The structures that are present in the portal canal
Branch of portal veinBranch of hepatic artery
Bile duct
Lymphatic vessels
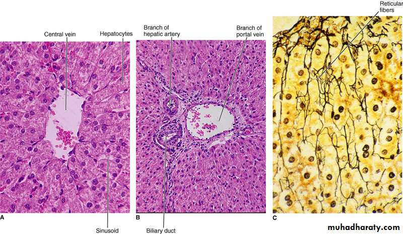
Photomicrograph of the liver. A: A central (centrolobular) vein. Note the liver plates that anastomose freely, limiting the space occupied by the sinusoids. H&E stain. Medium magnification. (Courtesy of MF Santos.)
B: A portal space with its characteristic small artery, vein, lymph vessel, and bile duct surrounded by
connective tissue. H&E stain. Medium magnification (Courtesy of MF Santos.)
C: Collagen III reticular fibers in the lobule, forming a scaffold for the hepatic tissue. Silver impregnation. Medium magnificatio
• Ultrastructure of a hepatocyte. RER, rough endoplasmic reticulum; SER, smooth endoplasmic reticulum. x10,000
• Protein synthesis and carbohydrate storage in the liver. Carbohydrate is stored as glycogen, usually associated with the smooth endoplasmic reticulum (SER). When glucose is needed, glycogen is degraded. In several diseases, glycogen degradation is depressed, resulting in abnormal intracellular accumulations of glycogen. Proteins produced by hepatocytes are synthesized in the rough endoplasmic reticulum (RER), which explains why hepatocyte lesions or starvation lead to a decrease in the amounts of albumin, fibrinogen, and prothrombin in a patient’s blood. The impairment of protein synthesis leads to several complications, since most of these proteins are carriers, important for the blood’s osmotic pressure and for coagulation.
• Mechanism of secretion of bile acids. About 90% of bile acids are derived from the intestinal epithelium and transported to the liver. The remaining 10% are synthesized in the liver by the conjugation of cholic acid with the amino acids glycine and taurine. This process occurs in the smooth endoplasmic reticulum (SER).
• The secretion of bilirubin. The water-insoluble form of bilirubin is derived from the metabolism of hemoglobin in macrophages. Glucuronyltransferase activity in the hepatocytes causes bilirubin to be conjugated with glucuronide in the smooth endoplasmic reticulum, forming a water-soluble compound. When bile secretion is blocked, the yellow bilirubin or bilirubin glucuronide is not excreted; it accumulates in the blood, and jaundice results. Several defective processes in the hepatocytes can cause diseases that produce jaundice: a defect in the capacity of the cell to trap and absorb bilirubin (1), the inability of the cell to conjugate bilirubin because of a deficiency in glucuronyltransferase (2), or problems in the transfer and excretion of bilirubin glucuronide into the bile canaliculi (3). One of the most frequent causes of jaundice, however–unrelated to hepatocyte activity–is the obstruction of bile flow as a result of gallstones or tumors of the pancreas.
• Schematic drawing of the structure of the liver. The liver lobule in the center is surrounded by the portal space (dilated here for clarity). Arteries, veins, and bile ducts occupy the portal spaces. Nerves, connective tissue, and lymphatic vessels are also present but are (again, for clarity) not shown in this illustration. In the lobule, note the radial disposition of the plates formed by hepatocytes; the sinusoidal capillaries separate the plates. The bile canaliculi can be seen between the hepatocytes. The sublobular (intercalated) veins drain blood from the lobules. (Redrawn and reproduced, with permission, from Bourne G: An Introduction to Functional Histology. Churchill, 1953.









