Nerve Tissue
15th lecture
March 3, 2016
Organization of the Nervous System
• Two main divisions:• The Central Nervous System (CNS)
• - Consists of the brain and spinal cord with tracts and nuclei
• Nucleus = a collection of nerve cell bodies in the CNS.
• Tract = bundle of nerve fibers within the CNS
• The Peripheral Nervous System (PNS)
• -Consists of ganglia, cranial nerves, spinal nerves and peripheral receptors
• Ganglia = a collection of nerve cell bodies in the PNS
• Nerve = bundle of nerve fibers in the PNS
• The principal structures of the CNS are the cerebrum, cerebellum, and spinal cord.
• It has virtually no connective tissue and is therefore a relatively soft, gel-like organ.• When sectioned, the cerebrum, cerebellum, and spinal cord show regions of white white matter and gray gray matter, differences caused by the differential distribution of myelin.
• The main components of white matter are myelinated axons and the myelin-producing oligodendrocytes.
• White matter does not contain neuronal cell bodies, but microglia are present.
Central Nervous System
In the cerebral cortex, the most prominent cells are the efferent pyramidal neurons that come in many sizes as shown in the Figure bellow. Neurons of the cerebral cortex function in the integration of sensory information and the initiation of voluntary motor responses.
(a) Important neurons of the cerebrum are the pyramidal neurons (P), which are arranged vertically and interspersed with numerous smaller glial cells, mostly astrocytes, in the eosinophilic neuropil. X200. H&e. (b) From the apical ends of pyramidal neurons (P), long dendrites extend in the direction of the cortical surface, which can be best seen in thick silver-stained sections in which only a few other protoplasmic astrocytes (A) cells are seen. X200. Silver.
(a) The cerebellar cortex is convoluted with many distinctive small folds, each supported at its center by tracts of white matter in the cerebellar medulla (M). Each fold has distinct molecular layers (ML) and granular layers (GL). X6. Cresyl violet (b) Higher magnification shows that the granular layer (GL) immediately surrounding the medulla (M) is densely packed with several different types of very small rounded neuronal cell bodies. The outer molecular layer (ML) consists of neuropil with fewer, much more scattered small neurons. At the interface of these two regions a layer of large Purkinje neuron (P) perikarya can be seen. X20. H&E.
The cerebellar cortex, which coordinates muscular activity throughout the body, has three layers : an outer molecular layer, a central layer of very large neurons called Purkinje cells, and an inner granule layer. The granule layer is formed by very small neurons (the smallest in the body), which are packed together densely, in contrast to the neuronal cell bodies in the molecular layer which are sparse.
(c) A single intervening layer contains the very large cell bodies of unique Purkinje neurons (P) H&E staining. X40. H&E. (d) with appropriate silver staining dendrites from each large Purkinje cell (P) are shown to have hundreds of small branches, each covered with hundreds of dendritic spines. Axons from the small neurons of the granular layer are unmyelinated and run together into the molecular layer where they form synapses with the dendritic spines of Purkinje cells. X40. Silver.
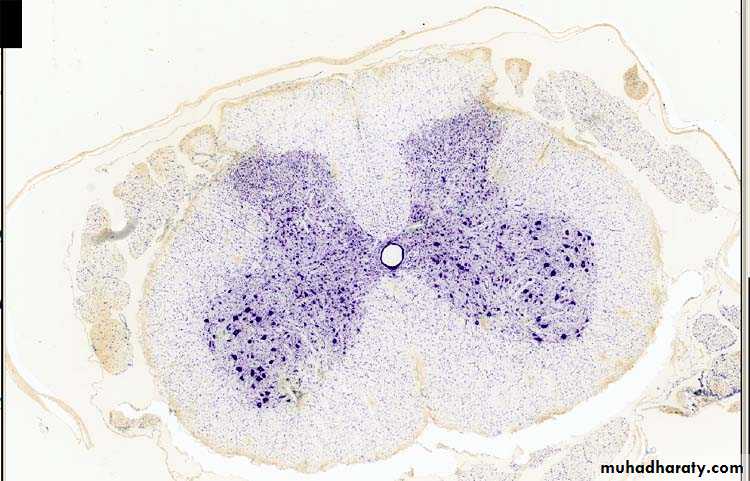
The spinal cord varies slightly in diameter along its length but in cross section always shows bilateral symmetry around the small, CSF-filled central canal (C).
unlike the cerebrum and cerebellum, in the spinal cord the gray matter is internal, forming a roughly H-shaped structure that consists of two horns, all joined by the gray commissure around the central canal.
