مواضيع المحاضرة: heart failure
قراءة
عرض

Heart Failure

Objectives
1- to know the common causes of heart failure.
2- Types of heart failure .differentiation between systolic & diastolic failure. Staging of H.F
3- Clinical signs of heart failure & lab tests &their findings in diagnosis of H.F.
4- Treatment of systolic & diastolic failure.

Congestive Heart Failure CHF

heart failure


heart failure

SUGAR LAND

HEART CENTER
Pathophysiology
Hemodynamic changes


Neurohormonal changes

Cellular changes

Congestive Heart Failure CHF
heart failure


heart failure

SUGAR LAND

HEART CENTER
Neurohormonal changes in CHF
RAS, renin-angiotensin system; SNS, sympathetic nervous system.
Myocardial injury to the heart (CAD, HTN, CMP, Valvular disease)

Morbidity and mortality

Arrhythmias
Pump failure
Peripheral vasoconstriction
Hemodynamic alterations
Heart failure symptoms
Remodeling and progressive
worsening of LV function
Initial fall in LV performance,  wall stress


Activation of RAAS and SNS

Fibrosis, apoptosis,hypertrophy, cellular/molecular alterations,myotoxicity

FatigueActivity altered Chest congestionEdemaShortness of breath

Congestive Heart Failure CHF

heart failure


heart failure

SUGAR LAND

HEART CENTER
Neurohormonal changes
• N/H changes
• Favorable effect
• Unfavor. effect
•  Sympathetic activity
•  HR , contractility,
• vasoconst.   V return,
•  filling
• Arteriolar constriction 
• After load  workload
•  O2 consumption
•  Renin-Angiotensin –
• Aldosterone
• Salt & water retention VR
• Vasoconstriction 
•  after load
•  Vasopressin
• Same effect
• Same effect
•  interleukins &TNF
• May have roles in myocyte hypertrophy
• Apoptosis
• Endothelin
• Vasoconstriction VR
•  After load


Congestive Heart Failure CHF
heart failure


heart failure

SUGAR LAND

HEART CENTER
• Volume overload: Regurgitate valve
High output status
• Pressure overload: Systemic hypertension
Outflow obstruction—AS
• Loss of muscles: Post MI, Chronic ischemia
Connective tissue diseases
Infection, Poisons (alcohol,cobalt,Doxorubicin)
• Restricted Filling: Pericardial diseases,
Restrictive cardiomyopathy
Tachyarrhythmia

Causes of CHF


Congestive Heart Failure CHF
heart failure


heart failure

SUGAR LAND

HEART CENTER
Types of CHF
Systolic & Diastolic
High Output Failure
• Pregnancy, anemia, thyrotoxicosis, A/V fistula, Beriberi, Pagets disease
Low Output Failure
Acute
• large MI, aortic valve dysfunction---
Chronic

CLINICAL STAGES OF HEART FAILURE.

STAGE A: risk factors ,no structural disease or symptoms.
STAGE B : structural disease but no symptoms.


STAGE C : structural disease with prior or current symptoms.

STAGE D : refractory disease with severe symptoms.

Precipitants of H F:
1- Myocardial ischemia. As ACS.
2- Hypertension.
3- Arrhythmias.
4- Infections.
5- Drugs & Toxins.
6- Diet .
7- Noncompliance.
8- acute pulmonary embolism.
9- Anaemia.

Congestive Heart Failure CHF

heart failure


heart failure

SUGAR LAND


HEART CENTER
Rhythm problems leading to CHF
heart failure


heart failure


heart failure


heart failure


heart failure

DIAGNOSIS OF HEART FAILURE

Signs & Symptomes Of H F
Dyspnea on exertion & later on at rest.NYHA 1 – 4 .
Orthopnea & PND.
Fatigue & poor exercise tolerance.
Plapitation & syncope.
Cough specialy at night.
Leg swelling.
Raised JVP.
Basal rales.
S3 gallop.


Congestive Heart Failure CHF
heart failure


heart failure

SUGAR LAND

HEART CENTER
Framingham Criteria for CHF
Major Criteria:
• PND
• JVD
• Rales
• Cardiomegaly
• Acute Pulmonary Edema
• S3 Gallop
• Positive hepatic Jugular reflex
• ↑ venous pressure >16 cm H2O

Minor Criteria

1- Bilateral leg odema.
2- Dyspnea on exertion.
3- Pleural effusion.
4- Hepatomegaly.
5- Heart rate more than 120 per min.


