The factors that increase the surface area for absorption in small intestine
1. Valves of Kerckring (plicae circulares)2. Intestinal villi
3. Microvilli of intestinal absorptive cells• Schematic diagrams illustrating the structure of the small intestine. A: The small intestine under low magnification. In the villus to the left, note the desquamation of epithelial cells. Because of constant mitotic activity of the cells from the closed end of the glands and the upward migration of these cells (dashed arrows), the intestinal epithelium is continuously renewed. Note the intestinal glands of Lieberkühn. B: The intestinal glands have a lining of intestinal epithelium and goblet cells (upper portion). At the lower level, the immature epithelial cells are frequently seen in mitosis; note also the presence of Paneth’s and enteroendocrine cells. As the immature cells progress upward, they differentiate and develop microvilli, seen as a brush border in the electron microscope. Cell proliferation and cell differentiation occur simultaneously in the closed end of these glands. C: A villus tip showing the columnar covering epithelium with its striated border and a moderate number of goblet cells. Blood capillaries, a lymphatic capillary, smooth muscle cells, and lymphocytes can be seen in the connective tissue core of the villus. Great numbers of lymphocytes are in the epithelial layer. Cells are sloughing off at the apex of the villus. (Redrawn and reproduced, with permission, from Ham AW: Histology, 6th ed. Lippincott, 1969.)
Lipid absorption in the small intestine. Lipase promotes the hydrolysis of lipids to monoglycerides and fatty acids in the intestinal lumen. These compounds are stabilized in an emulsion by the action of bile acids. The products of hydrolysis cross the microvilli membranes passively and are collected in the cisternae of the smooth endoplasmic reticulum (SER), where they are resynthesized to triglycerides. These triglycerides are surrounded by a thin layer of proteins that form particles called chylomicrons (0.2—1 micrometers in diameter). Chylomicrons are transferred to the Golgi complex and then migrate to the lateral membrane, cross it by a process of membrane fusion (exocytosis), and flow into the extracellular space in the direction of the blood and lymphatic vessels. Most chylomicrons go to the lymph; a few go to the blood vessels. The long-chain lipids (>C12) go mainly to the lymphatic vessels. Fatty acids of fewer than 10—12 carbon atoms are not reesterified to triglycerides but leave the cell directly and enter the blood vessels. RER, rough endoplasmic reticulum. (Based on results of Friedman HI, Cardell RR Jr: Anat Rec 1977;188:77.)
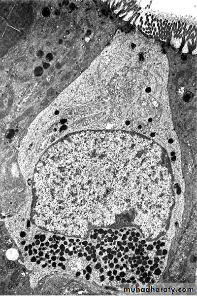
• Electron micrograph of an enteroendocrine cell (open type) of the human duodenum. Note the microvilli in its apex. X6900. (Courtesy of AGE Pearse.)
• Regeneration of the epithelial lining of the stomach and small intestine. Note differences in the location of stem cells.
• Some aspects of immunologic protection of the intestine. A: A condition that is more frequent in the upper tract, such as in the jejunum. There are many IgA-secreting plasma cells, scattered lymphocytes, and some macrophages. Note that the lymphocytes in the epithelial lining are located outside the epithelial cells, and below the tight junctions. B: A condition that is more frequent in the ileum, where aggregates of lymphocytes are located under M cells. The M cells transfer foreign material (microorganisms and macromolecules) to lymphocytes located deep in the cavities of the M cells. Lymphocytes spread the information received from this foreign material to other regions of the digestive tract, and probably to other organs, through blood and lymph.
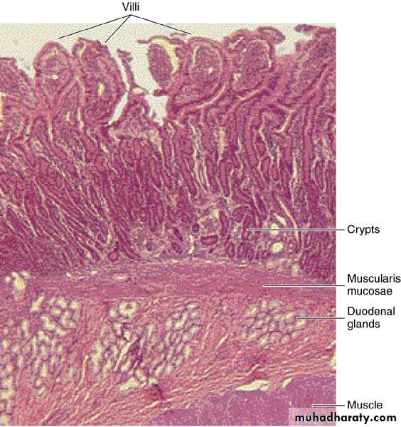
• Photomicrograph of the duodenum, showing villi and duodenal glands in the submucosa. H&E stain. Low magnification.
• Blood circulation (left), lymphatic circulation (center), and innervation (right) of the small intestine. The smooth muscle system for contracting the villi is illustrated in the villus on the right.
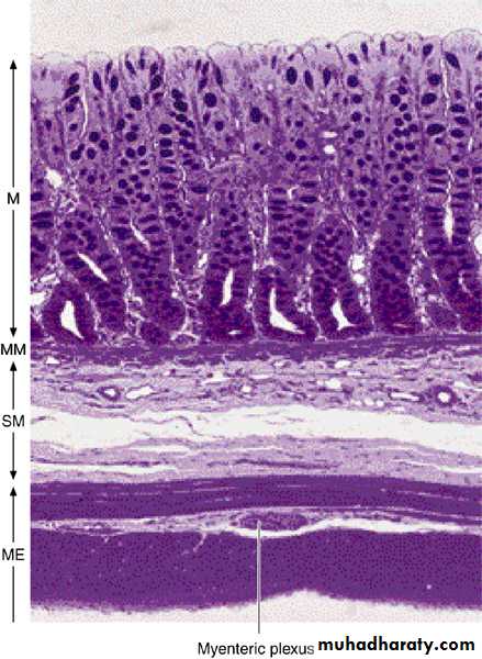
• Photomicrograph of a section of large intestine with its various layers. Note the absence of villi. M, mucosa; MM, muscularis mucosae; SM, submucosa; ME, muscularis externa. PT stain. Low magnification.
• Section of a large intestinal gland showing its absorptive and mucous goblet cells. Observe that the goblet cells are secreting and beginning to fill the lumen of the gland with its secretions. The microvilli in the absorptive cells participate in the process of water absorption. PT stain. High magnification.
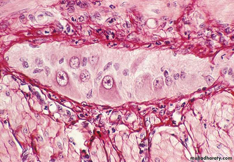
• Photomicrograph of a group of neurons (with large nuclei) and satellite cells (with small nuclei) constituting a component of the myenteric plexus between 2 smooth muscle layers. Note the red stained collagen fibers. Picrosirius-hematoxylin. Medium magnification.


















