Pharynx
1. Nasopharynx2. Oropharynx
3. Laryngeal pharynx
The wall of the pharynx is composed of the following layers :- (starting from inside)
1. Mucous membranea) epithelium
b) Lamina propria
2. Muscular layer
3. Outer fibrous layer (adventitia)
General structure of digestive tract
1.The mucosa (mucous membrane)a) The lining epithelium
b) Lamina propria
c) Muscularis mucosae
2. The submucosa
3.The muscularis externa
4.The serosa or adventitia
sphincters
The pyloric sphincter.
The oesophagogastric sphincter(cardiac sphincter)
The ileocaecal valve
The internal anal sphincter
The pharyngoesophageal sphincter
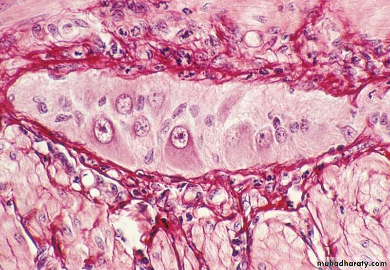
• Photomicrograph of a group of neurons (with large nuclei) and satellite cells (with small nuclei) constituting a component of the myenteric plexus between 2 smooth muscle layers. Note the red stained collagen fibers. Picrosirius-hematoxylin. Medium magnification.