Congestive Heart Failure CHF
heart failure


heart failure

SUGAR LAND

HEART CENTER
EKG
Old MI or recent MI
Arrhythmia
Some forms of Cardiomyopathy are tachycardia related
LBBB→may help in management
Heart Block

Congestive Heart Failure CHF

heart failure


heart failure

SUGAR LAND


HEART CENTER
heart failure


heart failure

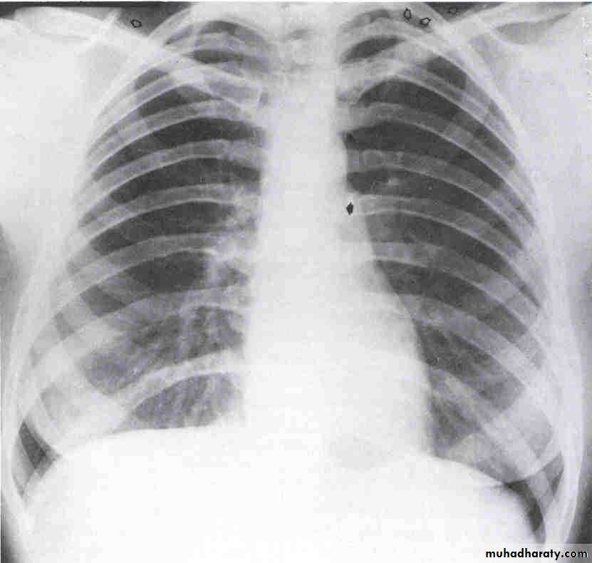
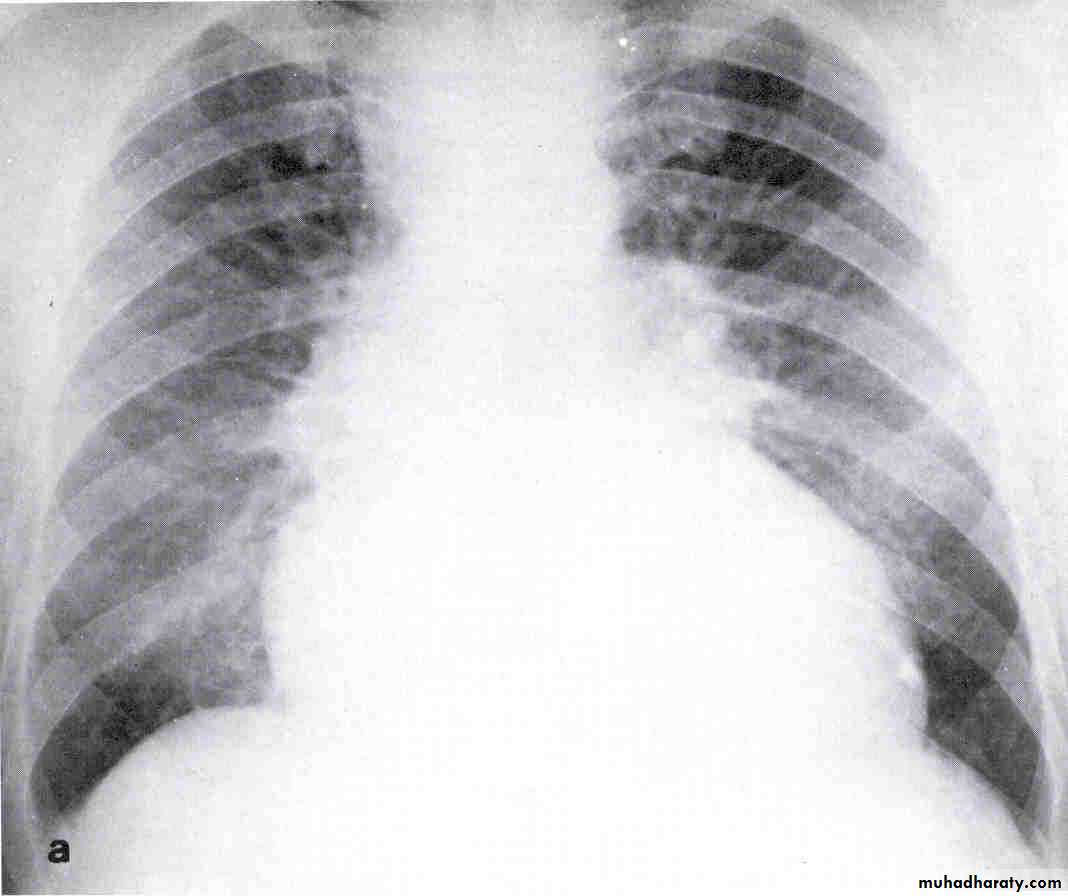
Chest X-ray

Look for Heart size
Pulmonary vascular markings
COPD, pneumonia, Pneumothorax, widened mediastinum
Pleural effusions

Chest X- ray

heart failure

Congestive Heart Failure CHF

heart failure


heart failure

SUGAR LAND


HEART CENTER
Echocardiogram

Function of both ventricles

Wall motion abnormality that may signify CAD
Valvular abnormality
Intra-cardiac shunts
Pericardial effusion
Restrictive pericarditis
Pulmonary hypertension

Diagnostic tests:

4- B-type natriuretic peptide ( BNP ).
Cutoff level 150 pg / ml. senstivity =90 %
specificity 70%. Use in acute setting only.
Affected by age ,renal function & BMI.

