The smooth m. cells are responsible for rhythmic movements of the villi, which are important for absorption.
The muscularis mucosae of small intestine:- consists of an inner circular & an outer longitudinal layers of smooth muscle. The inner circular sends bundles up to lamina propria where they are attached to the lacteals.
The lamina propria & the submucosa of the ileum contain aggregates of lymphoid nodules known as Peyer's patches, an important component of the GALT (gut-associated lymphatic tissue). Each patch consists of 10-200 nodules & is visible to the naked eye as an oval area on the anti-mesentric side of the intestine. There are about 30 patches in the human, most of them in the ileum. Its covering epithelium contains M cells.
2) The submucosa:- contains in the initial portion of the duodenum, clusters of coiled tubular glands that open into the intestinal glands. These are the Brunner's glands. Their cells are of the mucous type, produce alkaline secretions. It acts to protect the duodenal mucous membrane against the effects of the acid gastric juice & to bring the intestinal contents to the optimum pH for pancreatic enzyme action. They also secrete urogastrone (a polypeptide hormone that enhances epithelial cell division & inhibits gastric HCl production).
3) Muscularis externa:- is composed of an inner circular & an outer longitudinal layers of smooth m. The inner layer participates in the formation of the ileocaecal sphincter. Auerbach's plexus present between the 2 layers.
4) Serosa:- covers all of the jejunum & ileum & part of the duodenum. Adventitia covers the remainder of the duodenum.
Large intestine:-
It is a tube about 5 feet (1.6 meters) in length. It extends from the ileo-caecal valve to the anus. It consists of the caecum, colon (ascending, transverse, descending & sigmoid), rectum, anal canal& appendix. It converts undigested material received from the small intestine into feces by removing water & adding mucus. The usual 4 layers are present in the wall of the large intestine. No villi are present in the large intestine. The intestinal glands are deeper (longer) than in the small intestine and characterized by a great abundance of goblet and absorptive cells. The intestinal glands of the large intestine lack Paneth cells.Appendix:- is a small, slender, blind diverticulum of the caecum. It has a narrow, stellate or irregular lumen. The villi are absent.
1. Mucosa of the appendix:-
a) Epithelium:- is simple columnar containing columnar absorptive cells & goblet cells.
b) Lamina propria:- contains the intestinal glands(shorter & fewer) with some goblet cells, columnar absorptive cells, stem cells & numerous enteroendocrine cells. Lymphatic nodules with germinal centers are very numerous & highly characteristic of the appendix. These nodules originate in the lamina propria, because of their large size the nodules may extend to the submucosa.
c) Muscularis mucosae:- is poorly developed.
2. Submucosa:- is relatively thick & highly vascular.
3. Muscularis externa:- is composed of an inner circular & an outer longitudinal layers of smooth m.
4. Serosa:- completely surrounds the appendix.
Caecum & Colon:-
1-Mucosa:- is thicker than in small intestine.a) Epithelium:- is simple columnar epithelium, containing numerous goblet cells, absorptive cells & occasional enteroendocrine cells.
b) Lamina propria:- is similar to that of the small intestine. The intestinal glands are longer & more closely packed, containing many goblet cells, absorptive cells (have irregular short microvilli), stem cells (in the lower third of the gland) and also few enteroendocrine cells. They lack Paneth cells.
c) Muscularis mucosae:- consists of an inner circular & an outer longitudinal layers of smooth m.
2-Submucosa:- contains blood & lymphatic vessels, nerves & Meissner's plexus. It has no glands.
3-Muscularis externa of the caecum & colon:- is composed of an inner circular & a modified outer longitudinal layer of smooth m. The outer longitudinal layer of the smooth m. is gathered into 3 thick longitudinal bands called taeniae coli. A thin layer of longitudinal smooth m. often exists between the bands. The parasympathetic ganglia of the Auerbach's plexus are present between the muscle layers.
In the living, the taeniae are in a state of partial contraction which causes the intervening portions of the wall to bulge outward, forming sacculations of the wall.
