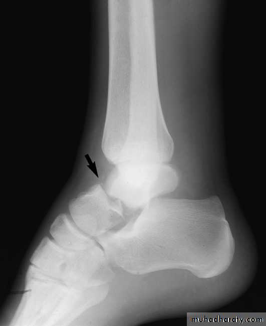
Fracture Talus: A talus fracture is a break in one of the bones that forms the ankle. This type of fracture often occurs during a high-energy event, such as a car collision or a high-velocity fall. Because the talus is important for ankle movement, a fracture often results in significant loss of motion and function. In addition, a talus fracture that does not heal properly can lead to serious complications, including chronic pain. For this reason, many talus fractures require surgery.
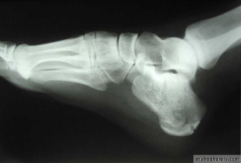
Calcaneal fracture, also known Don Juan fracture, is a fracture of the calcaneus. It is usually caused by a fall from height when one lands on their feet. These fractures represent approximately 2% of all fractures but 60% of tarsal bone fractures.
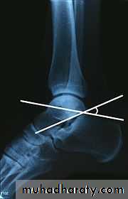
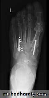
A condition characterized by disruption between the articulation of the medial cuneiform and base of the second metatarsal
unifying factor is disruption of the TMT joint complex
injuries can range from mild sprains to severe dislocations
may take form of purely ligamentous injuries or fracture-dislocations
ligamentous vs. bony injury pattern has treatment implications
Lisfranc Injury (Tarsometatarsal fracture-dislocation
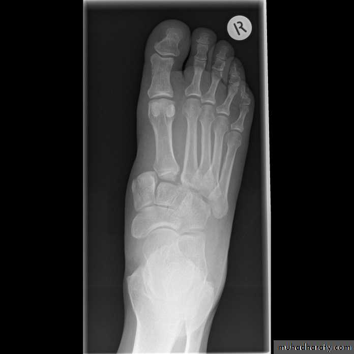
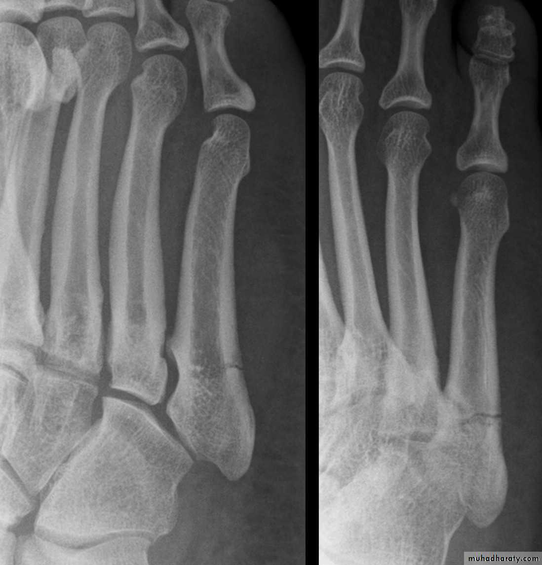
March fracture, also known as fatigue fracture or stress fracture of metatarsal bone, is the fracture of the distal third of one of the metatarsals occurring because of recurrent stress.
Jones fracture is a fracture in the meta-diaphyseal junction of the fifth metatarsal of the foot
















