Case scenarios
Dr Mustafa Nema2014
Case 1
A 23 years old male presented with recurrent pneumonias. He was responding well to i.v antibiotics with each hospitalization.Blood culture /sputum Gram’s stain and culture showed pneumococcal pneumoniae.
He had Hx of abdominal trauma during childhood and laparatomy (abdominal operation) done
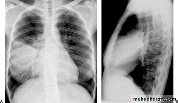
Lobar pneumonia due to Streptococcus pneumoniae.
Extensive right middle lobe consolidation.• .
.
Why he had recurrent type of similar microorganism?
What is the importance of operation history?
What type of antibiotic was effective?
What other conditions that could case similar effects?
Suggest a future plan to prevent recurrent infection.
Case 2
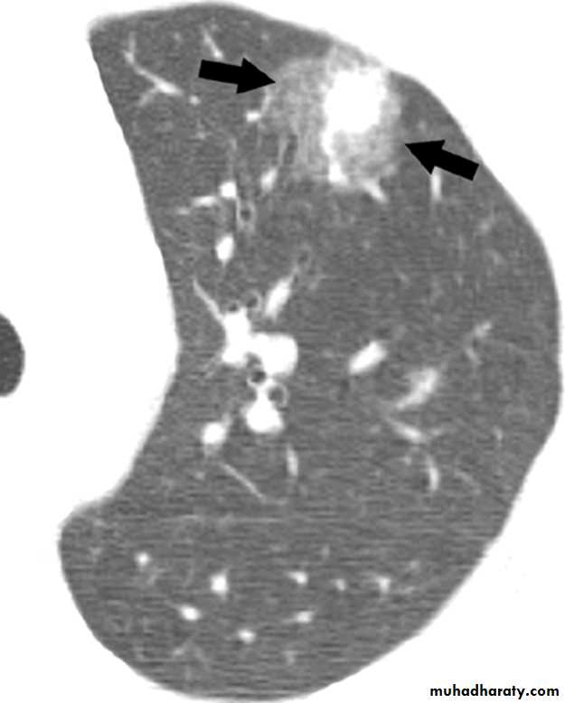
A young female with acute myeloid leukemia receiving chemotherapy developed fever 40 0C and cough.
You arrange for CXR which show no much abnormality. CT chest done and shown.
Neutrophil count is 2 x 109/L
Multiple iv antibiotics given for 4 days with no response.What is the most likely Dx?
What trement should be given now?
Case 3
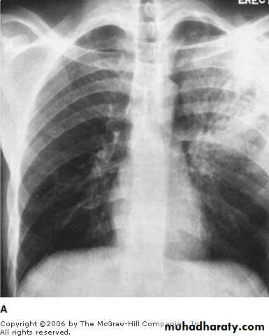
A 37 years old presented with chronic cough, fever and hemoptysis.He gave history of chronic steroid use for his poorly controlled asthma.
His chest X ray shown.
What is the most likely Dx?
Why he develop such type of infection?What is the treatment plan?
What other conditions that could cause similar infection?