4-Serosa:- covers the transverse & sigmoid colon & caecum; however, the ascending & descending colon are retroperitoneal & the outer layer on their posterior surface is the adventitia . The serosa of colon is characterized by the presence of many fat-filled outpocketings termed appendices epiploicae
Rectum:- is usually divided into 2 parts. The upper part (rectum proper) measuring 5-7 inches in length, is structurally similar to colon. The intestinal glands are longer than in colon & are filled with goblet cells. There is no taeniae coli, the outer longitudinal muscle is complete layer (evenly distributed). The lower part is the upper part of the anal canal.
Anal canal:- in the upper part of the anal canal, there are permanent longitudinal folds of the mucous membrane, the rectal columns(anal columns) of Morgagni. The bases (distal ends) of these columns are connected by transverse folds of the mucosa, the anal valves (ano-rectal junction). Above the anal valves, the mucosa is lined by simple columnar epithelium, becomes stratified squamous non-keratinized distal to the anal valves, and changes to stratified squamous keratinized (epidermis) at the anus. The intestinal glands disappear at the ano-rectal junction (anal valves) & also the muscularis mucosae disappear.
Two prominent venous plexuses are associated with the anal canal, the internal & external hemorrhoidal plexuses located in the submucosa & the lamina propria of the upper & lower part of anal canal respectively. Hemorrhoids develop from chronic dilation of these vessels. In the lower end of the anal canal, there are the prominent circumanal glands (apocrine type of sweat gland) of the perianal skin.
Anal muscularis externa:- is composed of an inner circular & an outer longitudinal layers of smooth m. The inner circular layer forms the internal anal sphincter.
The diameter of the anal canal is controlled by two sphincters:
The internal anal sphincter: is composed of smooth muscle and is under autonomic control.The external anal sphincter: is composed of skeletal muscle and is under voluntary control.
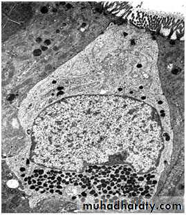
Electron micrograph of an enteroendocrine cell (open type) of the human duodenum. Note the microvilli in its apex. x6900. (Courtesy of AGE Pearse.)
Regeneration of the epithelial lining of the stomach and small intestine. Note differences in the location of stem cells.
Some aspects of immunologic protection of the intestine. A: A condition that is more frequent in the upper tract, such as in the jejunum. There are many IgA-secreting plasma cells, scattered lymphocytes, and some macrophages. Note that the lymphocytes in the epithelial lining are located outside the epithelial cells, and below the tight junctions. B: A condition that is more frequent in the ileum, where aggregates of lymphocytes are located under M cells. The M cells transfer foreign material (microorganisms and macromolecules) to lymphocytes located deep in the cavities of the M cells. Lymphocytes spread the information received from this foreign material to other regions of the digestive tract, and probably to other organs, through blood and lymph.
Blood circulation (left), lymphatic circulation (center), and innervation (right) of the small intestine. The smooth muscle system for contracting the villi is illustrated in the villus on the right.
Lipid absorption in the small intestine. Lipase promotes the hydrolysis of lipids to monoglycerides and fatty acids in the intestinal lumen. These compounds are stabilized in an emulsion by the action of bile acids. The products of hydrolysis cross the microvilli membranes passively and are collected in the cisternae of the smooth endoplasmic reticulum (SER), where they are resynthesized to triglycerides. These triglycerides are surrounded by a thin layer of proteins that form particles called chylomicrons (0.2—1 micrometers in diameter). Chylomicrons are transferred to the Golgi complex and then migrate to the lateral membrane, cross it by a process of membrane fusion (exocytosis), and flow into the extracellular space in the direction of the blood and lymphatic vessels. Most chylomicrons go to the lymph; a few go to the blood vessels. The long-chain lipids (>C12) go mainly to the lymphatic vessels. Fatty acids of fewer than 10—12 carbon atoms are not reesterified to triglycerides but leave the cell directly and enter the blood vessels. RER, rough endoplasmic reticulum. (Based on results of Friedman HI, Cardell RR Jr: Anat Rec 1977;188:77.)
