5- other tests : BUN, s.electrolytes, CBC, thyroid function test, s.iron & s.ferritin.

Congestive Heart Failure CHF
heart failure



heart failure

SUGAR LAND

HEART CENTER
Cardiac Catheterization

Coronary artery disease

Dilated ventricle
Hyperdynamic small ventricle
Wall motion abnormality that may signify CAD
Valvular abnormality
Intra-cardiac shunts
Pulmonary hypertension

Systolic versus diastolic failure

SYSTOLIC DYSFUNCTION
DIASTOLIC DYSFUNCTION
Dilated cardiac chambers.

Cardiomegaly on CX-ray.


Low EF < 40 %.

Worse prognosis.

Normal size or LVH.

Pulmonry congestion +normal cardiac size.

Normal EF > 40 % ,E/A< 1

Good prognosis.

Congestive Heart Failure CHF
heart failure


heart failure

SUGAR LAND

HEART CENTER
Goals for CHF management in a hospital


• Relieve symptoms rapidly
• Reverse hemodynamic abnormalities
• Prevent end-organ dysfunction
• Initiate patient education and survival-enhancing medications before discharge
• Optimize survival-enhancing oral medications (ACE inhibitor, beta blocker, aldosterone receptor antagonist)
• Optimize patient education and HF disease management

Congestive Heart Failure CHF

heart failure


heart failure

SUGAR LAND

HEART CENTER
CHF Management-long term
heart failure

Congestive Heart Failure CHF

heart failure



heart failure

SUGAR LAND

HEART CENTER
Diet and Activity

Salt restriction (2 grams per day)

Fluid restriction (Less than 1-2 liters per day)
Daily weight (tailor therapy)
Gradual exercise programs
Blood sugar monitoring

Congestive Heart Failure CHF

heart failure


heart failure

SUGAR LAND

HEART CENTER
Treatment of CHF
Correction of reversible causes
• Medications
• Diuretics, ACE inhibitors, beta blokers etc.
• Ischemia
• Arrhythmia: A fib, flutter, PJRT
• Valvular heart disease
• Thyrotoxicosis and other high output status
• Shunts


Congestive Heart Failure CHF
heart failure


heart failure

SUGAR LAND

HEART CENTER
CHF treatment-Acute

Pharmacological

Morphine sulfate
Nitrates
Diuretics
ACE inhibitors
Beta blockers
Aspirin therapy
statins
Vasodilators
Neurohormonal antagonists –
Anticoagulant therapy –
Antiarrhymics


Congestive Heart Failure CHF
heart failure


heart failure

SUGAR LAND

HEART CENTER
Diuretics
Loop diuretics for more severe heart failure

• Lasix (20 – 320 mg QD), Furosemide

• Bumex (Bumetanide 1-8mg)
• Torsemide (20-200mg)
• Mechanism of action: Inhibit chloride reabsortion in ascending limb of loop of Henle results in natriuresis, kaliuresis and metabolic alkalosis
• Adverse reaction:
• pre-renal azotemia
• Hypokalemia
• Skin rash
• Ototoxicity


Congestive Heart Failure CHF
heart failure


heart failure

SUGAR LAND

HEART CENTER
Diuretics
K sparing diuretics

Triamterene

Amiloride – acts on distal tubules to ↓ K secretion
Spironolactone (Aldosterone inhibitor)

Recent evidence suggests that it may improve survival in CHF patients due to the effect on renin-angiotensin-aldosterone system with subsequent effect on myocardial remodeling and fibrosis

Congestive Heart Failure CHF

heart failure


heart failure



SUGAR LAND

HEART CENTER

Renin, angiotensin, aldasterone blockers

• Renin-angiotensin-aldosterone system is activation early in the course of heart failure and plays an important role in the progression of the syndrome:
• Angiotensin converting enzyme inhibitors (ACE inhibitors)
• Angiotensin receptors blockers (ARBS)
• Spironolactone

Congestive Heart Failure CHF

heart failure


heart failure

SUGAR LAND

HEART CENTER
Renin-angiotensin blockers
They block the R-A-A system by inhibiting the conversion of angiotensin I to angiotensin II:
→ Vasodilation
→ Na retention ↓
→ Decreased Bradykinin degradation ↑ its level → ↑ PG secretion & nitric oxide
Ace Inhibitors improve survival in CHF patients
• Delay onset & progression of HF in pts with asymptomatic LV dysfunction
• ↓ cardiac remodeling