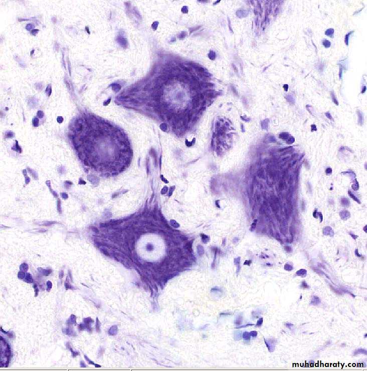
The gray matter forms the anterior horns, which contain motor neurons whose axons make up the ventral roots of spinal nerves.
the posterior horns, which receive sensory fibers from neurons in the spinal ganglia (dorsal roots). Spinal cord neurons are large and multipolar, especially the motor neurons in the anterior horns.
Somatic motor neurons of the spinal cord also have components in the CNS and PNS, but they are multipolar
Motor output: axon travels through peripheral nerve to reach target muscle
Pre-ganglionic motor neurons have components in the CNS and PNS and are also multipolarVisceral motor output to post ganglionic neuron
• Meninges
• The skull and the vertebral column protect the CNS. Between the bone and nervous tissue are membranes of connective tissue called the meninges. Three meningial layers are distinguished:
•
Meninges around the brain
(a) A diagram of the spinal cord indicates the relationship of the three meningeal layers of connective tissue: the innermost pia mater, the arachnoid, and the dura mater. (b) showing the tough dura mater (D). The subdural space (SD) is an artifact created by separation of the dura from underlying tissue. The middle meningeal layer is the thicker web like arachnoid mater (A) containing the large subarachnoid space (SA) and connective tissue trabecular (T). The subarachnoid space is filled with CSF and the arachnoid acts as a shock-absorbing pad between the CNS and bone. Fairly large blood vessels (BV) course through the arachnoid. The innermost pia mater (P) is thin and is not clearly separate from the arachnoid.The space between the pia and the white matter (WM) of the spinal cord here is an artifact created during dissection; normally the pia is very closely applied to a layer of astrocytic processes at the surface of the CNS tissue. X100. H&E.
Peripheral Nervous System The main components of the peripheral nervous system are the nerves, ganglia, and nerve endings.
Nerve structure
Nerves are only in the peripheryCable-like organs in PNS = cranial and spinal nerves
Consists of 100’s to 100,000’s of myelinated and unmyelinated axons (nerve fibers).
Conduction is saltatory (i.e. jumps node to node) in myelinated nerves and continuous in nonmyelinated.
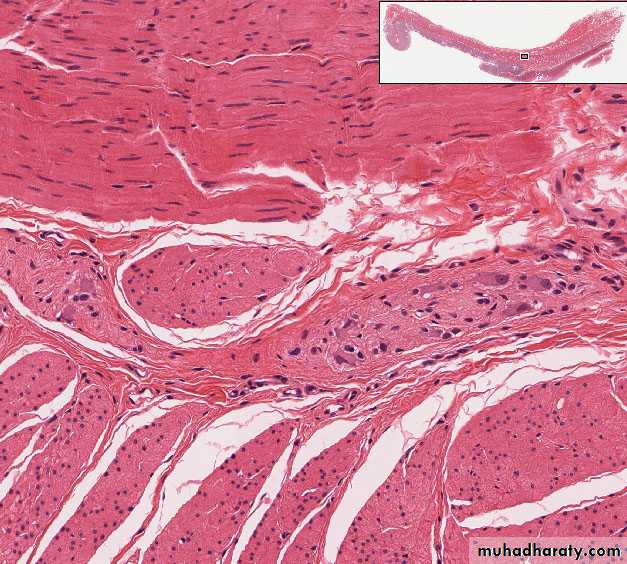
NervesIn the PNS nerve fibers are grouped into bundles to form nerves. Except for very thin nerves containing only unmyelinated fibers, nerves have a whitish, glistening appearance because of their myelin and collagen content.