Congestive Heart Failure CHF
heart failure


heart failure

SUGAR LAND

HEART CENTER
Beta Blockers
Has been traditionally contraindicated in pts with CHF

Now they are the main stay in treatment on CHF & may be the only medication that shows substantial improvement in LV function

In addition to improved LV function multiple studies show improved survival

The only contraindication is severe decompensated CHF

Congestive Heart Failure CHF

heart failure


heart failure



SUGAR LAND

HEART CENTER

Inotropic agents-Digoxin
The role of digitalis has declined somewhat because of safety concern
Recent studies have shown that digitals does not affect mortality in CHF patients but causes significant
• Reduction in hospitalization
• Reduction in symptoms of HF
• Rate control in At fib.

Congestive Heart Failure CHF

heart failure


heart failure

SUGAR LAND

HEART CENTER
Inotropic agent-Digoxin action
+ve inotropic effect by ↑ intracellular Ca & enhancing actin-myosin cross bride formation (binds to the Na-K ATPase → inhibits Na pump → ↑ intracellular Na → ↑ Na-Ca exchange
Vagotonic effect
Arrhythmogenic effect


Congestive Heart Failure CHF
heart failure


heart failure

SUGAR LAND

HEART CENTER
Inotropic agent-Digitalis toxicity
Narrow therapeutic to toxic ratio
Non cardiac manifestations
• Anorexia,
• Nausea, vomiting,
• Headache,
• Xanthopsia sotoma,
• Disorientation
• Treatment: Digibind (Fab antibody)

Congestive Heart Failure CHF

heart failure



heart failure

SUGAR LAND

HEART CENTER
Antiarrhythmics

Most common cause of SCD in these patients is ventricular tachyarrhythmia

Patients with h/o sustained VT or SCD → ICD implant

Patients with CHF with an ejection fraction of less than 30% may receive ICD implant

Amiodarone for patients with frequent VPCs and at fib

Dranedone for patients with recurrent paroxysmal at fib.

Congestive Heart Failure CHF
heart failure


heart failure



SUGAR LAND

HEART CENTER

Anticoagulation

Atrial fibrillation

H/o embolic episodes
Left ventricular apical thrombus
Low LV ejection fraction

Congestive Heart Failure CHF

heart failure


heart failure

SUGAR LAND

HEART CENTER
Inotropic Agents
These are the drugs that improve myocardial contractility (β adrenergic agonists, dopaminergic agents, phosphodiesterase inhibitors),
Dopamine
Dobutamine
Milrinone,
Aamrinone


Several studies showed ↑ mortality with oral inotropic agents
So the only use for them now is in acute sittings such as cardiogenic shock

Congestive Heart Failure CHF

heart failure


heart failure

SUGAR LAND

HEART CENTER
New Treatment Choices

Implantable ventricular assist devices

Biventricular pacing (only in patient with LBBB & CHF)

Artificial Heart

Congestive Heart Failure CHF
heart failure



heart failure

SUGAR LAND

HEART CENTER
Achieving Cardiac ResynchronizationMechanical Goal: Atrial-synchronized bi-ventricular pacing
• Standard pacing lead in RA
• Standard pacing or defibrillation lead in RV
• Specially designed left heart lead placed in a left ventricular cardiac vein via the coronary sinus
heart failure

Right AtrialLead

Right VentricularLead
Left VentricularLead

Congestive Heart Failure CHF

heart failure


heart failure



SUGAR LAND

HEART CENTER

Pacing

Congestive Heart Failure CHF

heart failure


heart failure

SUGAR LAND

HEART CENTER
CHF treatment-Acute
• NTG- SL and IV infusion
• Morphine sulfate: 2-6 mg IV
• Lasix 40-80 mg IV
• O2—High flow O2
• CPAP
• Foley catheter


Congestive Heart Failure CHF
heart failure


heart failure

SUGAR LAND

HEART CENTER
Differential Diagnosis of CHF

Pericardial diseases

Liver diseases
Nephrotic syndrome
Protein losing enteropathy



رفعت المحاضرة من قبل: Ali Hassan
المشاهدات: لقد قام 30 عضواً و 404 زائراً بقراءة هذه المحاضرة








تسجيل دخول

أو
عبر الحساب الاعتيادي
الرجاء كتابة البريد الالكتروني بشكل صحيح
الرجاء كتابة كلمة المرور
لست عضواً في موقع محاضراتي؟
اضغط هنا للتسجيل