Connective tissue layers found in nerves:endoneurium surrounds axons,perineurium axon fascicles and epineurium the entire nerve
Connective tissue layers in a peripheral nerve. Tight junctions between perineurium cells form a important isolating barrier.
Epineurium
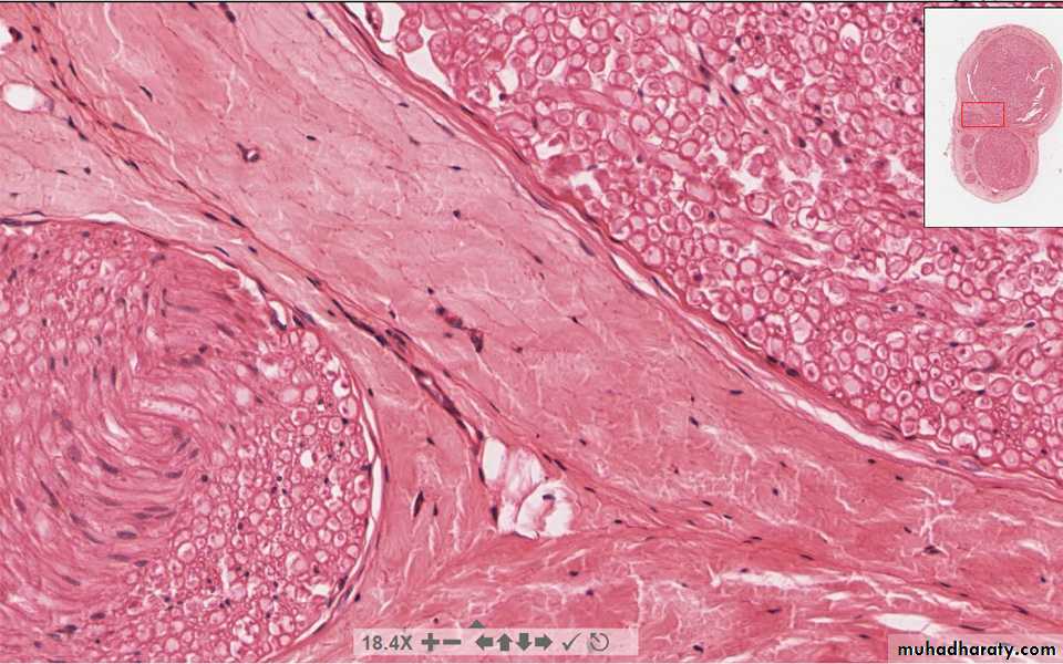
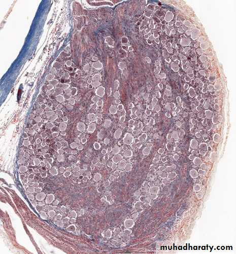
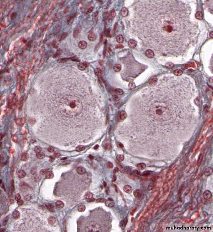
PerineuriumGanglia, which can be either sensory or autonomic, contain neuronal cell bodies and their satellite cells and are surrounded by connective tissue continuous with that of nerves.
A sensory ganglion (G) has a distinct connective tissue capsule (C) and internal framework continuous with the epineurium and other components of peripheral nerves, except. Fascicles of nerve fibers (F) enter and leave these ganglia. X56. Kluver-barrera stain.
Spinal cord and Dorsal Root Ganglion
Ventral horn
(Lateral horn) if presentDorsal horn
Dorsal root ganglion (DRG)
Ventral median fissure
Dorsal median sulcusDorsal root ganglion
Dorsal Root (Sensory) Ganglion Cells
Sympathetic ganglion cells:multipolar neurons that reside entirely within the PNS in sympathetic chain ganglia and “pre-aortic” ganglia
Parasympathetic ganglion cells:multipolar neurons that also reside entirely within the PNSin the wall of the innervated organ (shown here in the seminal vesicle)

























